2015年8月04
;85 (5)
居民和其他部分
教学神经图片:Epilepsia partialis连续揭示外源的干细胞移植后PML
丹妮拉Andriuta,梅丽莎行动,Bertille perinatal,Philippe-Edouard山鸟,席琳Bryer-Le布列塔尼人,含有杏仁的Charbonnier,jean - marc君士坦斯,奥利弗Godefroy
第一次出版2015年8月3日,
DOI: https://doi.org/10.1212/WNL.0000000000001804
丹妮拉Andriuta
从神经学部门(D.A.首页,M.T.,安塞,C.B.-L.B., O.G.), Neurological Electrophysiology (B.P., P.-E.M.), Clinical Hematology (A.C.), and Radiology (J.-M.C.), Amiens University Hospital, France.
梅丽莎行动
从神经学部门(D.A.首页,M.T.,安塞,C.B.-L.B., O.G.), Neurological Electrophysiology (B.P., P.-E.M.), Clinical Hematology (A.C.), and Radiology (J.-M.C.), Amiens University Hospital, France.
Bertille perinatal
从神经学部门(D.A.首页,M.T.,安塞,C.B.-L.B., O.G.), Neurological Electrophysiology (B.P., P.-E.M.), Clinical Hematology (A.C.), and Radiology (J.-M.C.), Amiens University Hospital, France.
Philippe-Edouard山鸟
从神经学部门(D.A.首页,M.T.,安塞,C.B.-L.B., O.G.), Neurological Electrophysiology (B.P., P.-E.M.), Clinical Hematology (A.C.), and Radiology (J.-M.C.), Amiens University Hospital, France.
席琳Bryer-Le布列塔尼人
从神经学部门(D.A.首页,M.T.,安塞,C.B.-L.B., O.G.), Neurological Electrophysiology (B.P., P.-E.M.), Clinical Hematology (A.C.), and Radiology (J.-M.C.), Amiens University Hospital, France.
含有杏仁的Charbonnier
从神经学部门(D.A.首页,M.T.,安塞,C.B.-L.B., O.G.), Neurological Electrophysiology (B.P., P.-E.M.), Clinical Hematology (A.C.), and Radiology (J.-M.C.), Amiens University Hospital, France.
jean - marc君士坦斯
从神经学部门(D.A.首页,M.T.,安塞,C.B.-L.B., O.G.), Neurological Electrophysiology (B.P., P.-E.M.), Clinical Hematology (A.C.), and Radiology (J.-M.C.), Amiens University Hospital, France.
奥利弗Godefroy
从神经学部门(D.A.首页,M.T.,安塞,C.B.-L.B., O.G.), Neurological Electrophysiology (B.P., P.-E.M.), Clinical Hematology (A.C.), and Radiology (J.-M.C.), Amiens University Hospital, France.
教学神经图片:Epilepsia partialis连续揭示外源的干细胞移植后PML
丹妮拉Andriuta,梅丽莎行动,Bertilleperinatal,Philippe-Edouard默尔,席琳Bryer-Le布列塔尼人,含有杏仁的Charbonnier,jean - marc君士坦斯,奥利维尔Godefroy
首页
2015年8月,
85年
(5)
e53-e54;
DOI:10.1212 / WNL.0000000000001804
做出评论
看到评论
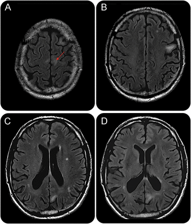
一个54岁的人,15个月后同种异体的外周血干细胞移植(ASCT)脊髓发育不良,开发连续的右脚不自觉的抽搐。脑电图是暗示epilepsia partialis连续(EPC) (图1)。脑部核磁共振成像显示增加信号在左侧中央白质(图2)。血评估发现白细胞3400,500个淋巴细胞,脑脊液PCR JC病毒是积极的(250拷贝/毫升)与正常cyto-biochemical评估。本例符合诊断标准的渐进多焦点的脑白质病(PML)。1PML由EPC异常显示2和ASCT构成一种罕见的并发症。
图2
脑核磁共振
轴向fluid-attenuated反转恢复图像:(一)hyperintensity离开中央皮层下白质(箭头);(罪犯)多病灶的不对称nonconfluent白质病变,无质量效应。
作者的贡献
丹妮拉Andriuta:手稿写初稿。梅丽莎行动:审查和批评的手稿。Bertille perinatal:脑电图解释,审查和批评的手稿。Philippe-Edouard山鸟:脑电图解释,审查和批评的手稿。席琳Bryer-Le布列塔尼人:审查和批评的手稿。含有杏仁的Charbonnier:审查和批评的手稿。jean - marc君士坦斯:MRI解释,审查和批评的手稿。奥利弗Godefroy:审查和批评的手稿。
研究资金
没有针对性的资金报告。
信息披露
作者报告没有披露相关的手稿。去首页Neurology.org为充分披露。
脚注
下载教学幻灯片:首页Neurology.org
- ©2015美国神经病学学会的首页
信:快速的网络通信
你可能也会感兴趣
广告
提醒我
推荐的文章
- 文章
神经认知新兴脑罹基准后移植大卫·r . Nascene伊丽莎白·i·皮蓬特瑞恩斯坦利等。
首页神经学,2020年7月2日 - 文章
渐进多焦点的脑白质病一个25年的回顾性队列研究
像Anand, Gladia c .和田安德烈傅高义et al。
首页神经学:神经免疫学和神经炎症,2019年9月25日 - 文章
造血干细胞移植后严重神经系统并发症的孩子m . Faraci e . Lanino g . Dini et al。
首页神经学,2002年12月24日 - 临床/科学的笔记
半球中风不动员外周血CD34 +造血干细胞b . Hochsmann r·胡贝尔Schauwecker et al。
首页神经学,2009年4月6日


