珍珠和Oy-sters:双侧海绵窦综合征为鼻咽癌的表现
珍珠
OY-STER
颅神经麻痹在最初表示-35%的患者中观察到12%,但目前还不清楚多少百分比的病人现在只有颅神经受累。
病例报告
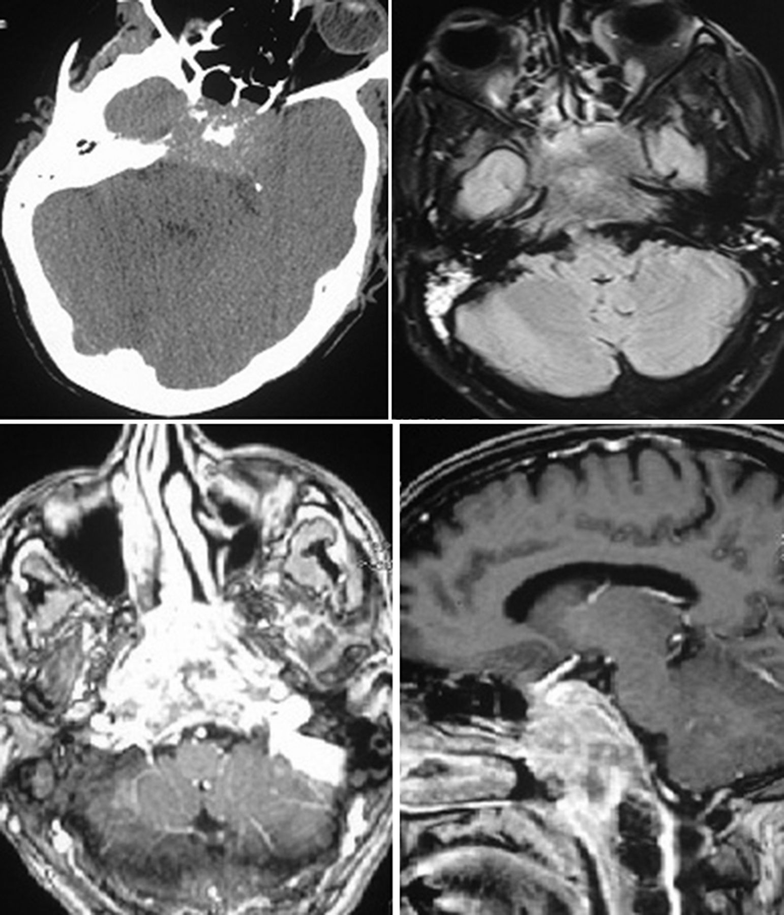
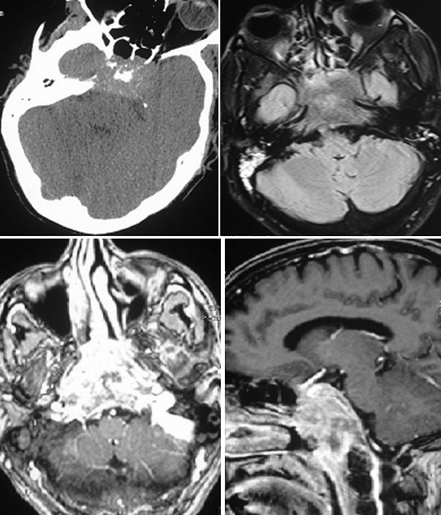
一个48岁的男子向我们医院急性发作,严重,持续holocranial头痛3个月的时间。他还指出双眼水平复视,左眼睑下垂,向内偏差的左眼开始的同时,头痛。症状逐渐恶化,在几周内他下垂的眼睑。他还抱怨逐渐进步与耳鸣听力损失,开始在左耳和右耳进展。没有其他系统性或神经系统症状。没有吸烟或吸毒或酗酒的历史。他的职业是一名保安。一般体格检查显示公司1×1厘米无痛颈部淋巴结。眼科检查发现两国第六,双边部分第三,第四个颅神经麻痹(图1)。眼底检查没有显示任何异常。双边传导性听力损失也在场。剩余的神经系统检查是正常的。他被诊断出患有双侧海绵窦综合征和双边顺序传导性耳聋。病原学的可能性被认为在这个阶段包括非传染性的肉芽肿性条件(如结节病和Tolosa-Hunt综合症)、传染性病因(真菌、结核或其他慢性感染),或恶性肿瘤(主要sellar质量parasellar扩展,extrasellar质量与双边扩展到parasellar空间,或转移)。他的血液,血液葡萄糖、肾和肝功能检测,血清血管紧张素转换酶的水平,和脑脊液检查结果在正常范围内。艾滋病毒血清学是负面的。他接受了41的头部CT扫描(图2),它显示一个不明确的温和hyperattenuating质量造成破坏的蝶骨包括鞍和斜坡。质量扩展到parasellar地区,蝶窦,prepontine地区双边。在核磁共振成像(图2),一个大鼻咽的质量被认为涉及后上的方面,以及楔形骨破坏的鞍和斜坡,保留基部的动脉。包裹内部质量颈动脉无腔的妥协。似乎与中央hypointensity isointense t1加权成像和在t2加权像上hyperintense异构postcontrast增强。
头部CT显示了一个不明确的温和hyperattenuating质量造成破坏的蝶骨包括鞍和斜坡。T2 fluid-attenuated反转恢复图像显示质量涉及蝶骨鞍和斜坡的破坏邻近结构进一步扩展。Postcontrast t1加权图像显示异构对比增强鼻咽癌质量与纵向扩展。
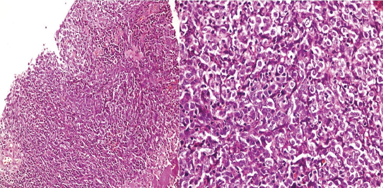
