临床推理:一名28岁的静脉吸毒者双边基底神经节和脑干病变
第一节
一名28岁的男子提出与进步的嗜睡和混乱在2天。他有一个长期的静脉注射海洛因的历史。他最后一次使用是2周前,他住院戒毒入院前2天完成。他从康复回到家后,他的室友发现他越来越困惑。承认,那天他是发热,不能起床,或者说话,尽管他可以点头“是”和“不是简单的问题。他也失去了尿控制。
他的病史是重要的对于丙型肝炎和心肌病,假定与静脉吸毒有关。他的心脏射血分数25%至30%前8个月,和改进入学前3个月45%到50%。他拒绝把所有药物。
在检查,病人的温度是38.9°C,脉搏82,28岁的呼吸和血压206/83毫米汞柱,他的脖子是柔软的。他昏昏欲睡,困惑,只能部分遵循简单、互译命令。他的学生都是平等的,并完全反应。他的眼睛追踪到四面八方。他没有面部不对称,但适度的流口水。他的上、下肢似乎弱而离开了。他退到痛苦的刺激同样在所有的四肢。没有证据表明异常运动如肌张力障碍、舞蹈病、震颤、或测距不准。右髌骨反射是轻快而左;深部腱反射正常。 He had a right Babinski and left plantar flexion.
第二节
鉴于发烧的病人的临床情况和全球脑功能障碍与全身的神经赤字最近设置的静脉注射毒品,脑膜脑炎是主要的鉴别诊断。感染源包括脓毒性栓子细菌性心内膜炎可能基于静脉吸毒和心肌病的历史,以及直接从一个不洁净血液播散IV网站或受污染的药物。Coccidiomycosis感染是一种常见的在美国西南部和应该考虑。然而,这种疾病的过程中通常是更懒惰;急性恶化是少见。缺血性梗塞和有毒代谢脑病由于药物过量也是可能的,虽然不太可能设置的发热性疾病。
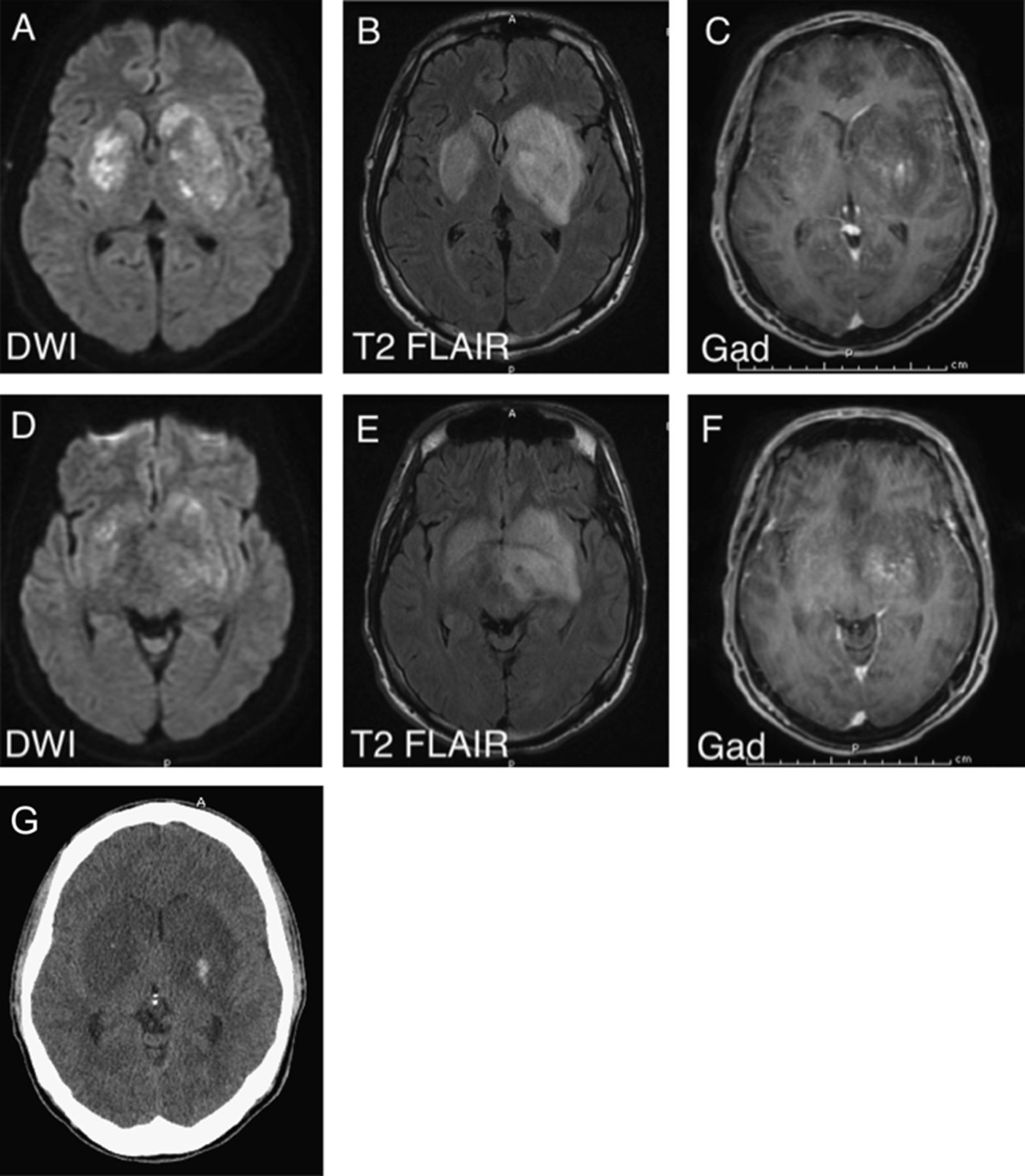
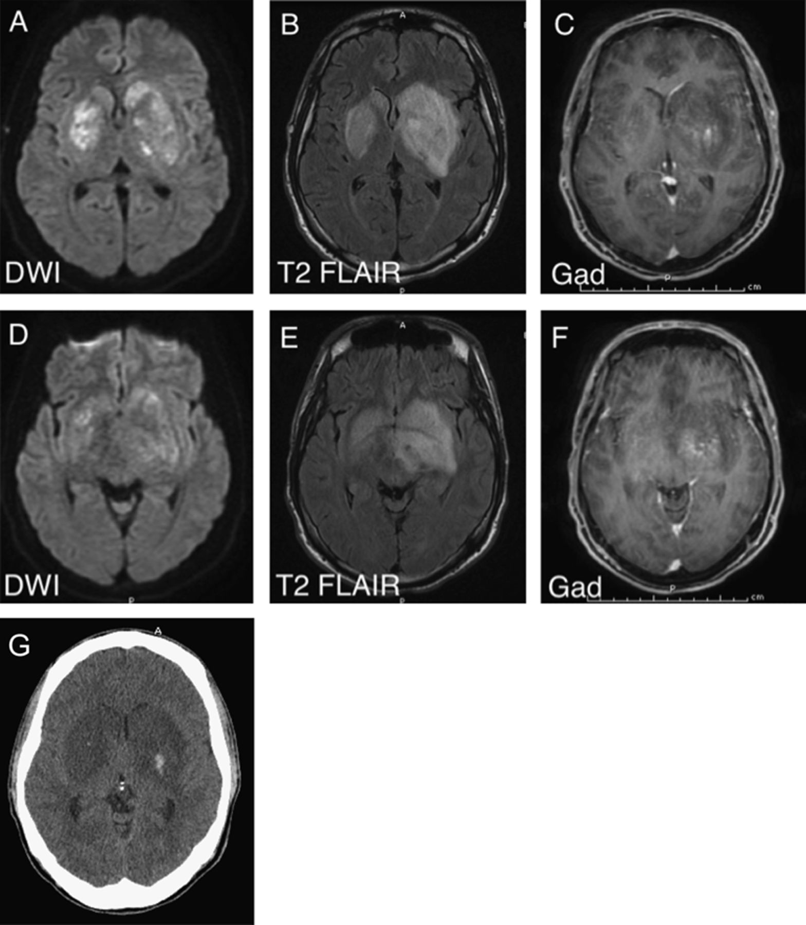
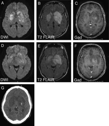
