临床推理:一个42岁的男人有严重头痛、发烧、和急性昏迷
第一节
一个42岁的男人接受大脑核磁共振在当地医疗机构严重头痛和被发现垂体腺瘤。两天后,他给了我们医院的急诊科高烧和突发性昏迷。病人头痛间歇温和的历史在最近的8个月。没有血管危险因素被确认的病史。
考试后,他的格拉斯哥昏迷评分分数是4/15,血压133/86毫米汞柱,体温40°C。血氧饱和度为96%对室内空气和呼吸速率19岁每分钟呼吸。神经系统检查发现颈部僵硬。病人可以睁开眼睛,虚弱地面对痛苦的刺激,疑似对上睑下垂。他的学生都是平等的直径,右相对瞳孔传入障碍。他的呕吐反射是双边。自发运动和运动反应刺激缺席。他的四肢弛缓性和深部腱反射对称。左巴宾斯基签署。心血管检查是毋庸置疑。 Blood tests revealed remarkable hyponatremia (126 mmol/L) and elevated leukocyte count (12.6 × 109/ L)。
第二节
在这个42岁的病人昏迷的情况下,发烧、颈部僵硬,神经系统感染性疾病的治疗应考虑。神经系统检查还表示第二和第三颅神经障碍和锥体束。脑CT和腰椎穿刺进行,以确定这些赤字的原因。
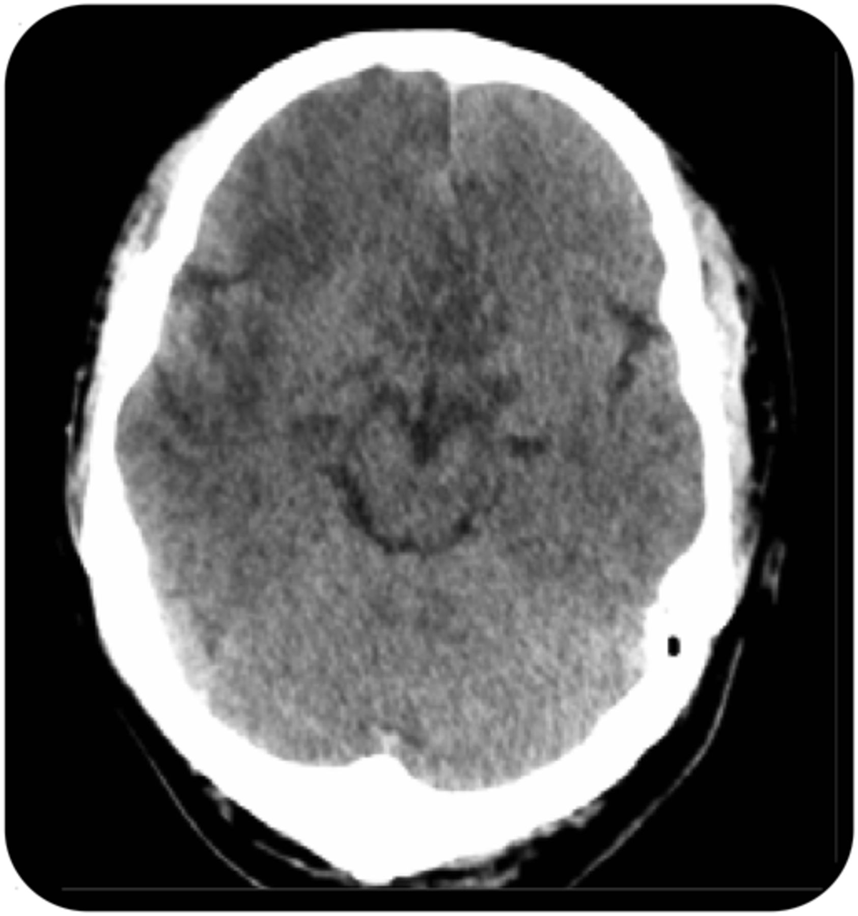
脑CT显示大规模非对称hypodensities在两个半球,主要位于额叶,顶叶和颞叶(图1)。蛛网膜下腔出血后排除腰椎穿刺显示清楚CSF与高程的蛋白质水平(1.06 g / L)。开启压力、白细胞和血糖水平在正常范围内。未发现红细胞,没有生物样本中发现了文化。考虑到既存上质量和第二和第三颅神经的损伤,垂体卒中,特点是霹雳头痛,视觉恶化,眼肌麻痹,脑膜刺激的迹象,意识改变,和激素功能障碍,成为另一个重要的考虑因素。然而,单边巴宾斯基签署和脑CT清楚地表明,病变不仅局限于脑下垂体及其邻近结构。
第三节
另一个大脑MRI表现,diffusion-weighted成像(驾车)显示高信号符合地区由两个大脑前动脉(留住)和右大脑中动脉(MCA) (图2中,得了)。领域的高信号对醉酒驾车小于CT扫描射线透射性,这表明,部分病变出现在最初的CT的血管性水肿及而非脑梗塞。垂体macroadenoma被发现包含右颈内动脉(ICA)海绵窦。其isointensity最初的T1加权图像相比,垂体腺瘤部分打开hyperintense T1和t2加权图像,表明肿瘤内出血(图2中,E和F)。颅磁共振血管造影术披露严重狭窄的远端对ICA和贫穷的可视化都留住,符合急性大规模脑梗死的诊断的领土留住和右大脑中动脉(图2 d)。在没有传统的血管危险因素的情况下,病人的梗塞是由垂体卒中与ICA压缩。
