临床推理:一个73岁的老人与结节病和多焦点的缺血性中风
第一节:临床表现
一个73岁的老人被评价急性缺血性中风。他的病史是明显的肺结节病口服强的松治疗40毫克每日,2型糖尿病,高血压和高脂血症。大约1个月入学之前,他接受了全膝关节置换术选择性右在外部机构和术后1周发达急性谵妄和波动的发烧。没有发现感染引起。他的精神状态得到持续下降和头部MRI (图,一个),显示小急性梗塞在多个血管领土。
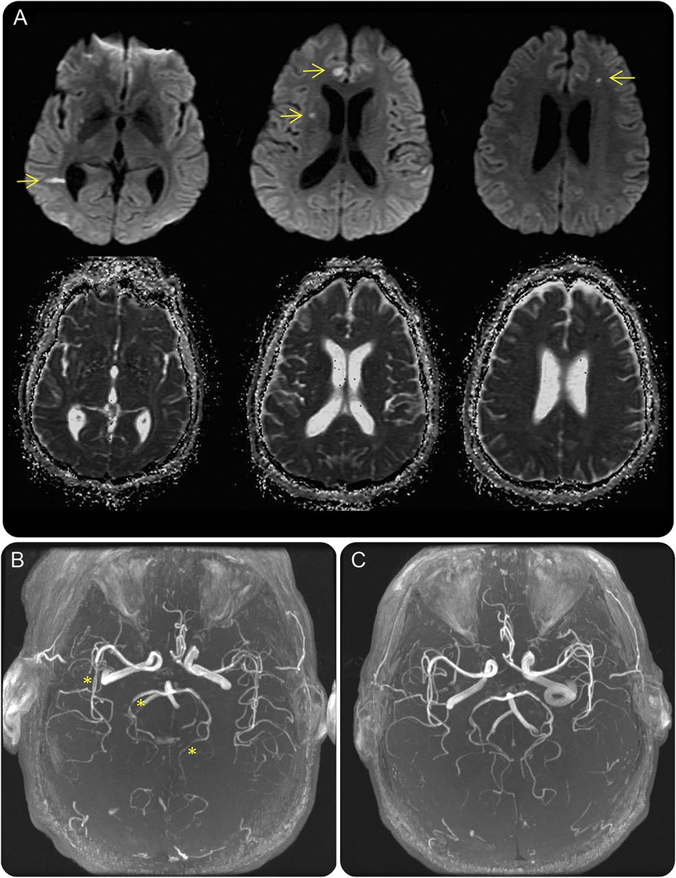
(A)轴向diffusion-weighted(上面一行)头部MRI显示限制扩散在多个血管领土(箭头),包括两国前脑动脉的分布,对大脑中动脉和大脑后动脉。领域的扩散限制显示相应hypointensity表观扩散系数成像(底下一行),与急性缺血性梗塞一致。(B)头部MRA显示两国后腔的不规则性脑动脉和右大脑中动脉的分支(星号),符合血管炎。(C)重复10天的抗真菌治疗后头部MRA显示间隔解决以往可视化颅内血管的违规行为。
他开始迫使眼睛偏差和行为被捕的事件持续不到30秒。他迫切承认我们医院和levetiracetam开始经验,没有假定癫痫复发。他抱怨只有轻微的头痛和右膝疼痛。考试,他血液流动稳定,无热的。他是脑病和温和的右腿弱点,但是其余的nonfocal神经系统检查。没有假性脑膜炎。脑电图显示轻度弥漫性放缓,但没有致癫痫的活动。全血计数、电解质、乳酸和沉降率在正常范围内。胸部CT显示稳定的结果符合他的肺结节病的诊断,但没有急性病理或主动感染的证据。
第二节:鉴别诊断
涉及多个血管领土的急性中风会导致许多病因,但大多数暗示近端栓子的来源或弥漫性vasculitic过程。该分布的图像不会与单一artery-to-artery栓子,大血管狭窄,或慢性小血管疾病。在这种情况下Cardioembolic来源必须排除。阵发性心房纤颤栓子可能是一个因素,和卵圆孔未闭的存在可以在膝盖手术后患者深静脉血栓形成的风险。发烧和脑病是非常典型的存在对大多数缺血性中风。必须考虑感染来源,如脑膜炎,即使没有假性脑膜炎。设置的免疫抑制,感染性心内膜炎产生脓毒性栓子也是一个可能性。梗塞血管炎可能存在多个领域,病人倾向于自身免疫性疾病结节病的历史。由于脑静脉窦血栓静脉梗塞值得考虑,特别是在患者头痛和最近诊断为癫痫。
重复录取头部MRI显示急性梗死的多个新小范围,再在多个血管领土。技术获得了超声心动图评估cardioembolic引起的中风。没有心脏内的血栓,瓣膜赘生物,或者从右到左的分流。头部和颈部磁共振血管造影(MRA)显示多焦点的,非对称狭窄涉及两国后脑动脉和右大脑中动脉的分支,符合血管炎(图B)。没有任何证据表明静脉窦血栓形成。
第三节:调查
多病灶的梗塞被认为是由于血管炎,这是一个通用术语指的血管炎症。适当的治疗取决于血管炎的根本原因。中枢神经系统血管炎常发生在系统性炎症过程的设置或结缔组织疾病(结节性多动脉炎、遗传病疾病、全身性红斑狼疮),但也可能是由于各种感染性原因,药物,或使用毒品。
在我们的病人,血清炎症标记物不升高表明系统性炎症过程,没有证据表明其他的终末器官损害。他没有任何药物已知的与血管炎有关,和没有使用毒品的历史。没有全身感染的迹象,没有最近的旅行史。
结节病的大脑参与的可能性。血管介入已经证明在许多neuropathologic结节病的研究。1,- - - - - -,3肉芽肿性侵犯血管壁已被证明导致vasculitic中断的媒体和内部弹性板,在很多情况下导致梗塞。肉芽肿性血管炎优先涉及小动脉穿透,尽管参与更大的船只也被报道。3治疗血管炎彻底根据根本原因不同。结节病和其他炎症性疾病与免疫抑制治疗,但这可能潜在的灾难性的后果在感染性血管炎的设置。
