2016年7月26日,
;87 (4)
神经图片
连续动脉自旋标记由于anti-LGI1脑炎MRI在自主癫痫持续状态
卡米洛·Espinosa-Jovel,拉斐尔•托莱达诺,艾琳Garcia-Morales,胡安Alvarez-Linera,安东尼奥Gil-Nagel
第一次出版2016年7月25日,
DOI: https://doi.org/10.1212/WNL.0000000000002903
卡米洛·Espinosa-Jovel
从医院Occidente·德·肯尼迪(C.E.-J),波哥大,哥伦比亚;红色的国际医院(保留时间,I.G.-M。,J.A.-L。,一个。G.-N.); Hospital Ramón y Cajal (R.T.); and Hospital Clínico San Carlos (I.G.-M.), Madrid, Spain.
拉斐尔•托莱达诺
从医院Occidente·德·肯尼迪(C.E.-J),波哥大,哥伦比亚;红色的国际医院(保留时间,I.G.-M。,J.A.-L。,一个。G.-N.); Hospital Ramón y Cajal (R.T.); and Hospital Clínico San Carlos (I.G.-M.), Madrid, Spain.
艾琳Garcia-Morales
从医院Occidente·德·肯尼迪(C.E.-J),波哥大,哥伦比亚;红色的国际医院(保留时间,I.G.-M。,J.A.-L。,一个。G.-N.); Hospital Ramón y Cajal (R.T.); and Hospital Clínico San Carlos (I.G.-M.), Madrid, Spain.
胡安Alvarez-Linera
从医院Occidente·德·肯尼迪(C.E.-J),波哥大,哥伦比亚;红色的国际医院(保留时间,I.G.-M。,J.A.-L。,一个。G.-N.); Hospital Ramón y Cajal (R.T.); and Hospital Clínico San Carlos (I.G.-M.), Madrid, Spain.
安东尼奥Gil-Nagel
从医院Occidente·德·肯尼迪(C.E.-J),波哥大,哥伦比亚;红色的国际医院(保留时间,I.G.-M。,J.A.-L。,一个。G.-N.); Hospital Ramón y Cajal (R.T.); and Hospital Clínico San Carlos (I.G.-M.), Madrid, Spain.
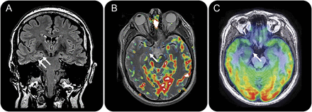
56岁的男人面对一个月历史的日常自主癫痫(心动过速、出汗、恶心)。也证实了边缘脑炎的诊断基于大脑核磁共振的发现和anti-LGI1抗体CSF中找到。自主video-EEG研究被诊断为癫痫持续状态,而动脉自旋标记(ASL)序列和18F-FDG-PET (图1)显示hyperperfusion /代谢亢进在海马和杏仁核。后续的神经影像(图2)被证明是提高患者对治疗结果。手语是一种成像技术高度敏感地区脑血流量的变化,可以帮助评估和后续的癫痫患者。1,2
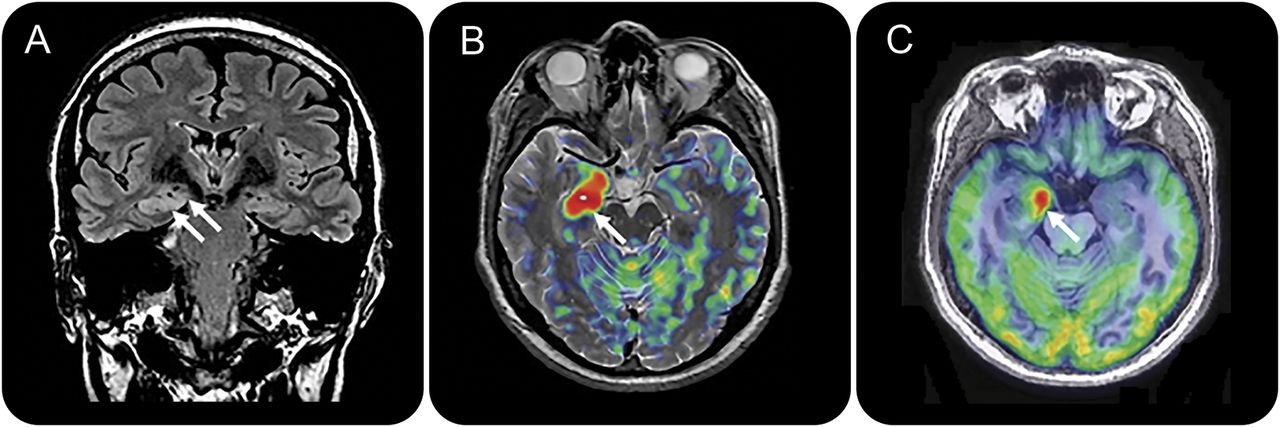
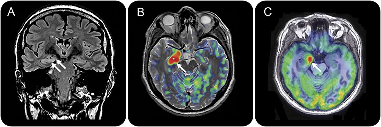
图1
神经影像学自主癫痫持续状态的治疗之前由于anti-LGI1脑炎
在疾病的急性期,日冕fluid-attenuated反转恢复序列(一个)显示hyperintensity正确的海马和杏仁核(箭头),而动脉自旋标记(B)和18F-FDG-PET (C)描述标记hyperperfusion /代谢亢进限制只有这两个结构(箭头),被高度重复发作引起的。
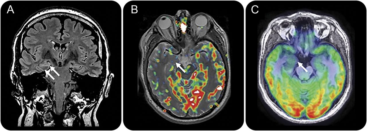
图2
神经影像学自主癫痫持续状态的治疗后由于anti-LGI1脑炎
癫痫在inmunomodulatory治疗控制。治疗一年后,后续日冕fluid-attenuated反转恢复序列(一个)显示完整解决炎症涉及颞中部地区(箭头),而美国手语(B)和18F-FDG-PET (C)显示略有减少血液灌注和新陈代谢的海马和杏仁核(箭头)。
脚注
作者的贡献:Espinosa-Jovel博士和托:研究概念和设计,采集的数据,分析和解释数据,关键的知识内容的修订手稿。Garcia-Morales博士:重要的知识内容的修订手稿。Alvarez-Linera博士:解释数据和重要的知识内容的修订手稿。Gil-Nagel博士:研究监督重要的知识内容的修订手稿。
研究经费:没有针对性的资金报告。
披露:作者报告没有披露相关的手稿。去首页Neurology.org为充分披露。
- ©2016美国神经病学学会的首页
信:快速的网络通信
你可能也会感兴趣
广告
相关文章
-
没有找到相关文章。
提醒我
推荐的文章
- 文章
灰质灌注与ALS疾病严重程度兰德尔·r·规则,Norbert Schuff罗伯特·g·米勒et al。
首页神经学,2010年2月10日 - 文章
静息脑血流量增加成人Fabry疾病核磁共振动脉自旋标记研究
阿宝漂皇家Merwick, Indran Davagnanam et al。
首页神经学,2018年3月21日 - 文章
灌注fMRI检测赤字地区CBF在MCI记忆编码任务主题g .徐p·g . Antuono j·琼斯等人。
首页神经学,2007年10月22日 - 文章
区域脑血流量在帕金森病nonpsychotic视觉幻觉Oishi n、f . Udaka m . Kameyama et al。
首页神经学,2005年12月12日


