珍珠和Oy-sters:一种罕见的neurotrichinosis MRI
珍珠
旋毛虫病的神经系统表现多样,范围从脑病脑、小脑和脊髓异常。
MRI病灶增强对比度和假定代表小面积梗死。
成像通常使感染后1到2个月内规范化。
OY-STERS
Neurotrichinosis应该考虑患者嗜酸性粒细胞和无法解释的神经症状。
结果可能与类固醇和管理改进的打虫药制剂在肠内感染的阶段。
病例报告
41岁的左撇子的人从加拿大北部地区提出了社区医院与抓捕腹泻的历史,一个self-resolved红斑的痒的皮疹,发热,混乱,和面部肿胀。头部CT扫描显示的区域减少衰减双边在室旁的额叶区域。他入校检查但拒绝用抗生素和被送回家。他回到医院3天后有新投诉的左脸麻木以及左臂麻木、虚弱和笨拙。他的搭档指出,他睡得比平时多,种种困难。其他症状包括日常bifrontal头痛,“红点”短暂地出现在他的视野,和共济失调。
病史是重要的输精管切除术,20-pack-year吸烟史,头痛。他没有过敏,没有常规药物。
入院时,生命体征正常范围内,也没有发烧。心肺及腹部检查结果正常。没有面部水肿或皮肤损伤。认知是完好无损。他有一个正常颅神经和感官检查。力量在左上肢肌肉群下降到4/5。剩余的力量检查是正常的。反射存在,且对称。有一个左旋前肌漂移,放缓finger-to-nose测试,无法执行快速交替运动左臂。步态是不稳定的,病人使用轮椅动员住院了。
实验室测试15.3×10的白细胞计数显著9/ L, 5.8×10的嗜酸性粒细胞计数9/ L(38%)、血小板147×109的290 U / L / L,肌酸激酶、肌钙蛋白3.12µg / L,红细胞沉降率34毫米/小时。没有任何证据表明在心电图ST段,和胸部x射线是正常的。CSF分析显示葡萄糖57.6 mg / dL,蛋白质34 mg / dL,红细胞/ 9.5毫米3,白细胞3.6 /毫米3和消极的革兰氏染色剂和文化。有太少的脑脊液白细胞提供一个微分。血培养、凳子文化和大便的卵和寄生虫都是负面的。疾病标记是负的。超声心动图显示正常心室和瓣膜功能。脑电图显示慢波活动在左颞区。没有癫痫样的活动。
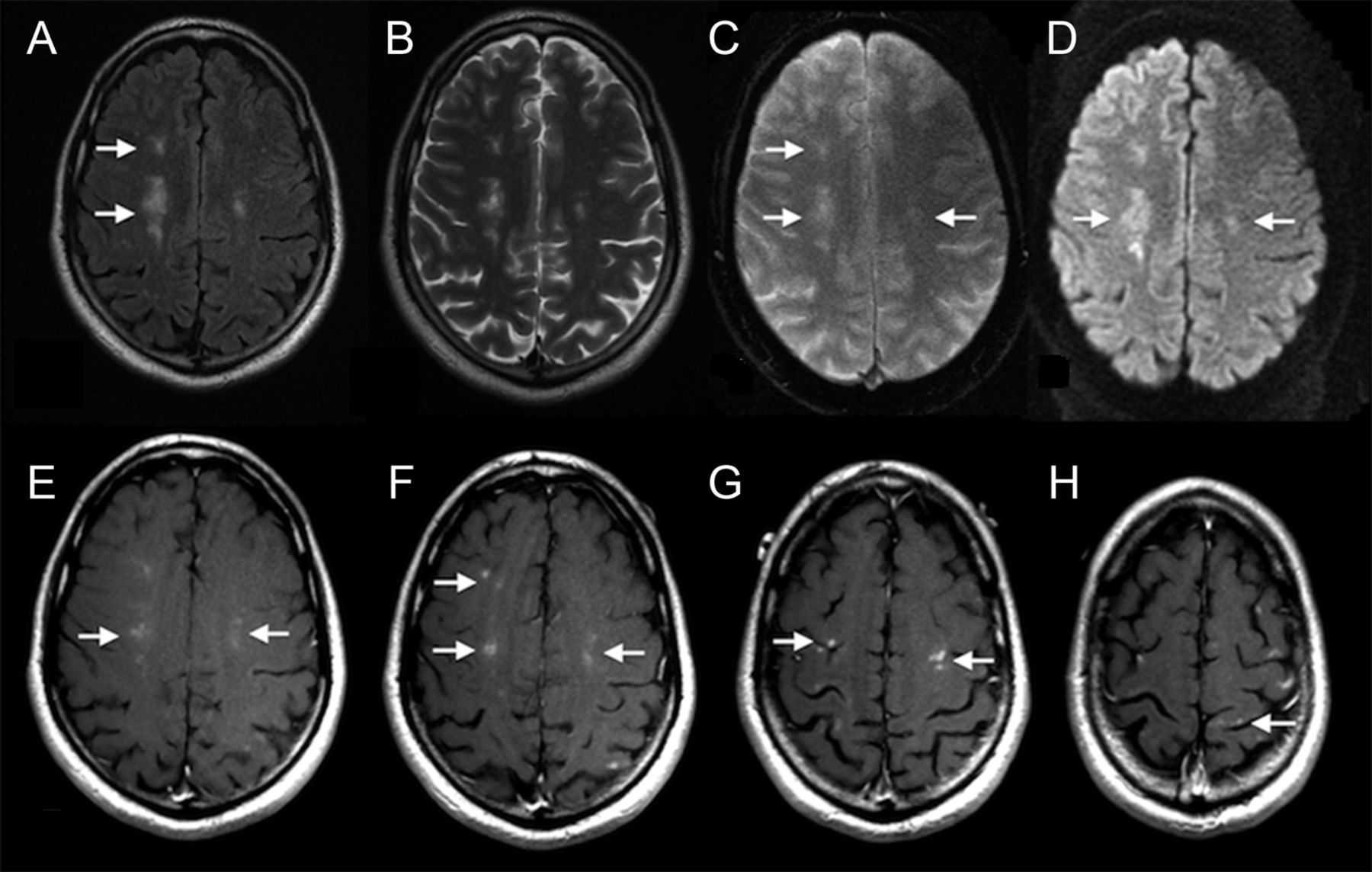
脑磁共振成像(图)展示了多个双边领域增加信号强度在深白质和灰白色物质界面的额叶和顶叶双边,用很少的病变在枕叶和颞叶和小脑T2 fluid-attenuated反转恢复(天赋)和T2加权扫描。Diffusion-weighted扫描证明限制在一些深白质病变,说明缺血。病变略hypointense unenhanced T1影像和没有病理盛开的工件在T2梯度回波序列,建议血液制品。对比政府后,有一个强烈的边缘增强在大多数病变。增强的面积小于4毫米在所有病变,T2和天赋信号异常病变周围测量8毫米。
