的皮质表面铁尘肺患病率和机制脑淀粉样血管病
文摘
摘要目的:我们调查的患病率和clinical-radiologic协会皮质表面铁尘肺患者(cSS)可能脑淀粉样血管病(CAA)相比脑出血(我)不属于创新艺人经纪公司。
方法:我们进行了一项回顾性多中心队列研究120患者可能的创新艺人经纪公司,比较2组:67例单一大叶性我或混合(深,大叶性)出血;患者和22严格深出血。我,我们额定cSS白质变化,脑microbleeds。
结果:cSS中检测出48 120 (40%;95%可信区间[CI]: 31.2% - -49.3%)患者可能的创新艺人经纪公司,67年10 (14.9%;95%置信区间:7.4% - -25.7%)与单一的大叶性我或混合出血,22日和1 (4.6%;95%置信区间:0.1% - -22.8%)患者严格深出血(p趋势的< 0.001)。传播cSS在场120年29 (24%;95%置信区间:16.8% - -32.8%)患者可能的创新艺人经纪公司,但是我没有其他的患者(p< 0.001)。在可能的创新艺人经纪公司,年龄(优势比[或]:1.09;95%置信区间:1.03—-1.15;p= 0.002),慢性叶的我(OR: 3.94;95%置信区间:1.54—-10.08;p= 0.004),瞬态局部神经发作史(OR: 11.08;95%置信区间:3.49—-35.19;p< 0.001)分别与有关cSS。然而,cSS发生在17 48患者可能的创新艺人经纪公司(35.4%;95%置信区间:22.2% - -50.5%)没有慢性叶的我。
结论:cSS(尤其是传播)是一种常见的和创新艺人经纪公司的特征。慢性肺叶的cSS,我是一个独立的危险因素,但因果关联不确定的方向和机制。蛛网膜下腔出血,独立于前(慢性)叶的我,必须在创新艺人经纪公司也为cSS。瞬态局部神经发作是cSS的最强的临床标记。
术语表
- 创新艺人经纪公司=
- 脑淀粉样血管病;
- CI=
- 置信区间;
- 招商银行=
- 脑microbleed;
- cSAH=
- 凸性蛛网膜下腔出血;
- cSS=
- 大脑皮层表面的铁尘肺;
- 天赋=
- fluid-attenuated反转恢复;
- 我=
- 脑内出血;
- 或=
- 优势比;
- T2 * gre考试=
- T2 *三梯度回波回忆道
零星的脑淀粉样血管病(CAA)是一种常见的年龄相关性小血管疾病引起的逐步沉积amyloid-β墙壁的小动脉、小动脉和毛细血管在大脑皮层和上覆软脑膜。1创新艺人经纪公司通常是公认的在生活中通过症状大叶性脑出血(我)在老年患者。1,- - - - - -,3创新艺人经纪公司也与MRI特征相关的发现包括叶的脑microbleeds (CMBs)和白质hyperintensities (leukoaraiosis)。1,4
最近的研究已经确定了大脑皮层表面的铁尘肺(cSS)作为另一个创新艺人经纪公司的表现。5,- - - - - -,8在创新艺人经纪公司,cSS偏爱大脑凸面有特点,反映了线性大脑皮层的血液残留在表面的层或蛛网膜下腔。8,- - - - - -,10cSS有临床相关性作为瞬态局部神经发作的重要原因(有时称为“淀粉样法术”),11,12和一个潜在的“预警信号”,未来的出血症状。13
尽管cSS是一种很有前途的诊断神经影像创新艺人经纪公司的标志,8协会的强度和潜在机制尚未系统研究。因此在目前的研究中,我们试图确定患病率和cSS的程度在欧洲多中心队列clinical-radiologic患者可能的创新艺人经纪公司,并调查其对其他影像学表现包括CMBs,白质的变化,和我。我们假设cSS 1)是常见的主题与可能的创新艺人经纪公司,和更普遍比较对象与其他自发的我不认为可能的创新艺人经纪公司,和2)与其他出血性的表现创新艺人经纪公司(大叶性我和叶的CMBs)。
方法
研究人口。
我们连续包括病人诊断为可能的创新艺人经纪公司(根据波士顿标准,原14即。,not including cSS as a criterion; see below) at 4 stroke centers over defined time periods (figure e-1 on the首页®网站www.首页neurology.org)。在参与中心,MRI扫描是一次例行的调查疑似病例进行创新艺人经纪公司,除非有禁忌症。基本入选标准的主要创新艺人经纪公司案例组1)可能或病理证实创新艺人经纪公司,根据波士顿标准定义,14包括肺叶的CMBs,但不是cSS;和2)可用的MRI序列足够的质量包括T2 *三梯度召回回波(T2 * gre)和fluid-attenuated反转恢复(天赋)的MRI序列。根据波士顿标准病例定义为可能的创新艺人经纪公司14(即。,single lobar ICH without lobar microbleeds) were included in one of the comparison groups (see next paragraph).