病人的精神状态在急诊科迅速恶化。他无法保护他的气管,气管插管,以确保足够的通风。最初的实验室研究非同凡响的白细胞计数21800 /毫米3(80%分段形式)和钠水平的128更易/ L。头部的CT扫描显示4.2厘米hypodensity左基底神经节的在该地区与当地质量效应和脑室系统的抹杀。苯二氮和大麻类毒理学屏幕上是积极的。血培养结果,艾滋病毒测试,快速血浆反应素,coccidiomycosis血清和脑脊液浓度是负的。CSF分析显示葡萄糖57 mg / dL,蛋白质111 mg / dL,白细胞计数400 /188金宝慱官网下载毫米3有67%的淋巴细胞和红细胞计数77000 /毫米3(痛苦的)。革兰氏染色剂,细菌和真菌培养,病毒pcr以及抗酸的细菌文化和脑脊液涂片全都是负面的。脑部核磁共振成像(图1中,一个显示限制扩散和基底神经节的T2 hyperintensity (L > R)与最小的对比度增强。T2信号异常也扩展到左侧颞区和左大脑脚、没有证明扩散限制。其他诊断测试期间执行病人的医院技术课程包括超声心动图显示正常射血分数没有任何瓣膜异常,和一个没有癫痫样的异常脑电图显示扩散慢。
(A) MRI diffusion-weighted成像(驾车)显示了在横向限制扩散基底神经节。(B) T2 fluid-attenuated反转恢复(天赋)显示vasogenic和双边基底神经节细胞毒性水肿。(C) T1 postcontrast图像显示最小增强左基底神经节。(D, E, F)相应的醉酒驾车,T2和T1 postcontrast序列在中脑的水平。(G) CT扫描显示出血性转化的双边基底神经节病变住院第三天。
第三节
这时,大脑脓肿居高不下的鉴别诊断脑脊液结果和病变发现基于大脑核磁共振。中枢神经系统肿瘤也是考虑;然而,快速进步的过程使它不太可能。病人经验接受万古霉素和头孢曲松钠在急诊室。为经验增加了阿昔洛韦治疗疱疹脑炎基于左内侧颞叶的参与。抗真菌治疗被认为是但没有开始,因为血清学的检测和中枢神经系统真菌培养结果为阴性。重复头部CT在医院一天3显示病灶部位的出血性转换(图1 g)。尽管治疗,临床上病人继续恶化,丧失理智的姿态和扩张,最低限度地反应学生。通风支持家庭同意后被撤回。他死在医院的第五天。