多通道磁共振包括T2 fluid-attenuated反转恢复序列(天赋)三(一)T2涡轮旋转回声序列(B), T2梯度回波序列(C),和diffusion-weighted成像扫描(D),以及对比度增强t1序列(情况),展示多个分散,nonconfluent疫源地的T2和天赋hyperintensity深层白质(箭头)。没有异常的盛开的T2梯度回波序列,但限制扩散中看到一些病变。对比度增强可视化在深白质和多个皮质/皮质下区域。图像得到约7周在病人的疾病。
病人被转移到我们中心大约7周进他的疾病过程进行进一步的神经系统的意见。他抱怨持续头痛、肌痛、困难和浓度。饮食的历史引起,病人食用未煮熟的肉黑熊报道在此前的3个月。他是一个狂热的猎人。旋毛虫血清学的补体结合反应的效价1:16。病人被诊断为旋毛虫病并发心肌炎和中枢神经系统的参与。他与传染病comanaged顾问,考虑改善中枢神经系统症状,MRI发现,稳定性和晚期感染过程中,类固醇和驱肠虫剂没有规定。他出院随访,当地公共卫生机构参与了接触者追踪。
讨论
旋毛虫病是一种寄生虫感染引起的线虫属的旋毛虫,通过摄入与传播发生感染的未煮熟的肉。主要储层是猪,尽管通过游戏传输(例如,野猪,熊,海象)也报道。这种寄生虫是发现世界,报告了66例人感染在美国2002年和2007年之间。1的旋毛虫生命周期包括肠内和肠外的阶段。在肠内的阶段,包绕的幼虫摄入的主机,胃酸释放的胃和小肠黏膜侵入。幼虫生长和繁殖,释放出新生幼虫进入肠道淋巴摄取后7到10天。幼虫的肠外与血性的阶段开始传播到各种组织,包括横纹肌。幼虫在肌肉组织被包在囊内,可以保持可行的几个月到几年。2
旋毛虫病的患者可能会出现腹泻、发烧、眶周的水肿、弱点,皮疹和肌痛。3验血结果显示显著的嗜酸性粒细胞。旋毛虫中枢神经系统感染,称为neurotrichinosis,发生在只有0.2%,但多达52%的病例和代表严重的感染。4神经系统症状和体征是特异性的,范围从脑病轻偏瘫和共济失调。出于这个原因,临床上underrecognized neurotrichinosis。5与暴发相关的情况下更容易识别与零星的感染。6
中枢神经系统损伤是通过直接和间接的机制。幼虫迁移到大脑,引起局部破坏,阻碍血管,引发炎症反应。7没有偏爱特定区域的中枢神经系统。4血管的变化,主要是microinfarctions,被认为是最负责的神经损伤和可能由hypereosinophilic状态。5,6
在先前的报道,大脑的CT成像显示多病灶的hypodensities在大脑皮质和白质。5,6MRI出现neurotrichinosis较少被描述在文献中。病变出现hyperintense在t2加权像上,与钆增强,扩散限制的节目diffusion-weighted成像。8影像学表现与病理发现皮质和白质microinfarctions。6发现在成像通常1到2个月内提高感染。4CT和MRI发现在我们的案例中是符合前面所描述和暗示了不同年龄段的缺血性损伤。MRI neurotrichinosis非特异性,但反对替代诊断的结果在我们的例子中:没有明显的病灶周围水肿不一致与脓毒性栓子或转移;密集的增强病变在很长一段时间不一致与缺血性栓塞病灶;没有异常的盛开在T2梯度回波序列说话对霉菌的动脉瘤;以及缺乏leptomeningeal增强不一致与结节病或其他肉芽肿性疾病。
