3月29日问题置于聚光灯下
神经干细胞/祖细胞和神经胶质瘤干细胞样细胞对化疗的敏感性差
作者表明,个人抗肿瘤药物可能对人类神经干细胞(nsc)微分影响和神经胶质瘤干细胞(gsc)。Temozolomide,顺铂损害nsc抽出gsc, bortezomib,只杀死gsc埃罗替尼。如果神经肿瘤学学会举办的终极目标是根除肿瘤(gsc)介导的同时保持认知(nsc介导),选择性药物的选择是必要的。
看到p。1126年;社论中,p。188金宝慱官网下载1118年
改善偏头痛减肥手术后严重肥胖患者
自发性颅内低血压:放射的功效定位与盲目的血补丁
作者评价药效的比较的结果目标和盲目的硬膜外血补丁(EBP) 56例确诊为自发颅内低血压(硅)。ebp针对脑脊液漏患者安全放置荧光镜的指导下硅氮比盲目地放置ebp更有效。
看到p。1139年
两年的芬兰Telestroke:溶栓在辐条等于中心
溶栓在急性缺血性中风是一种有效但未充分利用的治疗。本文表明,溶栓后给予telestroke网络评估将使溶栓更广泛使用,和它是安全有效的治疗管理在一个专用的中风中心。应扩大Telestroke网络覆盖缺医少药的地区。
核磁共振在多发性硬化症年初认知结果的预测因子
