2015年9月8日
;85 (10)
居民和其他部分
教学神经图片:Erdheim-Chester疾病(polyostotic硬化性组织细胞增生症)
Prachaya Srivanitchapoom,西斯Sathornsumetee
第一次出版2015年9月7日,
DOI: https://doi.org/10.1212/WNL.0000000000001911
Prachaya Srivanitchapoom
从神经学部门,医学系的(注:首页,年代。年代。), and NANOTEC-Mahidol University, Center of Excellence in Nanotechnology for Cancer Diagnosis and Treatment (S.S.), Faculty of Medicine, Siriraj Hospital, Mahidol University, Bangkok, Thailand.
西斯Sathornsumetee
从神经学部门,医学系的(注:首页,年代。年代。), and NANOTEC-Mahidol University, Center of Excellence in Nanotechnology for Cancer Diagnosis and Treatment (S.S.), Faculty of Medicine, Siriraj Hospital, Mahidol University, Bangkok, Thailand.
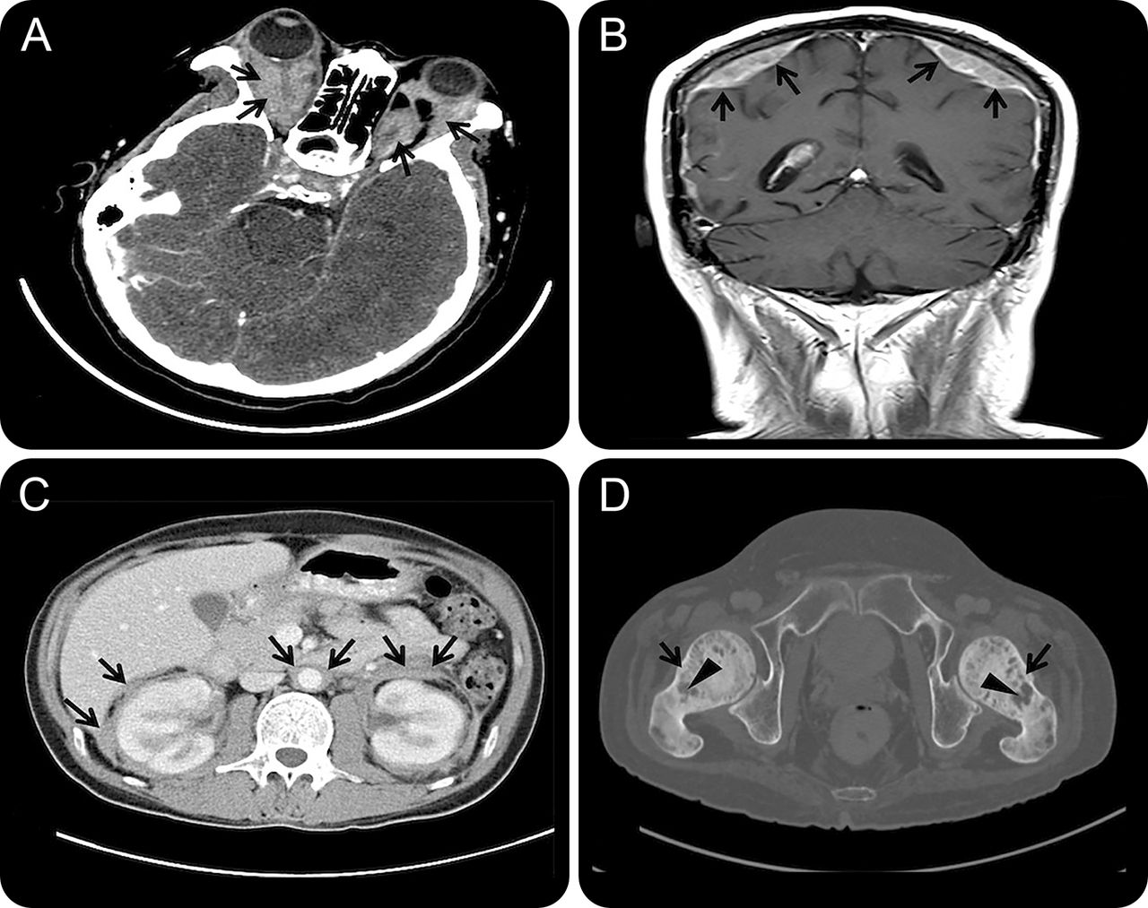
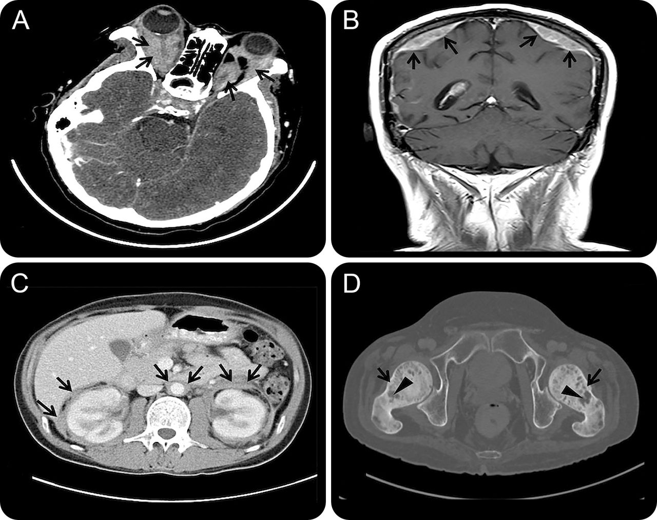
一个34岁的男人面对进步视力丧失,复视,头痛、间歇热,和重要的减肥了7个月。体检显示与完整的眼肌麻痹的双边视力丧失、眼球突出。影像表现pachymeningeal增强,软组织浸润retro-orbital空间和多个器官包括肾脏和腹主动脉,和混合osteosclerotic溶骨的病变在双边股头1(图)。retro-orbital病变的病理研究显示泡沫- CD1a和S1002符合Erdheim-Chester疾病(ECD)。