2011年1月4日,
;76 (1)
居民和其他部分
教学神经图片:孤立的感觉丧失皮质梗死的手臂抽出手
蔡明俊。查,S.W.金,再见金,Y.D.金,H.S.南,J.H. Heo
第一次出版2010年12月27日,
DOI: https://doi.org/10.1212/WNL.0b013e318203e98b
J.H. Heo
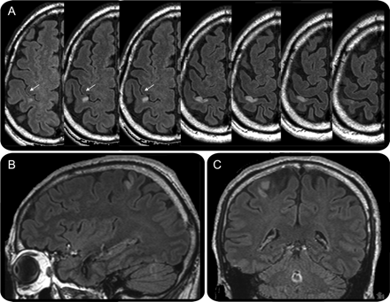
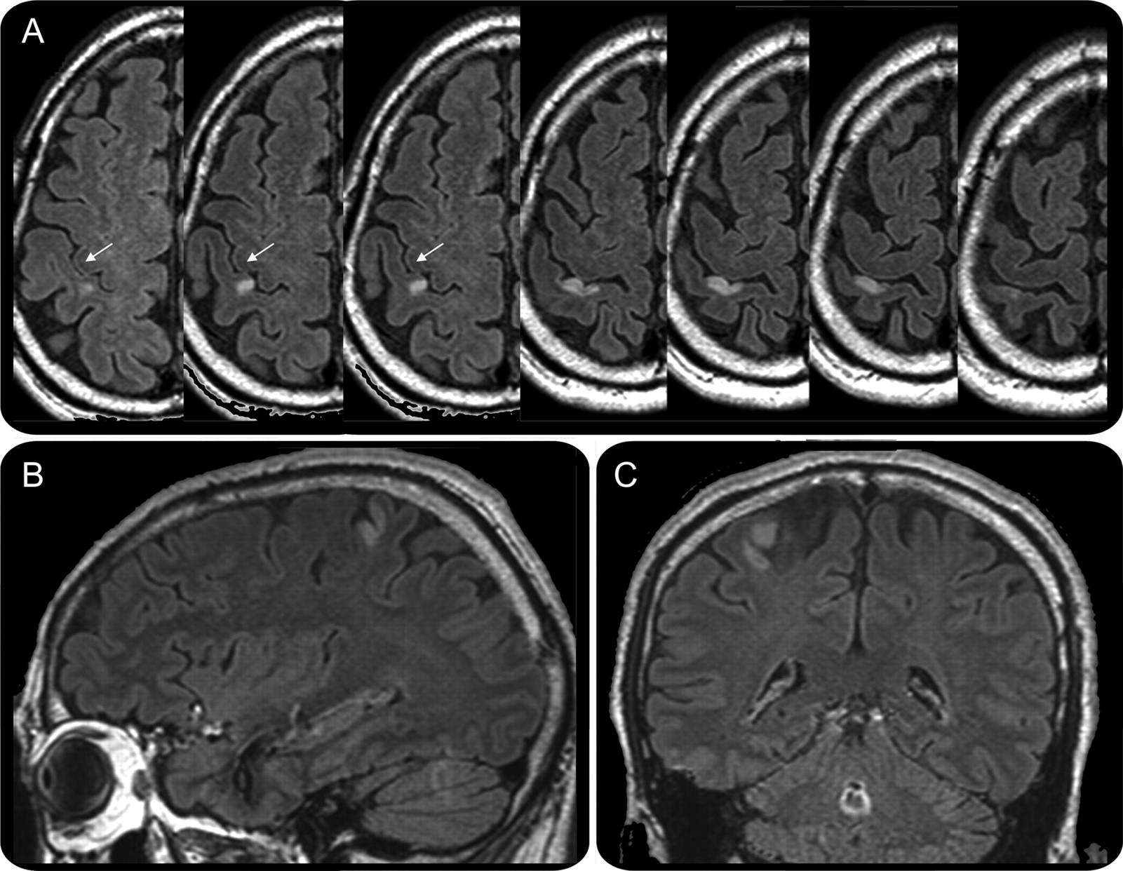
一个66岁的老人与高血压和糖尿病发达在他的左胳膊感觉异常。检查显示,他的感觉丧失的肩膀,手臂,手和前臂,但幸免(图1)。MRI显示急性皮质梗死(图2)。虽然运动区shoulder-arm-forearm位于内侧和优手部,精确的感官领域对他们来说是未知的。1,2这个案例表明,孤立的感觉损失可能是由于皮质梗死灶和感官领域shoulder-arm-forearm可能有类似的地形布置在中央后回的运动区,中央前回。
图2
MRI: (A)轴向,(B)矢状,(C)冠状图像fluid-attenuated反演复苏后5天开始显示急性梗死的前部分正确的中央后回
病变位于内侧,优,后方中央前把手区(箭头所指)。
脚注
研究经费:韩国医疗技术研发项目的支持下,卫生部&福利和家庭事务,大韩民国(A085136)。
披露:Cha博士S.W.金博士,再见Kim博士Y.D. Kim博士和不结盟运动的报告没有披露。Heo博士担任编辑韩国医学科学杂志》上和接收研究韩国医疗技术研发项目的支持下,卫生部&福利&家庭事务,韩国。
- 版权©2010年长企业公司,。
信:快速的网络通信
你可能也会感兴趣
广告
相关文章
-
没有找到相关文章。
提醒我
推荐的文章
- 文章
中央沟把运动和感觉功能吗皮质的映射人手区域网格显示通过电刺激硬膜下电极
Nii康夫Sumio Uematsu,罗纳德·P较小等。
首页神经学,1996年2月1日 - 文章
抗抑郁药物治疗的效果与rTMS PD和氟西汀对大脑灌注f . Fregni c . r .小野c·m·桑托斯等。
首页神经学,2006年6月12日 - 文章
临死前的磁共振成像结果与解剖微型心肌梗塞的可能性Gregory m . Preboske Mekala r·拉曼斯科特Przybelski et al。
首页神经学,2014年5月2日 - 文章
正子模式与潜在病理corticobasal综合症马特奥。帕帝尼爱德华·d·休伊塞尔瓦托脊柱et al。
首页神经学,2019年1月30日


