右脑:一个描述性的账户两个病人的经验和适应Balint综合症
我们提供2的叙述病人的经历Balint综合症,一种罕见的和使人衰弱的神经障碍表现为视神经共济失调,眼部失用症,和simultanagnosia。
这是一个安静的周四下午,响亮的,a 68-year-old woman from a suburb of Chicago, awakened from a nap to the realization that something was terribly wrong. “I went to lie down, and when I got up, I couldn't find where the cabinets were, or the doors,” she remembers. Over the next 2 days, A.S.'s confusion heightened as she increasingly lost her ability to name or even distinguish household objects that she'd been surrounded by for years. Unable to read the numbers on her telephone or to see where the bedroom wall ended and the bedroom door began, A.S. naturally thought that there was something wrong with her eyes and made an appointment with the ophthalmologist later in the week. She then did what so many stroke victims do; she put herself to bed early, hoping that everything would be better in the morning.
会议最后来的时候,很明显,无论A.S.折磨,这不是一个简单的视觉缺陷的问题。“我们带她去一个眼科医生,因为我们不知道那是什么,”回忆起她的丈夫迈克尔。“他们跑测试她的眼睛,她顺利通过他们!”响亮的的视力测试讲述相同的;她的视力测试在每只眼睛的20/30,和当她戴上眼镜,它上升到20/20。A.S.和她的丈夫离开医生的办公室,与正常考试成绩和一个神经转诊,想知道什么样的疾病可能会抢她的能力看到浴室水槽而离开她与我们通常认为的完美的视觉。
在距今66年前,J.D.是个健壮的和活跃的人,被那些知道他是一个工作狂不能安静地坐着。移民美国后的前苏联,在那里他被市长一个大镇,J.D.开始了他追求美国梦作为一名卡车司机。快进30年,他再次的支柱的社区,在那里他领导了一个大家庭而拥有和操作自己的货运业务。
