珍珠和Oy-sters:咳嗽头痛继发畸形类型
珍珠
咳嗽头痛是一种罕见的疾病,但它的存在应该及时彻底评估颅内病理学,给定一个盛行的继发性头痛在这个人口。
畸形1型是一种常见的诊断中,许多病人无症状,但时头痛是最常见的神经系统疾病的症状。
OY-STER
头痛是非常普遍;头痛和畸形类型1的共存不单独涉及到畸形头痛的原因。头痛症状相关位置或瞬态增加颅内压(如咳嗽、并发)可能表明协会的头痛与畸形。
病例报告
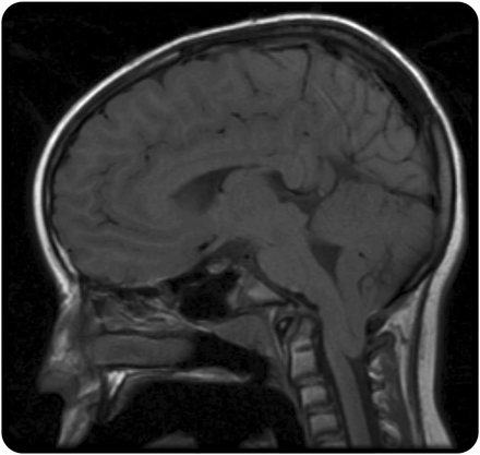
一个17岁的女孩与偏头痛和努南综合症神经咨询关于恶化头痛的设置为肺炎住院。病人报告阵发性的3年历史,衰弱,中线头痛一般持续时间不超过1分钟,增加的频率和严重程度的咨询。枕部疼痛开始的底部,然后在前面扩散到眉线。这些简短的头痛伴有咳嗽、大笑,和颈部扩展。他们在本质上是不同的从她的偏头痛,长期和畏光和呕吐。此外,病人报告最近吃饭时窒息的问题。体检是在串联步态不起眼的除了困难。大脑MRI显示20毫米扁桃体疝在枕骨大孔,拥挤的枕骨大孔,符合畸形1型(CM-I) (图)。诊断为咳嗽头痛次要CM-I。吲哚美辛开始25毫克的剂量每天两次。在随访1月后,头痛频率明显减少。
讨论
头痛与咳嗽可能是主要或次要直接相关。根据国际分类头痛疾患(ICHD-2)诊断标准,主咳嗽头痛阵发性头痛咳嗽,所带来的紧张,或并发,持续1秒到30分钟,而不是由另一个障碍。1主咳嗽头痛最常表现为突发性、双边、后,爆炸性的疼痛没有关联的恶心、呕吐、畏光,或者声音恐惧症。2,3咳嗽头痛与临床特征相似,但造成的另一个障碍或结构性病变,称为二次咳嗽头痛。的咳嗽头痛,大多数成人主要咳嗽头痛。
报道二次咳嗽头痛的原因包括CM-I、硬脑膜下血肿,急性蝶窦炎,和其他颅后窝结构性病变包括原发性颅内恶性肿瘤,转移性恶性肿瘤,蛛网膜囊肿,os odontoideum。2,3在台湾头痛诊所连续7100年成人患者中评估的8年,只有83人(1.2%)诊断为咳嗽头痛。颅内病变被发现在这些患者中仅有9(10.8%的咳嗽头痛),包括与症状归因于CM-I 2。2类似咳嗽头痛患病率为1%,连续6412年发现成年患者头痛诊所在西班牙,尽管在这一群人,58.8%的患者咳嗽头痛了颅内病变MRI。其中,80%有CM-I。3类似的数据关于咳嗽头痛的流行没有专门为儿童人口数据也可供CM-I患者咳嗽头痛的发病率。总的来说,流行病学研究指出咳嗽头痛的发病率很低,甚至专业的上下文中头痛诊所。
区分主要和次要咳嗽头痛(头痛归因于CM-I亚型)是重要的次要原因可能需要干预超出疼痛管理。在ICHD-2 CM-I-related头痛的标准,一个标准包括手术后3个月内改善头痛,这对于那些将要动手术的诊断带来了挑战。1很难区分主要和次要咳嗽头痛仅根据临床症状。在台湾人群中,没有性别差异,年龄头痛发作,疼痛的位置,疼痛特点,或相关特性之间的主要和次要咳嗽头痛患者。2在西班牙的人群中,演讲前头痛症状的持续时间在那些更大的二次咳嗽头痛(5年、11个月)。3共同的特征在两组患者咳嗽头痛包括突然严重,后头痛持续不到一分钟,最常出现在第五或第六十年的生活。
目前的研究表明,初级和二级咳嗽头痛阵发性相关增加颅内压。对于二次咳嗽头痛、结构异常可能导致脑脊液流动动力学改变在咳嗽或并发,导致发展的咳嗽头痛的症状和体征。背后的潜在病理生理学主要咳嗽头痛尚不明朗。莱恩和戴维斯4报告修改并发操作,成功地分化主要从次要咳嗽头痛。十六岁咳嗽头痛患者被要求呼气的连接管的无液血压计60毫米汞柱的压力。这引起头痛在11个患者中,10人在MRI可识别的颅内病变,其中8 CM-I。进一步验证这种技术可能有助于区分主要从次要咳嗽头痛没有昂贵的神经影像学研究。
