汉森Nontraumatic肥厚性神经瘤的治疗疾病
麻风结节的麻风病用氨苯砜治疗的42岁男子,利福平,和氯法齐明发达结节性红斑红斑(ENL),涉及面部神经炎,后胫骨,腓肠神经。这些反应是成功治疗与强的松和萨力多胺。八年后,他面对痛苦的感觉异常的左小腿和放大,温柔的腓肠神经。类固醇是无效的。神经超声和MRI显示焦扩张(图1)。神经活检是诊断肥厚性再生神经瘤(图2);菲特染色和麻风杆菌PCR是负的。汉森Nontraumatic神经瘤治疗的患者临床疾病可能模仿神经炎/ ENL perineurioma或纤维神经瘤。
(A)左下肢MRI (T1序列)显示腓肠神经扩大(箭头)和轻度增强暗示领域活跃的炎性变化,减少信号符合疤痕。(B)超声显示的腓肠神经局部膨胀测量4.0毫米×8.0毫米(箭头所指)。
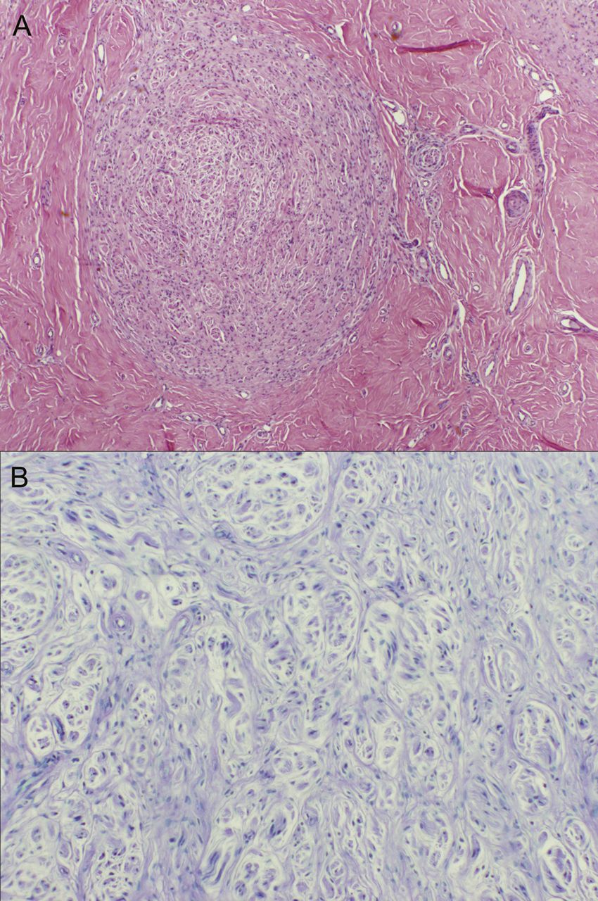
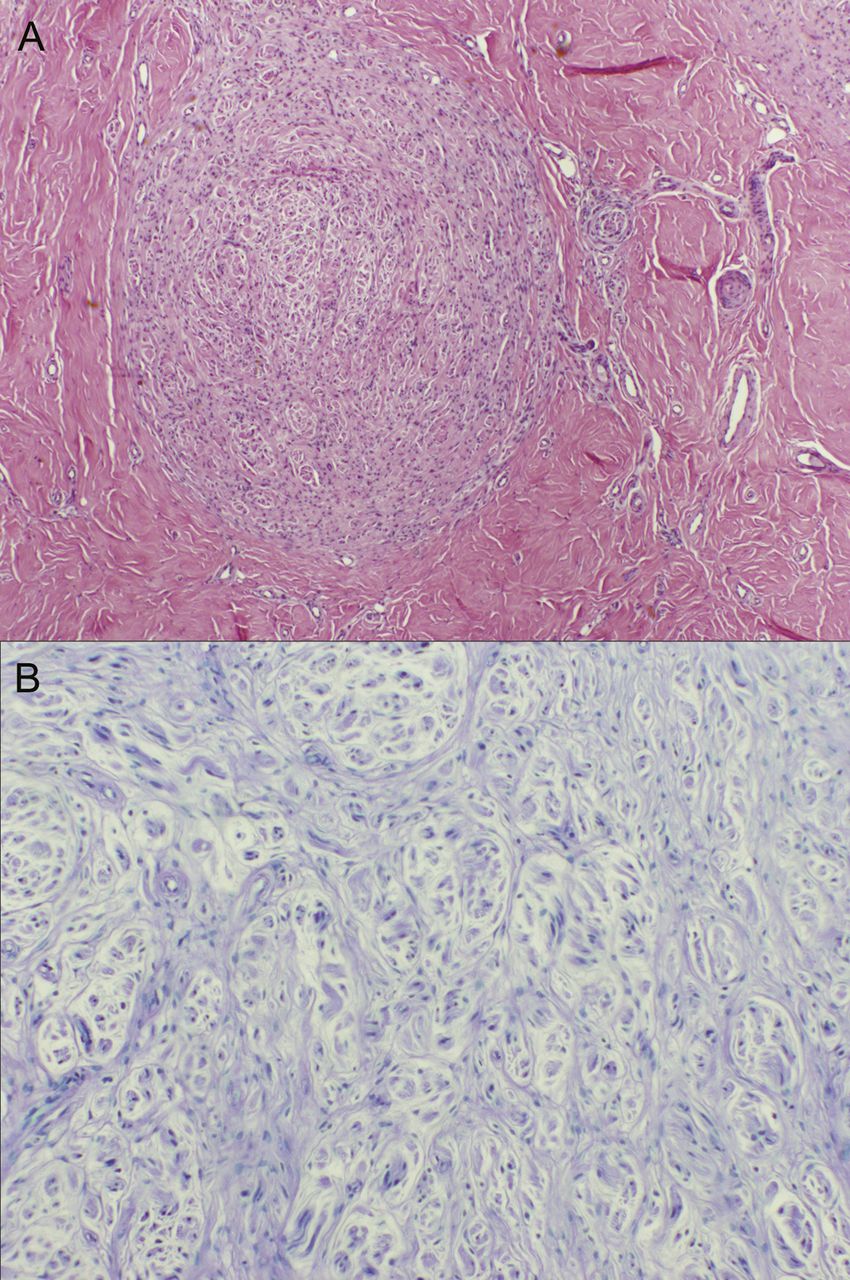
(A)苏木精和伊红显示密度结节周围纤维化,出现让人想起创伤性神经瘤。没有肉芽肿炎症(原始放大40×)。(B) Luxol快速blue-periodic acid-Schiff染色显示神经和再生的无序模式缺乏结节内的有髓纤维(原放大100×)。没有显示:应用CD45和CD68证明小神经外膜血管周围淋巴细胞和巨噬细胞的集合;金宝搏188手机apps - 100应用显示小纤维结缔组织;和上皮膜抗原negative-whorls perineurioma没有见过的特征。
脚注