Diffusion-weighted图像揭示限制扩散双边大脑前动脉(ACA)和右大脑中动脉领土(a - c)。磁共振血管造影显示严重狭窄的远端颈内动脉(ICA)和穷人的可视化留住(D,箭头)。垂体macroadenoma部分hyperintense在t1影像(E),表明肿瘤内出血,增强的脑下垂体腺瘤瘤旁表面(F)。扩展到海绵窦导致双边intracavernous ICA的压缩,更糟糕的是在右边(E,箭头)。
由于高烧、低钠血症、垂体卒中,肾上腺机能不全似乎都有可能发生。病人因此与静脉注射类固醇治疗经验。pituitary-related荷尔蒙测试显示稍微催乳激素和睾丸激素水平下降,而甲状腺激素、生长激素、胰岛素样生长因子I,雌性激素和皮质醇在正常的范围内。这些结果在一定程度上可能是受类固醇治疗。
病人的温度和血清电解质规范化治疗后不久,他逐渐恢复清醒。详尽的神经系统检查发现明显视力丧失的右眼视神经萎缩,右眼睑下垂,左半身不遂,左巴宾斯基的迹象。病人也有重大hypermyotonia四肢,这可能是在左额叶梗死有关。肿瘤病人接受蝶切除症状出现后1个月。组织学检查显示弥漫性坏死和出血的非功能性垂体腺瘤。正确的上睑下垂手术后恢复通过康复和左半身不遂逐渐改善。
经颅多普勒超声被用于监控血液流动,没有流信号在ACA和MCA流显著抑制,表明一个动脉steno-occlusive病变。没有发现恢复直到手术治疗发生(图3)。
手术前(A)经颅多普勒超声显示严重缩小两国大脑中动脉和大脑前动脉,更糟糕的是在右边,在均值和最大流量速度,增加两国后脑动脉,这表明络脉的发展通过沟通后动脉。(B)的血流动脉外科手术之后变得正常。ACA =大脑前动脉;MCA =大脑中动脉;PCA =大脑后动脉。
第四节
垂体卒中通常是由于肿瘤内出血或出血性梗死在垂体腺瘤,导致突然体积增加。垂体腺瘤容易autoinfarction或中风甚至没有触发,因为当地的血管解剖。血液供应的垂体前叶叶是由门户通过漏斗状器官血管。作为门户血管的灌注压力低于正常的动脉压,垂体腺瘤是特别容易甚至在intrasellar压力小的增量。1最常见的最初症状是突然头痛,常与迅速恶化视野缺陷、上睑下垂、眼肌麻痹压缩引起的视神经和眼运动神经周围腺体。2脑膜刺激被认为是由脑下垂体腺瘤血液或化学物质释放。这也是在许多情况下,急性激素缺乏的症状,主要是肾上腺机能不全。
除了上面提到的广为人知的演讲,垂体卒中的脑梗死是一种罕见的并发症。更罕见,双边脑梗塞之前只报告了4例。3,- - - - - -,6尽管如此,脑缺血的风险应该始终牢记当治疗垂体卒中。
瘤内出血和出血性梗死在垂体肿瘤可能导致肿瘤的快速扩张,可能导致机械压缩海绵窦或supraclinoid ICA的一部分。7,8然而,闭塞的ICA总是不能完全解释为机械阻塞。对于这个病人,垂体肿瘤扩展ICA的终端部分,留住和血流和MCA显著提高肿瘤切除后,建议压缩病因。
