2013年8月20日
;81 (8)
居民和其他部分
教学神经图片:并发半面痉挛和三叉神经痛由于vertebrobasilar脑中风
夏新大肠Lakhan
第一次出版2013年8月19日,
DOI: https://doi.org/10.1212/WNL.0b013e3182a1aaeb
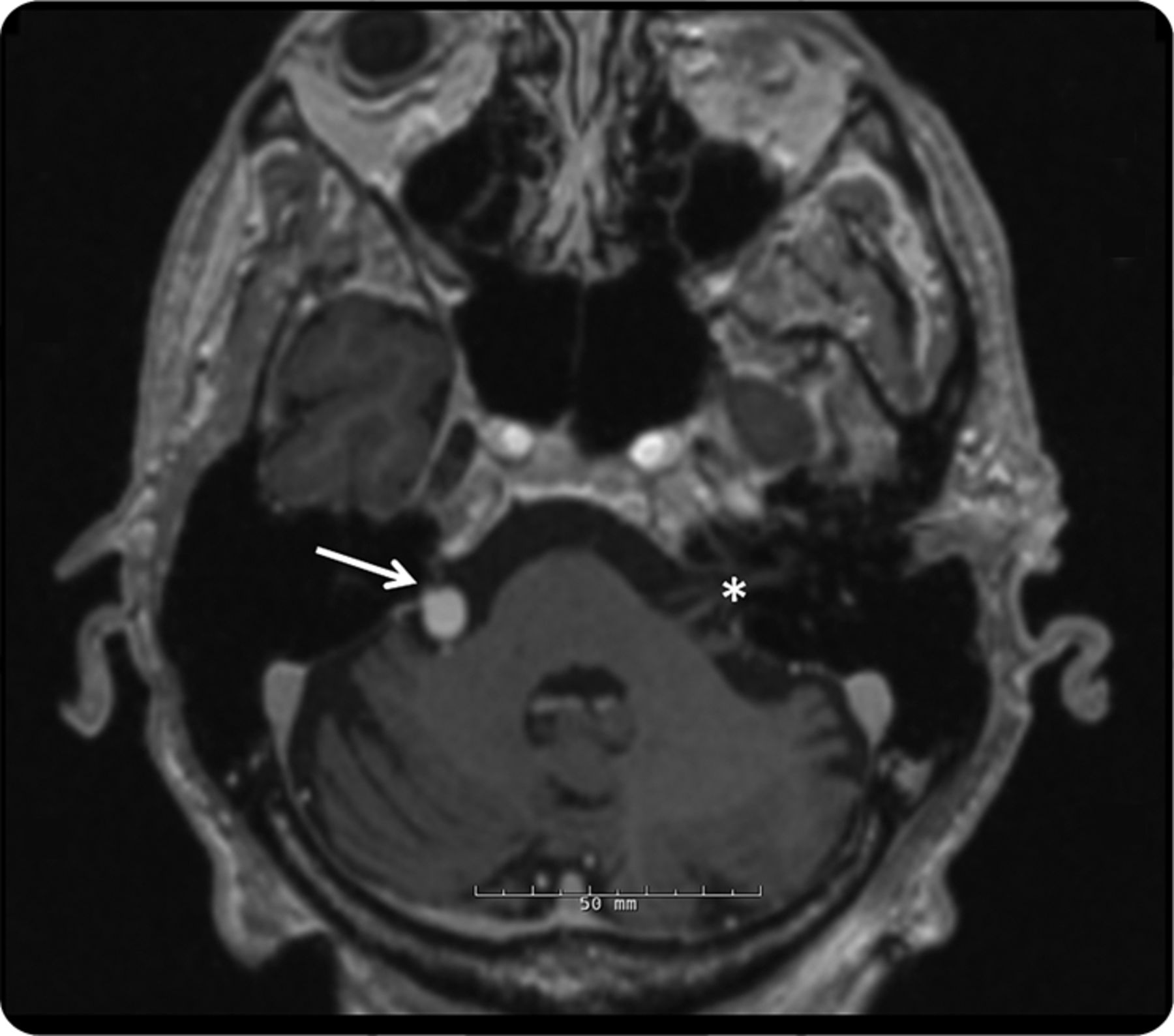
一个64岁的老人报道2年历史的帷幕,恶化的阵发性,撕裂的右面部疼痛和痉挛。头部CT表现出曲折和扩张的vertebral-basilar系统。MRI证实了dolichoectatic底动脉扭曲正确的三叉神经(图1)和面部神经根(图2)。他没有保守的医疗管理包括卡马西平、奥卡西平和levetiracetam。他接受了伽玛刀放射治疗几个月的缓解疼痛和痉挛得到了肉毒毒素注射。
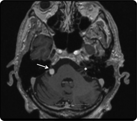
