珍珠和Oy-sters:良好的复苏与阵发性多动症脑脂肪栓塞后综合征
珍珠
脑脂肪栓塞综合征(FES)最常呈现逐渐下降的意识水平和不断恶化的运动响应。
MRI显示无数点状的疫源地限制扩散的“星际”模式,后来合并到汇合的病变。
阵发性同情多动症(PSH)菲斯可能不是一个贫穷的预兆和良好的复苏可能发生。
OY-STERS
菲斯是一个三位一体的中枢神经系统功能障碍(快速发展昏迷)、瘀点(通常在上半身),和急性肺损伤(血氧不足,呼吸急促)。
PSH综合征的特点是情景性发热、发汗、高血压、心动过速、呼吸急促和刚度。PSH历来在创伤性脑损伤的病人,通常与一个糟糕的结果。
案例1
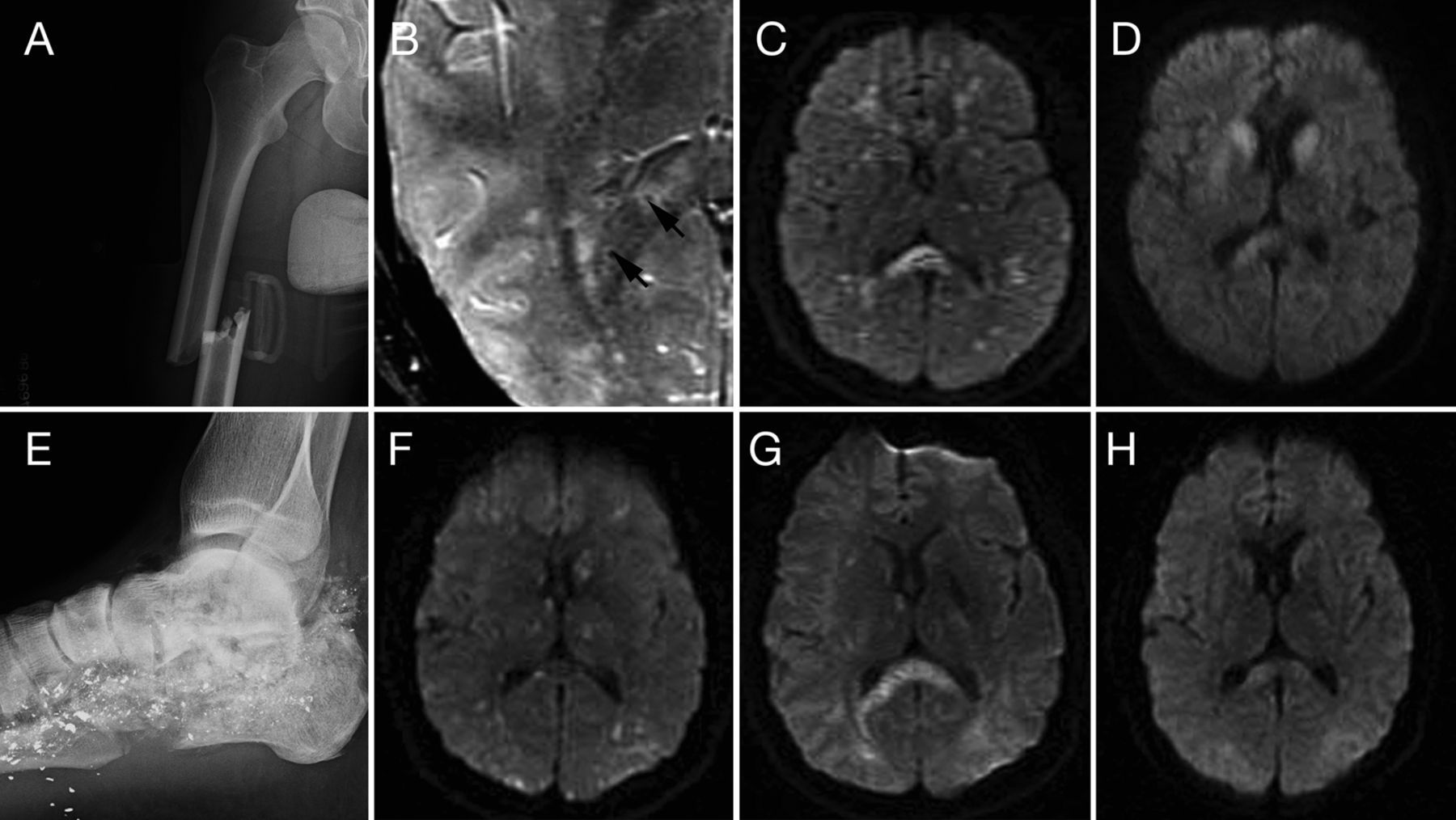
21岁以前健康的人也有权利关闭midshaft股骨髌骨骨折和机动车事故(图,一个)。四个小时后,他接受了右膝灌溉和清创术,后跟一个近端胫骨牵引销位置。十个小时后,这个过程中,他成为了困惑,不安,血氧过低的(血氧饱和度60%),降血压药(血压86/58毫米汞柱),和tachycardic(140脉冲/分钟)。他现在昏迷,自发的伸肌反应。皮肤瘀点。胸部CT显示双边肺水肿。经胸廓的超声心动图(TTE)显示dyssynchronous室间隔和右心室收缩压升高与急性肺动脉高压一致。好几天了,他仍然昏迷和发达的发热、心动过速,大汗。他被诊断出患有PSH并得到了普萘洛尔,加巴喷丁和可乐定。为了更好的控制这些事件,氯羟去甲安定,芬太尼和吗啡也管理。 Brain MRI on day 5 showed multiple diffuse hypointense foci on susceptibility-weighted sequence (SWI) and innumerable foci of reduced diffusion in a “starfield” pattern, compatible with fat embolism (图中,B和C)。
上一行(案例1):右腿的x光照片显示关闭midshaft股骨骨折(一个);第五天,轴向susceptibility-weighted成像序列显示多个点状的疫源地hypointense信号在整个大脑(黑色箭头标志)(B);多焦点的限制扩散模式(星际)diffusion-weighted成像序列(驾车)(C)和23天随访MRI显示分辨率的一些病变驾车序列(D)。较低的行(例2):x光照片的左脚和跟骨显示无数微小的金属碎片在软组织和骨骼和多个跟骨骨折与软组织肿胀(E);第一天首先MRI显示多个领域的限制扩散在酒后驾驶星际序列特征模式(F);7天随访MRI显示的微小病变进展汇合的模式(G);在30天随访MRI显示明显细胞毒性水肿(H)的决议。
