珍珠& Oy-sters
可逆的水中精灵的诅咒侧髓梗塞
珍珠
水中精灵的诅咒是一个齐名的人,指中央肺泡呼吸暂停/呼吸浅慢收购或先天性脑干疾病患者中可见。这种情况导致的损失和/或自动自愿呼吸障碍特点找到的受损通风机反应血碳酸过多症,睡眠呼吸暂停,在非快速眼动睡眠期更加明显,在快速眼动睡眠少,至少在觉醒。
脑干梗死影响呼吸神经元髓可能导致水中精灵的诅咒。一夜之间高度怀疑的心理指标与血氧监测和/或多导睡眠图诊断这种情况是必要的。干预可能是灾难性的失败,导致在睡眠中死亡。
最初的治疗选择包括机械呼吸机支持逐步断奶,在某些情况下,横隔膜的节奏。
OY-STERS
脑干梗死患者应密切监测呼吸暂停/呼吸不足特别是在睡觉。早期诊断中风的这个条件在急性或亚急性阶段可能防止严重心肺并发症与呼吸机支持,促进功能恢复。
病例报告
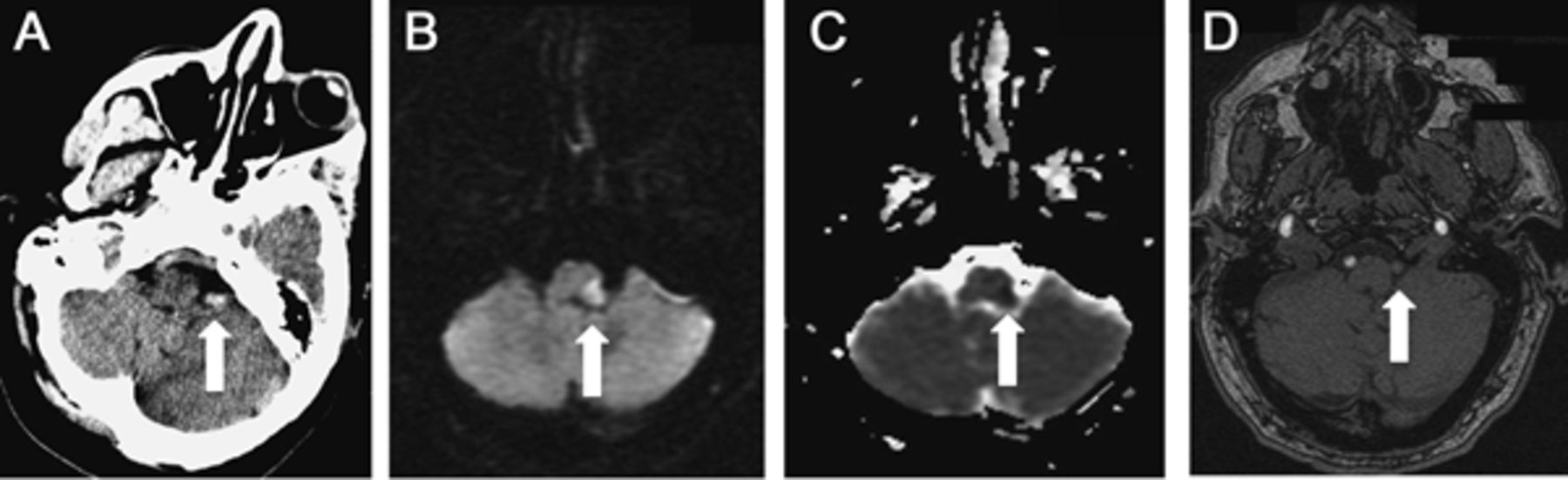
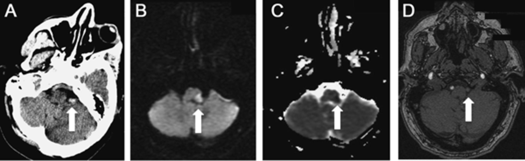
60岁的人与历史的高血压和血脂异常出现突发性眩晕、头痛、恶心和呕吐。在急诊室,他的神经系统检查发现左霍纳综合征、构音障碍、言语障碍、多方向的扭转眼球震颤,左附属物的测距不准,共济失调,左面部和身体偏身麻木。脑血管成像显示急性梗死在左边侧髓质由于左椎动脉解剖(图1)。病人需要胃造口术插入10天后的持久的吞咽困难。在手术中,病人成为窒息在收到咪达唑仑和需要紧急插管。重复成像显示梗塞大小没有变化。病人清醒后立即拔管,但reintubated紧急地睡眠,因为完整的呼吸停止。他24小时显示完整的睡眠呼吸暂停和呼吸模式缺乏呼吸驱动血碳酸过多症(pH = 7.22, P有限公司2P = 60,o2= 89),立即恢复自主呼吸的觉醒。通风机的病人接受气管造口术和出院康复机构,4个月后,他就断了夜间通风。
讨论
水中精灵是一个基于德国童话神话海仙女Fouque在1811年写的。它告诉关于爱情,背叛,和水中精灵的灭亡的爱人带给法律。这齐名的人Severinghaus和米切尔于1962年首次使用来描述一个63岁的老人开发长期的高颈脊髓和脑干手术后呼吸暂停。1从那时起,水中精灵被称为海仙女诅咒他的不忠爱人失去睡眠时呼吸。
呼吸是集中由3互联核组2,3(图2)。桥的呼吸道集团由parabrachial / Kolliker-Fuse复杂的延髓背外侧脑桥的呼吸中枢整合pulmo-mechanoreceptor反射和携带信息如杏仁核和下丘脑suprapontine结构。背呼吸组位于核束从外围呼吸道化学感受器和接收传入信号的机械和集成了呼吸和心血管反应。腹侧呼吸组(VRG)是一个长列的神经元从颈绳C1延伸至略低于面部核。它分为4个不同的核复合体。开始吻侧,Botzinger复杂呼气神经元和可以抑制吸气神经元细胞核retroambigualis。pre-Botzinger复杂函数作为呼吸节奏模式发生器。吻侧VRG位于细胞核ambiguus腹吸气bulbospinal神经元。最尾核设施核retroambigualis bulbospinal呼气神经元。
