2013年1月8日
;80 (2)
居民和其他部分
教学神经图片:大脑皮层Pseudohypertrophic末期克雅二氏症
莎拉Gasparini,Edoardo Ferlazzo,达米亚布兰卡,安吉洛Labate,维特多利亚Cianci,玛利亚阿黛尔拉泰拉,Umberto Aguglia
第一次出版2013年1月7日,
DOI: https://doi.org/10.1212/WNL.0b013e31827b92bd
莎拉Gasparini
从麦格纳Græcia Catanzaro大学(信号发生器,E.F.,U。A.), and Regional Epilepsy Centre (D.B., V.C., M.A.L.), Bianchi-Melacrino-Morelli Hospital, Reggio Calabria; and Institute of Neurology (A.L.), Magna Græcia University of Catanzaro, Italy.
Edoardo Ferlazzo
从麦格纳Græcia Catanzaro大学(信号发生器,E.F.,U。A.), and Regional Epilepsy Centre (D.B., V.C., M.A.L.), Bianchi-Melacrino-Morelli Hospital, Reggio Calabria; and Institute of Neurology (A.L.), Magna Græcia University of Catanzaro, Italy.
达米亚布兰卡
从麦格纳Græcia Catanzaro大学(信号发生器,E.F.,U。A.), and Regional Epilepsy Centre (D.B., V.C., M.A.L.), Bianchi-Melacrino-Morelli Hospital, Reggio Calabria; and Institute of Neurology (A.L.), Magna Græcia University of Catanzaro, Italy.
安吉洛Labate
从麦格纳Græcia Catanzaro大学(信号发生器,E.F.,U。A.), and Regional Epilepsy Centre (D.B., V.C., M.A.L.), Bianchi-Melacrino-Morelli Hospital, Reggio Calabria; and Institute of Neurology (A.L.), Magna Græcia University of Catanzaro, Italy.
维特多利亚Cianci
从麦格纳Græcia Catanzaro大学(信号发生器,E.F.,U。A.), and Regional Epilepsy Centre (D.B., V.C., M.A.L.), Bianchi-Melacrino-Morelli Hospital, Reggio Calabria; and Institute of Neurology (A.L.), Magna Græcia University of Catanzaro, Italy.
玛利亚阿黛尔拉泰拉
从麦格纳Græcia Catanzaro大学(信号发生器,E.F.,U。A.), and Regional Epilepsy Centre (D.B., V.C., M.A.L.), Bianchi-Melacrino-Morelli Hospital, Reggio Calabria; and Institute of Neurology (A.L.), Magna Græcia University of Catanzaro, Italy.
