2013年1月15日,
;80 (3)
居民和其他部分
神秘的例子:Hemiballism顶叶梗死患者
Meng-Chen吴,Ruoh-Fang日元,Chin-Hsien林,Ruey-Meei吴
第一次出版2013年1月14日,
DOI: https://doi.org/10.1212/WNL.0b013e31827deb11
Meng-Chen吴
从神经学部门(M.-C.W。首页,C.-H.L。,R.-M.W.) and Nuclear Medicine (R.-F.Y.), National Taiwan University Hospital, Taipei.
Ruoh-Fang日元
从神经学部门(M.-C.W。首页,C.-H.L。,R.-M.W.) and Nuclear Medicine (R.-F.Y.), National Taiwan University Hospital, Taipei.
Chin-Hsien林
从神经学部门(M.-C.W。首页,C.-H.L。,R.-M.W.) and Nuclear Medicine (R.-F.Y.), National Taiwan University Hospital, Taipei.
Ruey-Meei吴
从神经学部门(M.-C.W。首页,C.-H.L。,R.-M.W.) and Nuclear Medicine (R.-F.Y.), National Taiwan University Hospital, Taipei.
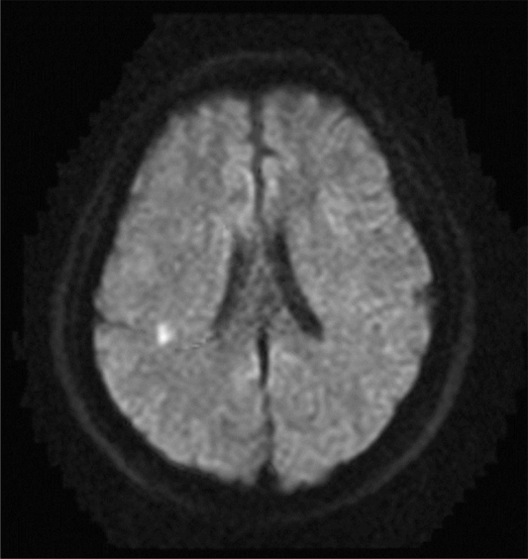
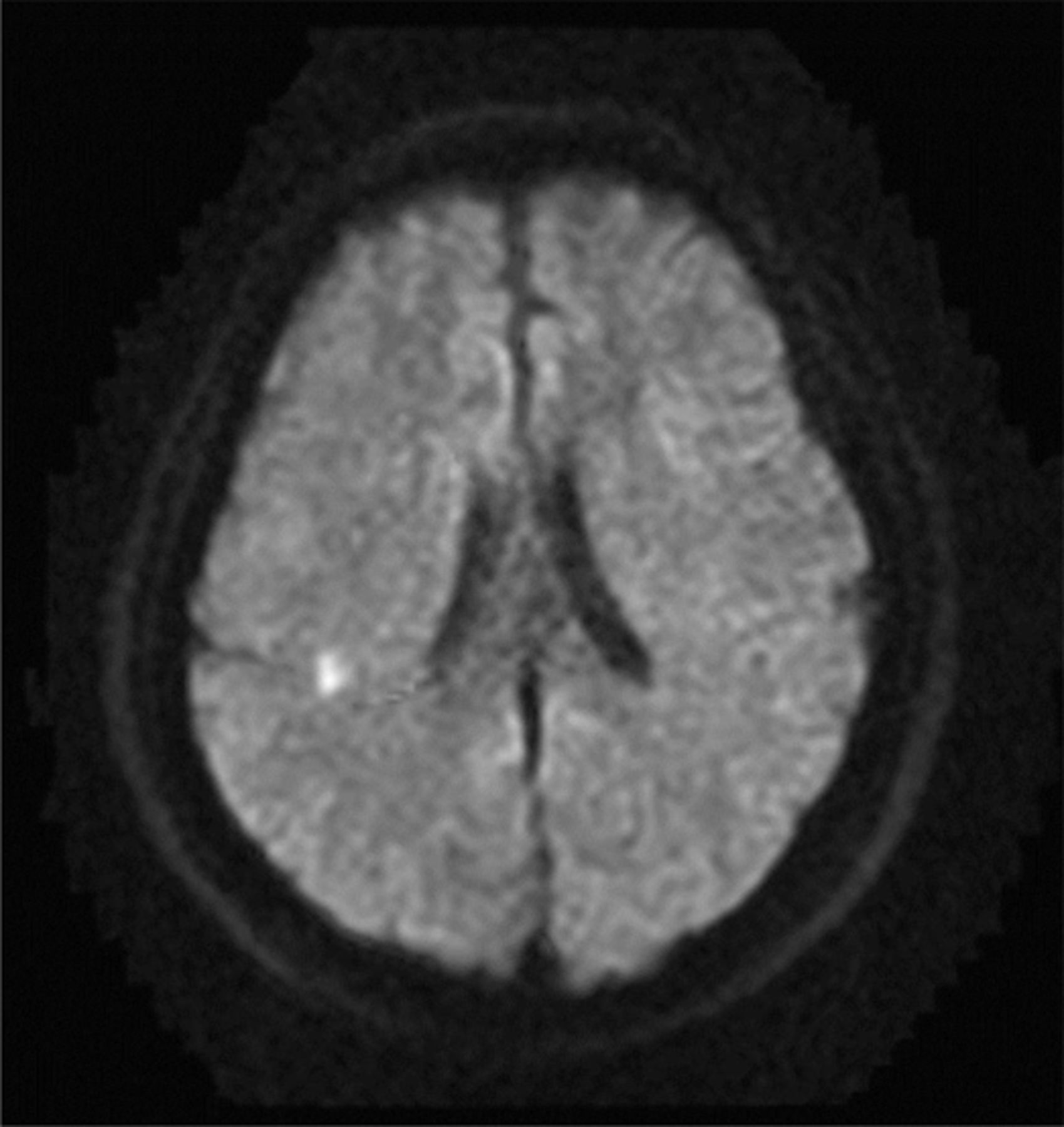
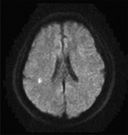
一个60岁的老男人有心房颤动病史的急性发作的弹道运动的肢体与感官灭绝(视频首页神经病学®网站www.首页neurology.org)。病人接受利培酮和抗凝剂;症状消退后3天。脑部核磁共振成像显示急性梗死的权利后顶叶(图1)和SPECT显示低灌注的frontoparietal区域(图2)。
图2
患者的脑SPECT图像