作者的贡献:克里斯托弗·m·帕尔:起草/修改手稿,分析或解释的数据,接受责任行为的研究和最终批准,采集的数据。克里斯汀•托马斯:起草/修订手稿,分析或解释的数据,接受责任行为的研究和最终批准,显微照片。温妮Ooi认为:起草/修改手稿,研究或设计概念,接受责任行为的研究和最终批准,监督学习。大卫布莱恩:起草/修改手稿,接受责任行为的研究和最终批准,采集的数据,是操作外科医生。多琳Ho:起草/修改手稿,研究或设计概念,分析或解释的数据,接受责任行为的研究和最终批准,监督学习。Jayashri Srinivasan:起草/修改手稿,接受责任行为的研究和最终批准,监督学习。
研究经费:没有针对性的资金报告。
披露:作者报告没有披露相关的手稿。去首页Neurology.org为充分披露。
- ©2013美国神经病学学会的首页
信:快速的网络通信
你可能也会感兴趣
相关文章
-
没有找到相关文章。
主题讨论
提醒我
推荐的文章
- 文章
神经和肌肉活检病理结果来自47个硅胶乳房植入手术的女性汉斯·沃格尔et al。
首页神经学,1999年7月1日 - 文章
联系NF1的良性和恶性周边神经鞘肿瘤t·塔克·Wolkenstein j . Revuz et al。
首页神经学,2005年7月25日 - 简短的沟通
三叉神经在慢性炎性脱髓鞘多神经根神经病肥大n . Guibord c .粉笔f .葡萄酒等。
首页神经学,1998年11月1日 - 首页神经病学临床病理会议
一个16岁的女孩进步左腿的弱点Angelika f·哈恩,米歇尔·l·Mauermann p·詹姆斯·b·戴克et al。
首页神经学,2007年7月2日