患者作为对照组,我们包括其他症状,自发的我不履行波士顿标准可能的创新艺人经纪公司,4冲程的中心在同一时期,与核磁共振扫描足够的质量包括T2 * gre和天赋序列。例系统和连续使用多个重叠的方法确定未来的临床和放射数据库。2组non-CAA比较如下:a)单一大叶性我(没有任何CMBs)和混合(深度和大叶性)出血(包括我的任意组合或CMBs),随后,我们称之为“单大叶性我和混合出血”;和b)严格深出血(包括我和CMBs的基底神经节和脑干)。
总共149名受试者被排除在我们的研究因为MRI扫描用时(图e 1);排除没有显著不同于那些包含在性别、年龄、中风的严重程度(或措施p值> 0.10;图e 1)。
标准协议的审批、登记和病人同意。
这项研究获得伦理批准由国家医院神经病学与神经外科和神经学研究所的联合研究伦理委员会,该委员会d 'Ethique进行Hospita首页lo Facultaire的将药Catholique de鲁汶大学(),和拉西'Ethique楚蒙特Godinne UCL的医学。
数据收集。
人口统计学和临床信息是由病历审查来自未来的数据库和使用标准化的数据收集形式。高血压被定义为高血压史,服用抗高血压治疗,或记录高血压(收缩压> 150或舒张期> 95毫米汞柱)在入学之前;糖尿病持续降血糖药的使用;和吸烟,烟草使用在入学之前的历史。患者可能的创新艺人经纪公司,清晰地记录了历史的瞬态(≤24小时),完全解决,局灶性神经系统集之外,没有其他已知的另类解释创新艺人经纪公司(如大脑结构性病变,心房纤维性颤动,或颅外或颅内狭窄)通过评审确定的医疗记录。
核磁共振成像采集和分析。
在每个医院核磁共振成像协议相似。成像在1.5特斯拉的磁场强度对所有患者和包括t1、T2加权,天赋,T2 * gre(切片厚度5毫米,重复时间500 - 1000毫秒,回波时间40/26/15/50 - 70毫秒),和diffusion-weighted成像序列。综述了图像盲法临床数据。出血性病变,4,8,15,16慢性或急性缺血性病变(),17和白质hyperintensities (leukoaraiosis)18根据预定义的标准化标准记录。CMBs评估在T2 * gre图像。4,16之前我被定义为有症状中风症状综合征与成像的证据一个相应的“宏观”我(> 5毫米直径在T2 * gre考试)。15无症状之前我(> 5毫米直径在T2 * gre MRI)也指出:慢性神经影像学上定义我是我没有急性出血CT或MRI扫描识别。急性凸性蛛网膜下腔出血(cSAH)被定义为线性hypointensity蛛网膜下腔影响一个或多个皮质沟脑凸性的T2 * gre序列与相应hyperintensity蛛网膜下腔在t1或天赋图像。