住院医师培训:进步的步态困难和尿失禁与艾滋病毒一个40岁的男人
第一节
一个40岁的南非人面对进步走路困难,两腿无力,和平衡问题。他描述了模糊认知和最近诊断为尿失禁症状。尽管2008年艾滋病毒诊断(感染日期未知),由于社会问题他没有获得医疗保健。没有机会性感染的病史(OIs)或其他问题与艾滋病毒有关。然而,三个月前的演讲中,他已经停止做家庭护理助理由于步态蹒跚。此外,他描述了最近30磅体重。他否认头痛或颈痛。没有相关的家族病史,他没有药物。
病人生命体征正常,well-appearing警报,并面向人,日期和设置。在最初的检查,他被认为是正常的精神状态。然而,进一步评价,指出他的演讲是安静而缓慢,和考官之间有一个问题是否文化决定的影响。当被问及名称单词开头字母F,他能叫出6 1分钟(正常> 14)。他的上肢力量5/5双边,4/5的两臀屈肌力量是指出。他小,显示缓慢,笨拙的手指和脚水龙头,鼻子和下巴混蛋反射。此外,他是失禁的尿液中多次考试。霍夫曼和反射亢进不存在迹象。没有脖子僵硬、视神经乳头水肿或皮肤的发现。视野和颅神经测试是正常的,其余的神经系统和通用考试是毋庸置疑。
第二节
在几个月出现症状牵连到各种可能的病因包括肿瘤、代谢、炎症和神经退行性过程。在考虑幕上的vs脊髓过程中,鉴别诊断仍然广泛:中枢神经系统炎症和神经退行性疾病(如脊髓炎与自身免疫或多种相关流程),代谢紊乱(如维生素B12或叶酸缺乏症)和传染病(如人类t细胞白血病病毒、梅毒、莱姆)。尿失禁和步态不稳的组合可以归因于一个脊髓缺陷;然而,原始反射的存在(鼻子和下巴混蛋),结合智力迟钝,表明扩散或正面的皮层下功能障碍也必须参与其中。必须考虑空泡的脊髓病与先进的艾滋病毒和步态障碍病人,尽管缺乏反射亢进和感官呈现本地化后外侧脊柱列可能损失。的缺失使向侧面点离焦病变迹象,如中枢神经系统淋巴瘤或渐进多焦点的脑白质病(PML),不过如果广泛双边,这些可能产生一致的临床情况。
在这种情况下,尿失禁的星座,认知障碍,和步态不稳强烈暗示皮层下额叶条件,有或没有额外的线参与。在正常压力脑积水(一)差,条件更常见的在一个潜在的免疫功能不全的患者应考虑。鉴于首次治疗HIV感染的设置,PML和脑弓形体病应该被排除。更通用的脑病的原因与免疫抑制和感染有关,包括隐球菌脑膜炎和艾滋病痴呆,也应该被考虑。
第三节
由于艾滋病毒诊断报告,血液CD4细胞计数和定量血浆HIV RNA水平除了一个传染病小组应该下令。进一步本地化病理学、脊髓和大脑的磁共振成像检查以及血液和脑脊液检查应该执行。
实验室检测显示31细胞的CD4细胞计数/μL正常(500 - 1500)和血浆HIV病毒载量170万拷贝/毫升。病人的完整的血细胞计数显示白血球减少症,血小板减少,轻度贫血(白细胞2100细胞/μL,血红蛋白12.5 g / dL,比容38.9%,血小板100000细胞/μL)。血清化学反应、肝概要、脂质、维生素B12,和叶酸水平是正常的。等离子体感染和性传播疾病筛查消极除了积极巨细胞病毒(CMV)免疫球蛋白G,弱阳性巨细胞病毒DNA PCR(< 137国际单位/毫升)和反应性甲型肝炎和乙型肝炎核心抗体。腰椎穿刺产生CSF与葡萄糖39 mg / dL,蛋白质134 mg / dL, 9白细胞/μL淋巴细胞(93%)。CSF微生物面板是负除了CSF HIV RNA数量> 1000万拷贝/毫升。
