临床推理:一位45岁的女人与可逆的双边听力损失
第一节
一个45岁的女人抱怨历史进步的两个月的双边听力障碍和复视向上凝视。她的历史松果体地区报告反复复发肿瘤切除,我们对脑室-腹腔转流术辅助放疗,12年之前执行。6年前后续成像研究显示地区松果体囊肿逐渐增加的规模和Rickham水库(科德曼;强生,雷纳姆,MA)被用于经皮囊肿液抱负。胆囊病变的大小保持不变,在随访CT扫描了好几年。
入学那天,女人不抱怨头痛和视力没有模糊。体格检查,病人完全清醒与重大双边听力障碍和向上的共轭凝视麻痹。她的视力是20/40在每只眼睛和她的视觉领域都完好无损。Fundoscopy显示,没有证据表明视神经乳头水肿。可压缩和加快速阀改为脑室-腹腔分流术。
第二节
进一步身体检查,有双边直接瞳孔对光反射损失,但保存的住宿条件反射。没有收敛性眼球震颤可以观察到。
主要鉴别诊断肿瘤恶化,postradiation治疗囊性改变,和复发出血囊性转变。肿瘤进展可以通过增加诊断肿瘤的坚实的组成部分。
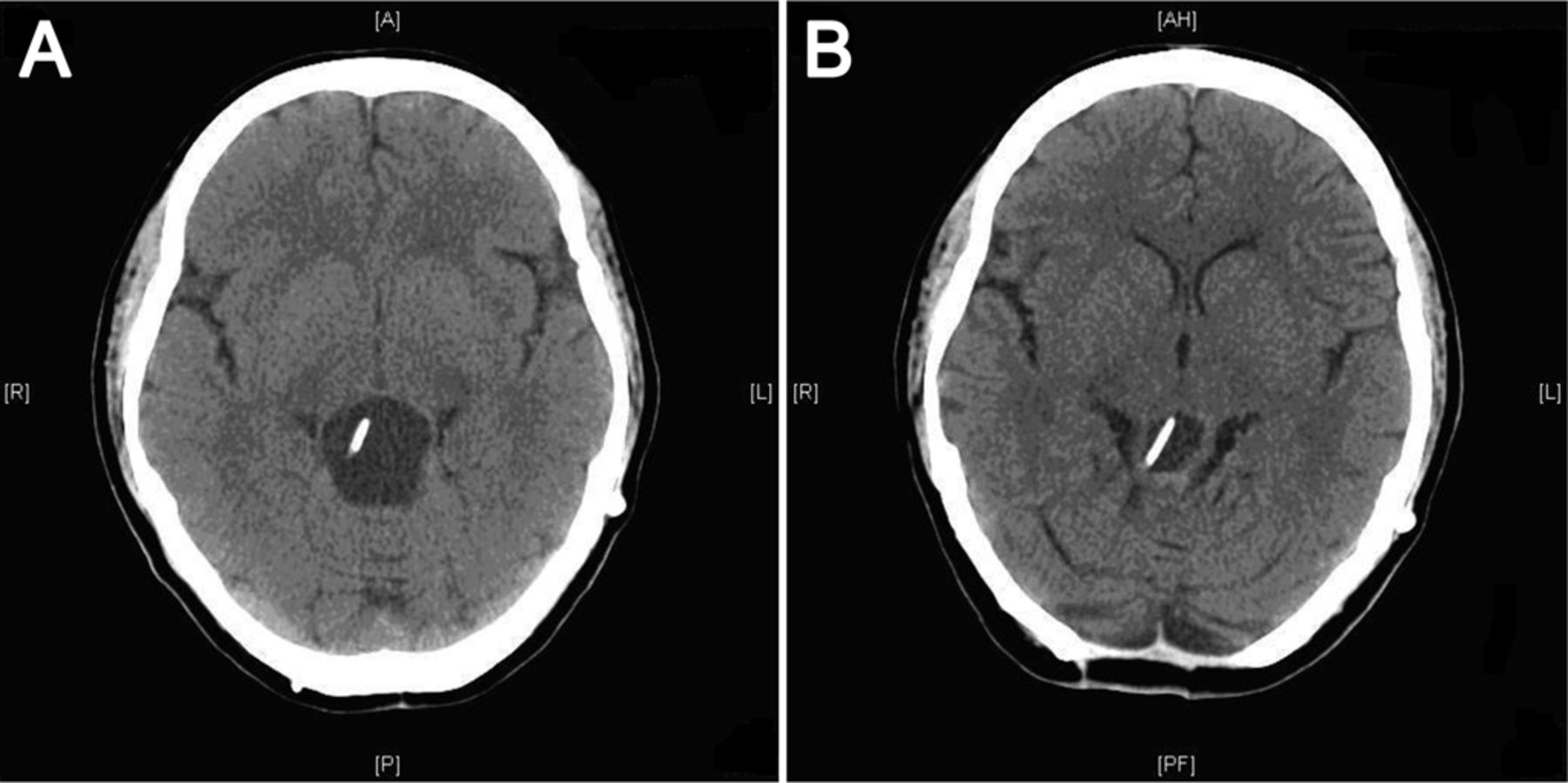
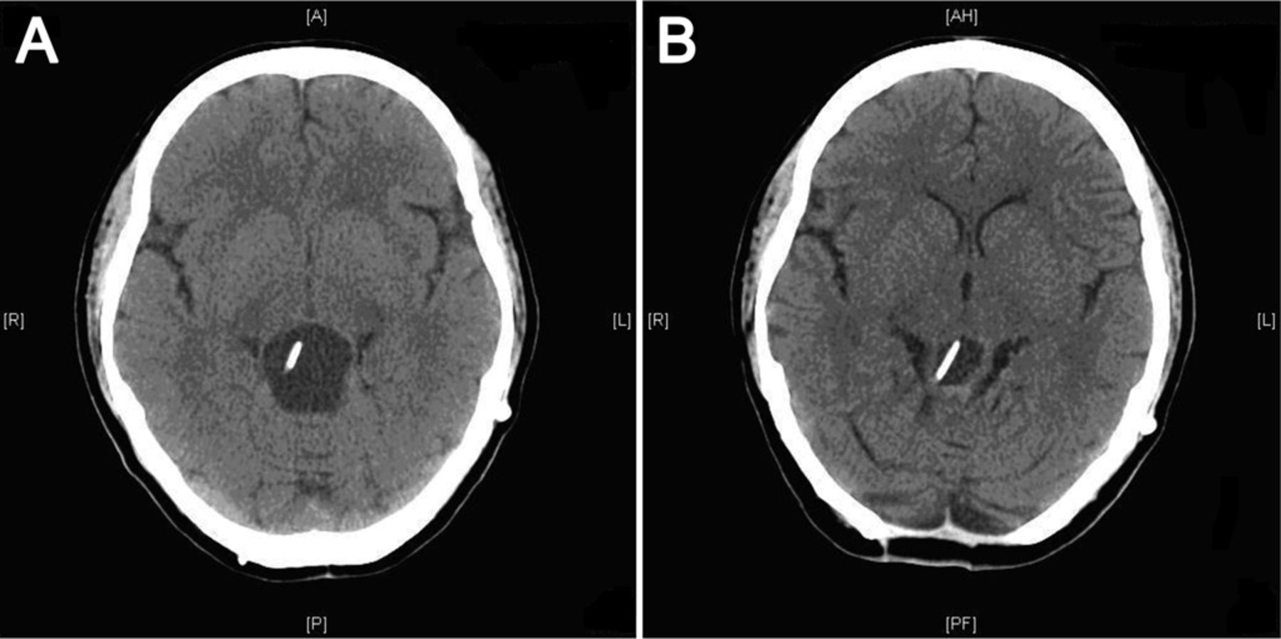
第一个调查(一个完整的床边临床检查之后)是一个41头部的CT扫描来评估已知的松果体囊肿,水库和分流安置和任何其他颅内病变。MRI能产生更高的分辨率的图像,但可能不会立即可用。她松果体区囊肿,CT扫描显示显著的递增规模相比一年前她最后的成像研究。颅内Rickham水库导管内原位囊肿(图1一个)。导管改为脑室-腹腔分流术也在位置和没有脑积水。经皮囊肿通过Rickham水库的愿望是未遂,总共20毫升淡稻草色的羊水持续产生。她双边听力显著改善和向上共轭凝视麻痹囊肿愿望后完全解决。重复CT扫描显示显著减少松果体区囊肿的大小(图1 b)。核磁共振大脑扫描显示松果体区囊肿与厚增强墙压缩对中脑和后第三脑室。吸气液被送细胞学检查,返回对恶性肿瘤细胞不利。
