珍珠和Oy-sters:一种罕见的慢性颅内高血压并发失聪,失明
珍珠
孤立的升高颅内压(ICP)通常与假礼物本地化的迹象。
如果ICP升高仍然未被认可的,它可能会导致永久性的神经赤字。
识别常见的演示,以及放射ICP升高的迹象,及时干预最小化发病率是至关重要的。
OY-STERS
听觉神经病变是一种罕见的ICP升高,可能是由于增加的蜗神经ICP。
岩石的顶端脑膨出和脑膜罕见ICP升高的辐射特性。
缺血性视网膜中央静脉阻塞是一种罕见的眼科表现的ICP升高可能会导致不可逆转的视力丧失,如果增加ICP仍未被承认的。
孤立的升高颅内压(ICP)经典礼物有头痛和视神经乳头水肿没有焦点神经信号。1颅神经麻痹,尤其是外展神经麻痹,已被描述为错误的本地化的迹象。2,3然而,如果ICP升高仍然无法识别,这可能会导致永久性的神经赤字。我们报告一个罕见的慢性特发性ICP高程与双边感音神经性听力损失(SNHL)和视网膜中央静脉遮挡(CRVOs)。
案例展示
49岁的马其顿人,与远程的历史机动车事故导致一条腿截肢,呈现给我们的急诊室双边失明和失聪。
九个月前,他曾向当地一家医院在马其顿严重头痛、视物模糊、扩散的弱点。每个记录,他收到了一个腰椎穿刺(LP)没有记录开启压力和正常脑脊液的发现。他当时经验与血浆置换治疗多神经根神经病基于肌电图和神经传导研究。
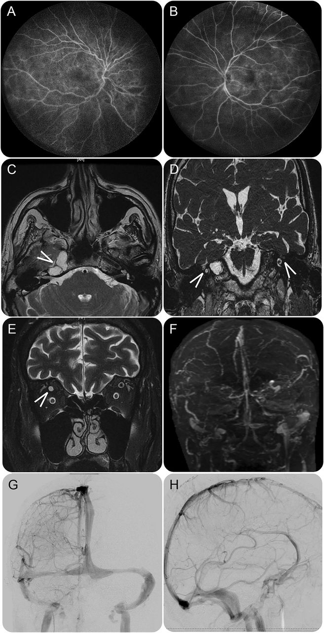
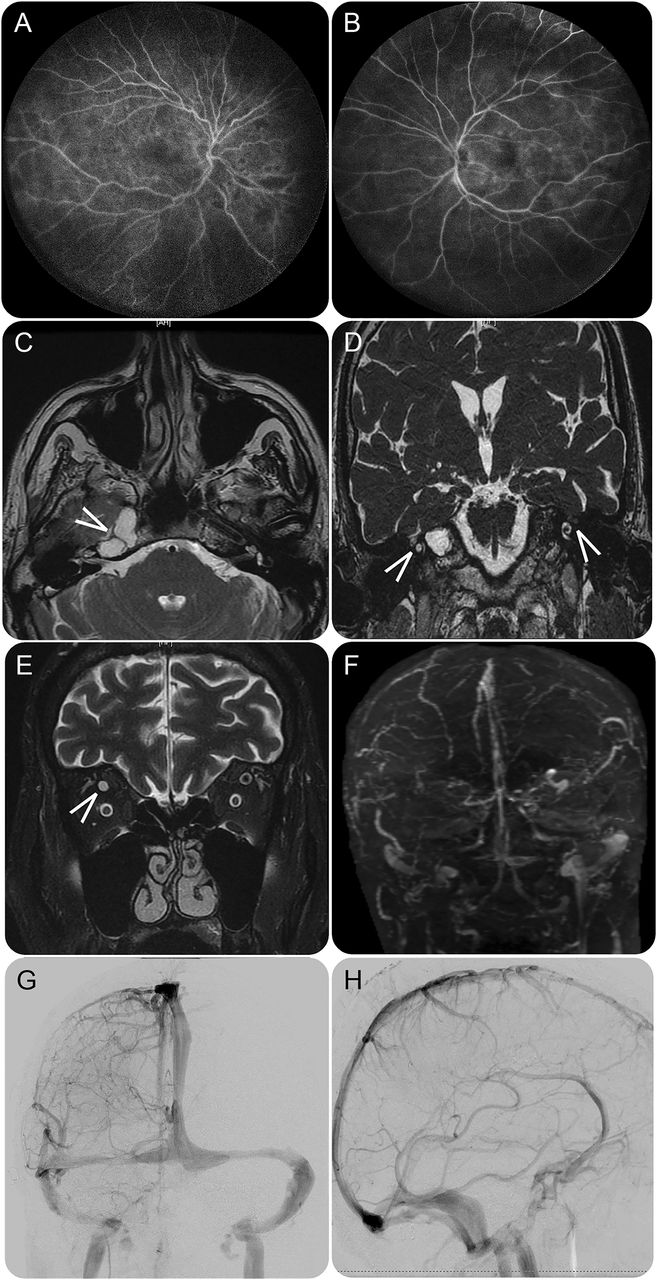
在他的演讲对我们的设施,他在他的双边上肢肌肉力量减弱,左比右。深部腱反射缺席左侧上肢和减少。他的视力是没有光感知双边与固定的瞳孔放大。眼底检查可显示双边视神经盘萎缩与轻度升高利润符合萎缩性视神经乳头水肿和重大视网膜出血与CRVO一致。荧光素血管造影的双眼也暗示CRVO (图中,A和B)。考试也是非凡的右耳的听力损失和严重削弱左耳的听力。听力图显示双边低频SNHL严重,右边比左边。听觉脑干反应是惊人的波形反演的刺激极性的变化,符合双边听觉神经病变。最初的核磁共振成像的大脑是负任何肿块或阻塞性脑积水。核磁共振的内部听觉运河(IACs),然而,对岩石的顶端是重要的脑膜脑膨出、突出到双边IACs (图中,B和C)。国视神经血管严重充血膨胀的perioptic蛛网膜下腔和视神经萎缩双边在MRI中明显的轨道(图E)。磁共振静脉造影照片显示,没有证据表明静脉窦血栓形成或焦点狭窄,尽管所有的静脉窦被广泛地倒塌(图F)。随后,LP与开放进行脑脊液压力45厘米的H2o .脑脊液成分在表的细节e 1上首页®网站首页Neurology.org。脑脊液细菌和真菌的文化,为vasculitides广泛的检查,艾滋病毒抗体也是负的。肌电图和神经传导研究显示多级多神经病的颈神经根病没有证据。
(A和B)荧光素血管造影的眼睛;墙荧光素染色提示中度到重度视网膜中央静脉阻塞。(C)轴向IAC的核磁共振;箭头显示正确的头部形成坚硬的骨头。IAC的(D)冠状核磁共振;箭头显示为两国IACs脑脊髓膜突出的突出。(E)轴向MRI的轨道表明两国高级光学静脉严重充血(箭头)的膨胀perioptic蛛网膜下腔的视神经乳头水肿的说明。(F)磁共振造影术显示弥漫性静脉窦的崩溃。(G和H)静脉术后脑血管痉挛的阶段;正面和侧面视图展示解决扩散静脉崩溃。 IAC = internal auditory canal.