控制呼吸是由3个相互关联的核组:桥的呼吸组(parabrachial / Kolliker-Fuse复杂),背呼吸组(核束solitarius),和背的大列呼吸组(Botzinger复杂,pre-Botzinger复杂,延髓腹侧呼吸组(VRG)和尾VRG)。最初发表在首页®:Benarroch大肠脑干呼吸chemo-sensitivity:新见解和临床意义。首页神经学2007;68:2140 - 2143。允许转载,©2007,美国神经病学学会。首页
自动呼吸,睡眠很重要,由反馈控制机制依赖于氧气的变化,二氧化碳,血液和脑脊液和pH值。2外围oxygen-sensitive受体位于颈动脉体和敏感的神经元如血清素激活的和glutaminergic神经元髓中缝和髓表面发束核和VRG传入信号。以前的临床病理的研究表明,批判性地放置在脑干病变可以选择性地影响自动或自愿呼吸。4完全丧失的自动和自愿呼吸中观察到的病变在pontomedullary网状结构,核束solitarius, ambiguus核,核retroambiguus。较小的病变涉及有限的一部分外侧髓质包括骨髓网状结构和核ambiguus抽出背髓质和核束solitarius一边自动呼吸造成损失。研究还发现,双边pontomedullary或髓病变并不必然导致肺换气不足。有趣的是,失去自主呼吸与完整的自动呼吸之前报道的离散梗死患者腹侧基庞帝。5这些支持,至少有2个单独的神经通路控制呼吸。
睡眠呼吸障碍的黄金标准评价与血液气体分析和多导睡眠图血碳酸过多症的挑战。中央呼吸暂停是指> 10秒停止气流没有胸/膈游览见体积描记法。在脊髓前动脉综合征的复杂与水中精灵的诅咒,多导睡眠图研究,显示连续中央出现呼吸暂停后立即入睡伴随着10到30秒的温和的血氧饱和度下降(3% - -6%)和无慢波和快速眼动睡眠。6我们没有在我们的病人进行多导睡眠图。期间复发性窒息法术睡眠状态(夜间或白天)立即返回自主呼吸的觉醒和缺乏通风机应对血碳酸过多症血液气体分析证实了我们诊断记录的中央呼吸暂停。50 -百分之七十的中风患者睡眠呼吸障碍;然而,中央通气综合征的确切发病率在脑干中风仍然是未知的。此外,出现这些事件一直在不定地报道案例报告从在24小时内到直到3个月后脑干中风。7在一个前瞻性研究,研究了低通气指数和中央呼吸暂停指数的差异在中风急性期(48 - 72小时)和稳定阶段(3个月),支持者发现中央呼吸暂停指数显著降低后3个月。8监测病人的中风急性期中央呼吸暂停使用连续脉搏血氧仪建议,持续严重的球功能障碍患者保证不再监视和多导睡眠图。然而,期间监测目前不清楚;然而,集稀释需要活跃的调查。目前,长期使用的机械呼吸机支持或膈踱步是唯一的管理形式。
