珍珠和Oy-sters:组织病理学诊断的关键作用中枢神经系统癌症相关的坏死性血管炎
文摘
客观的强调的重要性,一个广义微分和病理确认新诊断癌症患者脑损伤中枢神经系统转移的典型。
方法我们报告2例biopsy-proven中枢神经系统血管炎患者接受治疗新诊断nonmetastatic癌症。全面的医疗记录回顾进行识别的临床表现,代表神经影像学、病理特点,和对治疗的反应。
结果病人提出了1月的诱导治疗恶性阴道鳞状细胞癌(阶段3,T2N1M0)急性情景奔袭轻偏瘫由于癫痫活动发展到严重的脑病。成像显示右frontoparietal病变而系统性的检查是模糊的。活检证实坏死性血管炎。患者2 6个月后提出正确的诊断乳腺浸润性导管癌(舞台活动花絮,T2N0M0,雌激素受体阳性、孕酮受体阳性,人类表皮生长因子受体2积极)与亚急性bifrontal头痛相关声音恐惧症。成像显示hyperintense右颞顶椎体病变区域和系统性检查是模糊的。脑活检显示坏死性血管炎。患者1 methyprednisolone和血浆置换治疗,病人2与强的松治疗。两个病人显示症状完全消失后不久,治疗和改善成像。
结论这些案件突出综合评价的重要性新nonmetastatic实体肿瘤患者的脑损伤。特征的新的癌症患者的脑损伤,应该提高怀疑诊断脑转移以外的包括(1)原发恶性肿瘤没有地区或远处转移,(2)成像没有离散似的质量提高,和(3)皮质病变的位置不是在灰白色物质结。
术语表
- 乙酰胆碱受体=
- 乙酰胆碱酯酶受体;
- 安娜=
- 抗核抗体;
- PCNSV=
- 原发性中枢神经系统血管炎;
- SCNSV=
- 继发性中枢神经系统血管炎
珍珠
癌症相关的中枢神经系统血管炎是一种罕见的但重要的引起的脑损伤与系统性恶性肿瘤病人。
特点的新大脑病变以外的癌症患者,应引起怀疑诊断脑转移包括(1)原发恶性肿瘤没有地区或远处转移,(2)成像没有离散似的质量提高,和(3)皮质病变的位置不是在灰白色物质结。
病理证实是重要的新诊断癌症患者中枢神经系统病变典型的转移性疾病。
Oy-ster
中枢神经系统血管炎的影像学发现非特异性,可以模拟肿瘤或其他病理。
在MRI脑损伤存在高达40%的癌症患者。1虽然大多数代表转移,11%是由成像射线模拟很难区分。1转移性疾病通常表现为边界清晰固体或ring-enhancing病变周围水肿。1这些成像特性,然而,重叠和不太常见的病因包括炎症、血管和感染性病变。组织学仍然是诊断的金标准,在典型情况下是非常重要的。2
我们报告2 nonmetastatic系统早期阶段癌症患者皮质为基础开发新的神经症状和脑损伤在一线治疗。
患者1
一个70岁的女人被诊断为恶性阴道鳞状细胞癌(阶段3,T2N1M0) 2016年3月。诱导治疗包括辐射(45 Gy)、顺铂(40毫克/ m2每周)。一个月接受治疗(分数17/25和周期3),她出现急性发作的情景hemibody弱点。头部的CT显示没有急性出血或早期缺血性的发现。一旦承认,她断断续续的不受控制的有节奏的左上肢痉挛发作有关。
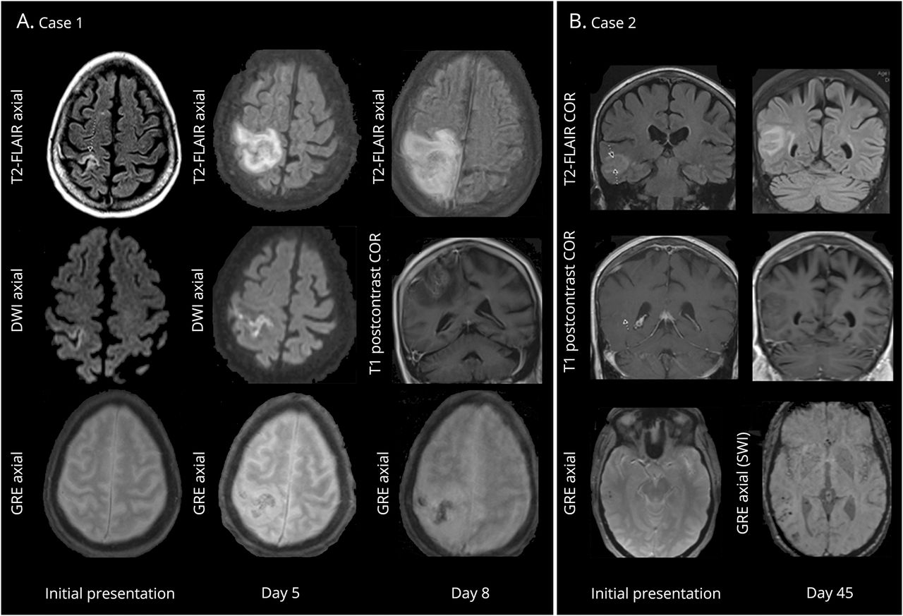
连续视频脑电图监测演示了一个由癫痫引起的关注正确的中部地区和levetiracetam就开始了。基于大脑MRI没有对比显示一个线性,皮质对frontoparietal不清楚病因病变(图1一个)。重复gadolinium-enhanced磁共振成像(图1一个)显示似的质量恶化的皮质gyra肿胀和中央前和中央后旋转的水肿而增强。第八天,成像显示增加肿胀后右额叶脑回,前右顶叶与周边水肿、出血,和当地质量效应(图1一个)。CT血管造影术的头部并没有暗示血管病变或动脉瘤。临床上,病人继续演示间歇性左弱点。鉴别诊断包括传染性脑炎、简单的局部癫痫持续状态,辅助影像学异常,血管炎,或化疗毒性。脑转移被认为是由于似的质量扩张(图1一个),但被认为是不太可能由于缺乏对比度增强。
