教学神经图片:孤立的下丘脑错构瘤vs Pallister-Hall综合症
成像及临床相关性
孤立的下丘脑错构瘤(HH)有明显的临床表型与Pallister-Hall综合症(小灵通),HH包含更严重的癫痫发作和认知,行为,和内分泌紊乱。1成像特性帮助一个区分这些条件(图1和2)。
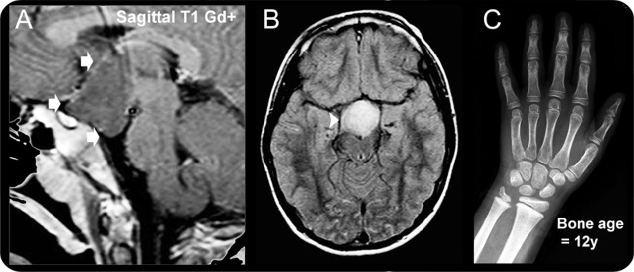
(A, B) MRI证实nonenhancing HH(箭头)。典型的hyperintensity fluid-attenuated反转恢复(箭头)。(C)先进的骨龄。
(A, B) MRI证实nonenhancing下丘脑错构瘤(箭头)isointense灰质在fluid-attenuated反转恢复(箭头)。(C, D)注意弯曲的长骨头,多指趾畸形、发育不良的跖骨(星号)。
孤立HH hyperintense在fluid-attenuated反转恢复并导致性早熟(PP)当他们面向向下(parahypothalamic病变),癫痫占主导地位在固着intrahypothalamic HH。2小灵通与isointense灰质HH,多指趾畸形,皮肤的并指,裂成两半的会厌,肛门闭锁,panhypopituitarism,激活造成移码突变(映射到染色体7 p13)作为一个常染色体显性遗传特点。1
作者的贡献
罗查博士负责这项研究的概念,写手稿,数据的解释。罗莎jr .)博士是负责解释数据和图像的选择。Arita博士负责临床研究的概念和重要的修订手稿。
神秘的情况下反应
系列是由神秘的情况首页®居民和其他部分学员的临床推理能力发展。实习项目,医学院学生教师和个人被邀请去使用这个神秘的情况下作为一个教育工具。反应请求通过一组电子邮件发送到河畔财团的神经学的居民和同伴和通过社会媒体。首页
所有的答案,我们收到了来自个人居民而非团体和他们都合理周到。三个被调查者正确识别的经典外观孤立下丘脑错构瘤(图1)和Pallister-Hall综合症(图2)。孤立时,下丘脑错构瘤呈现严重癫痫、更重要的神经功能障碍,更有可能与性早熟。Pallister-Hall综合症患者通常有控制癫痫发作和内分泌干扰性早熟。
教学这个神秘案件,尽管类似外观的MRI定位和T2 / fluid-attenuated反转恢复特征可能有助于区分这两个实体,因此成像可以作为临床预后因子的进化。
德拉格尼特,医学博士
- 版权©2012年长企业公司,。
信:快速的网络通信
你可能也会感兴趣
相关文章
提醒我
推荐的文章
- 文章
致病变种DYNC2H1、KIAA0556 PTPN11与下丘脑错构瘤Atsushi Fujita Takefumi Higashijima, Hiroshi Shirozu et al。
首页神经学,2019年6月13日 - 文章
内镜切除下丘脑错构瘤的难治性癫痫症状y - t。Ng, h·l . Rekate e·c·Prenger et al。
首页神经学,2008年4月21日 - 文章
下丘脑错构瘤和gelastic癫痫光谱的研究
e . Tasch f . Cendes l . m . et al。
首页神经学,1998年10月1日 - 社论
下丘脑错构瘤和刺猬不是闹着玩的
塞缪尔·j .快乐,意甲首轮Guerrini et al。
首页神经学,2008年2月19日