我们的病人显示急性髓功能障碍之后,选择性自动呼吸的损失。目前尚不清楚为什么中央呼吸暂停发生中风后10天。临床恶化后腔隙梗死已被广泛报道,可能导致血栓传播、流动限制动脉病变提供缺血区,和perilesional水肿。9,10我们怀疑二级神经元变性、凋亡或涉及当地的突触可塑性异常互联可以解释延迟发展的横向髓梗塞后水中精灵的诅咒,几天到几个月不等dt -。同样,血氧不足二次修改自动呼吸在脑干梗死hypercapnia-induced大脑血管收缩可以增加缺血。因为多个呼吸中心可能不同影响急性脑干梗死后,我们提出一个分类中央通气障碍的急性缺血性中风后指导定位和未来管理系列(表)。
这种情况可能是可逆的,患者应该积极支持全面机械通风。早期神经康复是可能的,应该发起,促进功能恢复。病人气管造口术和出院通风康复机构和呼气末正压通气的+ 5的启发30%的氧气在晚上和室内空气气管造口术而清醒。随后的门诊记录显示,病人最终脱离夜间通风没有合成夜间稀释在接下来的4个月。水中精灵的诅咒侧髓梗塞后是一种潜在致命的并发症,必须认识到早期避免预防心肺衰竭。脑干中风参与权证密切监测呼吸和血氧饱和度,因为他们有助于损伤的程度和患者的功能预后。
研究资金
没有针对性的资金报告。
信息披露
作者报告没有披露相关的手稿。去Neuro首页logy.org充分披露。
脚注
去Neuro首页logy.org充分披露。资金信息和披露认为作者相关的,如果有的话,年底提供这篇文章。
- ©2013美国神经病学学会的首页
引用
信:快速的网络通信
你可能也会感兴趣
相关文章
主题讨论
提醒我
推荐的文章
- 神经科学研究的临床意义
脑干呼吸化学敏感性:新见解和临床意义爱德华多·e·Benarroch et al。
首页神经学,2007年6月11日 - 神经科学研究的临床意义
脑干的集成觉醒、睡眠、心血管和呼吸系统控制爱德华多·e·Benarroch et al。
首页神经学,2018年10月24日 - 文章
睡眠呼吸障碍在脊髓空洞症和延髓空洞症m . Nogues r基因大肠Benarroch et al。
首页神经学,1999年6月1日 - 神经科学研究的临床意义
Parabrachial核设施多种功能和潜在的临床意义
爱德华多·e·Benarroch et al。
首页神经学,2016年1月20日