(一)案例1:上面一行:发展高T2 / fluid-attenuated反转恢复(天赋)信号/右额-顶叶水肿;中间行:温和对frontoparietal皮质基于扩散限制,微弱的正确frontoparietal旋转的增强;底下一行:进步的易感性工件(出血)梯度地区的成像信号异常。(B)案例2:上面一行:进步的高T2 /天赋信号/水肿右颞顶叶;中间行:非常微弱leptomeningeal增强区域水肿;底下一行:基于渐进皮质易感性工件(出血)地区的水肿。
腰椎穿刺显示炎症概要文件没有证据表明恶性肿瘤细胞学(表格e 1,links.lww.com/WNL/A382)。系统检查显示,没有证据的系统性感染或血管炎。自身免疫性/多种测试显示没有经典antibody-associated脑炎或vasculitides除了乙酰胆碱酯酶受体(乙酰胆碱受体)绑定抗体升高(0.11 nmol / L)。
与非侵入性的测试,由于缺乏明确的诊断脑活检显示执行nongranulomatous坏死性血管炎的特点是纤维素样坏死leptomeningeal脑组织血管和神经胶质过多症(图e 1中,links.lww.com/WNL/A381)。没有证据表明系统性血管炎,病人被诊断为孤立的中枢神经系统血管炎。五天的四甲基强的松龙(1000 mg每日)是没有临床改善管理。环磷酰胺和美罗华延迟在最近的化疗,而病人经历了7次血浆置换与大量的认知和运动的进步。脑部MRI表现2周治疗后显示改善和她保持稳定在强的松(20毫克)锥度为6个月。
病人2
一个67岁的女人被诊断为右乳腺浸润性导管癌(舞台活动花絮,T2N0M0,雌激素受体阳性、孕酮受体阳性,人类表皮生长因子受体2阳性),随后接受了乳房肿瘤切除术。她面对亚急性恶化bifrontal头痛醒她的睡眠。头痛在频率和严重程度增加了6个月与相关的声音恐惧症和头晕,但没有光环,视力变化,或其他局灶性症状。尽管预防和药物流产,她经历了最小的救济。
MRI大脑被命令进行进一步的评估和演示了一个t2加权hyperintense质量涉及的右颞顶皮层病变局部肿胀、微妙的leptomeningeal增强,和没有限制扩散diffusion-weighted成像(图1 b)。最初的担忧包括麦麸转移和低级的神经胶质瘤。脑活检是推荐,显示nongranulomatous坏死性血管炎与小血管leptomeningeal破坏性变化(图e 1中,links.lww.com/WNL/A381)。
腰椎穿刺是负面的恶性肿瘤,但显示多克隆淋巴球增多(表格e 1,links.lww.com/WNL/A382)。多种和自体免疫测试是负数除了弱阳性抗核抗体(ANA)(40斑点)。没有证据表明系统性血管炎,病人被诊断为孤立的中枢神经系统血管炎。她开始在门诊的强的松60 mg / d没有证据表明在12个月内复发性血管炎。
讨论
脑转移可能发生在40%的癌症患者。1这里介绍的2例强调鉴别诊断的重要性在评估典型情况下的新似的质量脑损伤患者的癌症。脑转移被认为是病人;然而,中枢神经系统转移的临床和影像学表现典型,包括早期癌症没有已知的系统转移,皮质脑损伤为基础,和非典型的钆增强模式。在这些情况下,一个广泛的鉴别诊断很重要,最终组织病理学确认的关键是罕见的中枢神经系统血管炎的诊断。
中枢神经系统血管炎是一种罕见的血管炎涉及大脑血管。它大致分为原发性中枢神经系统血管炎(PCNSV;也称为中枢神经系统的主要脉管炎)和继发性中枢神经系统血管炎(SCNSV)基于系统性血管炎的表现。尽管SCNSV归因于广泛的系统性vasculitides和炎性疾病、PCNSV的原因在很大程度上是未知的。中枢神经系统血管炎已经很少与系统性恶性肿瘤有关。中枢神经系统血管炎的案例报告已经与霍奇金病有关,3白血病,4和转移性乳腺癌。5类似于这些报告之前,我们的病人给了亚急性阴险的头痛或局部神经功能缺陷。
