8月28日问题置于聚光灯下
新的缺血性损伤与急性脑出血共存
本研究招收了97名急性高血压脑出血患者(我)诊断3天内发病。Diffusion-weighted和梯度回波T2 *三成像在5天内进行。新的缺血性病变发生的一起我可能是一个有用的标记来识别高危患者未来临床脑血管事件或血管性死亡。
看到p。848年
从作者的普拉巴卡兰& Sheth:“设置急性缺血的证据我已经真正的影响,可能会导致一个新的治疗模式:修改后继发性缺血的风险我为了降低中风复发风险和提高长期的结果。”
看到p。838年
MRI异常儿童发热性癫痫持续状态:FEBSTAT研究
一百九十九个孩子出现发热性癫痫持续状态(FSE)参加FEBSTAT工程师协会的72小时内集连同96控制第一个简单的发热性癫痫。工程师协会儿童急性海马损伤的风险,和大量在海马发展也异常。
Hexanucleotide重复扩张C9ORF72光谱的运动神经元疾病
作者评估的频率和表型hexanucleotide重复扩张C9ORF72家族性肌萎缩性脊髓侧索硬化症患者在78年,1422年与零星的肌萎缩性脊髓侧索硬化症,246年渐进肌肉萎缩,110原发性侧索硬化症,768控制。C9ORF72重复扩张可能出现在运动神经元病的临床表现。
谷氨酸与癫痫患者的神经胶质瘤的风险更高
本研究回顾性调查(190例),然后未来(98名患者)的病人颅骨切开术幕上的神经胶质瘤。相对神经胶质瘤中谷氨酸浓度增加和改变谷氨酸转运体的表达与肿瘤相关的出现癫痫发作有关。
等离子体multianalyte剖析在轻度认知障碍和阿尔茨海默病
独立作者确认4等离子体分析物与轻度认知障碍和阿尔茨海默病相关的两组单中心和多中心的阿尔茨海默病的神经影像学。plasma-based诊断面板是可能的,它必须只包含生物标志物特征明显的与阿尔茨海默病协会是可再生的队列。
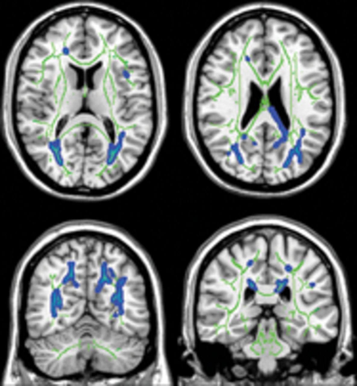
