血脑屏障、再灌注损伤、急性缺血性中风和出血性转换
它已经一个多世纪以来保罗·埃利希1885年,后来他的学生Edwin Goldmann建议一个障碍之间存在中枢神经系统和末梢循环。1在研究有限的钾ferrocyanate渗透在1900年进入大脑,Lewandowsky bluthirnschranke创造了这个术语,血脑屏障(BBB)。1BBB的看门人被认为是中枢神经系统,其主要作用是维持大脑的脆弱的体内平衡设计的隔离体循环的中枢神经系统。
血脑屏障的功能解剖学
BBB由内皮细胞、周、星形胶质细胞、神经元和细胞外基质(ECM)统称为神经血管单元(NVU)。BBB内皮细胞缺乏来袭,紧密连接(套),最小的胞饮的活动,表达的酶能够降解有害的,治疗的分子。他们还增加了线粒体的内容,所涉及的多个依赖资源流程所需营养大脑的支持和保护。1,- - - - - -,3周血管smooth-muscle-lineage细胞发生单独细胞嵌入在微血管基底膜和有自己的形态学特征。4内皮细胞和周环绕基板,这是30 - 40的星形胶质细胞的细胞质膜end-feet。基板支持和锚细胞通过粘附受体和调节细胞间的沟通。星形胶质细胞中发挥非常重要的作用不仅在BBB支持和维护也neuron-NVU交互。缺血的条件下,有一个中断微血管之间的双向沟通与参与其间的星形胶质细胞和神经元。3更大的微血管和神经细胞之间的距离(m−n)距离,容易发生缺血性损伤的可能性越高。3小胶质细胞是中枢神经系统的巨噬细胞和有潜力释放免疫调节、炎症和细胞毒性介质5从而影响BBB。6激活大脑在侮辱导致“休息”小胶质细胞变化小的身体细长的吞噬与粗短流程表单流程。ECM是由结构蛋白,容易酶促降解。内皮细胞、周和星形胶质细胞表达基质粘附受体整合素和dystroglycan家庭,而坚持ECM和调解NVU函数。1
BBB缺血性中风的变化、再灌注损伤和出血性转换。
出血性和缺血性中风、再灌注损伤、转换(HT)所有涉及BBB破坏(图1)。我们对生化途径的理解,以及基因组和BBB超微结构变化的水平,仍在不断发展。
缺血的影响。
脑缺血的主要活动之一是能源失败由于缺乏葡萄糖和氧气。能量衰竭,反过来,导致一连串的事件,包括消耗的三磷酸腺苷(ATP),减少Na+- k+腺苷三磷酸酶(钠钾三磷酸腺苷酶)活性,增加细胞内钾、乳酸酸中毒,和细胞外谷氨酸的释放,所有这些会导致BBB破坏。7
内皮肿胀分钟小时内可能发生缺血性发作,导致血管的内部直径缩小。乳酸酸中毒也直接导致内皮细胞肿胀,神经元和星形胶质细胞。实验已经表明,后microsphere-induced脑栓塞,有occludin的降低和zonula occludens-1 TJs水平,有助于增加paracellular渗透率。8此外,感应蛋白酶(即。,tissue plasminogen activator [tPA], matrix metalloproteinases [MMPs], cathepsins, and heparanases) contributes to BBB ECM degradation. Such enzyme induction may further perpetuate BBB TJ permeability and anoikis (i.e., apoptosis induced by detachment of cells from the ECM) through integrin-mediated mechanisms.9
微脉管和MMP-9炎症反应与基板IV型胶原降解和血液外渗。3尽管星形胶质细胞对葡萄糖剥夺比神经元缺血性环境导致内皮细胞与星形胶质细胞脚失去联系。10
添加进一步的侮辱是一氧化氮(NO)、自由基和神经毒素与强大的血管扩张性属性,可以形成活性氧化物种会加剧DNA损伤和内皮损伤。星形胶质细胞本身表达没有合酶在脑缺血,进而导致peroxynitrate形成和BBB崩溃。7
微血管白细胞积累已被证明早在30分钟后发生永久性大脑中动脉(MCA)闭塞。11甚至在基因组层面,变化开始发生在几分钟内动脉闭塞。有一个早期反应基因的表达增加(例如,c-jun c-fos)小时后这是紧随其后的是增加热休克基因的(例如,Hsp70, Hsp72)。这些基因可能参与神经可塑性和为未来的治疗可以作为一个重要的目标。11
在脑缺血半影,通过诱导凋亡通路caspase-dependent (ATP-dependent)和caspase-independent机制。12促炎细胞因子如和组织坏死factor-α诱导及后跟趋化因子,它与一个激活内皮(例如,单核细胞化学引诱物蛋白1,细胞因子诱导的中性粒细胞化学引诱物)。12这导致白细胞招募和外渗,从而进一步提高炎性活动和有毒的自由基的生产。12因此,各种以前讨论的机制启动在缺血性BBB级联产生重大影响。12
再灌注的影响。
再灌注对脑组织的生存至关重要;它还会导致额外的组织损伤和HT的潜力。12再灌注损伤被定义在许多方面,包括内皮细胞的激活、氧自由基的生产过剩,炎症反应,白细胞招聘、细胞因子增加生产,水肿的形成。这些机制普遍是BBB破坏。13