该患者使用静脉甲基强的松龙紧随其后的是环孢霉素以最小的利益。四个月后,他死于不明原因猝死在睡眠中。尸检没有执行。儿童早期开发是一种罕见的non-Langerhans组织细胞增生症,其特点是慢性的多个器官组织细胞的渗透。常见的症状包括骨骼疼痛,尿崩症,眼球突出,黄斑瘤。1神经系统的影响在25% - -50%的患者,可以参与extra-axial intra-axial隔间。1,2标准治疗尚未确定。
图
射线的发现
(一)软组织浸润在双边retro-orbital空间(箭头)。(B)的脑部MRI显示增强pachymeninges(箭头)。(C)腹部CT显示装箱的双边肾脏和主动脉浸润(箭头)。(D)盆腔CT显示混合溶骨的(箭头)和osteosclerotic(箭头)股正面的病变。
作者的贡献
博士Srivanitchapoom导致手稿准备写初稿,审查和批评。博士Sathornsumetee导致手稿准备通过评审,评价,修改和编辑。
研究资金
没有针对性的资金报告。
信息披露
作者报告没有披露相关的手稿。去首页Neurology.org为充分披露。
脚注
下载教学幻灯片:首页Neurology.org
- ©2015美国神经病学学会的首页
信:快速的网络通信
你可能也会感兴趣
广告
提醒我
推荐的文章
- 文章
中枢神经系统参与Erdheim-Chester疾病一项观察性队列研究
弗勒科恩Aubart艾哈迈德•Idbaih Damien Galanaud et al。
首页神经学,2020年9月04日 - 文章
完全缓解的关键neurohistiocytosis vemurafenib菲利普Euskirchen,朱利安Haroche让埃米尔等。
首页神经-神经免疫学神经炎症,2015年2月26日 - 居民和其他部分
临床推理:一个42岁的女人,神秘的单核细胞的脑膜炎梅根·e·Nothem瑞安·m·李,乔纳森·m·卡茨et al。
首页神经学,2021年5月04日 - 研究
Neuroradiologic Erdheim-Chester疾病的表现娜塔莉·e·公园、Gaurav Goyal罗纳德·s . et al。
首页神经学:临床实践,2018年1月23日


