珍珠和Oy-sters:孤立脑zygomycosis静脉注射毒品使用者
珍珠
大多数孤立脑zygomycosis与静脉药物滥用(IVDA)
提示诊断是具有挑战性的,但应怀疑所有健康静脉药物滥用者出现局灶性神经赤字
基底神经节病变在CT可能是最重要的诊断线索,因为它可以促进早期治疗
临床医生应该意识到这种疾病的早期治疗影响的结果。
病例报告
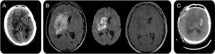
史的一个22岁的男人至少1年的静脉注射海洛因和可卡因滥用严重头痛和行走困难。他说症状出现后海洛因使用前一天。他被发现有发热、颈背的刚性,轻度左面部下垂,离开hemiataxia,轻微的脑病。血清的研究显示白细胞增多,消极的艾滋病毒测试,没有代谢紊乱,和消极的细菌培养。最初的头部CT显示一个大型低密度病变的基底神经节与温和的质量效应(图,一个),因此腰椎穿刺没有尝试。他是经验给予万古霉素,头孢曲松钠、甲硝哒唑无环鸟苷、磺胺甲恶唑/甲氧苄氨嘧啶。在接下来的24小时,病人开发左半身不遂和严重的脑病。MRI显示主要T2 hyperintense和T1 hypointense病变扩散限制,最小的增强,对基底神经节和不明确的利润(图、B)。梯度回波显示出血性组件。这些发现符合一个感染性或炎性大脑炎或局灶性缺血,血管炎的可能。出血性组件建议等真菌感染曲霉菌或毛霉菌spp第四,所以脂质体两性霉素B是补充道。他继续迅速恶化发展丧失理智的姿势和癫痫发作。病人插管,放在连续脑电图监测,给定的抗惊厥药物和脑室两性霉素b .重复CT证实的面积增大低衰减的基底神经节与质量效应的侧脑室和5.7毫米中线的转变。一个新的在左侧基底神经节病变瘀点也出现(图C),他接受了紧急正确hemicraniectomy预防腰椎间盘突出。由于高风险的立体定向活检更深层次的损伤,只有皮质活检是,它并没有发现病理变化。CSF演示-墨汁染色,革兰氏染色剂,和文化。隐球菌,组织胞浆菌属,曲霉属真菌,芽生菌病免疫血清学是负的。15天后没有改善,他的学生成为固定和扩张和CT显示病变的延伸到皮质和脑干。病人护理被撤回后死亡。他大脑的组织病理学尸检显示广泛的区域符合脓肿形成和球状薄壁真菌菌丝与90度的分支和罕见septations-all zygomycosis的暗示。
讨论
Zygomycosis是一种罕见的疾病由真菌引起的门接合菌门被形态的组织部分。从历史上看,感染被称为毛霉菌病,但当组织执行文化,属的物种根霉识别通常比吗毛霉菌或Rhizomucor。1环境中的真菌无处不在,最常见的演讲是颅腔广泛、肺、胃肠道、或皮肤感染在糖尿病患者中,营养不良,或其他免疫功能低。发生中枢神经系统的参与通常是通过连续的组织传播,更很少远隔部位。孤立脑zygomycosis,因为在我们的病人,是罕见的和有很高的死亡率。1
一个评论分析31例孤立CNS zygomycosis报道,其中17 IVDA史的患者,11是免疫力低下,其余3没有确定的风险因素。2另一个评论包括45例,发现与IVDA更大。1
孤立的中枢神经系统感染可能缺乏系统性症状和体征,和最初表现头痛、脑病、癫痫、偏瘫或其他局部神经功能缺陷。2,3zygomycosis的明确的诊断方法是组织病理学或从受感染的组织文化。足够的组织学准备显示坏死组织中性粒细胞浸润和不规则分支,广泛,nonseptate菌丝。血培养几乎总是消极和组织文化可能是负面的,即使菌丝。4分子和血清学的检测是在发展,但不是常规使用目前可用的。4,5
成像可能是最重要的线索孤立CNS zygomycosis的早期诊断。绝大多数的IVDA-related病例基底神经节的参与。1,6对比CT可以显示广泛的增强模式,只有少数病例报告与核磁共振。我们的案例也证明,一个重要特征是,单边基底神经节病变与低质量衰减迅速成为双边和更广泛,6强调了快速诊断和治疗的需要。
一旦怀疑zygomycosis,治疗过程中应立即开始迅速,延迟会导致较差的结果。zygomycoses的一般治疗包括逆转的基础条件,积极的外科清创,和大剂量抗真菌剂。在一个孤立的中枢神经系统感染患者,大多数有IVDA历史没有潜在疾病和外科清创术的脑深部组织通常是有问题的。两性霉素B脂质体制备的是推荐的一线抗真菌治疗如肾毒性低于两性霉素B脱氧胆酸盐。在一项研究中,泊沙康唑显示效果当两性霉素B不容忍或感染是耐火材料,7但这些患者中枢神经系统zygomycosis孤立。所需的抗真菌的持续时间尚不清楚。
信息披露
克拉克博士和艾尔Mohajer报告没有披露。布罗德里克博士曾在强生公司的科学顾问委员会,惠氏,PhotoThera;持有专利re:控制凝固血液的裂解方法与载脂蛋白e4表型;诺和诺德公司担任顾问,基因泰克,Inc .(所有咨询费和酬金是放置在一个在布罗德里克博士教育/科研基金的机构);已经收到了研究支持材料的形式从基因泰克,Inc .)、诺和诺德公司,先灵葆雅公司同心,公司EKOS公司和强生公司;勃林格殷格翰集团的支持,和接收机构研究基因泰克,Inc .)、先灵葆雅公司,美国国立卫生研究院(研究所U01 NS052220(π);研究所P50 NS44283(π);研究所R01 NS39512 [coinvestigator];和研究所R01 NS36695 [coinvestigator])。
- 版权©2010年长企业公司,。
引用
信:快速的网络通信
你可能也会感兴趣
相关文章
-
没有找到相关文章。
提醒我
推荐的文章
- 居民和其他部分
临床推理:一名28岁的静脉吸毒者双边基底神经节和脑干病变谭雅·林丽贝卡·汤普森,布鲁斯Coull et al。
首页神经学,2013年2月11日 - 文章
初名RRMS灰质和白质体积变化2年的纵向研究
m·卡d . t .甜菜、奥特曼d . r . et al。
首页神经学,2005年3月21日 - 临床/科学的笔记
播散性隐球菌病与fingolimod治疗多发性硬化症患者DeRen黄等。
首页神经学,2015年8月19日 - 文章
纵向研究的T1 hypointense病变复发MSCRG干扰素β-1a的审判
J.H.西蒙,j .间歇告诉雅各布斯et al。
首页神经学,2000年7月25日