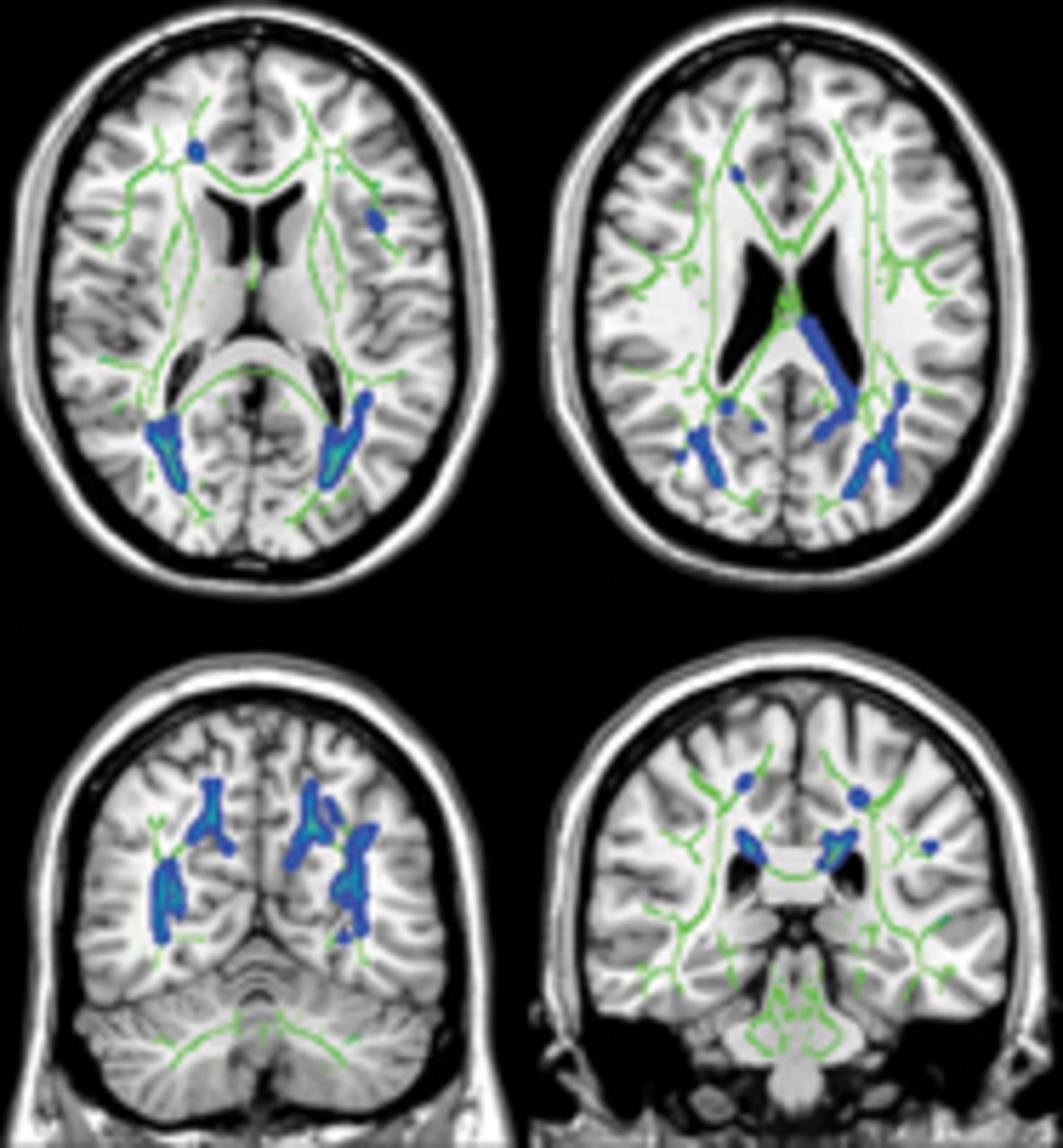
描述与路易体痴呆的扩散张量成像
35路易体痴呆患者,36与阿尔茨海默病,35控制进行了临床和神经心理评估和扩散张量磁共振成像。尽管类似水平的痴呆严重程度、弥散张量成像模式改变阿尔茨海默病和路易体痴呆与不同。进一步的研究是十分必要的。
看到p。906年
当代问题的神经
早期中风死亡率,护理病人的偏好,撤军的偏见
综述了缺血性中风死亡率学术医学中心更好地了解中风住院病人死亡率的原因。37人死亡或排放在2009年临终关怀,36发生后患者或家庭决定撤销或停止维持生命的干预措施。
看到p。941年
注:“居民和神秘的例子:孤立的下丘脑错构瘤vs Pallister-Hall综合症:成像及临床相关性,”看到p。950年。看看其他居民&的提交,将浏览器指向www.首页neurology.org和居民&点击链接的部分。
- 版权©2012年长企业公司,。
信:快速的网络通信
你可能也会感兴趣
相关文章
提醒我
推荐的文章
- 文章
Multiparametric MRI研究C9orf72 ALS分层的基因型阿伦•l Bokde苏珊彼得•比德伯恩等。
首页神经学,2013年6月14日 - 文章
在C9ORF72 Hexanucleotide重复扩张运动神经元疾病的频谱Wouter van Rheenen van Blitterswijk决断,马克到了豪氏威马等。
首页神经学,2012年7月25日 - 文章
体细胞的扩张C9orf72 hexanucleotide重复并不发生在肌萎缩性侧索硬化症脊髓组织杰伊·p·罗斯,克莱尔·s . Leblond Helene Catoire et al。
首页神经学:遗传学,2019年3月20日 - 文章
为临床护理使用广告生物标志物的研究成果ADNI调查员的调查
媚兰b·舒尔曼罗伯特·c·克里斯汀哈金斯绿色et al。
首页神经学,2013年8月21日


