神秘的例子:一个意想不到的并发症急性缺血性中风的静脉溶栓
一名46岁男子发达急性牛皮癣和病态肥胖失语症和右半身不遂。由于他的软弱,他已和右眼在书桌上。他提出检查证明对眶周的瘀斑没有附带的上睑下垂,表达性失语,留给凝视偏差相应偏盲,和密集的右半身不遂,求和13的NIH卒中量表评分。
考虑的问题:
是什么发现这些41 CT图像上(s) ?
这个病人应该接受静脉组织纤溶酶原激活物(tPA) ?
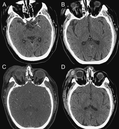
病人中有高密度的异常在左大脑中动脉近端初始41成像在急性血栓形成(图,一个)。他收到第四tPA 2小时内出现症状,并注意到重要的神经功能改善的20分钟内启动治疗。
(A)最初的头部CT在左侧大脑中动脉高密度异常(箭头所指)。(B)对retro-orbital血肿(箭头所指)。第四(C) CT血管造影术后重组组织纤溶酶原激活物管理演示retro-orbital血肿扩张,进步眶周的水肿,以及不断恶化的突出。(D)溶栓演示间隔24小时后头部CT改善retro-orbital血肿以及最小脑缺血性改变。
大约45分钟后启动第四重组tPA,病人开发增加单眼失明和完全关闭的右眼迅速进步的眶周的水肿和淤血。复审的颅骨成像表示和静脉溶栓后确认一个扩大retro-orbital血肿(图中,B和C)。紧急外眦切开术进行减压视神经,3天内轨道减压和缺血性中风的治疗,他已经接近完整的视觉和神经功能恢复。后续颅和轨道成像表现后24小时内眦切开术演示了解决retro-orbital血肿(图D)。
小retro-orbital血肿出现在初始成像筛查和决策过程中一直被忽视的管理溶栓治疗。虽然病人恢复没有显著的脑或视力损害的直接干预,目前尚不清楚IV重组tPA应该保留在这个上下文。静脉溶栓对缺血性中风进行玻璃体切除术后无并发症,1但眼内出血的存在导致扣缴治疗在其他情况下。2
第四tPA一直被证明是安全的和有效的缺血性中风。3然而,溶栓治疗应该谨慎行事甚至在轻微外伤的设置,这种情况下突出仔细检查的重要性和警惕因意外并发症。
作者的贡献
Sheth博士和绮参与病人的护理,研究设计,数据分析,和准备的手稿。
研究资金
没有针对性的资金报告。
信息披露
作者报告没有披露相关的手稿。去首页Neurology.org为充分披露。
脚注
去首页Neurology.org为充分披露。资金信息和披露认为作者相关的,如果有的话,年底提供这篇文章。
- ©2013美国神经病学学会的首页
引用
神秘的情况下反应
系列是由神秘的情况首页®居民和其他部分学员的临床推理能力发展。实习项目,医学院学生教师和个人被邀请去使用这个神秘的情况下作为一个教育工具。反应请求通过电子邮件发送到一组美国神经病学学会财团的神经学的居民和同伴和通过社会媒体。首页所有的反应,我们收到了来自个体而非群体。百分之八十七的被调查者正确地确定了高密度的左大脑中动脉签署病人的CT扫描,和33%的受访者确认正确的retro-orbital血肿。管理方面,77%的受访者表示,病人应该接受IV tPA,而另外23%表示,第四tPA应该保留,因为血肿。最完整的答案来自Anil Neelakantan博士意识到第四tPA可能导致扩张retro-orbital血肿压迫视神经,两者都发生在这种情况下。幸运的是,患者几乎完全恢复视力后紧急眦切开术。
正如作者已经承认在他们的病例报告,决定适当的治疗在这种情况下是不明确的。然而,重要的是要仔细检查神经影像中风后设置的头部创伤出血性并发症如一个在这种情况下可以预期。
安德鲁•Schepmyer BHSc(荣誉),医学博士
神经学部门,加拿大温哥华,不首页列颠哥伦比亚大学。
信:快速的网络通信
-
节省大脑,忘记的眼睛
- Nitin K。塞提,神经病学助理教授首页,纽约长老会医院,威尔康奈尔医学中心525东68街,纽约,纽约sethinitinmd@hotmail.com
- Nitin K Sethi,纽约,纽约
2013年8月27日提交
你可能也会感兴趣
相关文章
-
没有找到相关文章。
主题讨论
提醒我
推荐的文章
- 情况下
直接肿瘤栓塞呈现急性缺血性中风赫尔南尼古拉斯Lemus Christine Lu, Hazem Shoirah et al。
首页神经学:临床实践,7月10日,2019年 - 文章
最近流行MRI-defined沉默的缺血与溶栓和相关的出血风险m . Tisserand l . Le Guennec大肠Touze et al。
首页神经学,09年3月,2011 - 居民和其他部分
急性缺血性中风的临床推理:机械血栓切除术在心房粘液瘤的设置Prasanna Tadi, Rafey Feroze, Pranav Reddy et al。
首页神经学,2019年10月14日 - 简短的沟通
良好的临床结果在一个大的CT扫描患者hypodensity治疗动脉内的栓子中风后尿激酶r·塔尔c·l·泰勒,w·r·塞尔曼et al。
首页神经学,1996年10月1日