可能是脑血管痉挛血管事件的另一个重要原因。垂体卒中后血管痉挛的病理生理学仍然未知。7,9Transdiaphragmatic sellar腺瘤或破裂溢出的血液从蛛网膜下腔出血或坏死腺瘤是一个可能的原因。9强有力的血管活性的物质的分泌肿瘤也可能导致血管痉挛。10因此我们推断,这个病人,无论是机械压缩和可能是脑血管痉挛发病机制相关的中风事件。
早期减压手术通常是主张垂体卒中挽救视力。8然而,它可能是有害的继发性缺血性中风发生时,由于血管再通阻塞ICA和血流动力学变化可能导致出血梗死。在这个病人进行了手术治疗1月后发病,无术后并发症发生。的最佳时机手术切除巨大脑缺血中风患者肿瘤复杂的应该考虑。
作者的贡献
汉博士和朱博士发起了这一报告。汉博士写了初稿的手稿。朱博士大幅修订后的手稿和批准它的最终版本。高博士执行本文中描述的所有经颅多普勒超声。彭博士,毛博士,崔博士和博士兴参与开发研究的概念和分析/数据的解释。
研究资金
支持国家关键技术研发项目在中国的第12个五年计划(2011年格兰特bai08b03)。
信息披露
f·汉报告没有披露。b .彭正在接受国家关键技术研发”项目的研究支持中国的第12个五年计划。美国高和c .毛泽东报告没有披露。l .崔正在接受国家关键技术研发”项目的研究支持中国的第12个五年计划。b .兴报告没有披露。y朱收到来自国家关键技术研发项目的研究支持在中国的第12个五年计划。去首页Neurology.org为充分披露。
脚注
去首页Neurology.org为充分披露。资金信息和披露认为作者相关的,如果有的话,年底提供这篇文章。
- ©2014美国神经病学学会的首页
引用
信:快速的网络通信
你可能也会感兴趣
相关文章
-
没有找到相关文章。
主题讨论
提醒我
推荐的文章
- 居民和其他部分
珍珠和Oy-sters:孤立的动眼神经麻痹由于垂体卒中错过了CT扫描新浪Marzoughi, Aravind Ganesh Amro Qaddoura et al。
首页神经学,2020年3月27日 - 文章
颈动脉内膜的肉瘤引起中风和通过肿瘤栓塞颅内转移安娜Shashank阿加瓦尔德曼,Eytan拉兹等。
首页神经学,2020年1月16日 - 文章
颌下浴室方法检测post-bulb ICA狭窄患儿镰状细胞性贫血马克·j·戈尔曼Karin Nystrom Judith Carbonella et al。
首页神经学,2009年6月24日 - 文章
颈动脉闭塞的冠状动脉搭桥手术的疾病和中风风险约翰·f·Dashe, Michael s . 2,理查德·e·墨菲et al。
首页神经学,1997年9月1日


