临床推理:多发性颅神经病变的年轻人
第一节
一名19岁的男子无重大病史著名3周的面部麻木和口齿不清。考试,他感觉下降在正确的中下游三叉神经分布,舌头偏差,双边面部的弱点。腰椎穿刺产生CSF与淋巴细胞主要脑脊液细胞增多(50白细胞/毫米3淋巴细胞,95%),高蛋白质(260 mg / dL),和正常的葡萄糖(49 mg / dL),没有其他证据的炎症或感染,而血清研究都是正常的。大脑MRI与钆演示了一个subcentimeter左额叶皮层下白质病变fluid-attenuated反转恢复图像和nonenhancing松果体囊肿。
考虑的问题:
鉴别诊断是什么?
在一个健康的年轻人,诊断考虑包括肿瘤、脱髓鞘条件,中枢神经系统感染过程如莱姆疏螺旋体病或真菌性脑膜炎,包括神经和系统性炎症条件。一个nonenhancing松果体囊肿引发了关注生殖细胞肿瘤,松果体实质肿瘤,神经胶质瘤和低级。
第二节
超过6个月,病人发达水平冲击眼球震颤,双边听力损失、构音障碍、吞咽困难。两个腰椎穿刺显示出持久的淋巴细胞脑脊液细胞增多(37白细胞/毫米360、87%的淋巴细胞和白细胞/毫米3,77%的淋巴细胞)与高蛋白质(197和377 mg / dL)和血糖升高(69和70 mg / dL)脑脊液与负面传染病研究和非典型淋巴细胞流仪。血清研究都是平凡的。
考虑的问题:
额外的测试/研究应该考虑什么?
重复脑部MRI与钆和中脑的详细图像,脑桥和髓质;全身CT;CSF真菌文化;脑脊液抗酸的细菌染色和文化;3大量(> 30毫升)脑脊液细胞病理学的集合;金宝搏188手机app血清和CSFα-fetoprotein(αFP);和β-human绒毛膜促性腺激素(βHCG)。
第三节
重复磁共振成像的大脑与钆增强脑神经V,七,九,X, XI,松果体囊肿。颈椎和胸椎MRI是正常的。宠物证明骨髓增生性但没有转移性疾病。他已经接受口服强的松的锥度,缓慢静脉注射糖皮质激素,静脉注射免疫球蛋白(丙种球蛋白)。
在转移到三级机构,他支持呼吸困难,虚弱的咳嗽、难以管理分泌物,进步疲弱的腿,感觉左胳膊和腿,减少1个月尿失禁和便秘。他的药物传输是口服强的松和吸入性肺炎抗生素,预防胃溃疡,恶心和口腔分泌物的症状管理。没有他的家族历史上著名的医疗条件。他是一个高中毕业生没有显著的物质使用和旅行史。
他的神经系统检查是非凡的视觉只有光和运动,固定的瞳孔放大,downgaze在主要位置,向上和侧眼球运动麻痹,双边下垂,减少双边面部感觉,双边面部缺陷,减少听力,软腭高程差,虚弱的咳嗽,咽反射缺席。他的左腿是外部旋转与否则反重力的力量在整个双边的腿。他演示了抵抗运动可以克服整个双边军备。他的反应是活跃在跖屈肌双边的反应。他很好协调四肢除了缓慢而dysrhythmic左脚水龙头。步态无法评估。