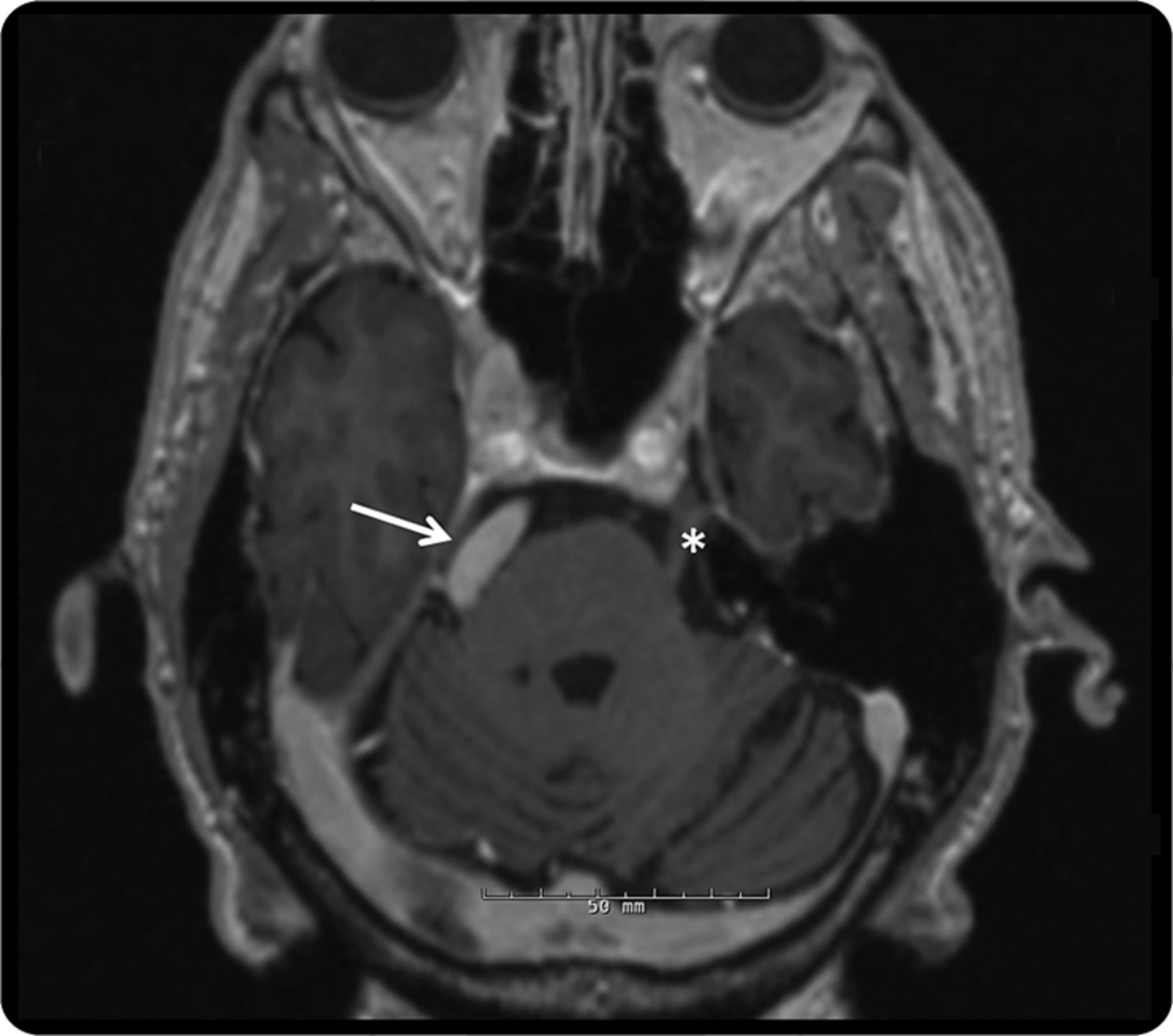
图1
大脑核磁共振,3 d magnetization-prepared快速采集、轴向视图
MRI显示dolichoectatic底动脉扭曲正确的三叉神经脑桥中期的水平(箭头所指)。作为参考,侧三叉神经显示星号。
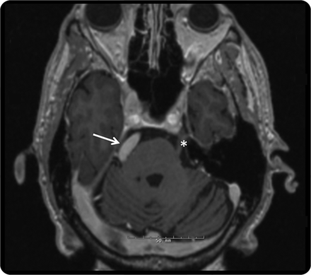
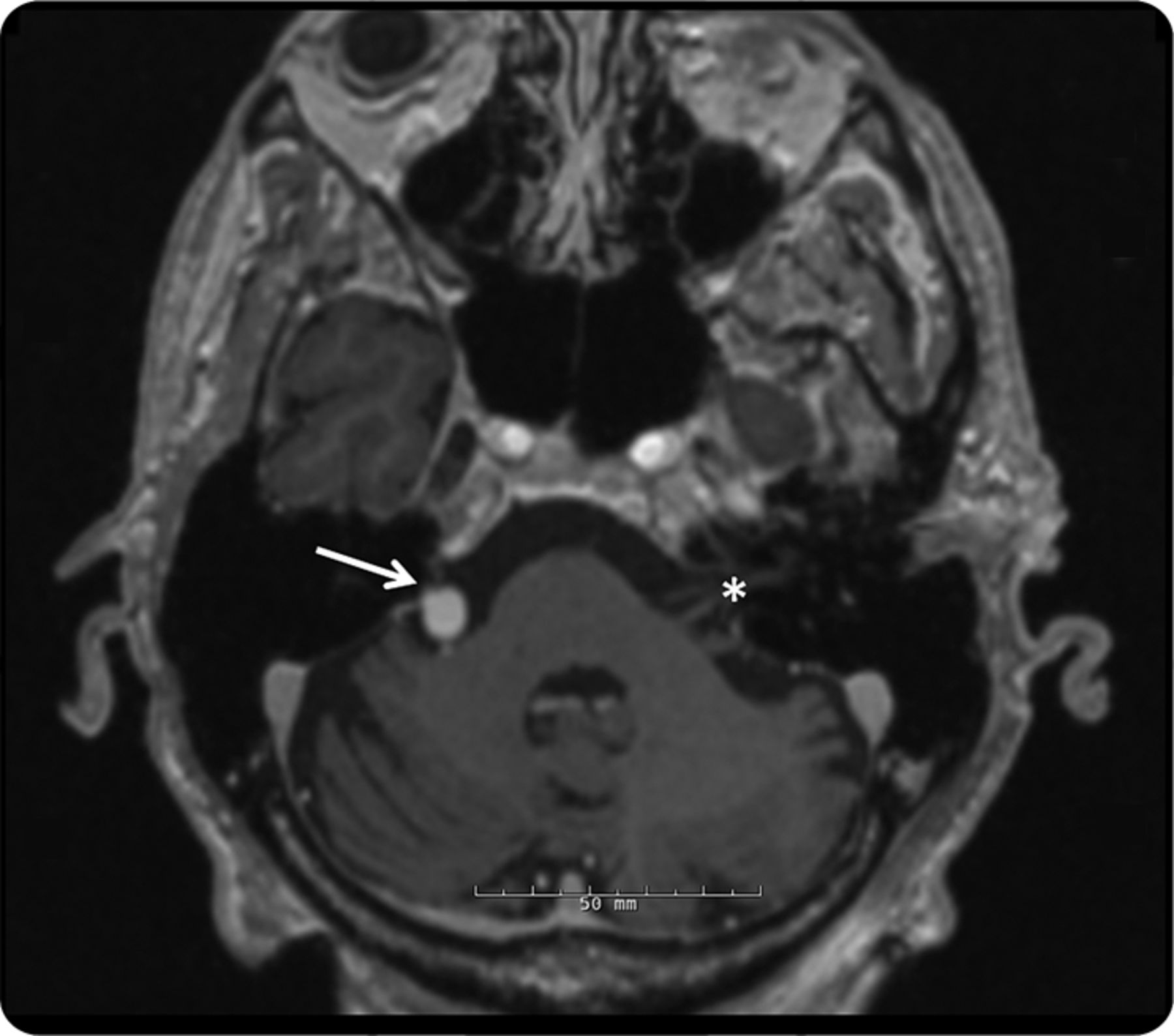
图2
大脑核磁共振,3 d magnetization-prepared快速采集、轴向视图
MRI显示dolichoectatic底动脉扭曲正确的面部神经小脑桥脑角(箭头所指)。作为参考,对侧的面神经显示星号。
这种情况下代表了一种罕见的表示并发半面痉挛和三叉神经痛与一个膨胀的基部的动脉。1
研究资金
没有针对性的资金报告。
信息披露
Lakhan博士是美国神经病学学会的远程学习小组和团队成员的一篇社论的居民和其他部分首页首页®。去首页Neurology.org为充分披露。
脚注
下载教学幻灯片:www.首页neurology.org
- ©2013美国神经病学学会的首页
信:快速的网络通信
你可能也会感兴趣
广告
主题讨论
提醒我
推荐的文章
- 特殊物品
实践参数:三叉神经痛的诊断评估和治疗(一个基于证据的审查)质量标准委员会的报告,美国神经病学学会和欧洲神经病学学会联合会首页
g . Gronseth g . Cruccu j . Alksne et al。
首页神经学,2008年8月20日 - 文章
伽玛刀放射治疗三叉神经痛的治疗特发性和肿瘤相关
r . f .年轻,s . s . Vermeulen p·格林等。
首页神经学,1997年3月1日 - 部门
日历et al。
首页神经学,2009年2月16日 - 部门
日历et al。
首页神经学,2009年2月2日