neurotrichinosis的诊断是基于历史和临床特征。验血结果通常显示hypereosinophilia。hypereosinophilia的鉴别诊断,定义为嗜酸性粒细胞> 1.5×109/ L,是广泛的,但治疗寄生虫和其他寄生虫感染必须被排除。嗜酸性粒细胞与药物过敏和免疫疾病,血液恶性肿瘤和瀑特异性嗜酸性过程(如嗜酸性肺炎)应该被考虑。9Hypereosinophilia独立终末器官的损害,其原因可能导致的包括危及生命的心肌病。5,9血清学的检测旋毛虫病的诊断是很有帮助的。2明确诊断可通过肌肉活检,尽管这很少是必要的。低嗜酸性粒细胞计数或快速计数下降似乎与贫穷相关的结果。2
阿苯达唑或甲苯咪唑neurotrichinosis的标准治疗。改善症状的打虫药与安慰剂的使用已被证明在一个小的随机对照试验。10在肠内阶段治疗是最有效的,因为移民和肌肉可以减毒入侵。旋毛虫病的治疗效果在其后期不是众所周知的,可能不太成功,一旦寄生虫在肌肉组织包绕的。2大剂量糖皮质激素是严重感染患者推荐除了驱肠虫剂抑制血管损伤与嗜伊红血球过多有关。4
旋毛虫病的神经系统并发症患者的预后是变量,尽管治疗,有些患者有慢性后遗症。死亡率高达5%时,中枢神经系统。2出于这个原因,患者neurotrichinosis应住院观察和多系统介入调查。我们的病人做了一个“准神经复苏”的2个月,和他的主要的残余赤字是一个非常温和的脑病和头痛。
作者的贡献
麦当劳参与病人护理,写博士和修订后的手稿。大博士参与病人护理,提供修改手稿。克林博士提供的磁共振成像解释,图,修改手稿。
研究资金
没有针对性的资金报告。
信息披露
c .麦当劳的报告没有披露。p .泰是一个员工在多伦多大学健康网络神经学家和已经收到资金作为网站从Upsher-Smith实验室研究员在一个不相关的安全性和有效性的随机双盲安慰剂对照研究鼻内咪达唑仑在门诊治疗的患者发作集群。t·克林报告没有披露。去首页Neurology.org为充分披露。
脚注
去首页Neurology.org为充分披露。资金信息和披露认为作者相关的,如果有的话,年底提供这篇文章。
- ©2014美国神经病学学会的首页
引用
信:快速的网络通信
你可能也会感兴趣
相关文章
-
没有找到相关文章。
提醒我
推荐的文章
- 文章
了解epileptogenesis钙化与灌注MRI脑囊尾蚴病上面Gupta, r . Awasthi R.K.S.拉索尔教授等。
首页神经学,2012年2月1日 - 文章
颞叶脑MRI异常在健康的志愿者前瞻性病例对照研究
a . Labate a . Gambardella美国Aguglia et al。
首页神经学,2010年1月20日 - 观点和评论
免疫介导的光谱和脑干的炎性病变诊断的线索
赖阴法,d .肖恩Riminton MaiAnh阮等。
首页神经学,2019年8月26日 - 居民和其他部分
临床推理:一个15个月大的男孩,进步嗜睡和痉挛状态西尔布罗瑞秋张,朱莉,珍妮弗·哈蒙et al。
首页神经学,2017年9月18日