重复脑部MRI与钆(图1一个)和专用快速成像采用稳态收购系列(图1 b脑神经增强)展示了多个领域,包括双边眼球运动的,三叉神经,外展神经,面部,脊副神经神经以及增强群众松果体和软组织的双边三叉洞穴。脊柱MRI (图1中,C和D)与钆展示多个局部病变在脊髓中央管以及不同类地提高硬膜内的,类似胸腰椎质量。
重复与大脑演示了对称钆增强MRI (A)双边三叉神经在三叉洞穴。(B)快速成像采用稳态收购系列展示了增强双边海绵窦内,双边颈静脉孔,以及面部和蜗神经。胸腰椎脊柱(C)的MRI T2和T1 (D) postgadolinium序列证明不同类地提高硬膜内的,类似胸腰椎脊柱质量。
第四节
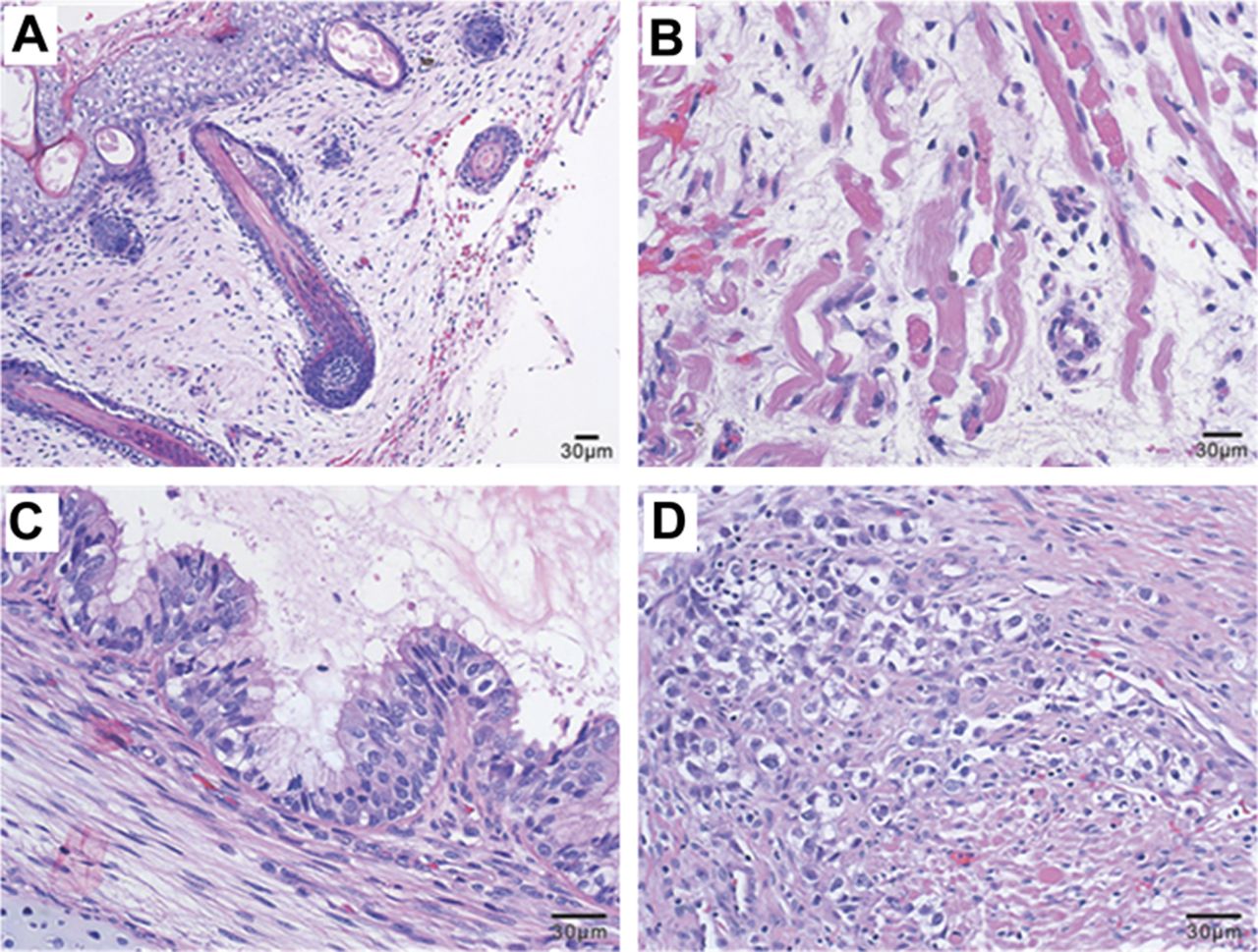
国第一和第二腰椎椎板切除术进行切除胸腰椎的质量。进行腰椎穿刺测定CSF水平的αFPβHCG比较血清。βHCG水平升高血清(1123个人/毫升)和CSF(4104个人/毫升)。CSFαFP水平(< 1 ng / mL)和血清(7 ng / mL)是正常的。胸腰椎质量包含多个生殖细胞层分化组织(图2中,得了)。几个OCT-4和c - kit积极生殖细胞瘤细胞与焦染色αFP和βHCG也指出(图2 d)。1,2最后病理,肿瘤诊断与生殖细胞瘤细胞未成熟畸胎瘤。
苏木精& eosin-stained硬膜内的骨髓的病理样本胸腰椎质量展示多个生殖细胞层包括(A)与毛囊角质化皮肤,(B)平滑肌,(C)细支气管组织,并与横纹肌(D)生殖细胞瘤细胞。
他随后被转移到儿科肿瘤学课程服务,完成第一个2的感应与卡铂化疗,依托泊苷和异环磷酰胺之前转移到当地的医疗设施。转让时,他的血清βHCG明显减少(15个人/毫升)。在他当地的医疗设施,他完成了诱导和巩固化疗。随着时间的推移,他恢复了他的听力对话,能够部分地睁开眼睛,说他的部分阻塞气管切开术的网站,和走路援助。在18周的化疗和长期住院,他死于心脏骤停。
讨论
在神经学、多发性颅神经病变是常见的病因从相对良性的和治疗的恶性和危及生命(首页表1)。3,- - - - - -,5本课程仍然构成了强大的诊断挑战,颅神经可以中断在任何网站在他们的课程从脑干表面的软组织。3鉴别诊断广泛,与患者的年龄、免疫能力,和节奏的发展所有临床评估的关键因素(表2)。代谢紊乱的基本评估包括评估证据的系统性过程。我们对多发性颅神经病变的病因的理解仅限于案例报告和案例系列。4在最大的系列中,癌症病例占30%。5
