2013年8月6日
;81 (6)
神经图片
巨大左中间窝七神经神经鞘瘤与遗忘
安德烈达,丹妮拉Seixas,利诺Mascarenhas,马里奥Resende,安东尼娅Furtado,安东尼奥·鲁伊Figueiredo里贝罗
第一次出版2013年8月5日,
DOI: https://doi.org/10.1212/WNL.0b013e31829e6eec
安德烈达
从神经放射学的部门(交流:,A.R.F.R.), Neurosurgery (L.M., M.R.), and Anatomical & Cellular Pathology (A.F.), C. Hospitalar Vila Nova Gaia/Espinho and Faculty of Medicine of Porto University (D.S.), Portugal.
医学博士
丹妮拉Seixas
从神经放射学的部门(交流:,A.R.F.R.), Neurosurgery (L.M., M.R.), and Anatomical & Cellular Pathology (A.F.), C. Hospitalar Vila Nova Gaia/Espinho and Faculty of Medicine of Porto University (D.S.), Portugal.
医学博士
利诺Mascarenhas
从神经放射学的部门(交流:,A.R.F.R.), Neurosurgery (L.M., M.R.), and Anatomical & Cellular Pathology (A.F.), C. Hospitalar Vila Nova Gaia/Espinho and Faculty of Medicine of Porto University (D.S.), Portugal.
医学博士
马里奥Resende
从神经放射学的部门(交流:,A.R.F.R.), Neurosurgery (L.M., M.R.), and Anatomical & Cellular Pathology (A.F.), C. Hospitalar Vila Nova Gaia/Espinho and Faculty of Medicine of Porto University (D.S.), Portugal.
医学博士
安东尼娅Furtado
从神经放射学的部门(交流:,A.R.F.R.), Neurosurgery (L.M., M.R.), and Anatomical & Cellular Pathology (A.F.), C. Hospitalar Vila Nova Gaia/Espinho and Faculty of Medicine of Porto University (D.S.), Portugal.
医学博士
