2016年9月20日
;87 (12)
神经图片
急性脊髓综合征继发于静脉充血
伊恩·r·伍德考克,Nadia Coscini,西蒙·曼德尔斯塔姆,维多利亚Rodriguez-Casero,加布里埃尔Dabscheck
第一次出版2016年9月19日,
DOI: https://doi.org/10.1212/WNL.0000000000003132
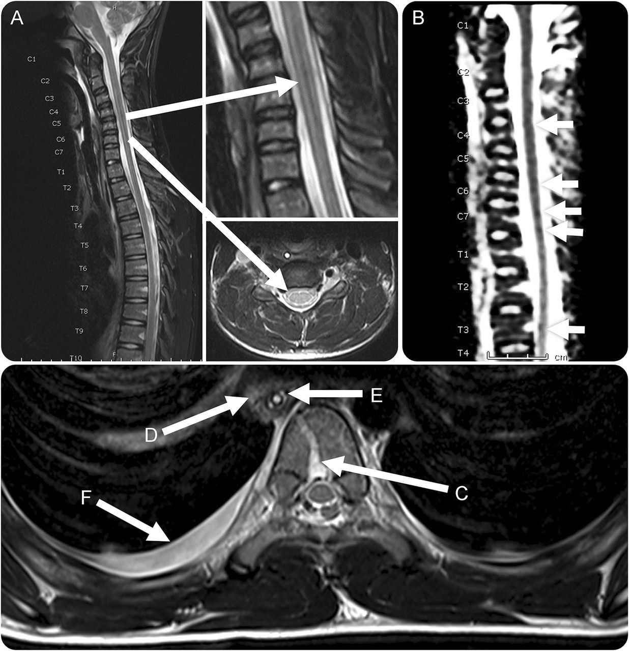
一个13岁的男孩发展下肢弛缓性麻痹误食后24小时的无嗅无味的液体氢氧化钾。他缺席腹部反射、深部腱反射活跃,没有感觉远脐。MRI显示T2 hyperintensities整个脊髓和充血的基部的椎静脉丛(图)。他在48小时内完全康复经验四甲基强的松龙。
图
MRI T2和表观扩散系数序列颈和上胸脊柱
微妙的证据T2 hyperintensity整个脊髓(A) (B)表观扩散系数变化二次静脉充血的基部的脊椎神经丛(C)纵隔炎有关。(D)可以通过增厚墙食管(E) intra-luminal原位胃管,peri-oesophageal炎症和胸膜腔积液(F)。
刻薄的摄入可引起食管液化性坏死和穿孔导致纵隔炎和静脉充血。1,2急性脊髓综合征继发于静脉交通拥堵是一个很少报道和鲜为人知的实体。
脚注
披露:作者报告没有披露相关的手稿。去首页Neurology.org为充分披露。
作者的贡献:伍德考克起草了手稿,编辑出版的图像,并起草的手稿。博士Coscini起草了手稿。曼德尔斯塔姆博士选择了合适的图片发布和修订后的手稿。博士Rodriguez-Casero修订后的手稿。博士Dabscheck概念研究,修订后的手稿提交之前,和监督这一过程。
研究经费:没有针对性的资金报告。
- ©2016美国神经病学学会的首页
信:快速的网络通信
你可能也会感兴趣
广告
相关文章
-
没有找到相关文章。
主题讨论
提醒我
推荐的文章
- 文章
克雅二氏症病理关联扩散磁共振成像的变化d . n .礼仪,p . Parchi Tonon et al。
首页神经学,2009年4月20日 - 文章
扩散磁共振成像显示水的表观扩散系数增加的大脑侦测r·洛迪c . Tonon Stracciari et al。
首页神经学,08年3月,2004 - 文章
多层螺旋扩散映射在老鼠脑缺血中风的三维演化模型w . Reith,长谷川y l . l .拉图等。
首页神经学,1995年1月1日 - 居民和其他部分
临床推理:59岁女性急性截瘫美国普拉萨德,r . s .价格,s . m . Kranick et al。
首页神经学,2007年12月10日