cSS定义为线性残留慢性血液制品表层的大脑皮层显示低信号的特征“gyriform”模式T2 * gre图片,没有相应hyperintense信号在t1或天赋图像。我们不包括cSS与任何我如果是连续的。cSS的分布和急性cSAH分为焦(限于≤3沟)或(≥4沟)传播。8我们也注意到是否cSS侧或侧慢性我。利用患者的MRI扫描样品可能的创新艺人经纪公司(n = 48)和控制,non-CAA (n = 27)情况下,评分者间信协议存在与否的cSS是93.3%(科恩κ= 0.85)和cSS类别是95.1%(加权科恩κ= 0.86)。白质hyperintensities (leukoaraiosis)与4步简化法泽卡斯评定量表进行评估,从0到3(0 =没有病变;1 =焦病变;2 =早期的支流;3 =支流)。18
统计分析。
我们比较人口、临床和患者可能的创新艺人经纪公司的成像特点,有和没有cSS。二进制和有序逻辑回归分析用来确定预测的cSS (cSS和cSS程度,分别)。多变量分析调整年龄、叶的CMBs(作为分类变量:0,1,2 - 4,和> 4 CMBs),慢性大叶性我,和历史的瞬态局部神经发作,基于单变量分析的结果,加上其他生物可能的混杂因素。敏感性分析,我们重复这些分析的高血压多变量回归模型。因为二进制和有序逻辑回归分析的结果是一致的,我们现在只有二元逻辑回归分析的结果。一个p值≤0.05被认为是具有统计学意义。数据丢失在不到5%的参与者;这些病例被排除在单变量和多变量分析,包括缺失变量的兴趣。主要提出了多变量模型,没有缺失的数据。所有统计分析使用占据软件(版本11.2;StataCorp,大学城,TX)。
结果
最后一群由209名患者:120患者可能的创新艺人经纪公司与支持病理学(9)基于波士顿标准和89例其他我不履行波士顿标准可能的创新艺人经纪公司,形成比较2组患者- 67一个叶的我或混合(大叶性和深度)出血,患者和22严格深出血(表1)。
患者可能的创新艺人经纪公司的特点和我们比较患者团体自发出血症状不履行波士顿标准可能的创新艺人经纪公司:“单大叶性我和混合出血”和“严格深层出血”一个
cSS中检测出48 120 (40%;95%可信区间[CI]: 31.2% - -49.3%)患者可能的创新艺人经纪公司,相比之下,67年10 (14.9%;95%置信区间:7.4% - -25.7%)的患者一个叶的我或混合(大叶性和深度)出血,只有1的22例(4.6%)患者严格深出血(p< 0.001(趋势)表1和图1)。在单一大叶性我或混合出血组,cSS被发现在2 33(6.1%)患者单个叶的我,没有CMBs, 11例(18%)患者的第2大叶性我和深度或混合CMBs, 17和图3(18%)患者深我和叶的或混合CMBs的cSS的频率(见表格e 1详细的患者亚组)。