J.D.经常长时间在路上,所以他的家人认为小的时候他开始迂回怪异远射为感恩节晚餐他儿子的房子。”他两轮班工作了3天在感恩节前因为他的工人希望,”他的女儿回忆说。“我们只是以为他累了。“他的家人也不知道他的古怪的尝试为自己服务。”他拿着勺子翻了个底朝天。我们都笑了,”她回忆道。
接下来发生的事情是正经事,J.D.开始体验奔袭弱点,面部下垂,并最终失去意识,导致他的家人赶快把他送到急诊室。那个场景在餐桌上是他接下来的2个月的最后记忆。在此期间,J.D.仍然无意识,局限于床上,直到突然和出人意料的觉醒的一个下午,决定是时候起床,两腿伸展。从那时起,他的部分复苏之路的左手四肢的使用和语言能力是一个漫长的过程。
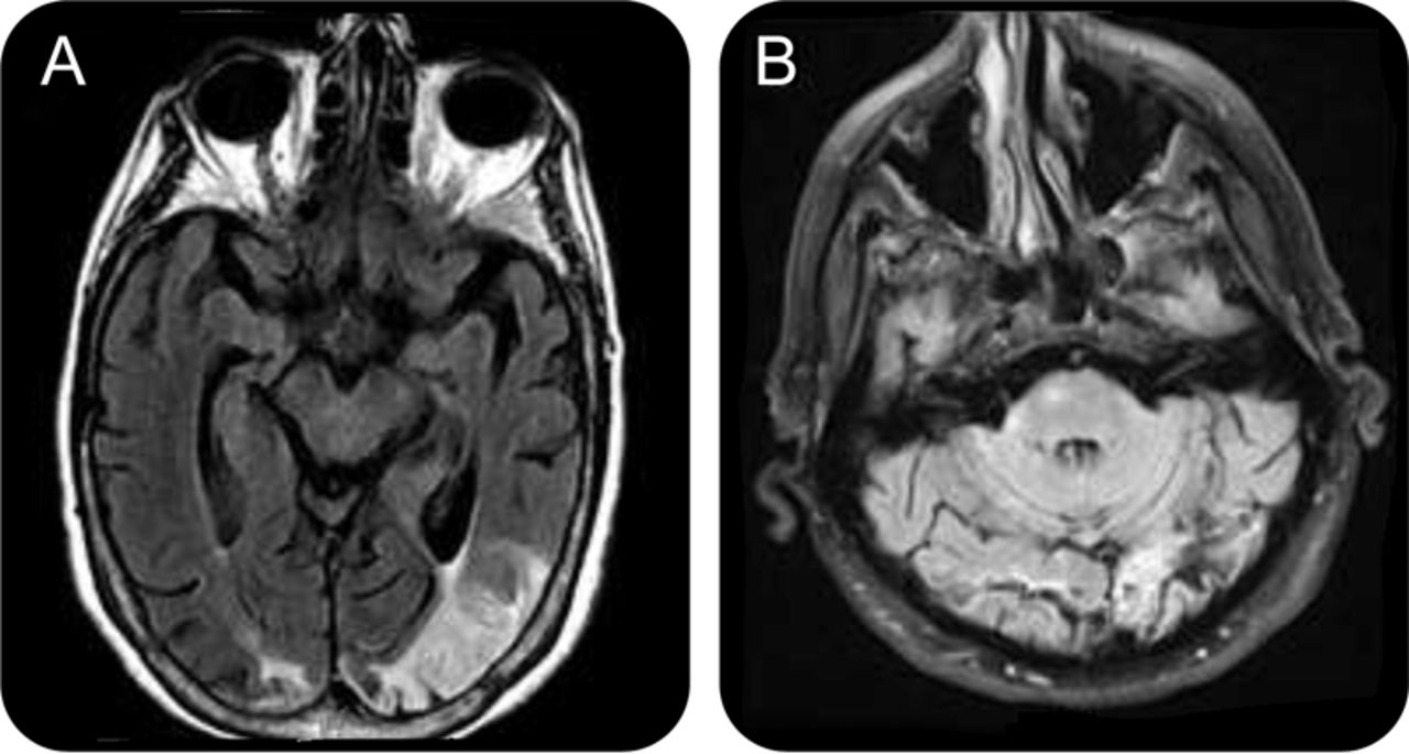
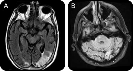
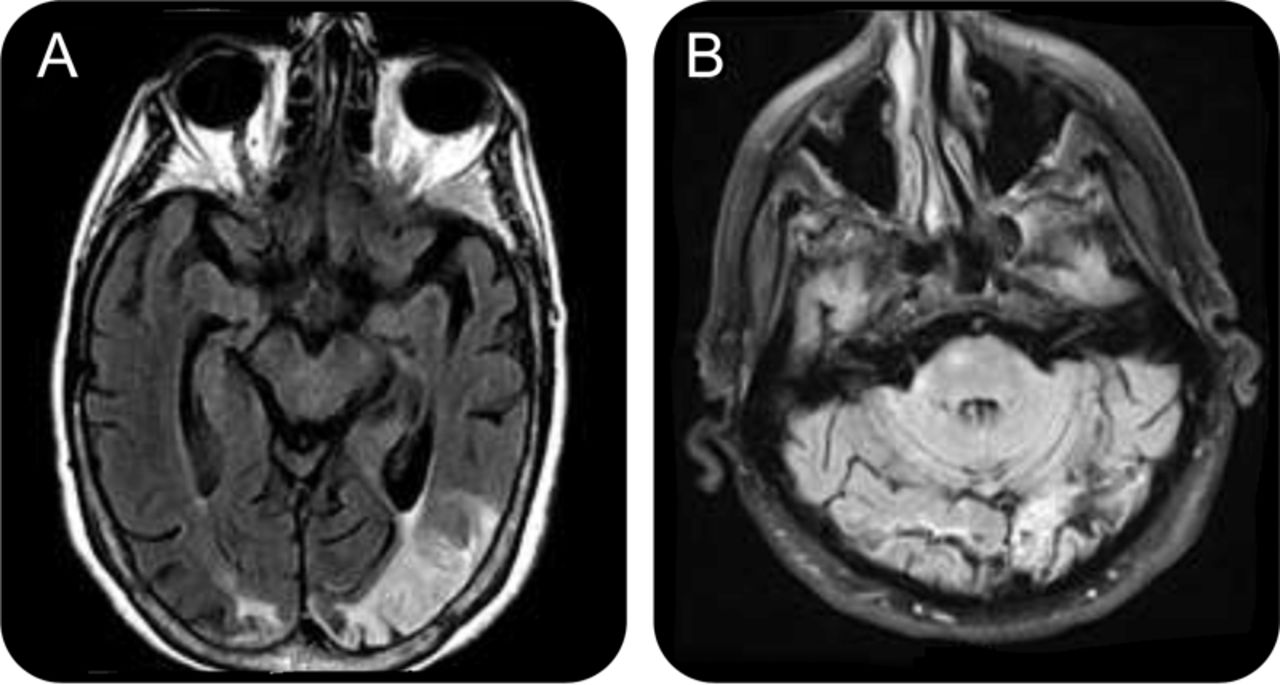
A.S.和J.D.出现不同的故事乍看之下,但他们实际上是两个描述的一种罕见的神经系统疾病的发病Balint综合症。Balint综合症通常是由一个或多个缺血性中风顶叶和枕叶皮层。磁共振(MR)研究显示,一家有一系列cardioembolic梗塞包括顶叶和枕叶皮质,双边(图)。J.D.可能有一系列的缺血性梗塞由于严重的动脉粥样硬化vertebrobasilar疾病(图,B)。
图像从病人(A)和病人J.D. (B)显示双边para-calcarine缺血与二级小出血性改变拉伸壁混杂在一起。
结果综合征的特点是一个三位一体的症状:1)眼球运动的失用症(难以入睡自愿眼球运动对一个对象),2)视神经共济失调(对象的视觉指导下无法达到),和3)视觉simultanagnosia(收缩的视觉注意力的字段)。每一个神经学首页居民已经熟悉这种综合症,但要真正理解Balint病人见证这些赤字的灾难性的影响函数的能力。
公元开始她一天我们都做,通过参加她的卫生。然而,由于她的深刻的动眼神经的失用症,她无法判断她的位置相对于浴室水槽,镜子,和墙壁面熟,但只有通过其他感官的指导她。因此,她知道她必须随时触摸水槽为了保持oriented-otherwise眼睛都一样闭着。同样,在她每天洗澡,她必须保持手在淋浴杆。她曾经未能做到这一点,她的脚,找下跌,打破了2椎骨。“现在我害怕下跌,”她联系,增加,虽然她走,这种恐惧可以附带的紧张疲惫比走的行为本身。
洗澡和手巾一些困难,响亮的解释了,因为她不能相信她的眼睛对她直接牙膏牙刷,她必须把牙膏直接在她嘴里,通过试验和错误移动牙刷。早餐时她用她的手对于大多数一切,和不能吃汤。整理后自己也更容易,因为从A.S.是显而易见的她的帐户尝试拿起一支笔掉在地上:“我看到它,当我去把它捡起来,它不在那里!笔,我的目标是,我看到它,但是我不能把它捡起来!”