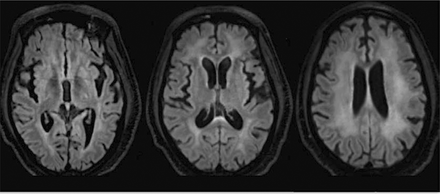
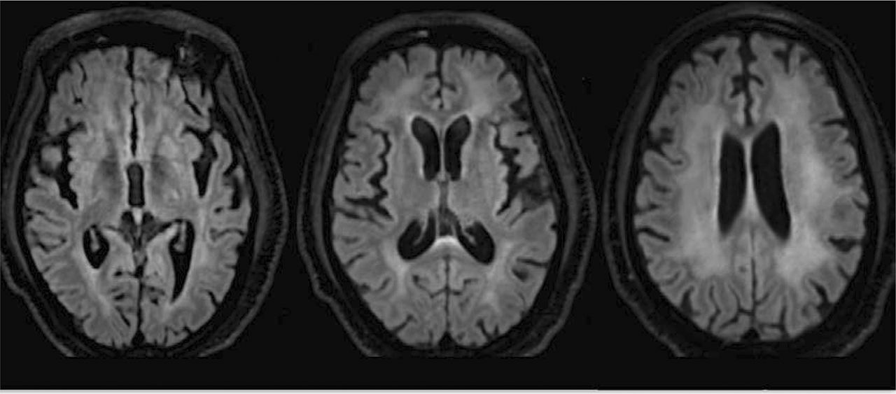
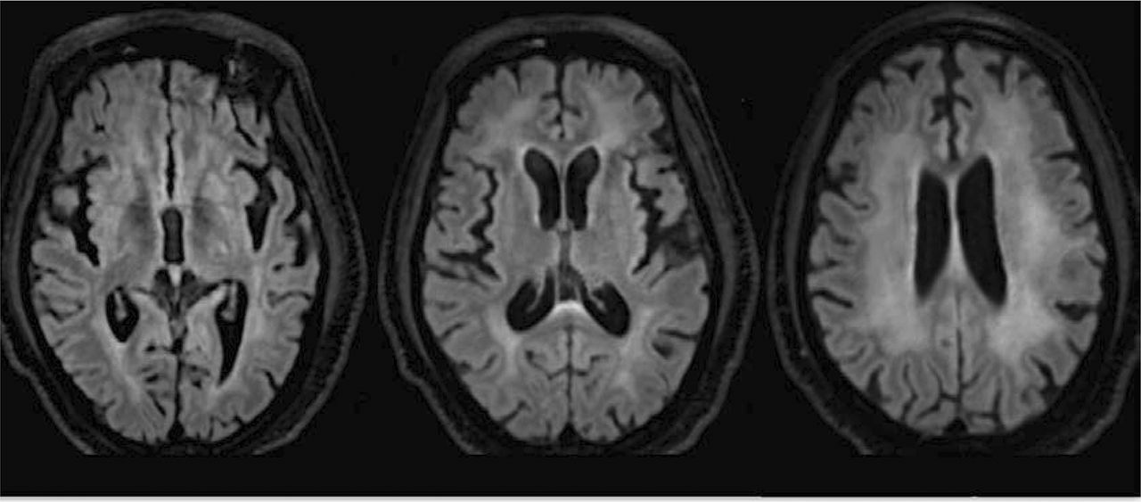
对大脑核磁共振、心室的重要性和沟与广泛对称的可视化,室周的T2 hyperintensity fluid-attenuation反转恢复(天赋)信号在幕上的白色物质,延长到放射冠(图1)。脊柱MRI是正常,没有异常增强postcontrast成像。
第四节
病人的临床和实验室研究结果强烈点对诊断为艾滋病痴呆(了)。实验室测试和神经影像有效地排除其他代谢和传染性病因,包括弓形体病和中枢神经系统淋巴瘤,表现为多个还是孤立ring-enhancing病变,分别用积极CSF的发现。相反,病人的漫射皮层下T2 hyperintensity天赋MRI更艾滋病毒脑炎的特征。此外,尽管患者的临床情况可能类似于一组,一组是一种疾病的老年人(> 65)。这个病人而不是代表了一种先进的艾滋病和。
进一步描述病人的疾病,全面的神经心理测试。神经心理学评估有助于确定神经认知障碍的程度和监控其决议或坚持治疗。1原始的神经心理学成绩使用免疫产生的数据标准化,年龄,education-matched控制。我们的病人的神经心理和分数是大约3 SD低于正常的意思。特别是,损伤的主要领域包括总值和精细运动技能,处理速度,注意,执行功能以及语言学习(图2)。
艾滋病痴呆的神经认知改善性能(已经)在治疗后表示。总值和精细运动功能在基线,受影响最严重的地区一个典型的表现在白质损害有髓神经束的深层次原因,为常见。其他领域,列出由多到少受损,注意,处理的速度,执行功能,和学习。这些领域也受到白质脱髓鞘/损伤的影响,常常室,大片主要从这里到前额叶和额叶皮质(行政、学习)。相对保存领域,保持在一个正常的语言技能和语言记忆。
第五节
住院病人在密切注视,抗逆转录病毒疗法(cART)组合的形式发起Triumeq,每天一个平板组成abacavir(600毫克),dolutegravir(50毫克),和拉米夫定(300毫克)。病人接受预防性阿奇霉素(1200毫克一次/周)和磺胺甲恶唑/甲氧苄氨嘧啶防止OIs (800/160 mg qd)。
两周后开始治疗,病毒载量和淋巴细胞计数显著提高比例与病人的临床检查。在车启动后24周,重复神经心理学测试演示了实质性改善跨电动机和语言领域与步态明显改善。
讨论
之前广泛进入购物车,神经系统症状出现在至少70%的感染艾滋病毒的人。2脑膜炎、脑膜脑炎、周围神经病变是主要的艾滋病毒感染的表现。在疾病的后期,OIs和,由艾滋病病毒本身引起的,可以开发。3OIs,脑弓形体病、PML和原发性中枢神经系统淋巴瘤常与焦半球功能障碍(即存在。、轻偏瘫、失语、失用症或hemisensory障碍)。4原因nonfocal中枢神经系统条件包括巨细胞病毒性脑炎、隐球菌脑膜炎、代谢和毒性脑病,。
特点是一个星座的认知、电机、和行为症状。5诊断是根据临床判断和排除其他疾病的CSF分析和神经影像。与大多数OIs的急性或亚急性发病,与阴险的往往是缓慢渐进的改变神经系统检查。标准化的神经心理学测试是用来描述任何认知的性质和程度上的困难。6