第三节
流体地重新汇聚起来的松果体囊肿是假定与复发microhemorrhage囊肿壁分泌物或活跃。
第四节
PTA显示显著的左高频听力损伤对空气和骨传导(建议感觉神经的听力障碍),后恢复的愿望。语音识别评估显示双边障碍(左比右),这愿望后明显改善。这个病人特点BAEP模式建议直接压缩对tectal板的损伤的影响。Preaspiration BAEP录音显示双边波浪III-V interpeak延迟增加(左比右),后减少抱负。
病人发展双边听力损失和复视2周后复发。重复CT扫描显示重新崛起的松果体囊肿。执行cysto-peritoneal分流和瞬态改善她的症状,与解压囊肿的影像学检查。她的症状复发4周后,最终一个infratentorial-supracerebellar开颅方法与病灶全切除。最终病理报告证实了松果体地区我神经胶质瘤(年级)。她手术后症状改善,后续成像没有显示松果体区肿瘤的复发。
讨论
松果体区病变患者经典Parinaud综合症,四分体的迹象包括向上的共轭性麻痹、Argyll-Robertson学生,我。e,损失与保存直接瞳孔光反射的住宿反射、convergence-retraction眼球震颤,眼睑收缩,由于直接背中脑的压缩,否则称为tectal板或四叠体。
清楚地了解听觉通路的神经解剖学是至关重要的在解释这个病人的听力障碍很大松果体区肿瘤的结果。从耳蜗神经纤维的接收侧脑桥的耳蜗核,该继电器错综复杂的提升脑干预测两国优良的橄榄形的原子核,横向lemnisci,中脑的劣质丘。因此两内侧膝状体的前脑单独接收听觉皮层双耳传递信息。1由于这些广泛的双耳听觉互连网络,结果表示,松果体区病变必须压缩桥的横向lemnisci和中脑低丘(分别为解剖发电机为波IV和V)双边为了产生双边感觉神经的听力损失。2,- - - - - -,4
