儿童神经病学首页:Hemiconvulsion-hemiplegia-epilepsy综合症
文摘
Hemiconvulsion-hemiplegia-epilepsy(7)综合征是一种罕见的结果长期局部癫痫持续状态的童年。延长焦马达发作通常发生过程中发热性疾病,其次是偏瘫侧的一边抽搐。这是伴随着放射证据的急性细胞毒性水肿影响脑慢性萎缩紧随其后。难治性癫痫可能开发一次远程从最初的演示。7综合征的临床特征是第一次描述了超过5年前但其病理生理学仍然知之甚少,长期认知结果尚不清楚。综合症的早期识别可能有助于为病人及其家人提供一个精确的癫痫预后有关的后续发展。首页®2012;79:e1-e4
术语表
- 火灾=
- fever-induced学龄儿童难治性癫痫脑病;
- HH=
- hemiconvulsion-hemiplegia;
- 7=
- hemiconvulsion-hemiplegia-epilepsy;
- 美国卫生和公众服务部=
- hemiconvulsion-hemiplegia综合症;
- 先生=
- 核磁共振;
- 挪威人的=
- 最近诊断为难治性癫痫持续状态
临床病例,我一部分
一个21个月大的男孩,前同时早产儿,历史的双边III / IV级脑室出血和脑积水,改为脑室-腹腔分流术可能看到一个长期的右侧抽搐。没有之前发作的历史和他的汽车和语言发展是适合孩子年龄。他的父母说他平时的健康状况和行为通常当天之前的报告,但是他确实有一个触觉发烧。他最后一次露面是在午夜正常检查的时候,他的父母。他母亲发现他6小时后右脸,胳膊和腿抽搐,但他没有意识受损或偏差。在运输期间他连续右侧颠簸,但意识和移动左边正常。他发热到达急诊室,他最初收到四氯羟去甲安定和静脉丙戊酸,没有效果。这时他的目光向右偏差和心理状态恶化。他收到第四fosphenytoin插管,并被送进重症监护室。右侧的脸、胳膊和腿抽搐持续所以戊巴比妥输液就开始了。 The total duration of the seizure was approximately 10 hours. The patient remained in a pentobarbital coma for 48 hours before it was weaned and levetiracetam was started as a maintenance antiepileptic medication. On hospital day 5 his mental status improved but he was noted to have a right facial droop, right visual field deficit, right hemiparesis, right hyperreflexia, and no spontaneous speech.
临床病例,第二部分
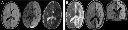
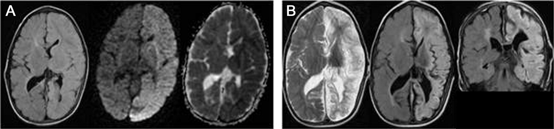
解决破裂后抑制EEG成为严重抑制整个左半球。MRI大脑在医院第五天显示限制扩散与表观扩散系数关联在左半球(图)。这下个月进步更普遍的信号异常的整个左半球和体积损失可能符合分散皮质坏死(图、B)。日常电解质及CSF分析演讲的时候都在正常范围内。
MRI大脑做在医院一天5显示fluid-attenuated反转恢复(天赋)(左),diffusion-weighted成像(中间)和表观扩散系数(右)在左半球(A)信号异常。这些异常并不符合任何血管领土。这下个月进步更普遍的信号异常的整个左半球和体积损失可能符合分散皮质坏死出现在t2加权(左)和天赋轴向(中间)和冠状图像(右)(B)。