传播cSS观察120年29 (24.2%;95%置信区间:16.8% - -32.8%)患者可能的创新艺人经纪公司,但在没有其他的89名患者没有满足原始的波士顿标准可能的创新艺人经纪公司(p< 0.001)。在单一的大叶性我或混合出血患者,cSS(10 67)总是焦点;这些患者10 cSS, 7例(70%)有叶的CMBs(表依照)。
皮质表面铁尘肺患病率(cSS)患者明显高于可能的脑淀粉样血管病(CAA)相比,比较组(单大叶性脑出血(我)和混合出血,并严格深出血)。的p使用χ值趋势计算2测试。CI =置信区间。
31 48患者可能的创新艺人经纪公司和cSS的慢性叶的我;cSS是侧我或双边24例(87.4%)患者和局限于同侧慢性脑叶的我只有7个患者(22.6%)(即。cSS是存在的,在大多数情况下,远离任何慢性大叶性我)。17的48名患者可能的创新艺人经纪公司和cSS(35%),没有任何证据表明慢性叶的我。代表cSS所示的例子图2。
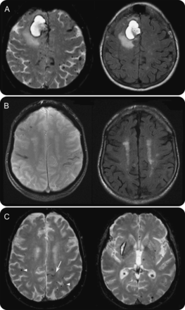
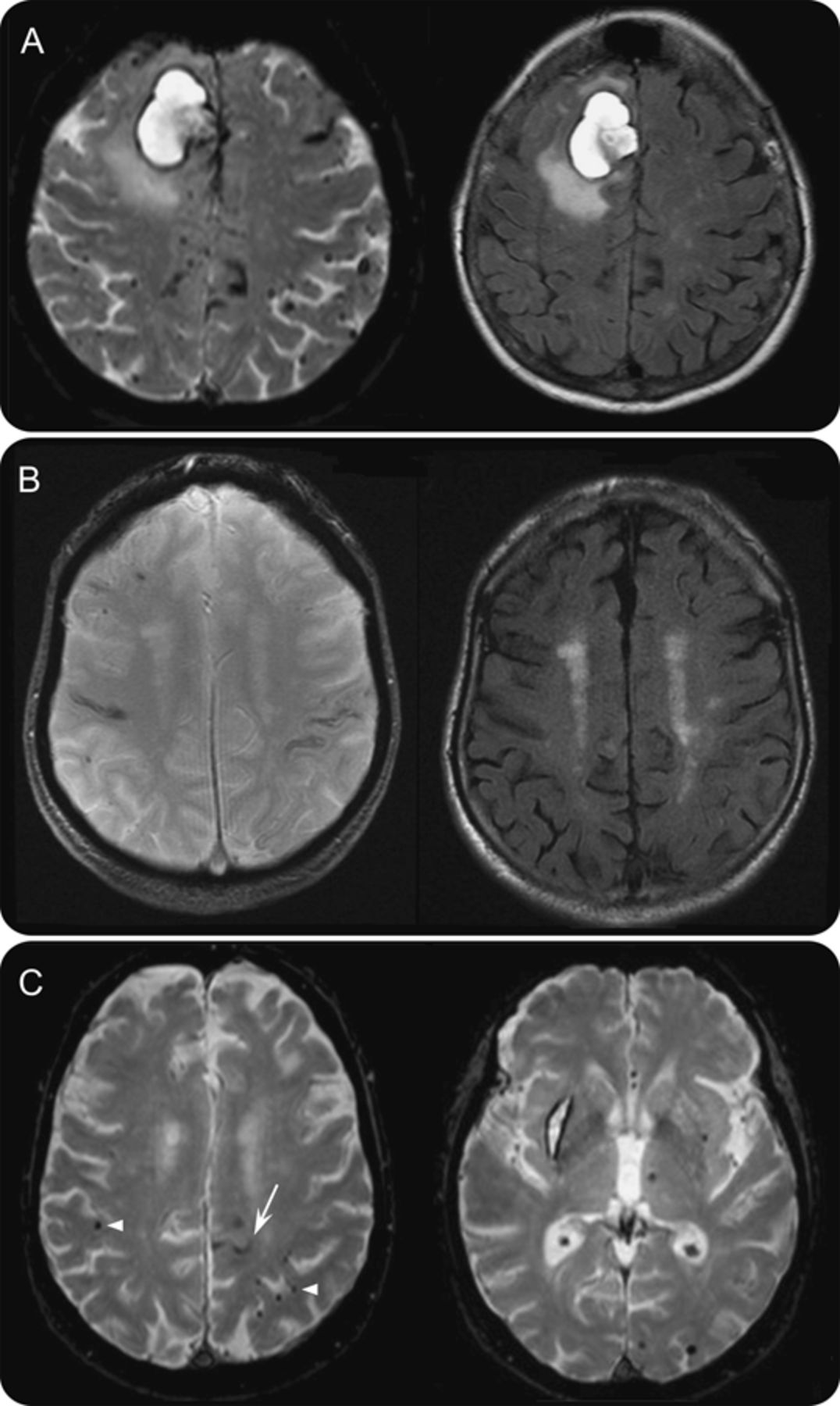
(A)患者可能脑淀粉样血管病(CAA)和急性颅内出血(我)和多焦点的右额叶皮层表面的铁尘肺(cSS)在左半球。多叶的脑microbleeds (CMBs)也在场,有时接近cSS。(B)患者可能与焦创新艺人经纪公司,双边cSS和叶的CMBs,没有我在场。(C)患者出血的混合模式(我和CMBs)不履行波士顿标准创新艺人经纪公司:注意焦点的cSS在左半球(箭头)和叶的CMBs密切附近的cSS(箭头)。天赋= fluid-attenuated反转恢复;T2 * gre = T2 *三梯度回波回忆道。
可能的创新艺人经纪公司集团内cSS是老和少高血压患者相比,患者没有cSS (表2)。cSS患者经常有瞬态局部神经发作和慢性叶的我比患者MRI没有cSS。然而,我们没有发现关联的cSS和急性大叶性我,叶的CMBs,严重性或白质高密度。
在单变量逻辑回归分析中,与cSS相关的因素是年龄、瞬态局部神经发作史,和慢性叶的我(表e - 3)。高血压与cSS呈负关联。在多变量逻辑回归分析、年龄、有无慢性大叶性我,独立和瞬态局部神经发作史与cSS,叶的CMBs调整后(表3)。这些结果保持一致的额外调整后高血压和急性cSAH(数据没有显示)。cSS在有序逻辑回归预测的结果(即。,predictors of cSS extent: no cSS vs focal vs disseminated) were consistent and of similar effect size.
