2016年9月6日
;87 (10)
居民和其他部分
教学神经图片:在迟发性的影像学进展拉斯穆森脑炎
卡洛斯Leiva-Salinas,马克试验
第一次出版2016年9月5日,
DOI: https://doi.org/10.1212/WNL.0000000000003071
卡洛斯Leiva-Salinas
的放射学(C.L.-S),和神经学部门,综合癫痫项目(M.Q.),夏洛茨维尔弗吉尼亚大学。首页
医学博士
一名20岁男子提出了癫痫发作与单个广义tonic-clonic发作,15岁和2年后发作的自由,有经验的出现dyscognitive hypermotor发作,在最近的18个月,进步的模式dyscognitive和焦电机复杂,simple-partial癫痫持续状态包括左边的四肢。脑电图显示多病灶的猝发的和发作多病灶的癫痫样的异常在结算之前对central-parietal癫痫发作频繁,放缓。神经影像学显示进步的右半脑萎缩和代谢减退(图在成人拉斯穆森脑炎),常见的发现。1没有发现自身免疫或多种标记。病人开始并继续每月静脉丙种球蛋白治疗成人拉斯穆森脑炎(静脉免疫球蛋白)。2
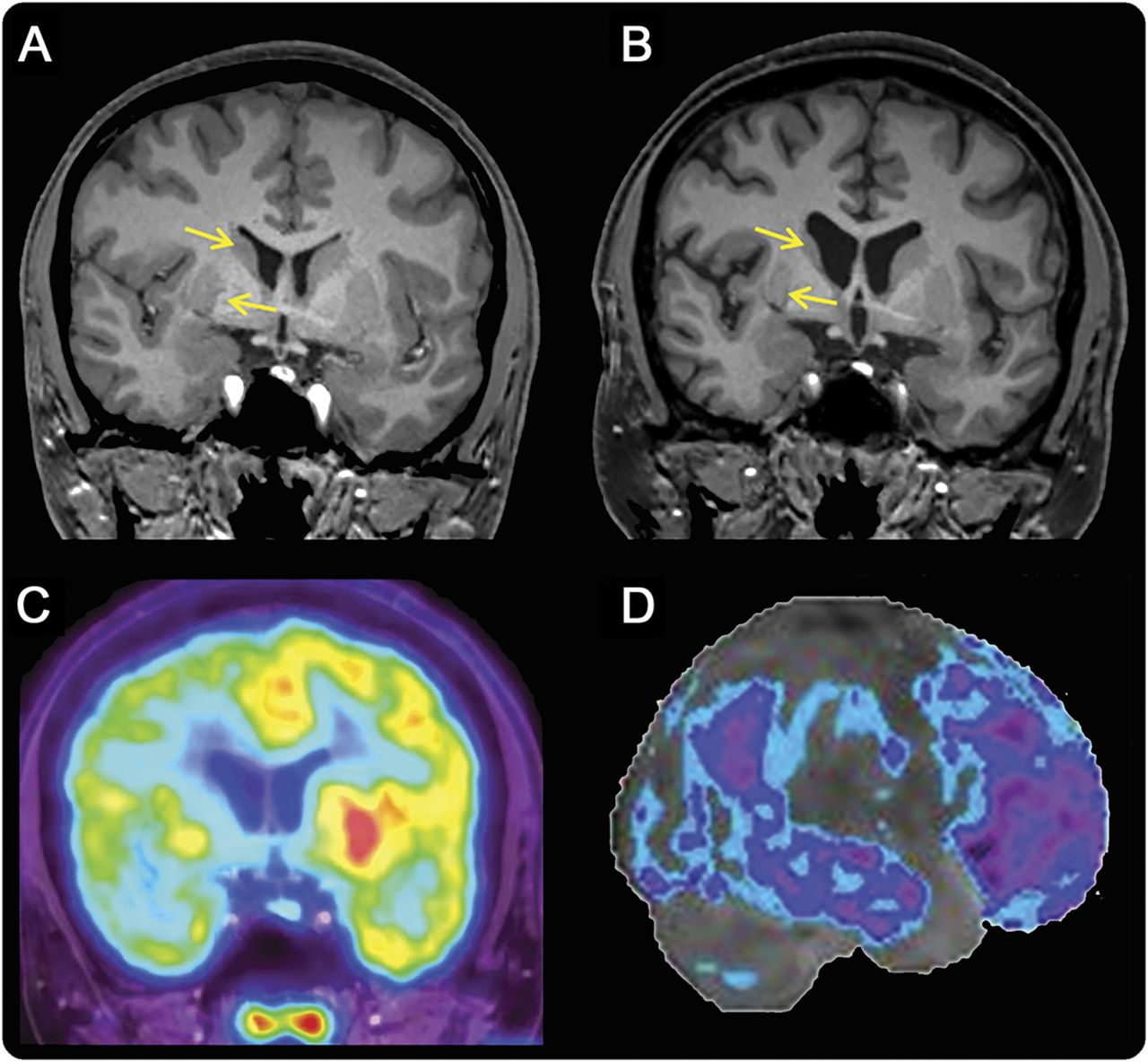
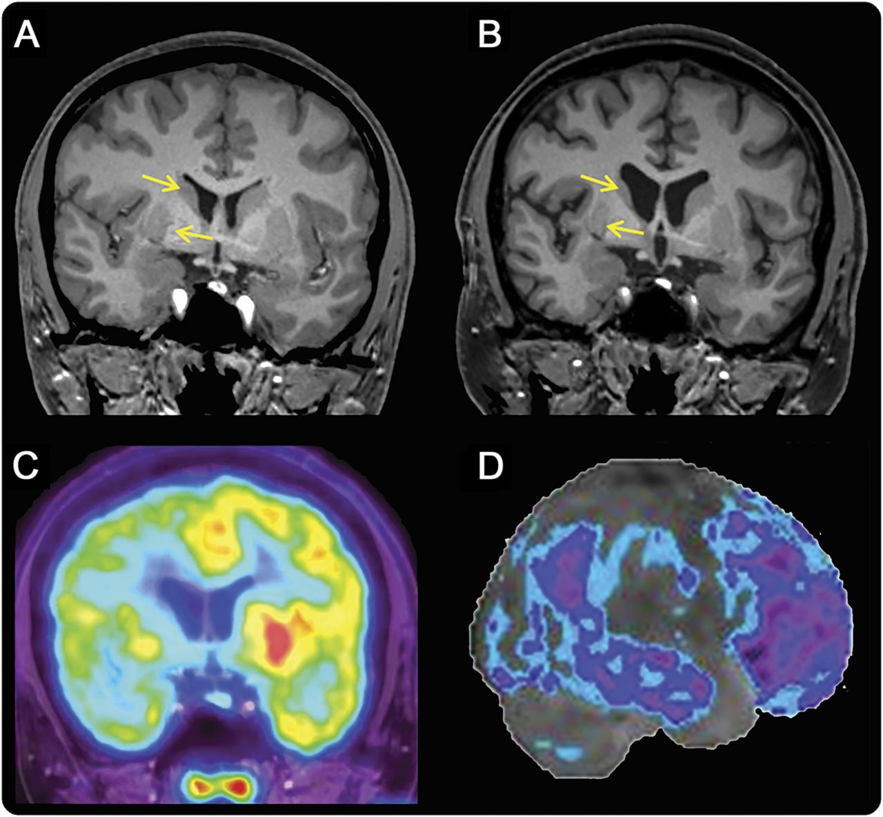
图
大脑的磁共振成像和发作的宠物
