脑microbleeds和铁损耗ataxia-telangiectasia齿状核
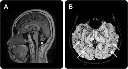
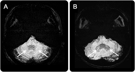
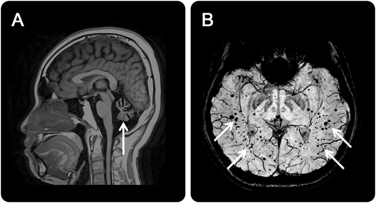
一名27岁的男子被诊断出患有ataxia-telangiectasia岁13年。他眼毛细管扩张和运动共济失调,不配合侧头和眼睛的凝视。实验室数据显示缺乏免疫球蛋白和α-fetoprotein升高。MRI显示小脑萎缩和脑microbleeds1(图1);齿状核有缺铁信号,否则应该可见hypointensities susceptibility-weighted成像(图2)。在齿状核铁损耗是一个了不起的新发现,可以解释为轴突铁交通的堵塞olivocerebello-olivary循环。2
(一)t1加权磁共振成像显示小脑萎缩(箭头所指)。(B) Susceptibility-weighted图像(瑞士)显示点状的信号空间散射在正常大脑(箭头),表明microbleeds含铁血黄素沉积,有相关的扩张血管ataxia-telangiectasia患者中。
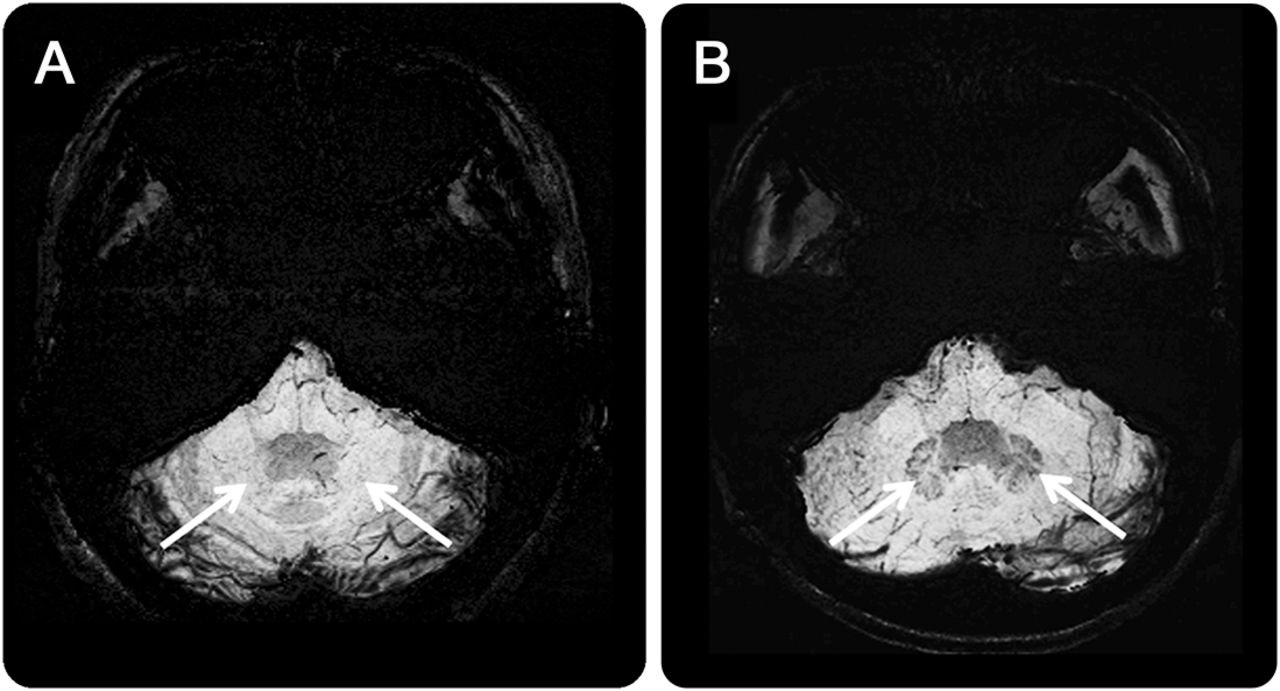
(A) Susceptibility-weighted图像(瑞士)揭示铁的缺乏hypointensity信号齿状核的病人ataxia-telangiectasia(箭头)相比,一个年龄和sex-matched正常控制参与者(B),而齿状核信号与一个典型的黑铁相关存款是明显可见的瑞士(箭头)。
脚注
作者的贡献:华山刘:研究概念和设计、起草文稿、采集和分析数据,设计数据。陈Yung-Chieh:临床资料收集和分析的数据。程毓陈:研究概念和设计、批判性审查和修改手稿知识内容,研究监督。
研究经费:由台北医科大学华山刘支持(赠款TMU103-AE1-B29和104 tmu-tmuh-03)和科技部、中华民国(批准most105 - 2218 - e - 038 - 003 - my2)。程毓陈是在科技部的支持下,中华民国(赠款most104 - 2314 - b - 038 - 051 - my3和most104 - 2923 - b - 038 - 003 - my3)和烟草产品的健康和福利附加税(格兰特mohw105 - tdu - b - 212 - 134001)。
披露:作者报告没有披露相关的手稿。去首页Neurology.org为充分披露。
- ©2016美国神经病学学会的首页
信:快速的网络通信
你可能也会感兴趣
相关文章
-
没有找到相关文章。
提醒我
推荐的文章
- 文章
主要的肌张力障碍与小脑萎缩一种罕见的表型在家族性肌张力障碍
勒的误码率,f .血栓,l . Vercueil et al。
首页神经学,2006年11月27日 - 文章
铁和Aβ年龄差异的贡献在嗅皮质和海马体积子域克里斯·m·福斯特,克里斯汀·m·肯尼迪,安娜·m·多尔蒂等。
首页神经学,2020年9月16日 - 神经科学研究的临床意义
脑铁稳态和神经退行性疾病爱德华多·e·Benarroch et al。
首页神经学,2009年4月20日 - 文章
脑microbleeds患病率和淀粉样蛋白负担的关系
雨果·博塔乔纳森•Graff-Radford Alejandro Rabinstein et al。
首页神经学,2018年12月19日


