2013年1月22日
;80 (4)
神经图片
影子在T2 *大脑图像在自发的大脑中动脉解剖
Jin-Man荣格,小母鸡李,月亮Ho公园,年轻的Kwon
第一次出版2013年1月21日,
DOI: https://doi.org/10.1212/WNL.0b013e31827f0916
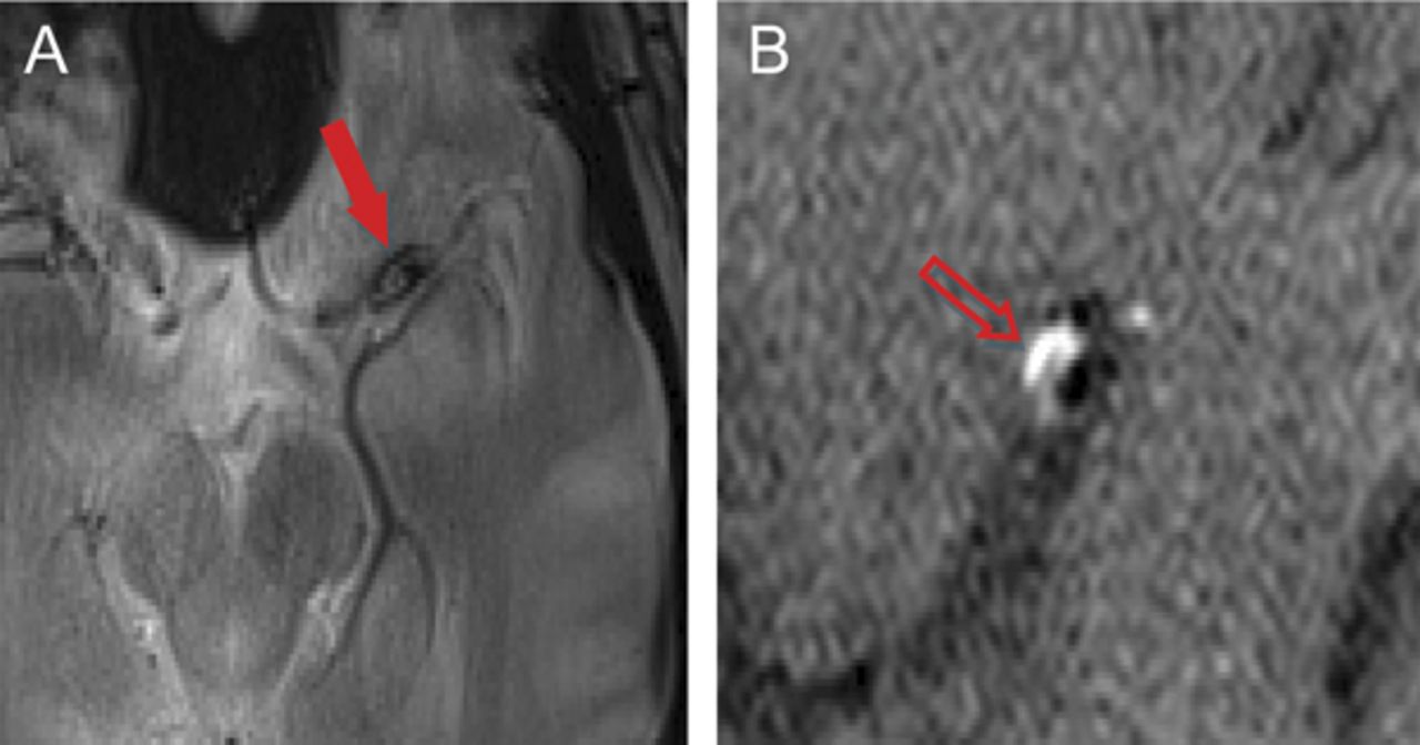
一个29岁的男人面对单边轻微的头痛3天,类似于以前的头痛,但与进行性加重;没有前期感染或创伤。MRI显示左striatocapsular梗死(图1一个),没有证据表明cardioembolism或血管炎。数字减影血管造影显示左大脑中动脉(MCA)狭窄的树干(图1 b)。校内的血肿显示动脉解剖。1膨胀的校内的血肿在T2 *与一个古怪的高信号边缘上矢状t1加权成像,沿着前上的MCA动脉穿支的起源(墙图2)。诊断是自发MCA解剖。
图2
影子从校内血肿迹象
低信号强度(箭头),在左边M1树干在T2 *图像(“影子标志”)和高信号边缘(B,空心箭头)的中期部分左大脑中动脉在矢状高分辨率t1加权图像。
脚注
研究经费:没有针对性的资金报告。
披露:作者报告没有披露相关的手稿。去首页Neurology.org为充分披露。
- ©2013美国神经病学学会的首页
信:快速的网络通信
你可能也会感兴趣
广告
相关文章
-
没有找到相关文章。
提醒我
推荐的文章
- 文章
异常儿童动脉缺血性中风的颈动脉Vijeya Ganesan,蒂莫西·c·考克斯深重粗麻布等。
首页神经学,2011年1月10日 - 文章
Neurosonographic监测105年自发颈动脉解剖一种前瞻性研究
乔治·克劳迪奥Baracchini,西蒙Tonello Meneghetti et al。
首页神经学,2010年10月20日 - 情况下
节段性动脉mediolysis快速进行性动脉解剖的一种罕见的原因
David a . Lapides Mazen s Abusamaan乔纳森·j·Davick et al。
首页神经学:临床实践,2017年9月21日 - 文章
溶栓酶在急性中风对再灌注的影响和血管再通
m . Yasaka g·j·奥基夫,b . r . et al。
首页神经学,1998年3月1日