本文确定MRI预测认知结果最近在44名患者被诊断为多发性硬化症(MS)。认知评价也表现在56个健康受试者。认知变化的主要预测因子超过7年基线弥漫性脑损伤和进步中央脑萎缩后的诊断。
看到p。1161年
家族性颞叶癫痫和精神光环与小说有关LGI1突变
心灵气场,包括似曾相识,可能发生在ADLTE / ADPEAF家庭没有伴随听觉现象。这一发现的LGI1突变与这些症状暗示中央的时间起源光环与这个基因的范围扩大。家庭没有明确的外侧颞叶癫痫症状应该突变筛查LGI1。
看到p。1173年
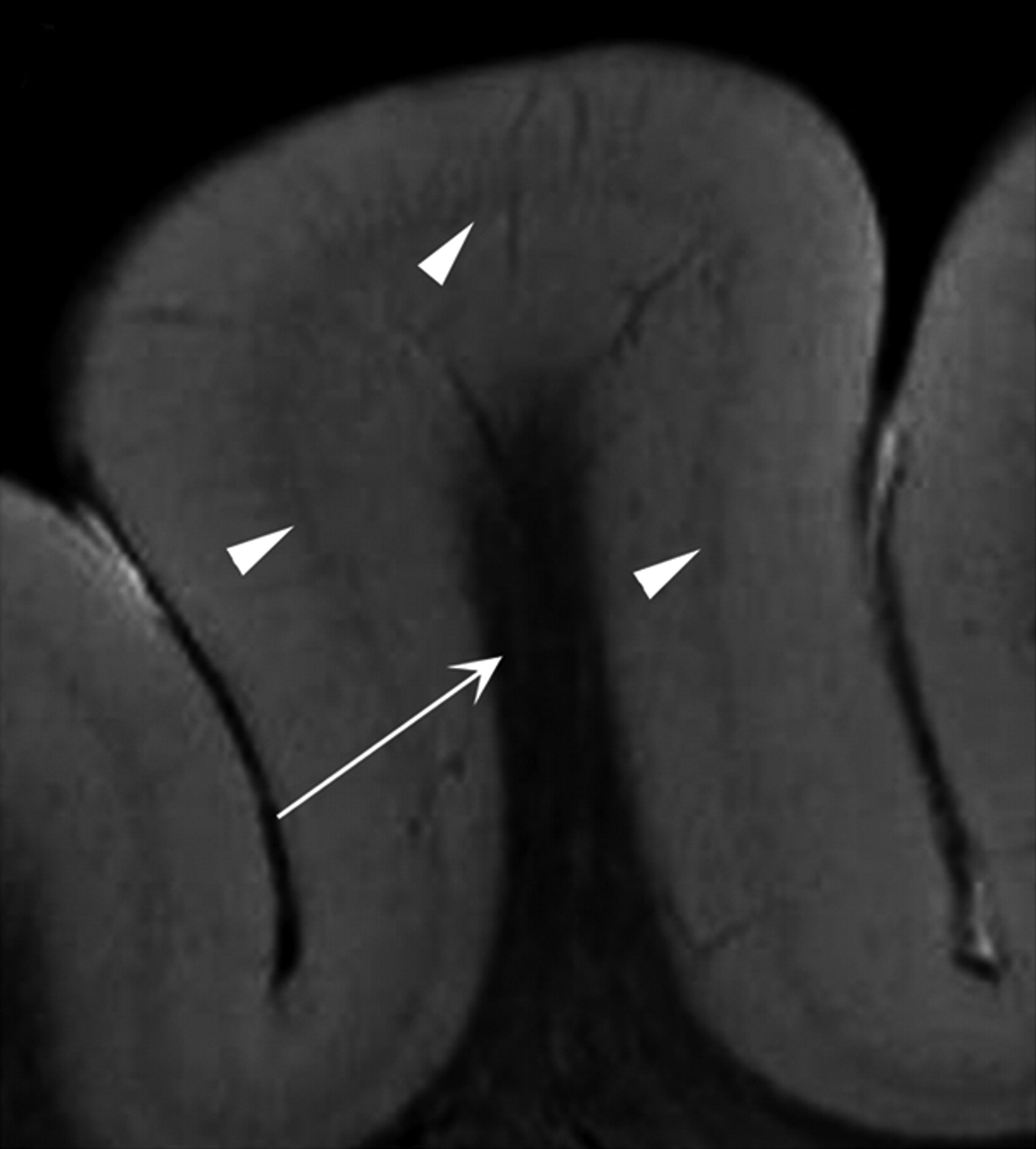
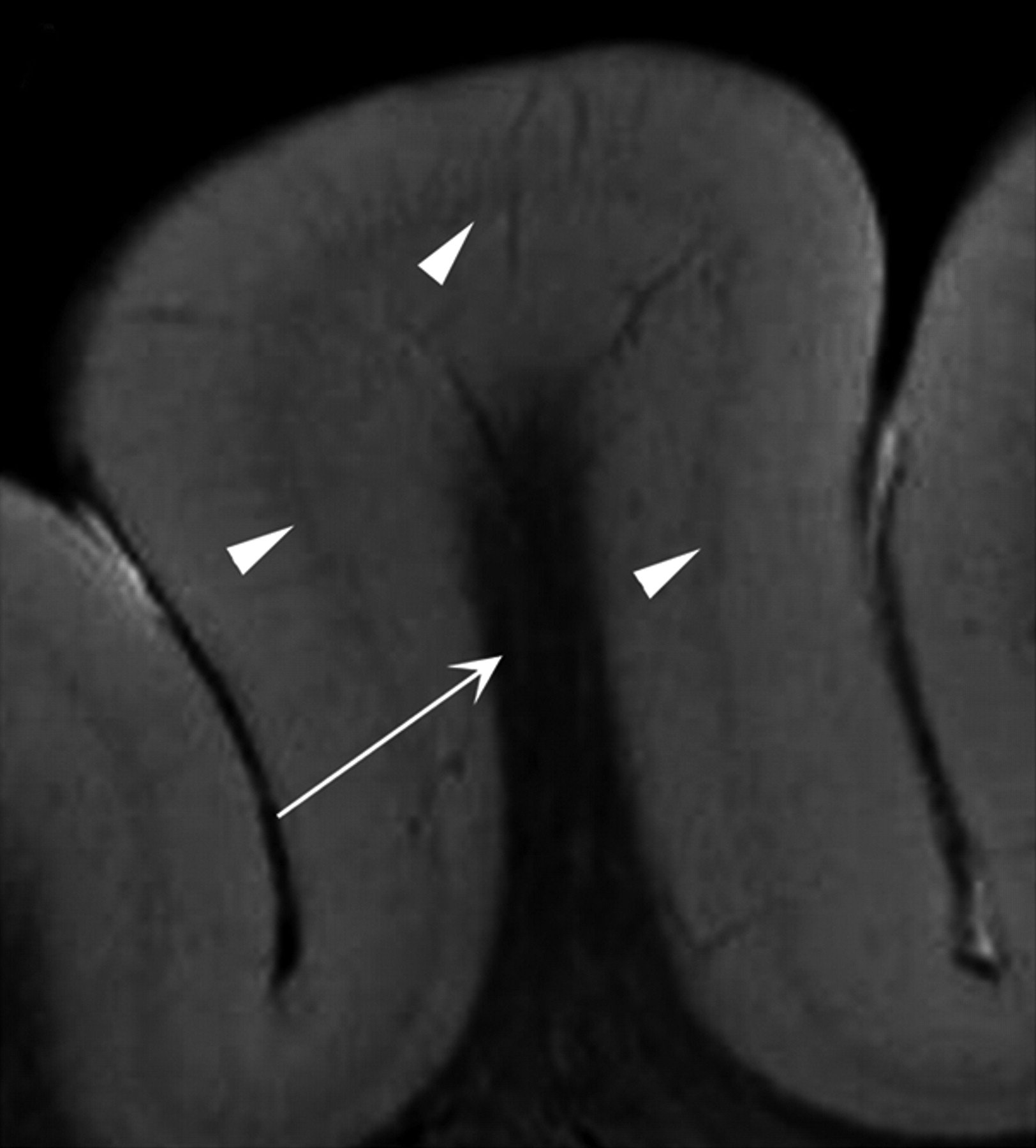
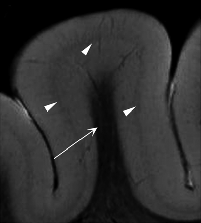
结合7 t磁共振成像和病理研究正常和发育异常的患者样本框架
作者研究了13个标本使用t2加权成像和王仁贵期间和之后进行固定,使用7 t实验扫描仪。高分辨率体外MRI使皮层组织在正常和病理的研究领域和可能与患者的诊断框架。
看到p。1177年
注:绿色日报继续庆祝60年的出版,看看居民和其他住院医师培训:“美国神经病学学会居民调查的结果”(p . e61)。首页临床/科学的注意:“日本街头艺人,交警违反郝林定律”提出了一个有趣的和有益的视频(p。