在最后随访(16个月posthospitalization)病人对levetiracetam仍扣押-免费。表现症状,医院,和成像最符合hemiconvulsion-hemiplegia (HH)综合征因为他没有开发后续的癫痫。他与每周运动功能改善物理治疗/独立职业治疗,他采取一些措施。他继续使用右上肢有限,特别是手的精细动作的动作。的演讲进展顺利,他在句子,计数,确定一些信件。
讨论
流行病学。
7综合症被Gastaut和他的同事首次报道1大约50年前。具体的发病率是未知的,但据报道,它在发达国家正在下降。2,3这可能是由于改进和更快速的治疗癫痫持续状态以及更广泛的可用性直肠静脉注射苯二氮卓类。发热性癫痫持续状态的发生率减少由于利率的增加儿童免疫接种是另一个可能的解释。
临床特点。
英国文学的第一个报告7综合症(1960)描述了临床、电记录的,放射和病理特性确定150名儿童的综合症。1通常小于4岁的儿童表示和并发的时候应该存在发热性疾病。最初的阶段被称为HH综合症(美国卫生和公众服务部),因为癫痫尚未开发。美国卫生和公众服务部的特点是长时间(小时),单边,阵发性抽搐,往往最初认可和多次发现孩子有抽搐在他或她的床上。4hemiconvulsion具有以下特征描述的左右和Dravet4:1)时间和持续时间超过24小时,2)变量颠簸的位置,与侧发作的可能性如果是长期的,3)意识障碍的反复无常,4)变量发病可能的头/眼偏差,单方面的抽动着,或双边发展单方面混蛋,混蛋,5)的可能性,严重的自主症状如多涎、呼吸系统疾病和黄萎病。7综合征可分为两组基于已知的病因。特发性7综合征只是发烧和假定的颅外的感染而症状类型与发热以及一些相关识别,诱发因素(头部外伤、颅内感染、或脑血管病)。
单侧半球肿胀发生在剧烈癫痫持续状态的时间。最早的皮层下白质水肿的变化受影响的半球。5这是紧随其后的发展全球脑一些超过数周甚至数月。6从中风的一个重要特点是,这些异常是独立于任何血管领土。此外,通常在7综合症MRI显示突出的内囊内扩散限制,基底神经节,和丘脑最初的一部分,就像在这种情况下。血管造影术先生在这种情况下是正常的,符合数据从大7综合症的病例分析,显示正常血管成像。7放射异常与临床变化,如偏瘫,视野赤字,或失语。
发病机理。
7综合症的病因尚不清楚,但这可能是多种因素的结果。影像学检查显示有关系的事件序列包括早期重复发作,脑水肿,大脑皮层和皮层下萎缩,在许多情况下慢性癫痫。4很明显从病理检查半球肿胀细胞毒性水肿有关。8其他报道的海绵状结构病理特性和破坏正常的细胞结构。有人提议,这些变化可能与主,推测病毒,感染合成炎性细胞因子损伤。2也有人猜测,综合症长期发作的活动直接相关。当时年轻的时候看过相关的发病可能是不成熟的大脑发展的倾向单边猝发的排放。这长时间,单边猝发的活动可能导致过度的神经兴奋通过N甲基-d天冬胺酸(NMDA)谷氨酸受体。这可能导致一连串的增加细胞内钙最终导致细胞毒性水肿和坏死和凋亡。最有可能是炎症和癫痫发作之间的协同关系,强化癫痫持续状态和细胞损伤。建议7综合症,连同fever-induced在学龄儿童难治性癫痫性脑病(火灾)和最近诊断为难治性癫痫持续状态(挪威),可能是相同的频谱的一部分炎症介导脑病和癫痫持续状态综合症临床表现的差异与大脑的成熟阶段。9没有已知的潜在遗传因素相关7综合症患儿;然而,最近的一份报告CACNA1A突变和脑血管痉挛可能有关。10
大部分的数据7综合症的发病机制相关支持“发热性特发性7综合症”的存在,与简单的发热性癫痫共享一些共性。然而,7的相对罕见综合症引起了一些作者质疑此连接,提高孩子的可能性发展7综合征可能会有一个转换既存的脑损伤是一个简单的发热性癫痫灶性癫痫持续状态。4
治疗和预后。