(一)轴向视图的SPECT frontoparietal水平。(B) 3 d皮质灌注SPECT图像在同一水平。箭头表示低灌注的frontoparietal地区。
Hemiballism是一种少见的运动障碍常与病变底丘脑核(STN)。外病变STN很少报道。1,2杂乱无章的感觉运动集成在frontoparietal叶导致减少兴奋性输出STN可能会导致这种现象。
研究资金
没有针对性的资金报告。
信息披露
作者报告没有披露相关的手稿。去Neuro首页logy.org充分披露。
神秘的情况下反应
系列是由神秘的情况首页神经病学®居民和其他部分学员的临床推理能力发展。实习项目,医学院学生教师和个人被邀请去使用这个神秘的情况下作为一个教育工具。反应请求通过电子邮件发送到一组美国神经病学学会财团的神经学的居民和同伴和通过社会媒体。首页所有的答案,我们收到了来自个人居民而非团体和他们都合理周到。大多数受访者(90%以上)正确地确定了非自愿,大幅度,扔左侧肢体运动和单侧抽搐和认为是缺血性中风最可能的机制;30%的受访者认为病变网站除了STN,包括基底神经节和大脑皮层。
教学这个神秘案件,虽然大多数损伤导致单侧抽搐发生在皮层下核(经典STN),有报告病例皮质结构损伤造成单侧抽搐。此外,STN的病变通常产生一个比其他结构的损伤更严重的运动障碍。1
德拉格尼特,医学博士
儿童医院,多伦多大学,多伦多,加拿大。
脚注
- ©2013美国神经病学学会的首页
引用
信:快速的网络通信
你可能也会感兴趣
广告
相关文章
提醒我
推荐的文章
- 文章
比较单边和双边丘脑核脑深部电刺激的影响r·库马尔点Lozano,大肠森那美等。
首页神经学,1999年8月1日 - 文章
丘脑核刺激调节传入抑制帕金森病答:帆船,d . i Cunic天堂g . o . et al。
首页神经学,2007年1月29日 - 文章
脑深部电刺激在早期帕金森病五年的结果
马洛里l .黑客格言Turchan,劳伦大肠Heusinkveld et al。
首页神经学,2020年6月29日 - 加快出版
双盲评估丘脑核脑深部电刺激在先进的帕金森病r·库马尔a . m . Lozano y . j . et al。
首页神经学,1998年9月1日