冠状t1加权磁共振成像从2015年2013 (A)和(B)显示进步的脑萎缩,右边比左边,最突出的纹状体(箭头)。从2011年最初的核磁共振正常。(18F] pet显示右半脑代谢减退主要包括纹状体(C)和额叶和颞叶(蓝色区域,D)。
作者的贡献
卡洛斯Leiva-Salinas:数据采集,起草手稿,手稿的概念。马克试验:数据采集、起草和修改的手稿,手稿的概念。
研究资金
没有针对性的资金报告。
信息披露
作者报告没有披露相关的手稿。去首页Neurology.org为充分披露。
脚注
下载教学幻灯片:首页Neurology.org
- ©2016美国神经病学学会的首页
信:快速的网络通信
你可能也会感兴趣
广告
提醒我
推荐的文章
- 文章
硬膜下电极分析焦皮质发育不良手术结果的预测因子
p . Widdess-Walsh l . Jeha d Nair et al。
首页神经学,2007年8月13日 - 文章
免疫调节与硫唑嘌呤治疗拉斯穆森综合症多模式评价
塞雷娜Pellegrin Torsten Baldeweg,苏雷什Pujar et al。
首页神经学,2020年10月12日 - 简短的沟通
积极应对免疫调节治疗的一个成年病人患有拉斯穆森的脑炎同时,r . Spreafico l .淀粉等。
首页神经学,2001年1月23日 - 文章
小儿癫痫的生理模式t . Loddenkemper m . Vendrame m . Zarowski et al。
首页神经学,2011年1月10日


