2011年4月5日
;76 (14)
居民和其他部分
教学神经图片:终端脊髓囊肿状突出
Bao-Hui挂,吴嘉苓蒋介石,Po-Ching王,Ping-Hong赖
第一次出版2011年4月4日,
DOI: https://doi.org/10.1212/WNL.0b013e318214358d
Bao-Hui挂
吴嘉苓蒋介石
Po-Ching王
Ping-Hong赖
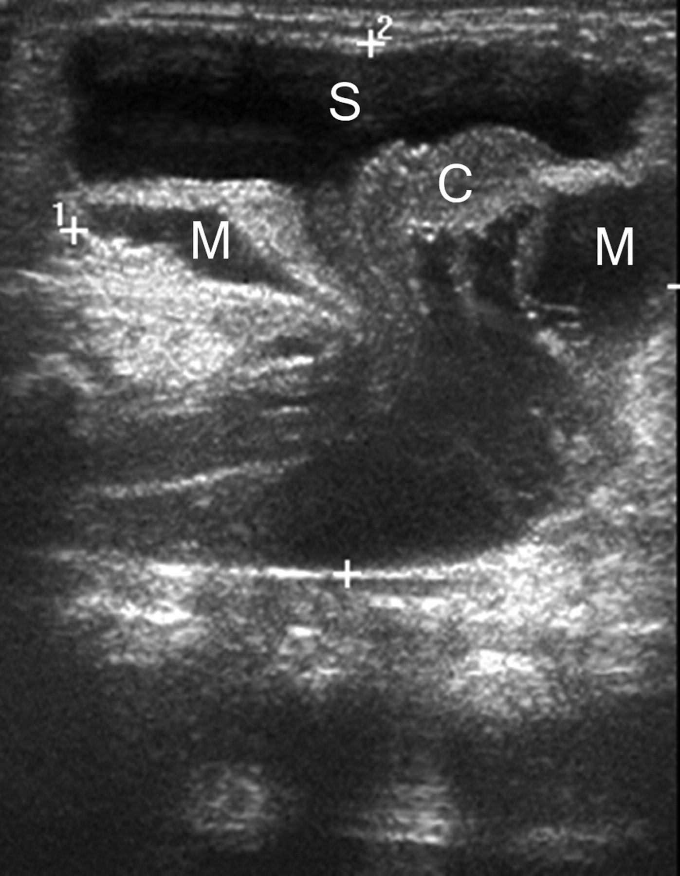
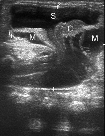
一个已经男孩看到一个突出的无痛性软质量(8×7厘米)在出生后骶区,与完整的皮肤覆盖。超声显示囊性扩张的远端中央管周围扩张蛛网膜下腔(图1)。MRI证实的诊断终端脊髓囊肿状突出的典型发现trumpetlike扩口syringocele和脑脊髓膜突出(图2)。
图2
核磁共振成像
轴向t1 (A)和t2加权磁共振扫描显示类似的描述(B)作为超声。箭头指向变形和流离失所的脊髓。M =脑脊髓膜突出;S = syringocele;Vb =椎体。
终端脊髓囊肿状突出,一种罕见的神秘脊柱闭合不全,特点是hydromyelic扩张的远端中央管(syringocele),通过后脊柱裂膨胀,扩大包围硬铝护套(脑脊髓膜突出)。1虽然少见,但应列入鉴别诊断先天性骶骨质量。虽然超声波是一个很好的初步筛查模式,MRI是必要的证实了解剖学诊断和描述。2
脚注
研究经费:支持部分由国家科学委员会(nsc - 97 - 2314 - b - 075 - b - 010 - my3)和退伍军人一般Hospital-Kaohsiung (vghks99 - 66)。
信息披露:作者报告没有披露。
- 版权©2011年长企业公司,。
信:快速的网络通信
你可能也会感兴趣
广告
相关文章
-
没有找到相关文章。
提醒我
推荐的文章
- 简短的沟通
脊髓神经肠囊肿呈现在婴儿期慢性发热和急性脊髓病h . Kadhim·古兹曼Proano圣马丁et al。
首页神经学,2000年5月23日 - 审查
超声指导腰椎穿刺里卡多Franco-Sadud Nilam j .索尼,丹尼尔Schnobrich et al。
首页神经学:临床实践,2016年6月29日 - 车间的总结
研究重点为脊髓空洞症国家神经疾病和中风研究所研讨会总结
朱迪·a .小,菲利普·h·谢里丹et al。
首页神经学,1996年2月1日 - 文章
CSF血容量减少和颅内低血压在“自发颅内低血压综合症”长谷川k . Miyazawa y志贺,t . et al。
首页神经学,2003年3月25日