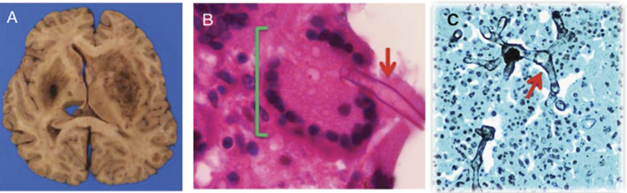
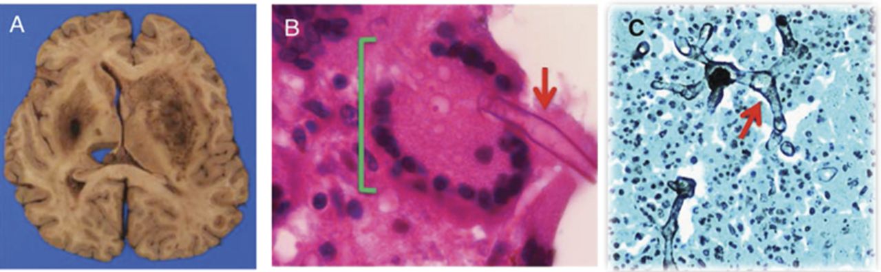
尸检时,大脑严重水肿。9.1×3.2×3.1厘米的出血和坏死被发现在左侧基底神经节。对基底神经节证明相似的病理,但程度不一样(图2一个)。中脑、脑桥和髓质有很多黑暗的瘀斑的出血。苏木精& eosin-stained部分尾状核和壳核显示多核的巨细胞周围广泛的无隔膜的真菌菌丝的典型毛霉菌目,凸显了格罗克特methenamine-silver染色(图2中,B和C)。
讨论
脑毛霉菌病与积极的课程是一种真菌疾病,死亡率高。这是angioinvasive,导致组织坏死。1感染通常呈现在免疫功能不全的患者糖尿病,慢性免疫抑制治疗,或血液/淋巴组织的恶性肿瘤。2感染的传播通常rhinosinus地区开始渗透进入轨道,视神经,和脑实质,从而在额叶和颞叶的病变。
脑毛霉菌病是罕见的在健康的主机。包括我们这里描述,只有35例活检或autopsy-proven免疫活性的个体报告了自1970年以来西方文学。3,- - - - - -,10大多数患者年轻,平均年龄31岁(范围21-53年)。报告病例的百分之六十三是男性,37%是女性。大多数情况下,除了2与静脉吸毒有关。最常见的药物滥用海洛因(29%),其次是可卡因(23%)。大约一半的艾滋病毒状况可用报告的病例中,似乎并没有发病的危险因素。根霉和毛霉菌物种被确定在31%和6%的情况下,分别。剩下的63%没有物种的报道。
有趣的是,在皮质感染网站在免疫功能低下的患者相比,毛霉菌表现出非凡的偏爱的基底神经节静脉吸毒者(89%)。这些病变是单边或双边用最小的对比度增强。这种偏好的基础尚不清楚。拟议的机制之一是真菌孢子污染药物扩散远隔部位严重血管基底神经节和存款,导致动脉和静脉血栓形成。6的倾向毛霉菌入侵血管结构与血管周长直径相对于孢子可能有至关重要的作用在这些病人感染的位置。5