Umberto Aguglia
从麦格纳Græcia Catanzaro大学(信号发生器,E.F.,U。A.), and Regional Epilepsy Centre (D.B., V.C., M.A.L.), Bianchi-Melacrino-Morelli Hospital, Reggio Calabria; and Institute of Neurology (A.L.), Magna Græcia University of Catanzaro, Italy.
一个43岁的女人提供1个月的进步下肢烧灼感,视力模糊、步态障碍。她的母亲死于克雅氏病(CJD)。神经系统检查发现只有小脑性共济失调。脑电图显示周期性广义排放。核磁共振成像(图1)显示fluid-attenuated反转恢复(天赋)hyperintensity尾状核和豆状核。分子分析证实遗传库贾氏症(含有朊E200K突变)。一个月后,她进入昏迷。10个月后,脑电图显示弥漫性背景压扁没有周期异常,和核磁共振成像(图2)披露扩散假肥大的大脑皮层。MRI在这个患者终末期库贾氏症允许我们揭示体内宏观海绵状的变化通常在解剖观察。1,2
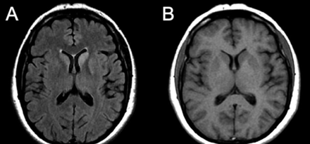
图1
核磁共振在入学
轴向fluid-attenuated反转恢复图像(一个)显示信号hyperintensity尾状核头部,在离开豆状核和内侧额叶皮层双边。轴向t1加权图像(B)是正常的。
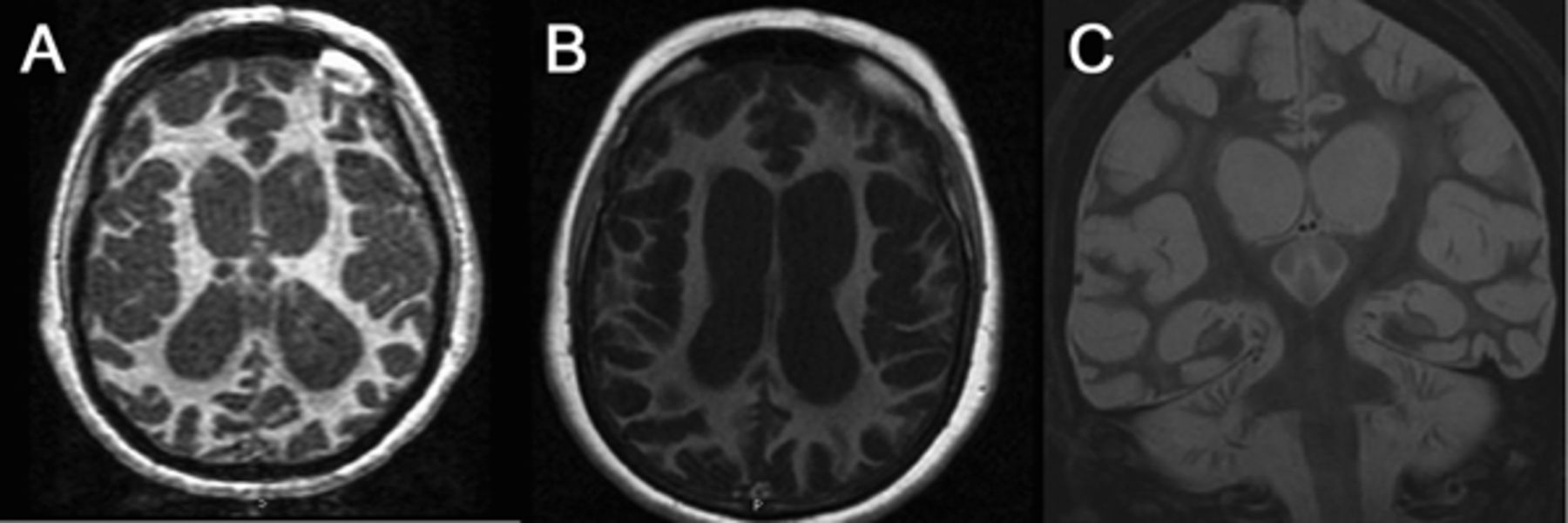
图2
MRI 1年之后
轴向fluid-attenuated反转恢复(A), t1 (B),日冕t2加权图像(C)揭示标志着旋转的萎缩和大脑皮层增厚CSF-like信号和侧脑室增大(pseudohypertrophic皮层)。同样明显的是弥漫白质高密度。
作者的贡献
Gasparini和大肠Ferlazzo:起草/修订手稿的内容,包括医学写作内容;研究或设计概念。d·布兰卡a . Labate诉Cianci,硕士拉泰拉:分析或解释的数据。美国Aguglia:起草/修订手稿的内容,包括医学写作内容;研究或设计概念;监督或协调研究。
研究资金
没有针对性的资金报告。
信息披露
作者报告没有披露相关的手稿。去首页Neurology.org为充分披露。
- ©2013美国神经病学学会的首页
信:快速的网络通信
你可能也会感兴趣
广告
相关文章
主题讨论
提醒我
推荐的文章
- 文章
实验克雅氏病疾病的传播和相关疾病的啮齿动物霍克j . Tateishi t . Kitamoto m z . et al。
首页神经学,1996年2月1日 - 文章
D178N (cis - 129 m)“致命的家族性失眠”突变与澳大利亚的不同临床病理的表型有关c·a·麦克莱恩e .层R.J.M.加德纳等。
首页神经学,1997年8月1日 - 文章
克雅二氏症与小说四extra-repeat PrP的插入突变基因g·罗西,g . Giaccone l . Giampaolo et al。
首页神经学,08年8月,2000年 - 文章
高发病率的基因在意大利人类传染性海绵状脑病a . Ladogana m . Puopolo Poleggi et al。
首页神经学,2005年5月9日


