2013年12月10日,
;81 (24)
居民和其他部分
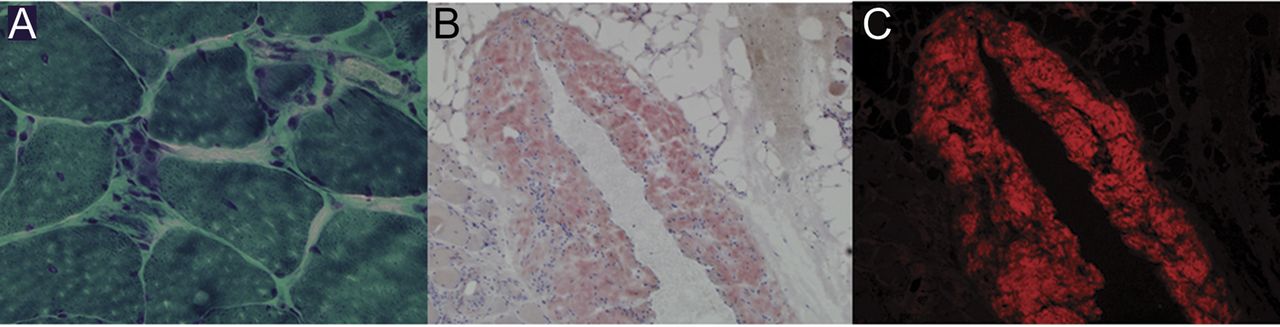
教学神经图片:呼吸困难作为淀粉体肌病的表现
帕·戈什,格雷格·m·Thaera,詹妮弗·a·特蕾西
第一次出版2013年12月9日,
DOI: https://doi.org/10.1212/01.wnl.0000437300.51312.9e
格雷格·m·Thaera
从梅奥诊所(P.S.G.罗彻斯特市,J.A.T.);和梅奥诊所(G.M.T.),凤凰城。
医学博士
这篇文章有一个修正。请参阅:
一个69岁的人呼吸困难之后,慢慢地进步端腿无力2年以上。他巨舌(图1)。肌酸激酶是1378 U / L。三角肌活检显示肌病、去神经萎缩和congophilic存款perimysial周围血管,表明淀粉样蛋白(图2)。进一步检查发现血清单克隆λ蛋白质,骨髓淀粉样蛋白和心肌病。淀粉体肌病,underrecognized实体,主要提出了进步的近端无力在原发性淀粉样变。1呼吸困难的结果心肌病或呼吸道肌肉无力(我们的病人都)。巨舌由于淀粉样蛋白沉积是一个有用的临床线索。病人与环磷酰胺化疗、地塞米松、淀粉样变和bortezomib,改善预后。2
作者的贡献
帕s Ghosh:起草/修改手稿,研究或设计概念,分析或解释的数据,接受责任进行研究和将最终批准。格雷格·m·Thaera:分析或解释的数据,接受责任进行研究,并将给予最后批准,采集的数据。詹妮弗·a·特蕾西:起草/修订手稿,接受责任进行研究,并将给予最后批准,采集的数据。
研究资金
没有针对性的资金报告。
信息披露
作者报告没有披露相关的手稿。去首页Neurology.org为充分披露。
脚注
下载教学幻灯片:www.首页neurology.org
- ©2013美国神经病学学会的首页
信:快速的网络通信
你可能也会感兴趣
广告
提醒我
推荐的文章
- 居民和其他部分
珍珠和Oy-sters:成人酸性麦芽糖酶缺乏症的诊断线索塔尼亚b Beltran Papsdorf詹姆斯·f·霍华德Jr Nizar Chahin et al。
首页神经学,2014年3月3日 - 首页神经病学临床病理会议
一个49岁的女人,进步的气短安东尼·a·阿马托安德里亚·n则Hunderfund Duygu Selcen et al。
首页神经学,2011年2月28日 - 文章
肌病与anti-HMGCR抗体肌束膜和肌纤维病理学
阿里•Alshehri Rati乔科斯罗伯特Bucelli et al。
首页神经-神经免疫学神经炎症,04年6月,2015年 - 居民和其他部分
临床推理:一个63岁的女人有双边腿部疼痛约书亚Budhu,凯瑟琳·霍尔德,丹尼斯Balaban et al。
首页神经学,2020年11月18日