进一步评估血管炎的原因在我们的病人,进行腰椎穿刺和显示蛋白升高194 mg / dL, 75白细胞/μL(淋巴细胞中性粒细胞50%,17%,33%单核细胞/巨噬细胞),和葡萄糖不到20 mg / dL。CSF革兰氏染色剂是负面的。PCR检测为阴性单纯疱疹、水痘带状疱疹,巴尔病毒。真菌涂片,它使用calcofluor白色污点甲壳素在真菌细胞壁,返回正数。隐球菌抗原测试使用侧流试验也是积极的。血液和脑脊液文化最终成长新型隐球菌var neoformans。
病人开始立即感应与两性霉素和结合氟胞嘧啶使用治疗治疗隐球菌脑膜炎(CM)。头部MRA重复10天开始抗真菌治疗后显示分辨率前面可视化血管不规则的(图中,C)。精神状态回到基线前,他出院康复机构,因为持续的右腿的弱点。氟康唑是厘米的开始进行治疗。
第四部分:讨论
它相信steroid-related免疫抑制治疗肺结节病了这个病人容易厘米。然后引起弥散性血管炎和脑膜炎提供多病灶的缺血性中风,脑病和癫痫发作。
新型隐球菌是最常见的系统性真菌感染在免疫功能低下的患者。这些患者通常表现为阴险的出现非特异性症状,有时与孤立的神经投诉。大多数患者出现发烧、头痛、精神状态改变在几周,尽管典型假性脑膜炎在少于25%的病人。癫痫在高达10%的情况下已报告。4由于非特异性症状和隐性发病,诊断可能会被推迟。5
脑缺血是一种相对少见,但是可以并发症在CM和几种机制可能涉及。已经提出,脑膜炎会导致刺激穿越蛛网膜下腔血管,进而导致血管痉挛和缺血。6支持这一理论,我们在多个梗塞的病人血管痉挛的证据领域,解决潜在的治疗脑膜炎。炎症也可能导致动脉内膜炎和小血管缺血性中风。渗出液在慢性脑膜炎的设置通常是发现在基底水池,这或许可以解释为什么大多数梗塞患者CM在基底神经节,内囊或丘脑。7尽管脑积水厘米是一种常见的并发症,可能导致船舶、增加颅内压、脑缺血拉伸7似乎这并不是一个主要因素在我们的病人的病理。
感染引起的中风是重要的考虑在所有患者,特别是那些免疫抑制。确定根本原因来帮助决定适当的治疗是至关重要的。如果及早诊断,优秀的病人结果是可能的。
作者的贡献
Pichler博士是参与起草和修改的手稿内容。克洛斯博士是参与起草和修改的手稿内容。Temesgen博士是参与起草和修改的手稿内容。Kantarci博士是参与起草和修改的手稿内容。
研究资金
没有针对性的资金报告。
信息披露
作者报告没有披露相关的手稿。去首页Neurology.org为充分披露。
脚注
去首页Neurology.org为充分披露。资金信息和披露认为作者相关的,如果有的话,年底提供这篇文章。
- ©2016美国神经病学学会的首页
引用
信:快速的网络通信
你可能也会感兴趣
相关文章
-
没有找到相关文章。
提醒我
推荐的文章
- 文章
复发性中风在成像和反常栓塞横截面分析
乔治·d·Kitsios亚伦拉斯科,小朋友!辛格et al。
首页神经学,2012年3月14日 - 特殊的文章
实践咨询更新总结:卵圆孔未闭和二级预防中风报告的美国神经病学学会的指导委员会首页
史蒂文·r·展览馆加里·s . Gronseth David m .肯特et al。
首页神经学,2020年4月29日 - 临床和伦理挑战
不明原因引起的中风一个诊断的挑战
米切尔Shadi Yaghi S.V.艾尔金德,等。
首页神经学:临床实践,2014年9月17日 - 文章
在卵圆孔未闭的患者中风复发洛桑研究
j . Bogousslavsky s Garazi x王惠珠et al。
首页神经学,1996年5月1日