CM-I本身是一个罕见的发现;5248年的回顾性研究儿科患者接受头部和颈椎的核磁共振,51有扁桃体在枕骨大孔疝大于5毫米,与CM-I一致,或大约9.7每1000儿童成像。其中,37%是无症状的。头痛,发现在55%的患者中,最常见的症状。二次咳嗽头痛和其他头痛类型之间的区别并没有报道。5
CM-I通常是一个稳定的畸形。回顾性研究147儿童CM-I平均随访4.6年没有发现突出的变化意味着扁桃体或症状的患者数量之间的初始和最终的后续咨询;然而,7孩子们开发了一种鸣管。6在病人咳嗽头痛和其他神经系统症状符合CM-I或局部神经功能缺陷,怀疑应该上升为一个潜在的病因。本文提供的情况下,特别感兴趣的CM-I可能努南综合症的罕见并发症。7
的最佳治疗咳嗽头痛,无论是小学或中学,了解甚少。大多数患者主要咳嗽头痛已经4年没有治疗后症状缓解。个人事件,然而,可以削弱尽管短暂头痛的性质,使症状治疗有用的。颅内病变患者可能需要外科手术管理解决的症状。一线药物治疗通常是吲哚美辛的每日总剂量50 - 150毫克。吲哚美辛的作用机理咳嗽头痛是未知的,但其影响可能是介导通过降低颅内压。8提到的大型案例系列的咳嗽头痛患者显示主咳嗽头痛患者更频繁地回应消炎痛(78% - -100%)比那些次要原因(0% - -38%)。2,3托吡酯、二甲麦角新碱、心得安、萘普生和静脉注射胃复安也被证明是有用的咳嗽头痛缓解症状。8
手术管理CM-I通常涉及颅后窝减压与枕骨大孔的扩大。在一系列的177成人接受主要减压畸形的患者,病毒亲缘头痛是第二个最常见的临床症状(54.2%)。三个月postintervention, 98.9%的头痛症状的改善,尽管在1年在只有62.5%持续受益。手术治疗0.6%急性手术(7天内)并发症率和延迟并发症率10.1%。Pseudomeningocele是最常见的并发症急性和延迟设置。9值得注意的是,在儿科人口CM-I 130例手术治疗,83%术后缓解症状。10有限的证据表明,手术是最有效的治疗CM-I-associated头痛,尽管由于干预的性质,这应该仔细考虑。尽管数据混合对消炎痛的功效CM-I-associated患者咳嗽头痛,我们继续推荐吲哚美辛的审判一线疗法由于其温和的副作用相比,外科干预和由于区分二级和主要挑战咳嗽头痛,这可能证明随着时间的推移自发的决议不需要手术干预。
作者的贡献
J.E.贝茨:起草/修改手稿,研究或设计概念,分析或解释的数据,采集的数据。奥古斯汀博士:起草/修订手稿,研究或设计概念,研究监督或协调。
研究资金
没有针对性的资金报告。
信息披露
作者报告没有披露相关的手稿。去首页Neurology.org为充分披露。
脚注
去首页Neurology.org为充分披露。资金信息和披露认为作者相关的,如果有的话,年底提供这篇文章。
- ©2014美国神经病学学会的首页
引用
信:快速的网络通信
你可能也会感兴趣
相关文章
-
没有找到相关文章。
提醒我
推荐的文章
- 居民和其他部分
珍珠和Oy-sters:血管成形术和支架植入新的治疗方法与狭窄的颈内静脉咳嗽头痛与12个月的随访病例报告
李Baomin,象屿曹,回族et al。
首页神经学,2021年5月04日 - 文章
咳嗽、劳累型、和性头痛分析72例良性和有症状的病例
j . Pascual f·伊格莱西亚斯Oterino et al。
首页神经学,1996年6月1日 - 观点和评论
红色和橙色旗帜继发性头痛的临床实践SNNOOP10列表
安吉丽书店,梭福和Henrik Winther Schytz et al。
首页神经学,2018年12月26日 - 观点和评论
原发性头痛的分类r·b·利普顿·m·e·Bigal t·j·施泰纳等。
首页神经学,09年8月,2004年


