2013年1月15日,
;80 (3)
居民和其他部分
教学视频神经图片:Micronystagmus oculopalatal震颤
北美劳工国际工会张成泽,凉山州Borruat
第一次出版2013年1月14日,
DOI: https://doi.org/10.1212/WNL.0b013e31827debc3
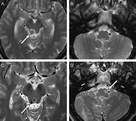
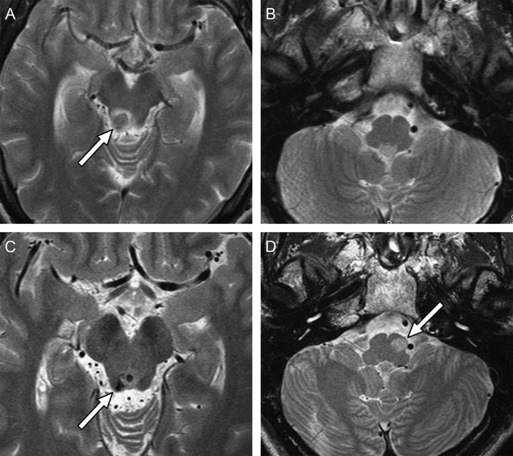
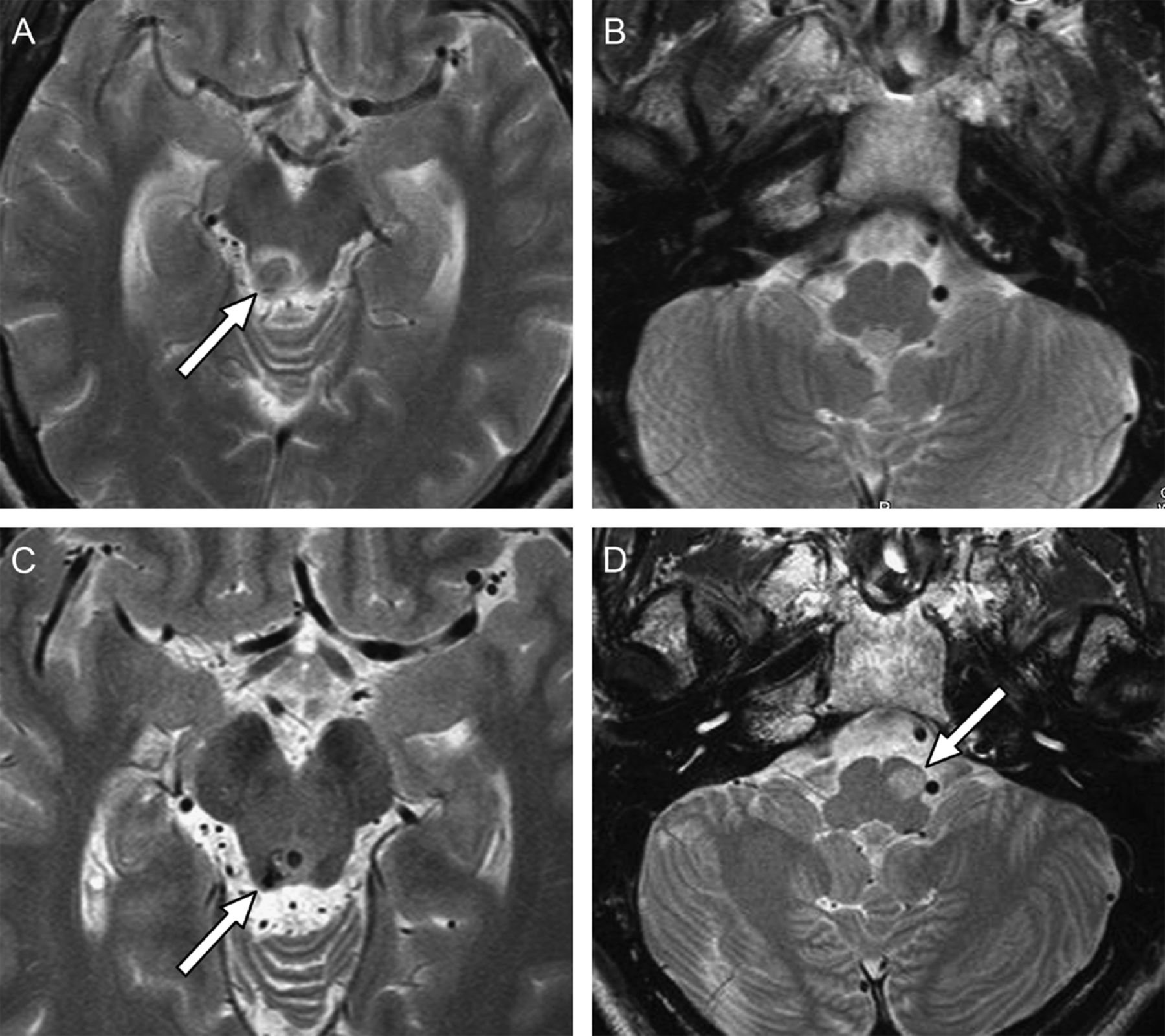
三个月后脑干出血,MRI显示hyperintense损伤左一个45岁的男人的下橄榄核(图)。患者完全无症状,但展出oculopalatal震颤(选择),有节奏的腭振荡,和小振幅垂直摆动的右眼眼球震颤,最佳可视化眼底检查(见视频)。
选择是由抑制性dentato-olivary路径的中断,导致同步振荡的橄榄形的神经元。这个途径穿过中脑然后下降到侧下橄榄核。1,2
无症状的选择是罕见的。Micronystagmus可以忽略简单观察但很容易检测到在眼底检查。
作者的贡献
北美劳工国际工会张成泽是一个作者,并导致起草和修改手稿。凉山州Borruat是一个作家,造成数据采集和修改手稿。
信息披露
l .张成泽报告没有披露。F.-X。Borruat收到诺华的谢礼参加临床试验和艾尔建的演讲。去首页Neurology.org为充分披露。
脚注
本研究由瑞士联邦卫生部批准(授权035.0003 # -48)。
- ©2013美国神经病学学会的首页
信:快速的网络通信
你可能也会感兴趣
广告
相关文章
提醒我
推荐的文章
- 文章
收购了摆动的眼球震颤在多发性硬化症和oculopalatal震颤c . Tilikete l . Jasse Pelisson d . et al。
首页神经学,2011年5月9日 - 文章
眼部振荡模式oculopalatal震颤成像的相关性
j·s·金,郑胜耀月亮,k - d。崔et al。
首页神经学,2007年4月2日 - 居民和其他部分
珍珠和Oy-sters: Oculopalatal震颤与半桥的出血后综合症亚阿拉丁,詹姆斯•Scozzafava Taim Muayqil et al。
首页神经学,2008年10月13日 - 情况下
Oculopalatal震颤在多发性硬化症与自发的决议赫曼特Parmar Padmaja Sudhakar,韦恩·t·Cornblath等。
首页神经学:临床实践,2012年9月17日


