矛盾的颅内结核瘤和大脑前动脉梗塞
一个免疫活性的52岁的女人面对亚急性发作的头痛、呕吐、和精神恶化后3周的历史发烧,咳嗽和呼吸困难。诊断样本证实肺粟粒状的肺结核、多个颅内结核瘤,结核性meningovasculitis引起脑梗塞(图中,模拟)。治疗与antituberculous药物(口服300毫克/日异烟肼,利福平450毫克/天,吡嗪酰胺1000毫克/天,IM链霉素750 mg /天)和静脉注射地塞米松(16毫克/天)开始。两周后,她恢复了清醒,但显示无着丝粒的缄默症和尿失禁。随访MRI显示梗塞大小略有增加,结核瘤明显增加,恶化的脑动脉炎(图中,情况)。
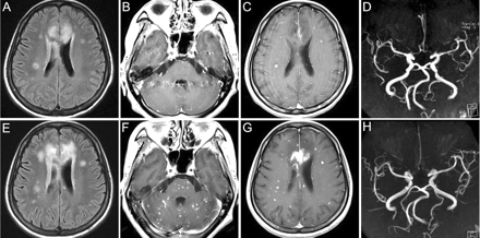
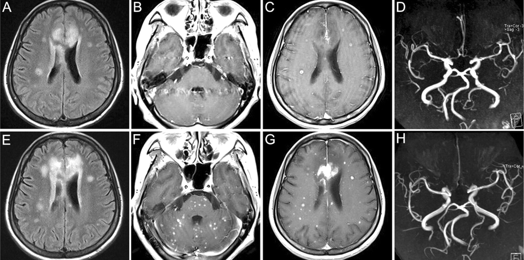
图初始和后续的MRI检查
初始MRI显示急性梗死的扣带皮层和胼胝体天赋序列(A)和小脑和大脑中的几个钆增强结节样病变(B和C)。先生前脑动脉血管摄影显示轻度狭窄的近端(D)。随访MRI表现40天后显示略有显著增加梗死(E)的大小和数量的增加提高整个大脑病变血管造影术显示先生(F和G)。严重的弥漫性狭窄的大脑前动脉(H)。
中枢神经系统动脉炎导致脑梗塞是结核性脑膜炎的最严重的并发症。矛盾的发展或进展的颅内结核瘤治疗过程中已经认可。1我们的主要问题就是串行我们的病人的MRI检查显示结核瘤以及一个恶化的矛盾发展大脑前动脉血管炎,尽管适当的治疗与antituberculous药物和地塞米松。2
1。nicoll DJ,国王M,荷兰D,巴拉J, del Rio c .颅内结核瘤发展在治疗肺结核。柳叶刀感染说2005年;5:795年-801年。
2。Thwaites通用电气、阮DB,阮高清,et al .地塞米松治疗结核性脑膜炎的青少年和成年人。N拉米夫地中海2004年;351年:1741年-1751年。OpenUrlCrossRefPubMed
脚注
2008年从Wonkwang大学提供资助。
披露:作者报告没有披露。
信:快速的网络通信
你可能也会感兴趣
相关文章
-
没有找到相关文章。
主题讨论
提醒我
推荐的文章
- 临床和伦理挑战
结核性脑膜炎诊断和治疗的挑战
杰罗姆·h·下巴等。
首页神经学:临床实践,2014年5月21日 - 居民和其他部分
珍珠和Oy-sters:结核性脑膜炎不是一个诊断排除
艾米·c·Jongeling大卫的选举等。
首页神经学,2013年1月21日 - 文章
水痘带状疱疹病毒,起伏血管炎的原因新英格兰医学杂志》上的例5 - 1995再现
d·h·Gilden b . k . Kleinschmidt-DeMasters m . Wellish et al。
首页神经学,1996年12月1日 - 情况下
串行血管壁先生成像的小儿结核性血管炎Jae w .歌曲,劳拉雷曼迈克尔•利弗金等。
首页神经学:临床实践,2019年3月19日