安东尼奥·鲁伊Figueiredo里贝罗
从神经放射学的部门(交流:,A.R.F.R.), Neurosurgery (L.M., M.R.), and Anatomical & Cellular Pathology (A.F.), C. Hospitalar Vila Nova Gaia/Espinho and Faculty of Medicine of Porto University (D.S.), Portugal.
医学博士
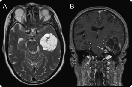
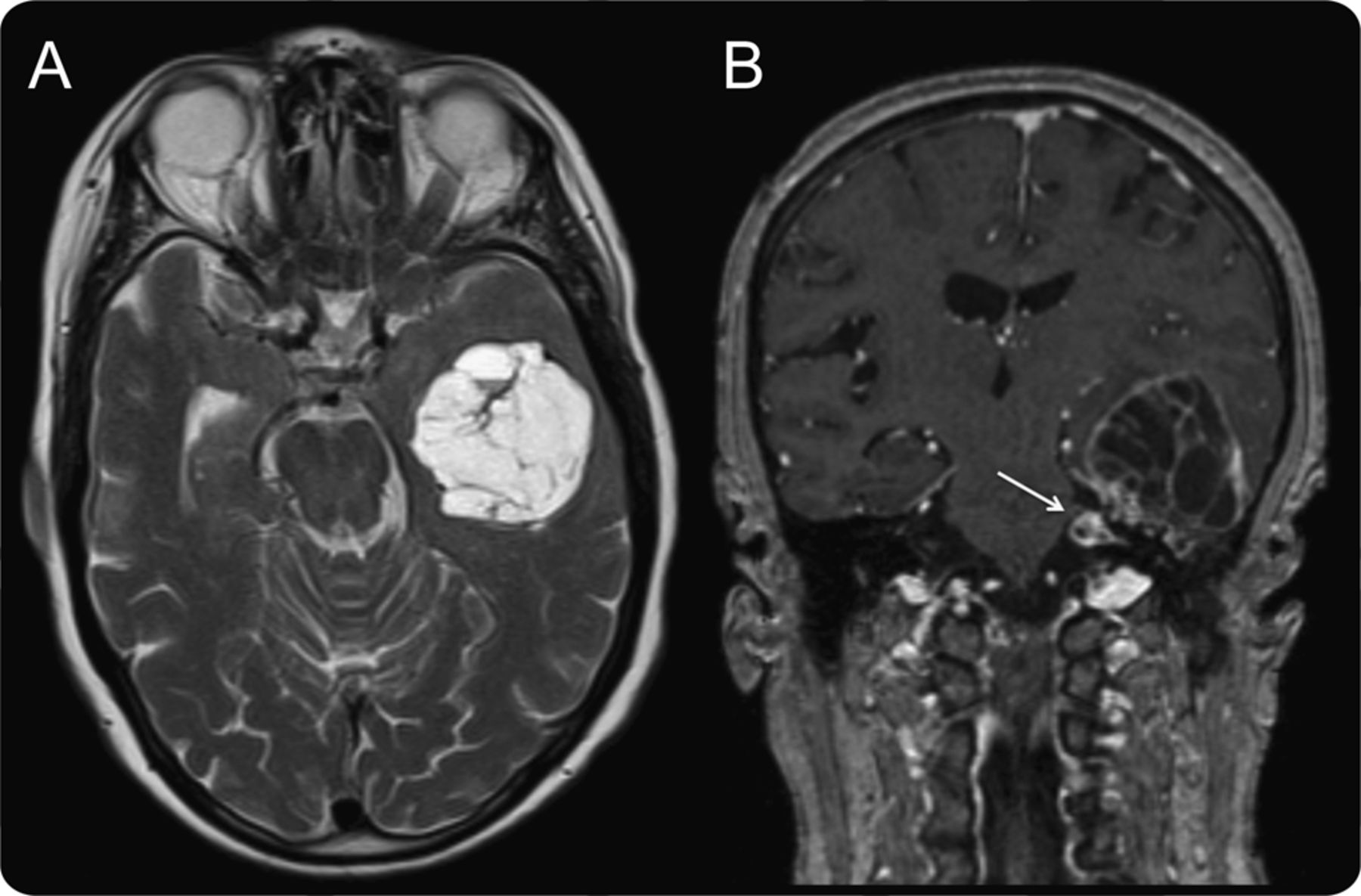
面部神经是第三个最频繁的颅内神经鞘瘤的位置,面部麻痹性痴呆最常见的标志。1,2一个77岁的女人面对失忆;细微精神状态检查得分是26日正常颅神经功能。一个巨大但第七神经神经鞘瘤被确认在左边中间窝,组件颞骨肿瘤的面神经管,膝状神经节和内部听觉运河(图)。海马体的压缩可能占临床表现。中间窝肿瘤切除的组件质量效应,与医源性面部麻痹。
图
面部神经鞘瘤的MRI
(A) Extra-axial质量位于左边中间窝但外观。定义良好的极限压缩相邻脑实质的损伤,没有周围的水肿。(B)有更多的参与内部听觉运河入侵左边pontocerebellar水箱(箭头所指)。
脚注
作者的贡献:安德烈博士达:研究概念和设计。达妮埃拉Seixas博士教授:关键的修订手稿的重要知识内容。利诺博士Mascarenhas:监督临床细节。马里奥Resende博士:采集的临床数据。安东尼娅Furtado博士:病理数据的分析和解释。安东尼奥·鲁伊Figueiredo里贝罗博士:收购和监督的图像数据。
研究经费:没有针对性的资金报告。
披露:作者报告没有披露相关的手稿。去首页Neurology.org为充分披露。
- ©2013美国神经病学学会的首页
信:快速的网络通信
你可能也会感兴趣
广告
相关文章
-
没有找到相关文章。
提醒我
推荐的文章
- 临床/科学的笔记
孤立的获得主要从脑干神经胶质瘤gusto-lacrimal反射Ainat克莱因,尼尔·r·米勒et al。
首页神经学,2013年10月16日 - 居民和其他部分
临床推理:一个50岁的女人,深刺耳朵疼痛贾斯汀·m·DeLange伊万·加尔萨卡丽·e·罗伯逊等。
首页神经学,2014年10月13日 - 文章
以人群为基础的分析,零星的和2型neurofibromatosis-associated脑膜瘤、神经鞘瘤j . Antinheimo r . Sankila o . Carpen et al。
首页神经学,2000年1月11日 - 观点和评论
诊断标准schwannomatosism . MacCollin e·a·Chiocca d·g·埃文斯et al。
首页神经学,2005年6月13日