病理组织检查质量符合一个未分化的鳞状细胞鼻咽癌(NPC) (图3)。中腔剂量的放疗30 Gy 15分数每周的开始,和化疗计划。自从开始治疗,病人所指出的一些改善复视和上睑下垂。他的头痛持续下去,虽然强度显著降低。
讨论
人大是一个肿瘤起源于鼻咽上皮细胞。人大被Regaud第一次描述了作为一个独立的实体3在1921年。目前,3亚型的人大都是在世界卫生组织分类4:1型,鳞状细胞癌,通常发现在年长的成年人;2型,nonkeratinizing癌;和类型3,未分化癌。大多数情况下出现在童年和青春期的未分化类型,和大约三分之一的未分化的npc在青少年或成年人诊断。1人大的年发病率不同的地理区域。1,5高发病率在突尼斯和适度高在东南亚,中国,地中海盆地和阿拉斯加。这是英国和印度的低(0.9每百万)。巴尔病毒、病人的种族背景和环境致癌物(挥发性亚硝胺)似乎都扮演着重要的角色在人大的发病机理。5
人大通常起源于鼻咽侧壁的鼻咽休会。它可以扩展内或从鼻咽侧墙的基础或后上的头骨或口感,鼻腔、口咽。1然后它可以转移到颈部淋巴结。远处转移可能发生在骨、肺、纵隔,很少在肝脏。颈部淋巴结病是一种常见的首次演讲,许多患者淋巴结活检的诊断。原发肿瘤相关症状包括破伤风、疼痛、中耳炎、鼻返流,听力损失,颅神经麻痹。更大的生长可能产生鼻塞或出血和鼻音“。”1
大多数的这些肿瘤积极渗透。他们生长在鼻咽或可以扩散在前面,横向,后方,优,下级侧墙。人大也可以渗入其他结构向底座头骨和入侵的口感,鼻腔、口咽。人大可以传播通过破裂孔、卵圆孔未闭或颅内通过小孔。它还可以通过直接传播侵蚀,从而导致多个颅赤字。围神经的渗透通过卵圆孔未闭是一个重要的传播途径导致海绵窦的入侵被认为在我们的病人。颅神经麻痹,如果存在,与预后差相关比入侵头骨的基础。6颅神经麻痹患者可能需要更积极的治疗。良好的应对的放射治疗已经被记载在这样的病人。当地生长的肿瘤包括咽鼓管(通过直接参与,张量的入侵使肌肉,或因为管位移)导致中耳积液和听力障碍。1,5,7,- - - - - -,9
Ophthalmo-neurologic表现很常见在NPC患者第一次提交时。在一系列的124例,颅神经介入的迹象出现在48例(38.7%)患者。2最常影响颅神经的外展在11(22.9%),三叉神经在10(20.8%)、眼球运动的6(12.5%),和舌下5 (10.4%)。然而,多个脑神经功能障碍被认为只有3/124(2.4%)的患者。这表明,尽管颅神经介入很常见,发现多发性颅神经麻痹是相对罕见的在人大的报告。关于海绵窦综合征,Agrawal et al。7报道单边海绵窦综合征作为人大的表现。然而,双侧海绵窦综合征提出全国人大的表现,可以看到在我们的病人,没有报告文学对我们的知识。这种情况下扩展了神经系统的光谱结果显示全国人大的表现。
