教学神经图片:硬脑膜下血肿pseudo-intracranial高血压
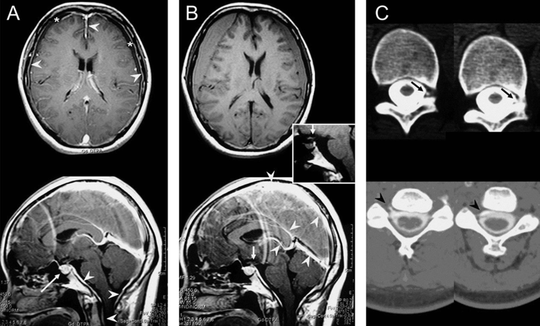
一个40岁的女人面对恶化的头痛伴有呕吐,厌食,耳鸣。头痛最初直立的。MRI显示慢性进行性硬膜下血肿(SDH)重大质量效应,扩散pachymeningeal增强,增强垂体/扩大(图中,A和B),表明颅内低血压由于自发脊髓脑脊液漏,CT证实的脊髓造影术(图中,C)。SDH的脑脊液漏是一个重要的原因,1通过临床和影像学表现,可能会给病人颅内高血压的假象,但没有视神经乳头水肿或脑积水,称为pseudo-intracranial高血压。这一认识是至关重要的因为保守措施,降低颅内压和疏散SDH是有害的。1,2
(一)承认,post-gadolinium t1加权磁共振成像显示硬膜下血肿(SDH,星号),pachymeningeal增强(箭头)和垂体增强/扩大(箭头所指)。(B)两周后卧床休息和水化,pre-gadolinium(上部面板和插图)和post-gadolinium(下图)t1加权磁共振成像显示压缩的SDH的发展正确的侧脑室,从右到左的中线移位,并向下位移的光学仪器(箭头),但pachymeningeal增强和提高垂体/扩大暗示脑脊液体积损耗由于脑脊液漏仍然可以看到post-gadolinium图像(下图)与pre-gadolinium相比图像(插图)。还要注意最小静脉结构的改善充血(箭头)保守治疗后,建议持续脑脊液漏。(C) CT脊髓造影术显示低压H(40毫米2O)和多个CSF漏T11-12(上部面板、箭头)和C4-5(降低电池板,箭头)的水平,随后接受硬膜外血补丁。
作者的贡献
Xing-Lin谭博士:研究概念和设计,起草和修改手稿,采集、分析和解释数据。波肖博士:采集、分析和解释数据。Qi-Dong杨医生:采集、分析和解释数据。青黄博士:采集、分析和解释数据。局域网肖博士:数据的分析和解释。Bei-Sha唐博士:分析和解释数据,研究监督。
研究资金
没有针对性的资金报告。
脚注
作者报告没有披露相关的手稿。去首页Neurology.org为充分披露。
- ©2012美国神经病学学会的首页
信:快速的网络通信
你可能也会感兴趣
相关文章
主题讨论
提醒我
推荐的文章
- 文章
自发性颅内低血压放射的功效定位和盲目的血补丁
K.-I。曹,H.-S。月亮,周宏儒。全et al。
首页神经学,2011年3月28日 - 文章
CSF血容量减少和颅内低血压在“自发颅内低血压综合症”长谷川k . Miyazawa y志贺,t . et al。
首页神经学,2003年3月25日 - 文章
椎间盘突出微距棘手的自发性颅内低血压的主要原因尤尔根•贝克,基督教t·乌尔里希,基督教Fung et al。
首页神经学,2016年8月26日 - 简短的沟通
头颅MRI自发颅内低血压的预测结果Wouter Schievink,查尔斯m . Marcel玛雅Louy et al。
首页神经学,2005年4月11日