他在2周开始睁开眼睛,最终做出了一个惊人的复苏。在随访MRI有点状的进化限制扩散尾汇合的信号变化和胼胝体压部(图D)。Neuropsychometric测试显示,认知速度和执行功能障碍。在12个月的随访,他可以兼职工作。
案例2
一个42岁的男人被击中的左脚在他12岁的儿子在一次狩猎旅行。x射线显示多个左跟骨骨折与软组织肿胀(图E)。四个小时后,他的血压是暂时性的下降到83/55毫米汞柱。他的动脉血液气体显示pH值7.39,Po2158毫米汞柱,P有限公司237毫米汞柱,F我O281年arteriolar-alveolar梯度增加40%。他呻吟,自发地打开他的眼睛,而不是跟踪。有增加肌肉张力、反射亢进和双边巴宾斯基的迹象。他逐渐变得不那么敏感,5小时后伸肌姿态。他对气管插管的保护。胸部x光片是正常的。脑部MRI表现30小时后显示分散焦点星际减少扩散的模式(图F)。TTE显示肺内的分流。他成为tachycardic(脉冲到148次/分钟)和发热(39°C),并表现出大汗。他与加巴喷丁治疗、hydromorphone和美托洛尔。第二天他自发眼开。第一周后随访MRI显示附近解决之前diffusion-weighted成像(驾车)病变(图G在4周)与持续改进(图中,H)。他被转移到一个养老院。病人慢慢改善,6个月后,他和家人住在家里。残余赤字问题包括演讲、内存(短期和长期)、易怒、左上肢痉挛状态,左尺骨压缩神经病变、周围神经病变、止痛的步态。
讨论
病人值得关注,因为尽管令人担忧的结果检查(PSH伸肌姿态和严重事件)和MRI,他们有很好的恢复。PSH在我们的病人也可能被解释成多病灶的丘脑和脑干病变导致自主神经系统失调。1
菲斯主要是观察长骨骨折后,但只有1%的病人。菲斯需要增压的脂肪进入静脉系统。2我们的第二个病人没有任何长骨骨折解释他的菲斯。跟骨的可能机理是破坏血管,动员跟骨骨髓脂肪有或没有跟脂肪垫,和增压急性枪击损伤和局部软组织肿胀。3他也没有肺水肿的菲斯但TTE transpulmonary分流。延迟神经或肺栓塞淋浴的表现是大量和长时间的结果最终压倒性的肺,脑储备。4
小动脉的遮挡,脂肪栓子成像为众多微小hyperintense病变(星际模式)对醉酒驾车序列和代表细胞毒性水肿。瑞士序列可以显示弥漫性hypointense代表microhemorrhages的病变。瑞士可能是有用的,因为它可能是唯一的MRI序列显示microhemorrhages。5限制扩散在胼胝体压部(例1和2)和尾状核(案例1)可以类似全球缺氧缺血性脑损伤,但在菲斯与贫穷无关的结果。6在这两个病人,MRI改进似乎并行临床改善。7长期结果后FES-when昏迷和星际模式定义的核磁共振8决定由我们的文献回顾的情况下从1990年到2012年公布的所有显示,57/75(76%)的患者有很好的结果。然而,一个可能的发表偏倚的情况下更好的结果和变量跟踪报告病例之间的间隔时需要考虑这个文学解读。