中枢神经系统生殖细胞肿瘤(GCT)是罕见的原发性脑瘤,占-3%的脑部肿瘤,0.6%的发病率0.16每100000人每年在儿科患者0-19岁。6,7通常,CNS GCT出现在第二个十年的生活。7,8GCT大体划分为germinomatous(仅由胚细胞瘤细胞组成)或non-germinomatous (NGGCT)。这种区别是生殖细胞瘤临床相关,如性腺的GCT,高度和5年生存率超过90%可治愈的。7,- - - - - -,9相比之下,NGGCT预示着预后差,独自生存与辐射的30% - -40%。以铂为基础的化疗方案和手术切除提高了生存率NGGCT 90%平均96个月。9
认为起源于原始的胚胎细胞,GCT组织学上以他们的相似之处有分歧的原始生殖细胞(胚细胞瘤),胚胎分化细胞(畸胎瘤),内皮细胞卵黄囊(卵黄囊肿瘤),胚细胞(choriocariocarcinoma),或胚胎多能干细胞(胚胎性癌)。7,8混合GCT是由不同的组织学类型,确定总体预后最恶性的组件。9
GCT经典发现松果体但中枢神经系统内可以出现在任何地方。肿瘤位置控制症状。松果体病变患者经常表现为阻塞性脑积水和Parinaud综合症(upgaze瘫痪,瞳孔light-near离解和convergence-retraction眼球震颤)。9
区分生殖细胞瘤和NGGCT直接影响治疗的选择。而生殖细胞瘤有潜在的细微差别和NGGCT磁共振成像,成像本身并不足以区分这两类学校。7,8活检确诊是必要的,除非特殊的肿瘤标记物。βHCG和αFP应该检查血清和CSF如果GCT微分。而生殖细胞瘤可以分泌低水平的βHCGαFP,βHCG水平大于50 IU / L和αFP水平> 10毫微克/分升NGGCT CSF证实诊断的不需要活检,并显著水平升高与恶性肿瘤的预后较差。7,- - - - - -,10也积极时,肿瘤标记物作为一个敏感的方法来监测治疗反应。如果GCT确认,完成craniospinal成像建议10% -30%的患者,主要NGGCT,脊柱转移或leptomeningeal蔓延。7,- - - - - -,10这里介绍的病人发展多个颅神经病变leptomeningeal传播沿着他的脑神经和转移。