讨论
据我们所知,这多中心回顾性研究首次系统调查的患病率和clinical-radiologic协会cSS患者可能的零星的创新艺人经纪公司(由原波士顿诊断标准)相比,那些我不满足这些标准。一项研究调查了cSS的存在对组织病理学诊断为CAA患者8患者:cSS中检测出60.5%的组织病理学证实创新艺人经纪公司(n = 38岁;平均年龄70岁)而没有控制与组织病理学证实non-CAA我(n = 22;平均年龄54年)。8作者认为cSS可能有利于创新艺人经纪公司的临床诊断。8cSS中也同样存在遗传脑出血患者amyloidosis-Dutch类型,不同遗传类型的创新艺人经纪公司,总是直接附近的大叶性我或招商银行。19我们的发现加强假设cSS(尤其是传播)是一种神经影像学特点创新艺人经纪公司的标志。我们注意到cSS在40%的患者可能的创新艺人经纪公司,传播cSS只可能CAA患者,发现cSS非常罕见(患病率低于5%)患者的“严格深”的模式我与可能的创新艺人经纪公司。我们还发现cSS在15%的患者一个叶的我或混合(大叶性和深度)出血;然而,在大多数这些混合出血患者,大叶性CMBs也在场,这表明他们可能实际上港一定程度的创新艺人经纪公司病理学。
患者一个叶的我,没有CMBs(即。,“possible CAA” according to the original Boston criteria14),cSS的患病率也很低(6%)。在这些标准的验证,16的26个患者(62%)列为可能的病理证实创新艺人经纪公司的创新艺人经纪公司,14但只有11的病理诊断患者T2 * gre成像,限制了研究结果的普遍性当前军团(包括我们的研究),现在常规的成像。在波士顿的另一个验证研究的标准,使用T2 *三梯度回波磁共振成像在遗传Dutch-type CAA人口,所有患者大叶性我也CMBs。19我们的数据表明,进一步病理相关要求确定病理证实的患病率CAA患者一个叶的我(和CMBs或cSS)适当blood-sensitive MRI序列。进一步的研究与组织病理证实或体内淀粉样蛋白成像20.也将有助于确定的cSS是一个有用的诊断特征CAA患者出血的混合模式。
在鹿特丹的健康人群为基础的扫描研究中,cSS被发现在0.7%(7/1,062)的老年人(平均年龄69.6岁),都有叶的CMBs(6严格肺叶的CMBs, 5人多个CMBs)接近附近的cSS。10与我们的研究结果一致,平均年龄与cSS的人比那些没有cSS(平均年龄79.9 vs 69.6年;p< 0.001),与人相比CMBs但没有cSS(平均年龄71.8岁)。10因为创新艺人经纪公司的严重程度与年龄相关,1,3这些发现,连同我们的数据显示一个cSS慢性我协会建议cSS可能是一个更先进的创新艺人经纪公司的标志,但这也需要病理证实,标准化分级CAA的严重性。
实验研究证实,重复到蛛网膜下腔出血导致单纯含铁血黄素沉积。21有因此至少2可能的病理生理机制可能导致cSS沉积在CAA: a)反复急性出血脆性肤浅的皮质或leptomeningeal CAA-affected船只进入蛛网膜下腔(独立于大叶性我);和b)泄漏从先前的叶的我(或浅叶的CMBs)进入蛛网膜下腔。我们观察的cSS 17个病人没有慢性大叶性我,甚至在那些患有慢性大叶性我大多远离我(在近90%的情况下侧半球或双边),支持贡献直接向蛛网膜下腔出血,独立于叶的我。这意味着独立cSS可能出现已知特征的成像特性的创新艺人经纪公司(大叶性我和CMBs),支持其作为一个独立的诊断标记;还需要进一步的研究来证实cSS的价值提高体内CAA诊断的敏感性。
也许令人惊讶的是,我们没有发现任何联系叶的CMBs和cSS,这可能反映出选择倾向一般先进的疾病在我们群叶的CMBs患病率高。然而,在某些情况下,观察cSS接近一个或多个大叶性CMBs(见,例如,图2),这表明泄漏非常肤浅的CMBs cSS的也可能是一种机制。
另一种解释的cSS和大叶性之间的关系我是cSS之前叶的我。尽管我们的横断面数据不能证实这一假说,最近的一些数据支持这个解释。患者的回顾性研究51 cSS归因于可能或可能的创新艺人经纪公司后发现,平均35.3个月的随访,47.1%的病人有新的放射我或cSAH,经常在现场预先存在的铁尘肺,13提供初步证据表明,cSS预示着未来我的高风险。一系列小neuropathologic 6尸检例皮层下血肿引起的创新艺人经纪公司表明,至少在某些情况下的主要出血似乎源自蛛网膜下腔。22迫切需要进一步的前瞻性研究来确定未来颅内出血的风险与创新艺人经纪公司的cSS。
