1958年2月1日
;8 (2)
病例报告
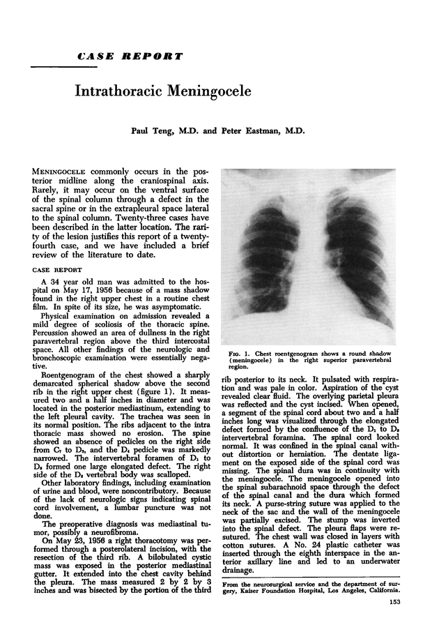
胸内的脑脊髓膜突出
保罗腾,彼得·伊士曼
第一次出版1958年2月1日,
DOI: https://doi.org/10.1212/WNL.8.2.153
信:快速的网络通信
你可能也会感兴趣
广告
相关文章
-
没有找到相关文章。