影像学发现典型的转移。基于成像显示皮质病变缺乏典型的增强模式转移。在第一种情况下,扩散限制的线性模式集中在右frontoparietal皮层最初怀疑脑炎。2,神经胶质瘤被认为是由于离散似的质量性质的病变与周围水肿。这种病变没有展示典型的对比度增强的乳腺癌转移和非典型位置,微弱的leptomeningeal增强,敏感构件梯度回波序列不符合主神经胶质瘤的经典模式。在这两种情况下,成像特点是不足以建立一个诊断和进一步调查与活检是必要的。
在这些2例,坏死性血管炎的病理诊断是意想不到的。在这些情况下,模糊的临床表现和影像学成像诊断和治疗的困境,和提供者必须权衡早期治疗的好处与入侵的风险确认活组织检查。鉴于手术的风险和管理进步的非侵入性治疗方法,包括立体定向放射治疗在转移性癌脑转移,临床医生可以考虑治疗没有病理确认。6然而,在这两种情况下的诊断中枢神经系统血管炎和随后的免疫抑制治疗的选择就不会被确认没有病理评估。
目前的中枢神经系统血管炎治疗策略通常包括大剂量糖皮质激素有或没有并发环磷酰胺治疗,与利妥昔单抗或咪唑硫嘌呤保留作为二线治疗。7回顾性研究,Salvarani et al。8发现了一个有利的在81%的病人对治疗的反应,突显出这种情况的治疗特性和早期准确诊断的必要性。治疗中枢神经系统血管炎系统性恶性肿瘤患者接受化疗尚未定义。我们的第一个病人经历了血浆置换联合糖皮质激素临床反应紧随其后。的重要性,与此同时治疗潜在的癌症病人是未知的;进一步的研究是十分必要的。
中枢神经系统血管炎患者的全身恶性肿瘤的发病机理尚未确定。最近的文献表明脑淀粉样沉积物可能引起中枢神经系统血管炎,但确切的机制仍然是投机。9有趣的是,我们的第一个病人发达PCNSV放疗开始后不久。放射治疗已被证明会影响免疫激活,4和abscopal效应被用来描述远处转移病灶局部照射后的反应。10它也与动脉粥样硬化和心血管并发症的形成11通过系统激活的细胞因子和生长因子(如肿瘤的生长factor-β1和interleukin-1β)。11类似的免疫调制可能发生在这个病人,最终表现在中枢神经系统血管炎,尽管这是难以评估。
癌症和免疫系统之间的相互作用是复杂的。在过去的十年中,对多种神经系统症状有扩大的描述越来越多的特定癌症相关的抗体。癌症相关的中枢神经系统血管炎是否代表了多种神经综合症是不确定。非特异性循环抗体(乙酰胆碱受体,ANA)出现在这两种情况下没有明确病理协会。
这些案件突出一个广义微分的重要性,评估模仿,追求一个组织病理诊断为癌症患者提供一个新的大脑病变与模棱两可的影像学和临床结果。
作者的贡献
约书亚•希恩(医科学生):在写手稿。罗伊·e·Strowd(教师导师):采集的数据,重要的知识内容的修订手稿。艾米Guzik(教师导师):采集的数据,重要的知识内容的修订手稿。杰西卡·泰特:关键修正、知识贡献。雷切尔·沃尔夫:关键修正、知识贡献。卡罗吉尔:关键修正、知识贡献,图设计。瑞安·莫特:采集的数据,图设计。
研究资金
没有针对性的资金报告。
信息披露
作者报告没有披露相关的手稿。去首页Neurology.org/N为充分披露。
脚注
去首页Neurology.org/N为充分披露。资金信息和披露认为作者相关的,如果有的话,年底提供这篇文章。
- ©2018美国神经病学学会的首页
引用
信:快速的网络通信
你可能也会感兴趣
相关文章
-
没有找到相关文章。
主题讨论
提醒我
推荐的文章
- 审查
原发性中枢神经系统淋巴瘤最初诊断为血管炎李Yuebing,劳伦·费尔德曼,丹尼尔Ontaneda et al。
首页神经学:临床实践,08年8月,2019年 - 审查
原发性中枢神经系统血管炎诊断测试结果系统回顾发表的病例
Ferghal林信宏Gavin竟敢管,彼得McCarron et al。
首页神经学:临床实践,2017年4月28日 - 文章
原发性中枢神经系统血管炎与淋巴瘤有关卡洛Salvarani小罗伯特·d·布朗,特蕾莎修女J.H.克里斯蒂安森et al。
首页神经学,2018年2月2日 - 情况下
大脑血管壁没有动脉狭窄的对比度增强可能的原发性中枢神经系统血管炎
塞德里克Gollion, Jean Darcourt梅勒妮Munio et al。
首页神经学:临床实践,2020年3月17日