1186)。你签出审判的问题吗首页神经病学临床实践吗?如果不是,请这样做,并提供反馈。加入编辑和员工星期天,4月10日庆祝神经病学的60周年!首页我们将提供蛋糕庆祝的河畔的研究在2011年年度会议在夏威夷。
- 版权©2011年长企业公司,。
信:快速的网络通信
你可能也会感兴趣
相关文章
-
没有找到相关文章。
提醒我
推荐的文章
- 五个新事物
神经病患者睡眠呼吸暂停的管理首页五个新事物
瑞秋·e·萨拉斯,罗西尼Chakravarthy,亚历克斯·谢尔等。
首页神经学:临床实践,2014年2月17日 - 临床和伦理挑战
卒中后早期诊断和治疗的阻塞性睡眠呼吸暂停我们忽视了一种可改变的中风危险因素吗?
阿里尔·戴维斯玛莎·e·比林斯,地下水面Longstreth,小等。
首页神经学:临床实践,2013年6月10日 - 审查
阻塞性睡眠呼吸暂停综合征的治疗方法帕特里克•Pavwoski Anita Valanju Shelgikar et al。
首页神经学:临床实践,2016年11月10日 - 临床/科学的笔记
持续正压通气治疗偏头痛的有效睡眠呼吸暂停综合症Hildegard伊达尔戈,Ulf Kallweit Verena Uhl et al。
首页神经学,2011年3月28日