这个案例说明了诊断的困难人大在早期阶段由于各种原因,包括最初的非特异性症状和问题与考试相关的鼻后的空间。然而,仔细检查鼻咽往往揭示了病变。CT扫描与MRI补充目前肿瘤的精确定位,选择的调查和检测可能的肿瘤扩展,尤其是对颅底和深层面部空间。在目前的情况下,核磁共振还透露海绵窦的参与和扩展在鼻咽。CT扫描显示骨侵蚀的程度。
我们的案例进一步扩展了这个肿瘤的临床表现和展示了保持高度怀疑的心理指标的重要性对人大与海绵窦综合征患者。在这方面,重要的是要强调,尽管人大通常不适合手术由于其地理位置,这是一个精美对辐射敏感的肿瘤。10
作者的贡献
Bhawana Kumari:数据采集,数据分析和解释。Manoj Goyal:重要的修订手稿的重要知识内容。Vivek Lal:概念和设计,研究监督。
研究资金
没有针对性的资金报告。
信息披露
作者报告没有披露相关的手稿。去首页Neurology.org为充分披露。
脚注
去首页Neurology.org为充分披露。资金信息和披露认为作者相关的,如果有的话,年底提供这篇文章。
- ©2014美国神经病学学会的首页
引用
- 1。↵
- 2。↵
- 3所示。↵
- RegaudC
- 4所示。↵
- 曼KS,
- Sobin韩
- 5。↵
- 6。↵
- 7所示。↵
- Agrawal一个,
- BaisakhiyaN,
- VaghSJ,
- Joharapurkar老
- 8。↵
- 9。↵
- 10。↵
信:快速的网络通信
你可能也会感兴趣
相关文章
-
没有找到相关文章。
主题讨论
提醒我
推荐的文章
- 临床/科学的笔记
结合VIth和XIIth颅神经麻痹:clival综合症詹姆斯·r·基恩et al。
首页神经学,2000年4月11日 - 居民和其他部分
临床推理:一个不寻常的多发性颅神经损伤的原因文森特•Roubeau卡普辛Diard-Detoeuf, Moriniere et al。
首页神经学,2012年12月10日 - 居民和其他部分
临床推理:患者多颅神经麻痹和areflexic下肢轻瘫伊姆兰Rizvi Ravindra加戈,Hardeep辛格Malhotra et al。
首页神经学,2018年7月23日 - 居民和其他部分
珍珠和Oy-sters:孤立的动眼神经麻痹由于垂体卒中错过了CT扫描新浪Marzoughi, Aravind Ganesh Amro Qaddoura et al。
首页神经学,2020年3月27日


