珍珠和Oy-sters:一个不寻常的水痘一带状疱疹病毒小脑炎和血管病变
珍珠
中枢神经系统并发症的水痘一带状疱疹病毒(带状疱疹)主要发生在免疫力低下或老年病人,包括脑膜炎、骨髓炎、急性脑炎,血管病变,很少,小脑炎。1,- - - - - -,8
带状疱疹神经障碍的临床诊断与检测带状疱疹病毒分析证实了DNA或anti-VZV免疫球蛋白G CSF的抗体(免疫球蛋白)。6,7
OY-STERS
神经学家们应该意识到中枢神经系统参与的可能性后甚至能激活免疫活性的患者。
应该尽快开始抗病毒治疗临床诊断怀疑因为治疗会导致神经功能缺损的部分或完整的决议。7
病例报告
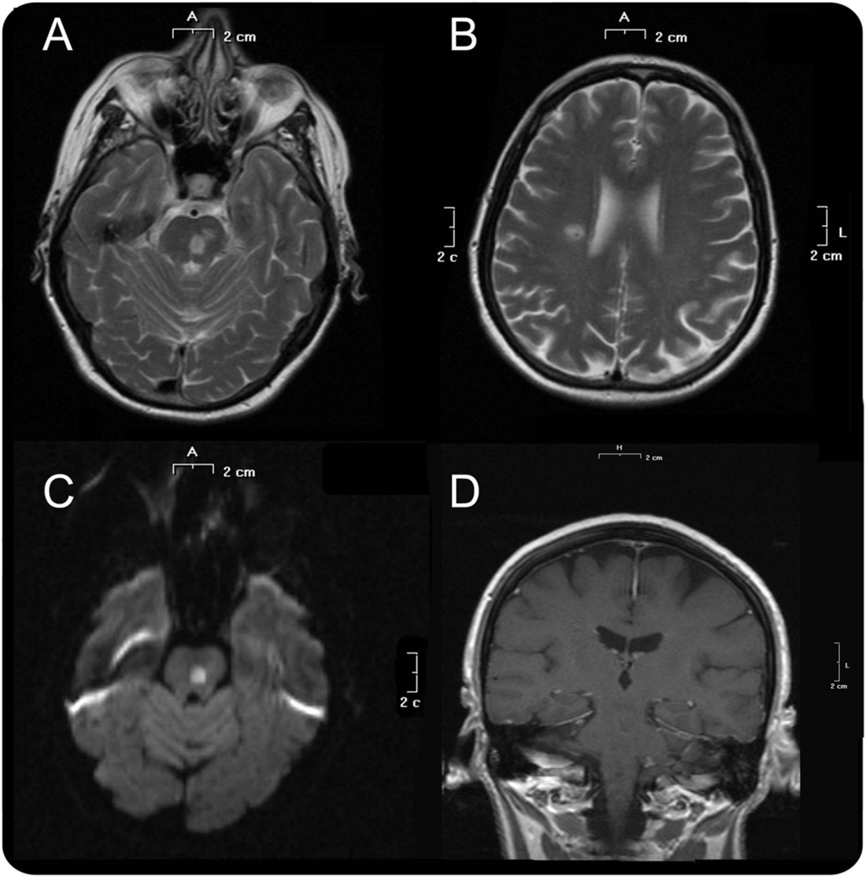
一个67岁的女人面对不稳定和逐渐出现头晕。演讲前两个星期,病人痛苦的水泡疹在左耳后9天内由急性左边缘面部麻痹;拉姆齐亨特综合症的诊断(RHS)和口服valacyclovir开始。几天后启动valacyclovir,她步态不稳,逐渐恶化。她的病史披露控制糖尿病和高血压,和治疗包括二甲双胍,雷米普利,氢氯噻嗪、乙酰水杨酸。神经系统检查,病人无法站立,行走无助的;她有wide-based步态,左侧肢体共济失调为主,双边dysdiadochokinesia。颅神经检查,病人运动神经元低左面部麻痹和疼痛都3左侧三叉神经的分支。深部腱反射、力量和感觉是正常的。头部CT显示左内侧hypodensity脑桥,,因为怀疑中枢神经系统参与的带状疱疹,该患者使用静脉无环鸟苷(每天10毫克/公斤3次)10天。 Brain MRI, performed the second day of therapy, revealed one lesion in the left pons, one in the left midbrain, and one in the right periventricular area. All 3 lesions were hyperintense on T2 and diffusion-weighted imaging sequences and hypointense on apparent diffusion coefficient, consistent with recent ischemic lesions (图)。没有看到其他幕上的或小脑病变。磁共振血管造影(MRA)是正常的。绝对淋巴细胞计数是550 /μL正常(0.95 - -4.40)的反演CD4 +: CD8 + t细胞比例。CSF分析显示40白细胞/μL(主要是单核细胞),40红细胞/μL蛋白质0.46 g / L(正常0.15 - -0.45),和葡萄糖99 mg / dL(正常45 - 80)。CSF带状疱疹PCR是积极和anti-VZV IgG抗体检测CSF。PCR检测其他亲神经的病毒是负的。中风的常见原因包括动脉粥样硬化或解剖被排除在外。2天的静脉无环鸟苷治疗后,病人的症状改善和放电她没有困难站和走单边支持。面部疼痛与卡马西平治疗成功400毫克/天。 At the last follow-up 3 months later, the patient walked without support, retained a mild facial weakness, and denied facial pain after she gradually ceased carbamazepine.