根据缺血的持续时间和严重程度,再灌注的程度,和类型的中风动物模型,提出有三个阶段,再灌注后paracellular渗透率。第一阶段是反应性充血,构成大脑自动调整,BBB通透性增加,急性海拔地区脑血流量。第二阶段是灌注不足(无复流的影响),发生后立即充血的阶段,是由于持续脑代谢抑郁,微血管阻塞,阻塞通过内皮细胞肿胀和星形end-feet,和内皮细胞微绒毛的形成。这导致营养不良在脑组织和提高中性粒细胞粘附,随后炎症活动。这些事件直接导致第三阶段,paracellular渗透率增加,发生在两相的反应。第一阶段发生3 - 8小时post-reperfusion归因于增加炎症和氧化应激在BBB,连同ECM的酶促降解。第二阶段发生post-reperfusion 18至96小时,伴随着增加vasogenic水肿和血管生成。与第一阶段相比,充血,这与细胞毒性水肿有关,第三阶段与的血管性水肿及两相的反应。与细胞毒性水肿,vasogenic水肿与BBB套改变有关,导致渗透率增加大分子,使运动从细胞到细胞外空间。10
这三个阶段的再灌注损伤也被证明了放射研究。13,14在动物研究中,表观扩散系数图像研究在大鼠短暂闭塞MCA, 30分钟后reperfused跟从了至少24小时。14表观扩散系数被发现减少缺血性事件的结束,然后改善再灌注在接下来的几个小时,只在24小时内再次减少,展示二级缺血性损伤。14
临床意义的BBB破坏。
神经肿瘤学学会举办的,BBB破坏和convection-enhanced交付已成为领先的临床实验的交付技术治疗恶性脑瘤。17BBB破坏可以通过头部CT和MRI(可视化图2和3)。同样,BBB破坏在急性缺血性中风已经证明是对比度增强头部CT (图4)以及核磁共振。在一项研究中使用大脑核磁共振,13BBB破坏是明显的延迟钆增强CSF空间fluid-attenuated反转恢复图像和被称为hyperintense急性再灌注标记(伤害)。这是证明144年47(33%)缺血性中风患者。发现再灌注的早期的最强的独立预测因子BBB破坏。伤害也一直与HT和临床结果更糟,但再灌注不是独立预后不良。
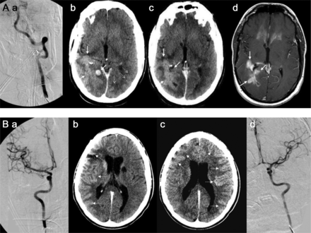
43岁的男人(A)与多形性胶质母细胞瘤(GBM)接受了血脑屏障的破坏(BBBD)通过左椎动脉导管造影(A)。在30分钟,对比增强CT表现,说明增强两国后大脑皮层的动脉(PCA)分布(虚线箭头表示正常皮质增强左侧)与增强肿瘤边缘围绕正确的侧脑室后角的(箭头,b, c),指出在postcontrast t1加权磁共振成像(d)。一个34岁的男人(b)与“绿带运动”接受了右颈内动脉(ICA)导管BBBD (A),与合成右大脑中动脉(MCA)分布增强(虚线箭头,b),备件ACA分布(虚线轮廓,c);缺乏cross-filling注意到A1段ACA,以及正确的MCA,通过前动脉和缺乏沟通PCA皮质分布增强(a)。第二天,病人接受导管BBBD通过ICA左边,与示范的双边ACA皮质分布增强(虚线箭头,c),这可能是由于为两国留住好的cross-filling以及A1段正确的ACA、MCA,看到通过ICA (d)。
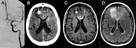
一位39岁的女性接受了左颈内动脉(ICA)血脑屏障破坏(BBBD) (A),与(预期)合成左半球皮质增强超声造影CT(摄影)(B,虚线箭头),可能有轻度左侧皮质增强大脑后动脉(PCA)分布,有一个著名的离开沟通后动脉供应左侧PCA(点划轮廓,B)。Postcontrast t1加权磁共振成像(C)显示,病灶增强,对应于这些可视化post-BBBD摄影(实心箭头,B, C),与适量的右额叶病灶周围水肿和证据传遍的胼胝体膝fluid-attenuated反转恢复核磁共振(D)。
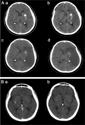
立即后动脉内的溶栓头CT (A)展示了一个新领域内的hyperdensity离开豆状核(A)。十四个小时postprocedure头部CT显示持久hyperdensity,损失的灰白色分化在左parieto-temporal凸性,并抹杀左侧侧脑室CT扫描主管(b)。随访36小时,60个小时持续hyperdensity左壳,建议外渗与脑水肿和中线移位(c, d)。头部CT动脉内的溶栓后立即(b)显示了一个hyperdensity正确的硬膜(A),解决完全重复头上CT表现16小时postprocedure (b),显示对比度增强。
HT和早期BBB破坏患者更常见的重组组织纤溶酶原激活物(r-tPA)比不治疗。BBB破坏的时间中位数估计提出了缺血发作是3.8小时,从而使它重要的尝试减少并发症急性溶栓疗法,治疗窗口扩大和改善临床结果。13在缺血性中风患者的MRI进行回顾性分析,建议早期的实质和中风损伤的血管增强,暗示BBB破坏,是症状性HT的预测,特别是在tPA管理。18
几个机制假设对比造影剂外渗和出血有关。19最有说服力的毒性在基板,包括对比BBB的结构性障碍与干扰。它导致溢出的血液细胞元素从微血管,反过来,导致对比外渗(定义为hyperdensity暗示对比[Hounsfield单位> 90])在24小时(图4A)。相比之下,对比度增强是由于从血管造影剂泄漏到细胞外空间,由于BBB的渗透性增加。头部CT二次的hyperdensity对比度增强通常在24小时内清理(图4B)。对比溢出已被证明有一个强大的协会与HT以及预后不良。20.
