2007年3月6日
;68 (10)
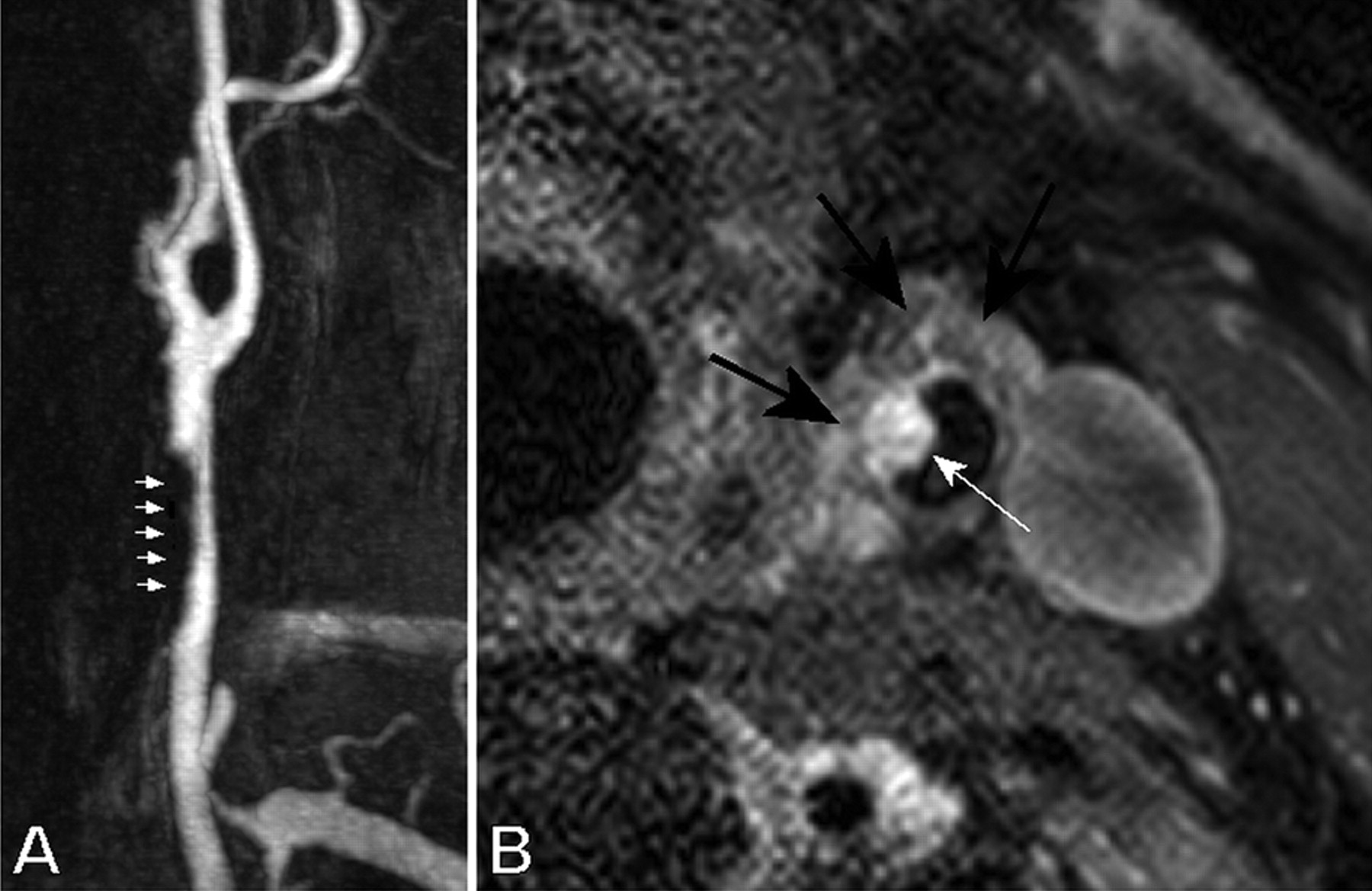
神经图片
高分辨率核磁共振成像的孤立的颈总动脉管腔内的凝块
l . Boussel,p .杜克,n Nighoghossian
第一次出版2007年3月5日
DOI: https://doi.org/10.1212/01.wnl.0000256342.99552.7e
l . Boussel
n Nighoghossian
信:快速的网络通信
你可能也会感兴趣
广告
主题讨论
提醒我
推荐的文章
- 文章
颅内动脉壁使用高分辨率3-tesla对比增强磁共振成像r·h·施瓦茨s . s . Bhuta r . i Farb et al。
首页神经学,2009年2月16日 - 文章
颈动脉网络和缺血性中风一个病例对照研究
乔纳森·m·Coutinho谢尔登•Derkatch阿方斯r波特凡et al。
首页神经学,2016年11月18日 - 文章
颈动脉闭塞的冠状动脉搭桥手术的疾病和中风风险约翰·f·Dashe, Michael s . 2,理查德·e·墨菲et al。
首页神经学,1997年9月1日 - 文章
患者的血小板活动的水平和价值颈内动脉严重狭窄h - k。Yip c - h。陆,c - h。杨et al。
首页神经学,2006年3月27日