没有明显的临床观察改进后大容量高剂量乙酰唑胺LP和管理。因此,插入ventriculoperitoneal分流。术后脑血管痉挛了,解决分散在静脉静脉崩溃阶段(图中,G和H)。左耳朵的灵敏度提高,也是明显的重复听力图在个月随访。他的视力改善光感知双边解决视神经盘在眼底检查可高度。
讨论
识别常见的表现以及放射ICP升高的迹象可以很有价值的,因为延误诊断可能导致永久性的赤字。ICP升高的经典耳科学的报道特点耳鸣、耳闷;然而,传导性听力损失和SNHL报告。4,5我们的病人提供双边严重听觉神经病变可能是由于增加的蜗神经ICP。5脑脊髓膜突出突出到大船公司也被认为是听力损失的因素在我们的案例中。岩石的顶端脑膨出和脑膜被描述为罕见的放射ICP升高的迹象。6,7
我们的病情有明显改善后在他的左耳听觉敏锐ventriculoperitoneal并联插入。然而,他的视力丧失只有最低限度提高从没有光感知到光线感知双边。ICP升高经典影响视觉系统通过视神经乳头水肿。1深刻的视力丧失的病人是由于双边缺血性视神经病变和CRVO,两者都可能继发于视神经乳头水肿。改进ICP正常化后最小的时候,这可以归因于不可逆损害视网膜神经节细胞持续演讲之前我们的机构。
广泛调查ICP升高的一个次要原因我们的病人是模糊的。鉴于他的临床改善ICP的手术治疗后,我们得出结论,这是主要的病理过程。我们现在的这种情况下常见展示ICP升高,提示干预可以减少发病率。
作者的贡献
巴尔Mersedeh Hosseini:主要作家的手稿。劳拉·斯通McGuire:作家的手稿。米蕾Stosic:数据收集。希瑟·e·摩斯:手稿修改。Michael d . Carrithers:手稿修改。
研究资金
没有针对性的资金报告。
信息披露
m·巴尔Hosseini l .石头McGuire m . Stosic和h·莫斯报告没有披露相关的手稿。m . Carrithers已经收到退伍军人事务部的统计,研究支持(绩效奖2 I01 BX000467-05)和生原体在过去2年。去首页Neurology.org为充分披露。
脚注
去首页Neurology.org为充分披露。资金信息和披露认为作者相关的,如果有的话,年底提供这篇文章。
补充数据首页Neurology.org
- ©2016美国神经病学学会的首页
引用
信:快速的网络通信
你可能也会感兴趣
提醒我
推荐的文章
- 文章
表面的铁尘肺的中枢神经系统小脑肿瘤的晚期并发症
N.E.安德森,谢菲尔德,J.K. a希望et al。
首页神经学,1999年1月1日 - 文章
前庭神经过敏症听起来(图里奥的现象)结构和功能评估
肖恩·r·d·沃森·g·迈克尔·Halmagyi詹姆斯·g . Colebatch et al。
首页神经学、08年2月,2000年 - 文章
前庭偏头痛长期随访的临床症状和vestibulo-cochlear发现
安德里亚·Radtke迈克尔•冯•Brevern Hannelore纽豪斯等。
首页神经学,2012年9月26日 - 临床/科学的笔记
耳聋与滥用氢可酮/对乙酰氨基酚安德鲁·k .哦,彰西山贵子,Robert w . Baloh et al。
首页神经学,2000年6月27日