不确定这些症状发生率的原因之一是,他们很容易被忽视。在一系列案例12松果体肿瘤病例中,5例有听力损失的证据tectal板压缩在尸检。5在另一个案件中一系列的72例松果体区肿瘤,13(18%)被发现可衡量的听力障碍。4
双边听力损失可能发生在松果体区肿瘤患者,不应忽视。他们甚至可能是可逆的适当治疗后在我们的病人。的主要机制是直接双边压缩下丘和证实肿瘤切除后立即改善听力。
作者的贡献
G.K. Wong和朱X.L.构思这篇论文;P.Y.吸引和J.Y.销量起草论文;所有作者的贡献,同意论文的最终版本。
研究资金
没有针对性的资金报告。
信息披露
作者报告没有披露相关的手稿。去首页Neurology.org为充分披露。
脚注
去首页Neurology.org为充分披露。资金信息和披露认为作者相关的,如果有的话,年底提供这篇文章。
- ©2013美国神经病学学会的首页
引用
信:快速的网络通信
你可能也会感兴趣
相关文章
提醒我
推荐的文章
- 居民和其他部分
珍珠和Oy-sters:主要与Leptomeningeal松果腺黑色素瘤癌扩散阿什利·e·Aaroe伊莎贝拉c Glitza奥利瓦,Nagham Al-Zubidi et al。
首页神经学,2021年4月30日 - 临床/科学的笔记
松果体卒中复发的一个孩子格Enam Kashif马吉德,美国等。
首页神经学,2007年7月2日 - 居民和其他部分
临床推理:多发性颅神经病变的年轻人约翰·c·Probasco阿什利·t·Munchel贾斯汀·c·麦克阿瑟et al。
首页神经学、04年2月,2013年 - 简短的沟通
听觉失认症引起的tectal生殖细胞瘤Chun-Liang锅,Meng-Fai郭,Sung-Tsang谢长廷等。
首页神经学,2004年12月28日


