2008年7月15日
;71 (3)
居民和其他部分
教学神经图像:Nocardial髓内脊髓脓肿
Lawrence m . Samkoff,Ahmad Monajati,乔尔·l·夏皮罗
第一次出版2008年7月14日,
DOI: https://doi.org/10.1212/01.wnl.0000317099.34987.b6
Lawrence m . Samkoff
Ahmad Monajati
乔尔·l·夏皮罗
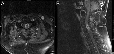
一个79岁的老人对慢性溃疡性结肠炎强的松治疗发展严重midcervical疼痛和进步的弱点在几天左胳膊和腿。这是与左前臂感觉异常和泌尿犹豫和尿失禁。他没有颅或延髓的症状。一般检查,他无热的但是有midcervical脊柱疼痛。神经系统检查发现正常的精神状态和颅神经;力量是2/5在左边,右边和4/5;对疼痛的感知水平和温度对C4的权利,减少了本体感受的左脚和手;有一个左巴宾斯基的信号和一个哑巴右足底的回应。白细胞计数为18.2×109/ L。血培养结果为阴性。胸部CT显示多个肺结节。颈椎核磁共振(图1)左边显示髓内ring-enhancing质量与水肿从C2 C7相关疼痛。脊髓切片显示开放诺卡氏菌属farcinica脓肿(图2)。腰椎穿刺和支气管镜检查没有进行。病人甲氧苄氨嘧啶IV和地塞米松治疗。10天后,下肢力量改善双边。左手臂力量和感觉赤字保持不变。他8周后死于心脏骤停。不需要进行尸检。
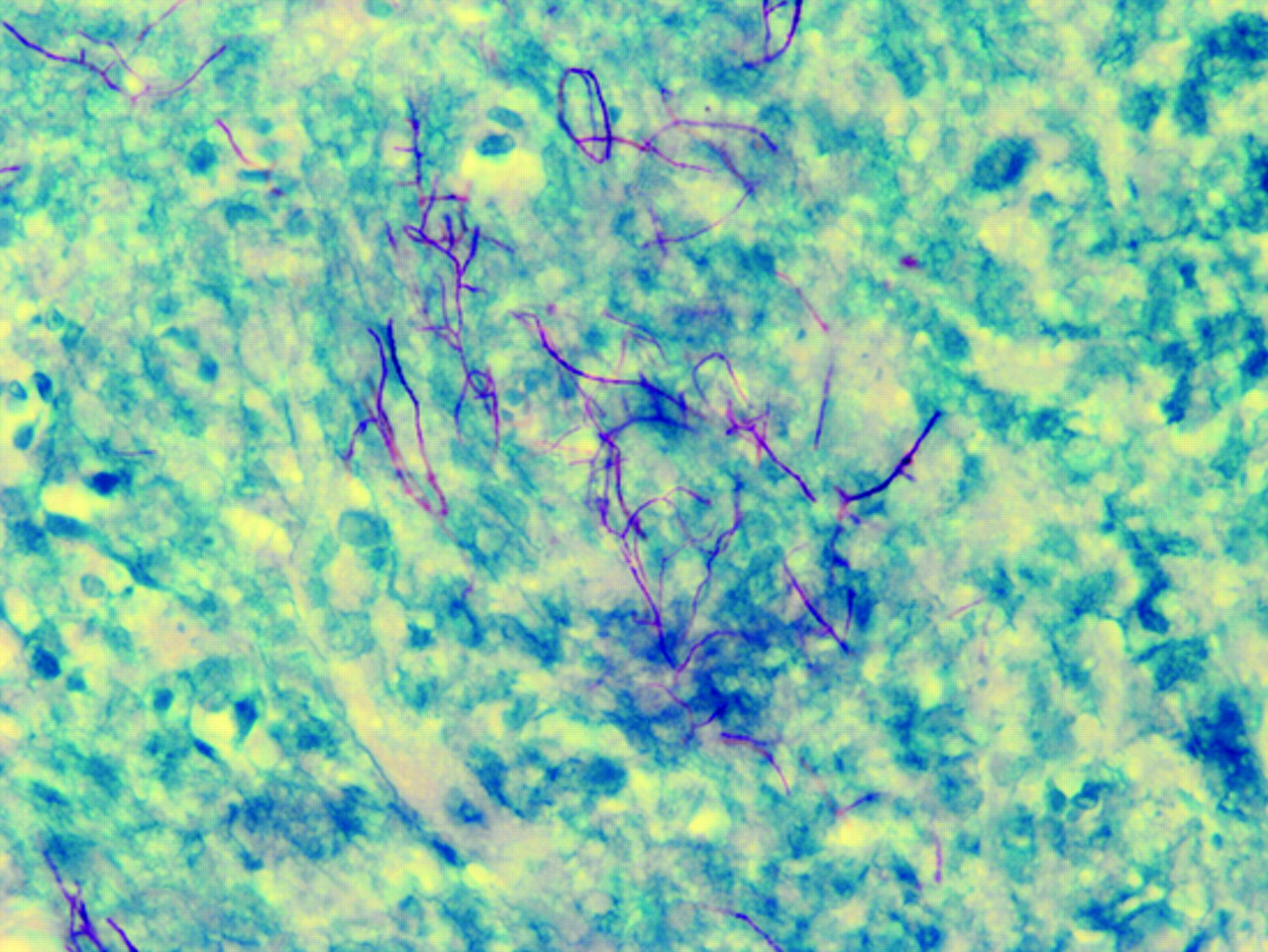
图2分支,丝状,串珠细菌内坏死碎片
微生物被GMS(银)和彩色菲特(快速修改酸)污渍;他们没有污点Ziehl-Neelsen革兰染色(传统酸快速)或组织。形态和染色特征最符合诺卡氏菌属的物种。菲特染色在100×(油)。
中枢神经系统诺卡氏菌病通常是与系统性nocardial感染有关。尽管脑脓肿最常见的中枢神经系统的诺卡氏菌病,罕见的脊髓髓内脓肿病例的报告。1、2诺卡氏菌属脓肿应考虑在免疫功能不全的患者脊髓症状。迅速组织诊断和抗生素治疗改善结果至关重要。
脚注
lawrence.samkoff在}{viahealth.org
披露:作者报告没有披露。
系列编辑器:米切尔S.V.艾尔金德医学博士,女士,部分编辑器
信:快速的网络通信
你可能也会感兴趣
广告
相关文章
-
没有找到相关文章。
提醒我
推荐的文章
- 简短的沟通
孤独的脓肿的治疗抗生素治疗病例报告
j . r . Fulgham Eelco F.M. Wijdicks艾伦·j·莱特等。
首页神经学,1996年5月1日 - 观点和评论
人畜共患成人细菌性脑膜炎Anusha van Samkar Matthijs c .这阿里van der不可或缺et al。
首页神经学,2016年8月17日 - 临床/科学的笔记
Neurolisteriosis免疫活性的病人表现为宫颈脊髓炎美国安德鲁·约瑟夫森迪伦r·皮拉伊乔安娜·j·菲利普斯et al。
首页神经学,2006年4月10日 - 居民和其他部分
临床推理:一名28岁的静脉吸毒者双边基底神经节和脑干病变谭雅·林丽贝卡·汤普森,布鲁斯Coull et al。
首页神经学,2013年2月11日