我们的研究证实了一个强大的独立协会的cSS瞬态局部神经发作(有时称为“淀粉样法术”23),它正越来越多地在创新艺人经纪公司,可以像tia)偏头痛光环,或局部癫痫。11,12,23这样的攻击也不是不可能造成的破坏皮质功能由于cSS,例如表面皮质含铁血黄素沉积诱导局部癫痫发作或皮层扩散性抑制。11,23,- - - - - -,25CAA-related瞬态局部神经发作与早期症状的风险高叶的我(24.5% (95% CI: 15.8% - -36.9%)在8周)11;cSS是一种机制支撑这个临床风险增加,反映出局部皮质表面附近活跃的创新艺人经纪公司。26
我们的研究有几个优点,包括核磁共振扫描的系统评价由训练有素的评级机构使用验证量表进行一系列的小血管疾病的影像学标记。一个限制是缺乏病理证实CAA病理学。的不完美的波士顿标准的特殊性,尤其是“可能的创新艺人经纪公司”的类别,14我们专注于患者完成的标准可能的创新艺人经纪公司,特异性的82%和100%之间。14,19我们的研究的局限性包括回顾设计、疾病的初始点的变化在包容,和潜在的偏见在我们的样例因为进行了核磁共振成像作为常规临床护理的一部分,倾向于排除更严重的创新艺人经纪公司和我。
我们的研究表明,cSS(尤其是传播)是一个特色创新艺人经纪公司的神经影像学特征。慢性肺叶的cSS,我是一个独立的危险因素的因果方向和机制协会是不确定的:虽然从以前的大叶性我泄漏到蛛网膜下腔可能导致cSS, cSS也有可能预示着未来的大叶性我风险增加。还需要进一步的前瞻性研究来澄清cSS如何与我未来的风险,这可能有重要的临床意义,例如关于抗血栓形成的治疗。我们的研究结果还表明,蛛网膜下腔出血,独立于叶的我,还必须为cSS在创新艺人经纪公司,这表明cSS应该考虑额外的神经影像学的标志CAA-related出血。
作者的贡献
Charidimou:项目设计、数据收集、数据分析、编写。右贼鸥:成像分析建议,关键的修正。z狐狸:数据分析、数据解释,重要的修改。a·彼得斯,y Vandermeeren, p . Laloux J.-C。男爵:数据收集、重要的修改。D.J.回答:项目设计、监督,写起来。
研究资金
中风协会和英国心脏基金会资助的,由国家卫生研究所的研究人员支持伦敦大学学院医院生物医学研究中心。
信息披露
a . Charidimou接收研究希腊政府奖学金基金会的支持下,中风协会,英国心脏基金会。r . Jager已经收到了萨曼莎·迪克森的研究支持脑瘤大脑研究信任和信任。z福克斯,a·彼得斯,y Vandermeeren, p . Laloux, J.-C。男爵报告没有披露。d .回答收到卫生部/研究支持英格兰高等教育拨款委员会(临床高级讲师职务奖)。去首页Neurology.org为充分披露。
承认
作者感谢西蒙博士格雷戈勒她的援助与数据库建立多中心队列和技术援助组织。
脚注
去首页Neurology.org为充分披露。资金信息和披露认为作者相关的,如果有的话,年底提供这篇文章。
- 收到了2013年1月10日。
- 接受的最终形式5月3日,2013年。
- ©2013美国神经病学学会的首页
这是一个开放的文章在知识共享归属许可下发布的,它允许无限制的使用,分布和繁殖在任何媒介,提供最初的工作是正确的引用。
引用
信:快速的网络通信
你可能也会感兴趣
更多的网上
主题讨论
提醒我
推荐的文章
- 文章
皮质表面铁尘肺和首次脑出血脑淀粉样血管病格雷戈勒Boulouis Andreas Charidimou,李雄等。
首页神经学,2017年3月29日 - 文章
大脑皮层表面的铁尘肺和脑出血脑淀粉样血管病的风险Andreas Charidimou,安德烈·菲利普·彼得斯,Rolf Jager et al。
首页神经学,09年10月,2013年 - 文章
大脑皮层表面的铁尘肺在脑淀粉样血管病和出血风险一个荟萃分析
格雷戈勒Andreas Charidimou Boulouis,史蒂文·m·格林伯格et al。
首页神经学,2019年11月15日 - 文章
大脑皮层表面的铁尘肺脑淀粉样血管病的进展未来的核磁共振研究
Thanakit Pongpitakmetha, Panagiotis Fotiadis马可·帕斯et al。
首页神经学,2020年4月13日