我们报告的情况下一个年轻人在他的第二个十年进步的多发性颅神经病变。脑脊液淋巴细胞脑脊液细胞增多和高蛋白质是持久化特性的评价没有其他感染的证据,血液或疾病的条件。他没有回应抗生素,类固醇或丙种球蛋白治疗。指出增强软脑膜,中线颅内结构(松果体)和颅内软组织肿块GCT是一致的。最后的诊断NGGCT了硬膜内的病理检查,骨髓转移。比较αFP和βHCG脑脊液和血液也诊断。这种情况下强调实用的化验αFP和βHCG脑脊液和血液在评估一个原本健康的年轻人多颅神经病变后一个基本评价不能提供一个明确的诊断。
作者的贡献
Probasco博士是参与起草/修订手稿内容,研究概念和设计,分析和解释数据。Munchel博士参与修改的手稿内容。麦克阿瑟博士参与修改的手稿内容。布莱克利正在博士参与修改的手稿内容,研究概念和设计,分析和解释数据。
研究资金
没有针对性的资金报告。
信息披露
j . Probasco和a . Munchel报告没有披露。j·麦克阿瑟是一个科学顾问委员会Relevare服务;是一个作者专利re:设备热刺激的小神经纤维和Immunophilin配体抗逆转录病毒治疗毒性神经病变;和接收研究支持Idec,辉瑞公司,国家多发性硬化症协会,周围神经病变的基础,格兰特5 p30mh075673国立精神卫生研究所。j·布莱克利正在接收研究葛兰素史克公司的支持,国家癌症研究所和癌症治疗的评估程序。她一直是一个没有报酬的顾问诺华。去首页Neurology.org为充分披露。
承认
作者感谢彼得博士汉堡和规范贝克先生准备的组织病理学图像和病人的家庭为他们的帮助在这个手稿的准备。
脚注
去首页Neurology.org为充分披露。资金信息和披露认为作者相关的,如果有的话,年底提供这篇文章。
- 收到了2012年3月19日。
- 接受2012年9月26日。
- ©2013美国神经病学学会的首页
引用
信:快速的网络通信
你可能也会感兴趣
相关文章
主题讨论
提醒我
推荐的文章
- 居民和其他部分
珍珠和Oy-sters:主要与Leptomeningeal松果腺黑色素瘤癌扩散阿什利·e·Aaroe伊莎贝拉c Glitza奥利瓦,Nagham Al-Zubidi et al。
首页神经学,2021年4月30日 - 居民和其他部分
珍珠和Oy-sters:大脑的双焦生殖细胞瘤审查的系统是诊断的关键
帕戈什,坦尼娅Tekautz Sudeshna Mitra et al。
首页神经学,09年1月,2012年 - 简短的沟通
转移到松果体杰弗里·n·布鲁斯·迈克尔·r·安德鲁·b·莱斯曼Fetell et al。
首页神经学,09年10月,2006年 - 文章
中枢神经系统生殖细胞肿瘤(CNSGCT)的童年表示和延迟诊断
j·r·克劳福德·m·r·桑蒂g . Vezina et al。
首页神经学,2007年5月14日