第四在治疗方面,两性霉素B是唯一治疗持续提供生存受益。3,- - - - - -,10这种疾病是统一与两性霉素b的致命的如果不及时治疗的存活率增加到61%及时诊断和治疗开始。即使是早期治疗,相当比例的幸存者当时神经赤字出院。在幸存者中,没有显著差异的结果指出在类固醇治疗或手术引流。10
以最小的对比度增强基底神经节病变时发现对大脑核磁共振在一位呈现急性静脉吸毒者和快速进行性神经赤字,毛霉菌病应该考虑早期临床表现不管艾滋病毒状况。我们强调的重要性,包括毛霉菌病的鉴别诊断,因为极高的发病率和死亡率。促使组织活检获得一个准确的诊断是必要的。IV两性霉素B治疗可以提高生存率超过60%。
作者的贡献
林博士:居民最初评估和治疗病人在这种情况下,聚集所有相关临床资料,进行文献研究,并分析了所有可用的文献数据;手稿的作家。汤普森博士:居民进行解剖并提供最终病理诊断、病理组织学图片和描述。Coull博士:导师;起草/修订手稿。
研究资金
没有针对性的资金报告。
信息披露
作者报告没有披露相关的手稿。去首页Neurology.org为充分披露。
脚注
去首页Neurology.org为充分披露。资金信息和披露认为作者相关的,如果有的话,年底提供这篇文章。
- ©2013美国神经病学学会的首页
引用
信:快速的网络通信
你可能也会感兴趣
提醒我
推荐的文章
- 居民和其他部分
珍珠和Oy-sters:孤立脑zygomycosis静脉注射毒品使用者大卫·克拉克的碧Al Mohajer约瑟夫·布罗德里克et Al。
首页神经学,2010年12月27日 - 文章
暴发性脑病与基底神经节hyperintensities在感染艾滋病毒的吸毒者Newsome,时任e·约翰逊,Pardo et al。
首页神经学,2011年2月28日 - 文章
Coccidioidal脑膜炎和脑脓肿分析71例转诊中心
罗德尼·d·亚当,肯德拉•德雷克(george w . bush)等。
首页神经学,2009年11月23日 - 居民和其他部分
临床推理:一个年轻女子与对称的弱点和行为障碍乔恩·罗森博格,惠特利阿莫德撒母耳Takvorian et al。
首页神经学,2018年4月16日


