2014年7月29日
;83 (5)
居民和其他部分
神秘的例子:巨大的成熟畸胎瘤的侧脑室的孩子
李劲,中国局域网,建国徐
第一次出版2014年7月28日,
DOI: https://doi.org/10.1212/WNL.0000000000000637
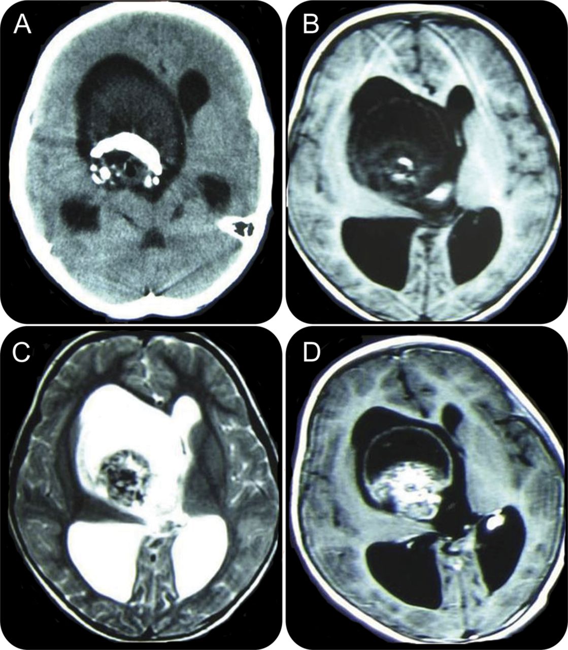
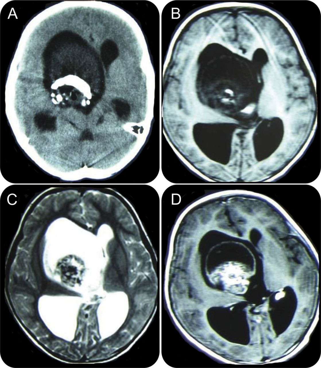
一个3岁的女孩被月头痛的历史。神经系统检查是正常的。头颅CT显示质量的巨大钙化对侧脑室(图1一个)。MRI显示病变较低和高信号强度和异构增强(图1中,罪犯)。右额叶颅骨切开术。右心室发现充满皮脂腺,头发,脂肪小球,一套完整的牙齿,舌头和胃肠腺体(图2中,模拟)。组织学检查证实一个成熟畸胎瘤。术后MRI显示肿瘤切除术(图2中,E和F)。一个成熟畸胎瘤位于侧脑室的全套牙齿是极其罕见的。1,2
图1
脑CT和核磁共振
轴向CT扫描显示了一个质量与非均匀密度和巨大的钙化病变对侧脑室(a),颅磁共振t1轴向(B)和T2-weighed轴向(C),显示了一个软组织肿块和高信号强度较低。超声造影图像显示病变(D)的异构增强。
图2
术中发现、术后大脑核磁共振
切除样本显示,皮脂腺和头发(A),一套完整的牙齿(B),舌(C)和胃肠道腺体(D)。术后MRI,对比轴向(E)和矢状(F)图像,显示肿瘤切除。
作者的贡献
李医生:数据收集、起草手稿。局域网博士:数据收集、审查的文学。许博士:修订手稿,手稿的概念。
研究资金
没有针对性的资金报告。
信息披露
作者报告没有披露相关的手稿。去首页Neurology.org为充分披露。
神秘的情况下反应
系列是由神秘的情况首页神经病学®居民和其他部分学员的临床推理能力发展。实习项目,医学院学生教师和个人被邀请去使用这个神秘的情况下作为一个教育工具。反应请求通过电子邮件发送到一组美国神经病学学会财团的神经学的居民和同伴和通过社会媒体。首页
我们收到的所有响应来自个体而非群体。总共有33%的受访者正确识别病变畸胎瘤。最完整的反应来自紫m . Aroon指出异构病变可能含有脂肪和软组织基于T1和T2 MRI信号特点。
这种情况下突出了MRI在描述脑室病变的价值,这可能是必要的在指导后续的临床管理。
马里兰州安德鲁Schepmyer
加拿大温哥华不列颠哥伦比亚大学
- ©2014美国神经病学学会的首页
信:快速的网络通信
你可能也会感兴趣
广告
相关文章
-
没有找到相关文章。
主题讨论
提醒我
推荐的文章
- 居民和其他页面
成熟畸胎瘤侧脑室的成年术前CT和MRI诊断
萍h .赖蜀徐善慧,于美国罗等。
首页神经学,2006年4月10日 - 简短的沟通
痉挛性发声困难与左腹外侧putaminal病变有关w·c·s . b . Lee m . s . Lee金等。
首页神经学,1996年9月1日 - 简短的沟通
在eIF2BεArg113His突变引起成人的脑白质病p . m . s . van der Knaap A.J. Leegwater, c .通用效力过等。
首页神经学,2004年5月10日 - 观点和评论
免疫重建炎性综合症的中枢神经系统感染艾滋病毒的病人a . Venkataramana c·a·帕尔多j·c·麦克阿瑟et al。
首页神经学,07年8月,2006年