有多种多样的临床表现和进步。早期症状包括记忆缺陷或心智功能下降,而运动症状后,包括手灵巧度下降,dysdiadochokinesia、反射亢进。存在于一个艾滋病毒相关的神经认知障碍,包括无症状神经认知障碍和轻度神经认知障碍。这些条件严重分化的神经损伤Frascati划定的标准,代表了最高程度的功能障碍。5主要运动功能障碍出现在在区分这是有用的额叶皮质下痴呆等皮质性痴呆阿尔茨海默病,它的特点是早期的种种困难除了皮质迹象像空间意识的丧失。此外,下颌反射和鼻子反射的存在,就像在我们的病人,结合室hyperintensity MRI显示额叶释放综合征的特点是。事实上,原始反射是hiv - 1的独立预测指标serostatus,特别是对于那些有认知功能障碍。7
今天,已经几乎全部出现在患者得不到购物车或接受治疗但病毒抑制不足;例如,由于依从性不佳或耐药性。8大多数患者都放在购物车体验改善他们的症状。9值得注意的是,在治疗患者,虽然已是罕见微妙形式的艾滋病神经认知障碍发病率居高不下在个人免疫系统完好无损的车。5,6
在临床有效的马车的时代,熟悉其发病率下降。回顾我们的病人的医疗记录,没有一个供应商解决病人的初步诊断的可能性完全艾滋病毒感染有关。报告这种情况下这是我们动力的提醒后来的1990年代,在艾滋病的流行的高峰期,尤其是因为可逆的性质在启动车。我们的病人是一个移民没有连接到美国卫生保健系统在艾滋病毒诊断。现在,经过多年的持续感染,他看到一个规范的症状和体征,几十年前的特征。5
作者的贡献
西尔弗曼:概念和设计,主要作者。O ' meara t:概念和设计,主要作者。l . Le:病人提供背景资料。k·罗伯逊:提供神经心理学专业知识。美国Spudich:案例的概念,提供了重要的知识内容的修订手稿。
研究资金
没有针对性的资金报告。
信息披露
a·西尔弗曼O ' meara t、l . Le和k·罗伯逊报告没有披露相关的手稿。美国Spudich报道,欢悦、医疗、公司研究药物有助于临床试验codirected Spudich博士通过艾滋病临床试验。去首页Neurology.org/N为充分披露。
脚注
↵*这些作者同样对此报道亦有贡献。
去首页Neurology.org/N为充分披露。资金信息和披露认为作者相关的,如果有的话,年底提供这篇文章。
- ©2018美国神经病学学会的首页
引用
信:快速的网络通信
你可能也会感兴趣
相关文章
-
没有找到相关文章。
主题讨论
提醒我
推荐的文章
- 文章
抗逆转录病毒种由艾滋病诱发的发病率渗透进入中枢神经系统,神经系统的条件艾伦·c·Caniglia劳伦·e·凯恩,艾米正义et al。
首页神经学,2014年6月6日 - 全球的视角
Neuro-AIDS在发展中国家道森迪恩,约瑟夫·r·伯杰等。
首页神经学,2012年2月13日 - 文章
PML-IRIS患者的艾滋病毒感染临床表现和治疗类固醇
r . k . Tan又,l·奥斯丘等。
首页神经学、07年1月,2009年 - 文章
小脑变性与人类免疫缺陷病毒感染有关m . Tagliati d·辛普森Morgello et al。
首页神经学,1998年1月1日