治疗7综合征早期疾病的急性期主要是支持和在短期内大多数孩子一旦最初的控制癫痫持续状态。然而,它提出了基于放射和病理结果,使用anti-edema代理和NMDA-type谷氨酸受体拮抗剂在急性期可以帮助阻止神经元损伤。2
经过一些变量周期(月年)发作的自由,大约三分之二的患者会出现癫痫,在许多情况下是棘手。11区分特发性和症状类型的7是很重要的,因为两种类型不同的长期预后。12特发性类型患者倾向于开发颞叶癫痫而有症状组早期癫痫发作,这是一个广义症状类型。不存在任何指导方针是否7综合症患儿应该在慢性抗癫痫药物防止远程癫痫发作。有证据表明,延迟在7综合征难治性癫痫的外科治疗是有益的。12
马达赤字与7综合症相关变量与一些患者有持久的半身不遂等完整的决议。1物理及职业治疗可用于急性和慢性时期综合症为了最大化的运动机能。长期认知和语言的结果与7有关综合症是知之甚少。左右和Dravet报道精神发育迟滞特性三分之一的难治性癫痫患者癫痫手术,但最近的一项研究表明,结果可能取决于哪个半球是影响智力缺陷并不是普遍的。4,13影响患者保留语言半球往往有更好的认知结果。
基于这一文学,我们的病人的预后。似乎他的局灶性癫痫持续状态相关的长期发热性癫痫作为特发性的在许多情况下。然而,他先前存在的神经损伤哪些地方他HH类别使早期症状,症状全身性癫痫的可能性更大。长期语言结果可能依赖于脑损伤后功能皮层是否重组。未来的功能磁共振成像对语言功能可以帮助建立预后更准确地在这方面。
未来的视角
7综合征是一种罕见但严重的障碍在儿科人口。它可以极大地影响了患者的生活质量和他们的家庭。卫生保健美元花在这个障碍患者可能是大量的远程开发医学难治性癫痫,可能终生半身不遂。
7综合症应预防持续进步与快速解决癫痫发作有关。与7综合症相关的严重障碍,必须继续研究执行障碍的病理生理学和治疗。是合理的追求相关研究防止细胞毒性损伤敏锐地使用NMDA拮抗剂或咄咄逼人,早期治疗脑水肿。
信息披露
作者报告没有披露相关的手稿。去首页Neurology.org为充分披露。
作者的贡献
j . Tenney有资格作为一个作者基于以下贡献:起草/修订手稿内容和分析解释的诊断测试。m·夏皮罗有资格作为一个作者基于以下贡献:起草/修订手稿内容和分析解释的诊断测试。
- 版权©2012年长企业公司,。
引用
信:快速的网络通信
-
Hemiconvulsion-hemiplegia-epilepsy(7)综合症
- Nitin K。塞提,神经病学助理教授首页,纽约长老会医院,威尔康奈尔医学中心,525东68街,纽约100sethinitinmd@hotmail.com
2012年7月13日提交 -
回复评论“Hemiconvulsion-hemiplegia-epilepsy综合症”
- Jeffrey R。Tenney,儿科和神经病学助理教授首页,辛辛那提儿童医院医学中心jeffrey.tenney@cchmc.org
2012年7月13日提交
你可能也会感兴趣
相关文章
-
没有找到相关文章。
提醒我
推荐的文章
- 文章
MRI异常与局部癫痫持续状态有关M.G. Lansberg M.W. O ' brien,上午Norbash et al。
首页神经学,1999年3月1日 - 文章
最近诊断为super-refractory癫痫持续状态一系列案件的26个病人
伊丽莎白·马修斯Ayham Alkhachroum,尼娜马萨德等。
首页神经学,2020年9月17日 - 文章
发热性疾病后屏状核损伤和难治性癫痫持续状态斯特凡诺Meletti, Jana Slonkova, Iva Mareckova et al。
首页神经学,2015年9月04日 - 当代问题
新研究难治性癫痫持续状态发作在地平线上是什么?
Teneille e . Gofton尼古拉斯,加斯帕德萨拉·e·典当者等。
首页神经学,2019年3月20日


