2012年9月04日
;79 (10)
居民和其他部分
教学神经图片:非典型Wyburn-Mason综合症
杰森Madey,丽贝卡·k·雷曼,伊姆兰Chaudry,香农·l·瓦兰蔻
第一次出版2012年9月3日,
DOI: https://doi.org/10.1212/WNL.0b013e318268460f
杰森Madey
从神经学部门(J.M.)和小儿神经科(R.K首页.L.,S.L.V.), Department of Neurosciences, and Department of Neuro-Interventional Radiology (I.C.), Medical University of South Carolina, Charleston.
医学博士
丽贝卡·k·雷曼
从神经学部门(J.M.)和小儿神经科(R.K首页.L.,S.L.V.), Department of Neurosciences, and Department of Neuro-Interventional Radiology (I.C.), Medical University of South Carolina, Charleston.
医学博士
伊姆兰Chaudry
从神经学部门(J.M.)和小儿神经科(R.K首页.L.,S.L.V.), Department of Neurosciences, and Department of Neuro-Interventional Radiology (I.C.), Medical University of South Carolina, Charleston.
医学博士
香农·l·瓦兰蔻
从神经学部门(J.M.)和小儿神经科(R.K首页.L.,S.L.V.), Department of Neurosciences, and Department of Neuro-Interventional Radiology (I.C.), Medical University of South Carolina, Charleston.
CPNP
一个10岁男孩面对突发的左腿局部麻痹。成像(图1和2)显示复杂的大脑和脊髓血管畸形包括但眼科和皮肤检查都是正常的。Wyburn-Mason综合征是一种罕见的phakomatosis单边涉及视网膜动静脉畸形、脑,有时皮肤。1,2我们建议Wyburn-Mason综合征实际上代表一个连续谱的疾病,而不是一个不同的综合征,患者缺乏典型的视网膜和皮肤的发现。即便如此,临床医生应该意识到经典的表示和应该评估任何一个复杂的单边颅内血管畸形患者视网膜参与。
图1
核磁共振成像
搅拌脂肪饱和t2加权MRI矢状面显示线扩张和水肿(白色信号从C4 T4)二级脊椎硬脑膜动静脉瘘。信号波形的排水静脉被认为在前面(黑色)扩展向头部地。
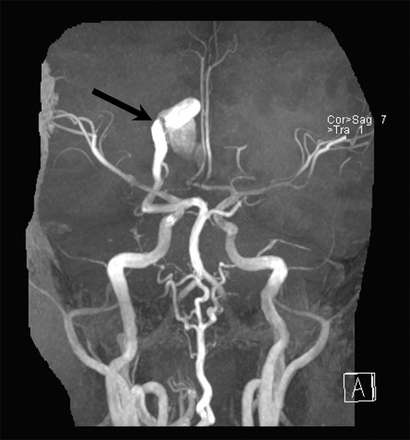
图2
磁共振血管造影
三维飞行时间磁共振血管造影显示动静脉瘘(箭头所指)之间的异常扩张盖伦的右大脑后动脉和静脉。
作者的贡献
Drs。Madey、雷曼和Chaudry和美国瓦兰蔻充分参与负责的工作内容。都作出了实质性的贡献。Jay Madey博士负责起草原稿,并直接参与病人保健,诊断和管理。丽贝卡·雷曼博士是负责修订手稿内容和直接参与病人和参与数据的解释和分析。伊姆兰博士Chaudry促成了原稿通过提交数据以及数据的解释。香农·l·瓦兰蔻是负责修改和提交的手稿,并直接参与病人的管理。
脚注
作者报告没有披露相关的手稿。去首页Neurology.org为充分披露。
- 版权©2012年长企业公司,。
信:快速的网络通信
你可能也会感兴趣
广告
相关文章
提醒我
推荐的文章
- 居民和其他部分
亚急性脑病的临床推理:一个不寻常的情况尼尔·帕里克说,亚历山大•e . merkle娜塔莉·t·程等。
首页神经学,09年2月,2015年 - 居民和其他部分
临床推理:一个女人与复发性失语和视野缺陷巴蒂亚Nourbakhsh,胡里奥·c·罗哈斯Chirantan Banerjee et al。
首页2013年11月04,神经学, - 文章
效用的MRI脊髓动静脉瘘沙Toossi,美国安德鲁·约瑟夫森史蒂文·w·Hetts et al。
首页神经学,2012年5月16日 - 居民和其他部分
临床推理:一个68岁的老人快速认知能力下降莎拉·h·泊位Arjun赛斯,亚当科恩et al。
首页神经学,2019年8月12日