PSH综合症会有相似之处与脓毒症早期,肺栓塞、甲状腺机能亢进、嗜铬细胞瘤,5 -羟色胺综合征,安定药恶性综合征、恶性高热,拟交感神经药物或抗胆碱能药物过量,极端形式的酒精戒断,脑膜脑炎或自主反射失调与急性脊髓损伤。相关的历史、检查和实验室测试(肌酸激酶、乳酸系列血清和多次血培养)可能有助于排除这些模仿别人的人,不阵发性,hyperadrenergic较少,主要是进步的。治疗脑菲斯和PSH主要是支持。阿片类药物,β-blockers、加巴喷丁和α1受体激动剂是管理PSH一些可用的选项。糖皮质激素可能有作用,防止菲斯,但是没有证明栓塞发生后的影响。9
作者的贡献
Manoj k·米塔尔:概念化的研究,数据收集和分析、起草和修订手稿。Tamika Burrus:概念化的研究,数据收集和分析、起草和修订手稿。诺伯特•g . Campeau:修订手稿。劳伦斯·埃克尔:修订手稿。亚历杭德罗Rabinstein:修订手稿。氏Eelco Wijdicks:概念化的研究,修订手稿,资深作者。
研究资金
没有针对性的资金报告。
信息披露
作者报告没有披露相关的手稿。去首页Neurology.org为充分披露。
脚注
去首页Neurology.org为充分披露。资金信息和披露认为作者相关的,如果有的话,年底提供这篇文章。
- ©2013美国神经病学学会的首页
引用
信:快速的网络通信
你可能也会感兴趣
相关文章
-
没有找到相关文章。
提醒我
推荐的文章
- 临床和伦理挑战
麻醉的神经系统并发症一个实用的方法
亚历杭德罗a . Rabinstein马克·t·基冈等。
首页神经学:临床实践,07年8月,2013年 - 居民和其他部分
暴发性脑病的神秘案件:一个案例一个69岁的女人Guillaume可能,卡西威廉姆斯et al。
首页神经学,2017年8月28日 - 临床/科学的笔记
纤维肌痛症MILNACIPRAN管理后5 -羟色胺综合征胡珊雅库巴,威廉·g·约翰逊,Nizar Souayah et al。
首页神经学,2010年2月22日 - 文章
MRI anoxic-ischemic脑病的早期脑白质损伤的识别Julio a . Chalela罗纳德·l·沃尔夫,约瑟夫Maldjian et al。
首页神经学,2001年2月27日


