2008年5月6日
;70 (19)
在本周首页
5月6日的第1部分(2)的问题
第一次出版2008年5月5日,
DOI: https://doi.org/10.1212/01.wnl.0000316320.26249.08
这篇文章需要订阅查看全文。如果你有一个订阅你可以用下面的登录表单查看文章。这篇文章也可以购买。
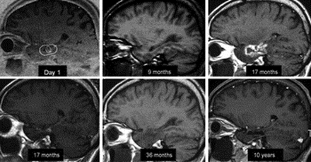
伽玛刀放射治疗的长期疗效在内侧颞叶癫痫
作者报道的长期疗效和宽容伽玛刀治疗内侧颞叶癫痫。在大约60%的患者取得了较好的效果。没有报道长期有害的影响。这项研究表明,GK构成潜在的替代标准手术在内侧颞叶癫痫患者。
看到p。1658;编辑,p . 1654
血浆淀粉样蛋白水平和广告在正常受试者的风险的心血管健康研究
作者表明,等离子体水平β-amyloid可以受到年龄的影响,系统性血管疾病,中枢神经系统血管疾病和沉默。他们发现,一旦将这些因素考虑进去…
寻求帮助,请联系:
河畔成员(800)879 - 1960或(612)928 - 6000(国际)
Non-AAN会员用户(800)638 - 3030或(301)223 - 2300选项3,选择1(国际)
报名
信息订阅神经病学和神经学:临床实践中可以找到首页在这里
购买
个人访问的文章可以通过这篇文章页面上加入购物车选项。获得1天(从您目前正在使用的计算机)是39.00美元。按次计费的内容仅供使用收款人和内容可能不会进一步分布式打印或电子手段。收款人可以查看、下载或打印文章为他/她的个人、学术研究和教学使用。分发副本(电子或其他方式)的文章是不允许的。
信:快速的网络通信
你可能也会感兴趣
广告
相关文章
-
没有找到相关文章。
提醒我
推荐的文章
- 简短的沟通
比较疗效和免疫原性的原始与当前颈肌张力障碍的肉毒杆菌毒素j .扬科维奇,K.D. Vuong, j . Ahsan et al。
首页神经学,08年4月,2003 - 特殊的文章
实践参数:药物治疗痉挛状态与脑瘫儿童和青少年(一个基于证据的审查)质量标准委员会的报告,美国神经病学学会和孩子神经病学实践委员会社会首页
m·r·德尔珈朵d . Hirtz m·爱森等。
首页神经学,2010年1月25日 - 文章
肉毒杆菌毒素A型治疗上肢痉挛状态地理一项随机、双盲,安慰剂对照试验
d·m·辛普森·d·n·亚历山大,c . f . O ' brien et al。
首页神经学,1996年5月1日 - 简短的沟通
肉毒杆菌毒素治疗基本头部震颤r . Pahwa k . Busenbark e . f . Swanson-Hyland et al。
首页神经学,1995年4月1日