因为J.D.中风是最近和更广泛,他的种种能力并没有改善,促销的年代。在考试期间,他的妻子对他的存在是非常有用的;她传达他的意思,缓解沮丧,他的表达性失语的原因。J.D.要克服的最大障碍他每天早上穿衣,刷牙。虽然困难他没有删除的衣服,把它们是冒险:“我找不到正面和支持它的全搞混了!”他惊呼道。
他的日常生活活动也受到影响。一旦一个狂热的读者,J.D.再也不能直接他的眼睛扫描一行文本。此外,当被要求大声朗读一个文字,J.D.可能只看到一个字母,或者甚至只是一行从那封信,取决于它的距离是于他的脸。这是因为,作为他的simultanagnosia的一部分,J.D.只能有意识的参加对象放置在一个小窗口的视野在任何给定的时间。
对J.D.,another result of the stroke that caused his Bálint syndrome has been depression. “I was never sad like this before,” he said, and his wife confirms it. “He never once cried before, but now he cries often.” J.D. is having trouble adjusting to a life in which he cannot work to provide for his family as he once did, but rather requires significant assistance in performing simple tasks. “I think that's the worst part for him because he's a man with a lot of pride who worked all his life, and now he can't do anything,” his daughter tells us.
适应在这些患者功能恢复的关键。A.S.仍然发现很多方式去享受自己。有声读物”美国国会图书馆发送我,我可以随时听的书。他们还送我一个广播,这样我可以听新闻,因为我想看报纸,我不能…所以当他们告诉我,我可以得到这些书(录音),我很热情!”
她的一些自适应策略已经被她的大贡献和奉献的家庭。几个月前,一家她的儿子找到了一个解决办法的问题区分相邻对象如门和墙壁,或厨房的柜子里。“我可以看到黄色的很好,所以我的儿子把黄色胶带在门上。“录音门的边缘,水槽,或其他对象,促销能够更好的区分对象从周围,因此,她的房子不再是危险的,因为它曾经是。
在采访的最后,我们问她响亮的如果有什么想说的人感兴趣学习更多关于Balint综合症。她回答说:“我说你一个水份如果更多的人知道,他们不会经历我经历了什么。”响亮的cherishes the hope that her story might motivate physicians to seek better treatments and therapies that might allow her and other Bálint patients to take up the threads of the former lives, and to “see again.”
作者的贡献
杰森·r·科莫是参与的设计研究,数据收集和分析,起草和修改手稿。何塞·比勒博士是参与的概念化和设计研究,数据收集和分析,修改手稿。莫瑞Flaster参与的设计研究,数据分析,和修改手稿。
信息披露
作者报告没有披露相关的手稿。去首页Neurology.org为充分披露。
- 版权©2012年长企业公司,。
信:快速的网络通信
你可能也会感兴趣
相关文章
-
没有找到相关文章。
主题讨论
提醒我
推荐的文章
- 居民和其他部分
临床推理:一个64岁的老人视觉扭曲埃米尔r·麦格拉思Ayush巴特拉,爱丽丝·d·林等。
首页神经学,2016年11月21日 - 居民和其他部分
临床推理:两个看到两个看到的是它真的复视?理查德·罗南·墨菲,阿卜杜拉•阿尔Sawaf丹尼·r·罗斯jr .)等。
首页神经学,07年8月,2017年 - 文章
对抗视野测试的诊断准确性新墨西哥州克尔,S.S.L.咀嚼、E.K.伊迪法官明确指出et al。
首页神经学,2010年4月12日 - 文章
枕叶动静脉畸形视觉障碍和演示
m . j . Kupersmith m·e·巴尔加斯Yashar et al。
首页神经学,1996年4月1日