讨论
我们描述一个健康、免疫活性的成人患者开发了带状疱疹,发展到小脑性共济失调和三叉神经痛。大脑局部缺血性病变的MRI结果脑干和右半球与小脑参与不一致,在三叉神经功能障碍可能离开脑桥病变的结果。基于1)MRI异常的证据;2)检测带状疱疹DNA和anti-VZV脑脊液免疫球蛋白抗体;3)无环鸟苷治疗后的改善症状;和4)排除另类原因急性小脑性共济失调和中风,病人被诊断患有带状疱疹小脑炎和多病灶的血管病变。因此,我们假设在我们的病人重新激活的带状疱疹膝状神经节引起RHS随后顺行transaxonal传播的病毒通过感官途径小脑和大脑动脉,分别造成小脑炎和三叉神经损伤。虽然平均时间从皮疹出现神经系统症状和体征在带状疱疹血管病变通常是几个月后,他们在一周内可以同时发生或。6tia和中风后并不少见能复活在成人即使没有皮疹,和血管病变是由病毒感染引起的血管。5,- - - - - -,7在我们的病人,查看文档没有任何焦点缩小或大中型脑动脉狭窄,这表明疾病只小动脉在这个病人的影响。急性小脑性共济失调的带状疱疹是极其罕见的成人和带状疱疹后尚未报道。1的确,3成人带状疱疹患者小脑炎没有皮疹的历史文献中均有描述。
我们报告一个例病毒学双重中枢神经系统并发症发生的案例能激活和强调的重要性认识这与抗病毒治疗神经紊乱容易改善。
作者的贡献
f·卡拉布里亚:收集数据,起草/修订手稿。f . Zappini:收集数据/修改手稿。g . Vattemi:起草/修订手稿。m . Tinazzi:起草/修订手稿。
研究资金
没有针对性的资金报告。
信息披露
作者报告没有披露相关的手稿。去首页Neurology.org为充分披露。
脚注
去首页Neurology.org为充分披露。资金信息和披露认为作者相关的,如果有的话,年底提供这篇文章。
- ©2014美国神经病学学会的首页
引用
信:快速的网络通信
你可能也会感兴趣
相关文章
-
没有找到相关文章。
主题讨论
提醒我
推荐的文章
- 文章
水痘带状疱疹病毒血管病变临床、脑脊液、成像和病毒学特征
m·a·内格尔总裁鲍博•戴蒙德,r . j . r . Mahalingam et al。
首页神经学,2008年3月10日 - 文章
在脑脊液检测的价值anti-VZV IgG抗体诊断带状疱疹血管病变m·a·内格尔Forghani, r . Mahalingam et al。
首页神经学、07年2月,2007年 - 临床和伦理挑战
具有挑战性的水痘一带状疱疹病毒患者的疾病玛丽亚·a·内格尔Gilden et al。
首页神经学:临床实践,2013年4月15日 - 观点和评论
带状疱疹血管病变和postherpetic神经痛进步和视角抗病毒治疗
唐纳德·h·Gilden总裁鲍博•戴蒙德,兰德尔·j·拉维Mahalingam et al。
首页神经学,2005年1月10日


