2015年12月08日
;85 (23)
神经图片
两国从鸡冠脑膜瘤额囊肿
Hiroki户田拓夫,Hidetsugu前川
第一次出版2015年12月7日,
DOI: https://doi.org/10.1212/WNL.0000000000002195
Hiroki户田拓夫
从Tazuke Kofukai医学研究所和北野医院(热处理莫莱森),大阪;日本德岛大学医院(莫莱森)。
医学博士
Hidetsugu前川
从Tazuke Kofukai医学研究所和北野医院(热处理莫莱森),大阪;日本德岛大学医院(莫莱森)。
医学博士
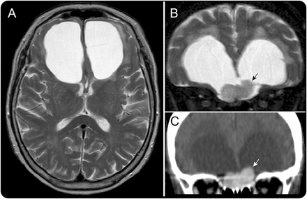
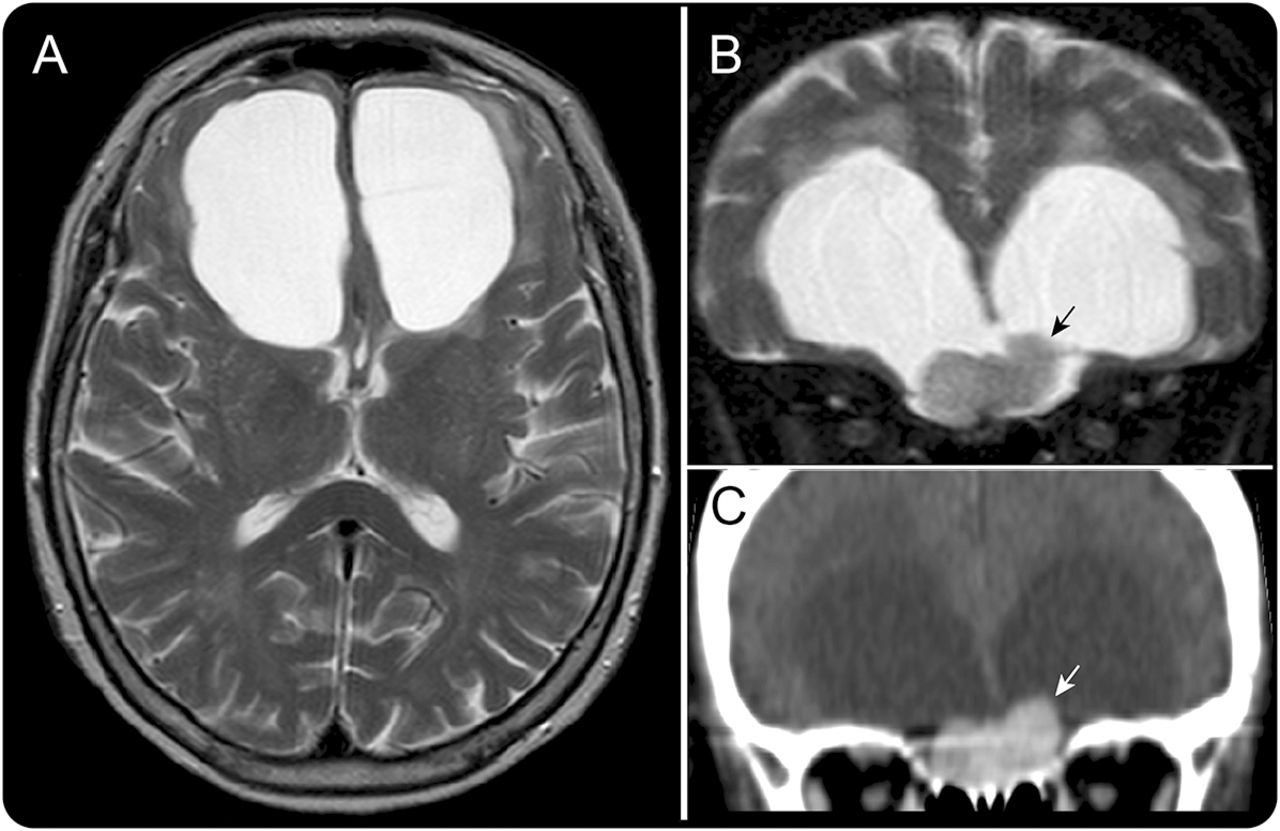
一个73岁的女人有进步的冷漠,健忘,步态障碍为6个月。神经系统检查显示、恶声恶气,记忆障碍和广泛的步态。41 MRI表现是因为钆过敏。MRI和超声造影CT扫描显示对称双边额囊肿(图1一个)和一个前颅底结节(图1中,B和C)。手术证实了脑膜瘤起源于鸡冠(图2一个)。她的症状改善术后囊肿严重萎缩(图2 b)。
图1
对称双边额囊肿和肿瘤的MRI和CT
(一)轴向和(B)冠状t2加权MRI显示大型对称双边额囊肿和isointense结节筛状板(箭头所指)。(C)对比增强CT扫描显示结节是同质的增强(箭头所指)。鉴别诊断包括脑膜瘤,鼻腔神经胶质瘤和血管外皮细胞瘤。
图2
外科视图和术后MRI
(A) bifrontal方法揭示了囊肿壁(箭头)和脑膜瘤(箭头所指)引起的硬脑膜鸡冠(开放箭头)。虚线表示中线。(B)的核磁共振造影后4个月手术演示了收缩的囊肿。
囊性脑膜瘤分为瘤内,intraparenchymal subarachnoidal / epiarachnoidal类型。1囊肿,偶尔观察到颅底脑膜瘤通常是单边的2;两国囊肿是一种罕见的对称。
脚注
作者的贡献:户田拓夫博士:研究概念、设计、起草和修订手稿。前川博士:采集的数据和修改的手稿。
研究经费:没有针对性的资金报告。
披露:作者报告没有披露相关的手稿。去首页Neurology.org为充分披露。
- ©2015美国神经病学学会的首页
信:快速的网络通信
你可能也会感兴趣
广告
相关文章
-
没有找到相关文章。
提醒我
推荐的文章
- 文章
尸检的C12orf65突变患者线粒体功能障碍的迹象Hideaki Nishihara,正树Masatoshi Omoto高雄等。
首页神经学:遗传学,7月27日,2017年 - 首页神经病学临床病理会议
一个54岁的女人,进步的步态障碍和MRI异常业务f·h·f·j·罗德里格斯,J.L.D.阿特金森等。
首页神经学,2009年8月10日 - 简短的沟通
脑膜瘤显示VHL基因失活与冯•Hippel-Lindau病病人h .菅野山本,m .吉田等。
首页神经学,08年4月,2003 - 科学杂志
脑膜瘤与pneumosinus dilatans安妮·麦约翰·卡莉丝Kumaraswamy Sivakumar et al。
首页神经学,2003年6月10日