r-tPA对BBB的影响。
重组组织纤溶酶原激活物(r-tPA)是一种从内部合成细胞外蛋白酶也是大脑的信号分子。它介导矩阵重构在大脑发育和可塑性。HT与r-tPA可能产生影响的溶栓作用。然而,它也表明,溶栓治疗可能加重BBB破坏。它可能导致MMP的激活,ECM的降解,和内皮功能的变化。这将促进炎症NMDA-type谷氨酸受体相互作用和潜在的放大excitotoxic钙电流。21HT二级再灌注损伤的风险当然是放大使用静脉或动脉内的溶栓和单独机械血栓切除术(图1)。
临床前研究,包括使用药物策略以减少revascularization-induced HT上面讨论的变化提供了间接的证据。这些策略包括体温过低,免费radical-spin陷阱化合物,血小板抑制剂和MMP抑制剂。22在雄性大鼠大脑中动脉闭塞,建议推迟再灌注r-tPA-mediated死亡率与早期的BBB。23关闭的BBB MMP抑制剂(bb - 94)鉴于r-tPA治疗前降低了死亡率,暗示这与溶栓治疗可能减少风险。23
NVUs也壁龛在成人大脑神经干细胞/祖细胞。在NVUs,新生的,不成熟的神经元与重建血管均有密切的联系。24临床前研究表明,脑损伤诱发神经发生新神经元的生成和血管生成(新血管的生长)。代理和操作,提高血管或神经发生可能促进脑损伤后功能恢复。25这表明内源性神经前体细胞的操纵和内皮细胞可能是潜在的治疗脑损伤,26因此未来的实验研究需要探索的BBB作为一个潜在的目标这样的疗法。
讨论
BBB在缺血和再灌注是动态和复杂的变化。了解这些BBB的变化在急性缺血性中风会导致更好的病人选择以及更安全的和潜在的改善临床结果与现有的疗法,如溶栓(静脉和动脉内的)和机械血栓切除术。
作者的贡献
Khatri博士和斯文森博士:起草/修订手稿。麦金尼博士:起草/修订手稿,分析或解释的数据,采集的数据,研究监督。Janardhan博士:起草/修改手稿,研究或设计概念,分析或解释的数据,研究监督。
信息披露
Khatri博士,斯文森博士和博士Janardhan报告没有披露。麦金尼博士作为医学顾问委员会成员重要的图像;收到的旅费和硬件的研究;曾担任副主编的神经病学与神经外科的年鉴首页;临床表现时间和花5%的努力血脑屏障破坏。去Neuro首页logy.org充分披露。
- 收到了2011年6月27日。
- 接受2012年1月17日。
- 版权©2012年长企业公司,。
引用
信:快速的网络通信
你可能也会感兴趣
相关文章
-
没有找到相关文章。
提醒我
推荐的文章
- 文章
血脑屏障破坏血管内治疗后与死亡率增加有关让-菲利普·Desilles Aymeric Rouchaud,朱利安Labreuche et al。
首页神经学,2013年1月30日 - 文章
缺血性中风患者的血清紧密连接蛋白预测出血性转换Radoslaw Kazmierski斯的旧事,阿格涅斯卡Wencel-Warot et al。
首页神经学,2012年9月19日 - 文章
卒中后再灌注与微气泡sonothrombolysis可能预测颅内出血l . Dinia m . Rubiera m .日博等。
首页神经学,08年9月,2009 - 神经科学研究的临床意义
血脑屏障最近的进展和临床相关性
爱德华多·e·Benarroch et al。
首页神经学,2012年4月16日


