2018年12月11日
;91 (24)
科学杂志
可逆的巨大蛛网膜颗粒
Guillaume Taieb,西里尔Dargazanli,波林主要,马哈茂德·Charif,安妮Ducros
第一次出版2018年12月10日,
DOI: https://doi.org/10.1212/WNL.0000000000006656
Guillaume Taieb
从神经学部门(G.T.首页,最大功率,m。,A.D.) and Neuroradiology (C.D.), CHU Montpellier, France.
医学博士
西里尔Dargazanli
从神经学部门(G.T.首页,最大功率,m。,A.D.) and Neuroradiology (C.D.), CHU Montpellier, France.
医学博士
波林主要
从神经学部门(G.T.首页,最大功率,m。,A.D.) and Neuroradiology (C.D.), CHU Montpellier, France.
医学博士
马哈茂德·Charif
从神经学部门(G.T.首页,最大功率,m。,A.D.) and Neuroradiology (C.D.), CHU Montpellier, France.
医学博士
安妮Ducros
从神经学部门(G.T.首页,最大功率,m。,A.D.) and Neuroradiology (C.D.), CHU Montpellier, France.
医学博士
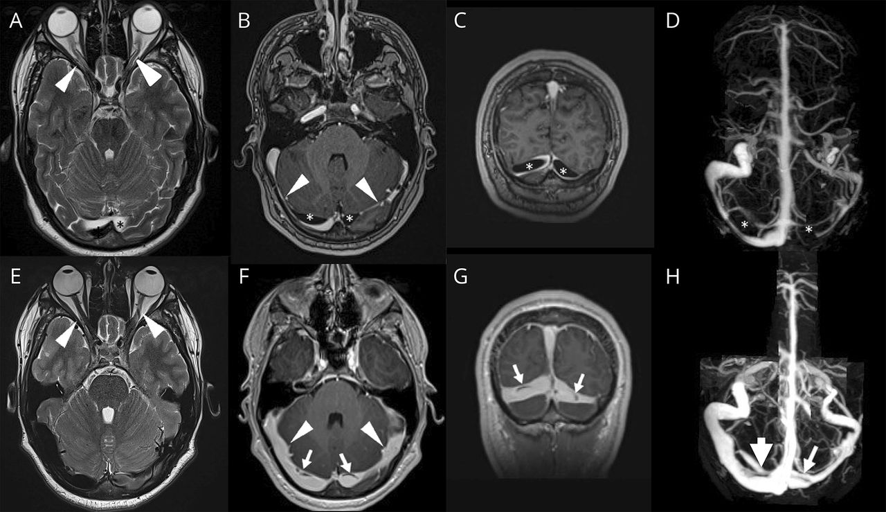
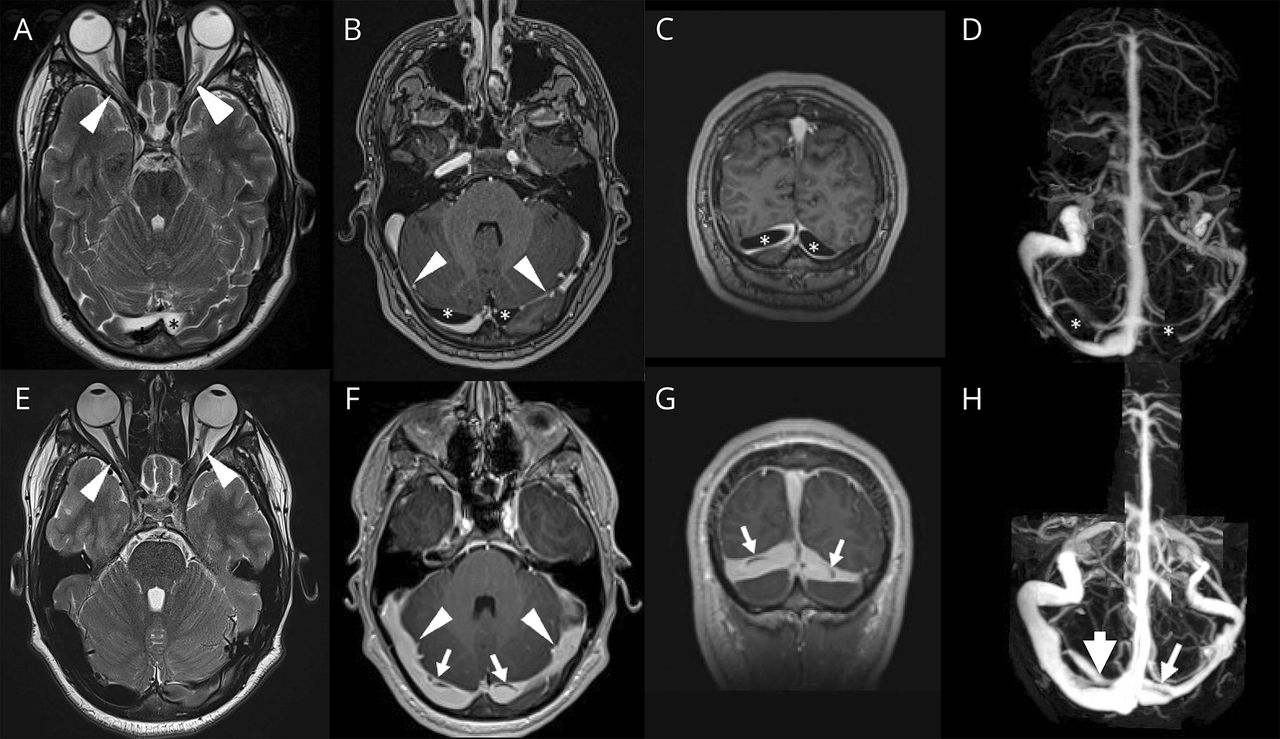
一个16岁的男孩与周期性瞬态视觉丧失了双边视神经乳头水肿。MRI显示巨大蛛网膜颗粒(GAG)横向鼻窦和颅内高血压的迹象(图)。CSF开启压力是420毫米H2o .减少血液的腰椎穿刺后,呕吐的大小减少和窦腔狭窄解决(图)。蛛网膜颗粒(AG)脑脊液椎间盘硬脑(脊)膜通过鼻窦。1CSF去除导致他们回归以来,呕吐可能颅内高血压的结果。我们支持Krisch理论,认为AG)是一个缓冲的CSF室而不是一个网站脑脊液吸收。2
图
减少血液的腰椎穿刺后脑脊液和血液间变化
轴向t2加权图像显示视神经曲折(箭头)。轴向(B)和额叶(C) postcontrast t1加权成像和磁共振造影术(D)揭示巨大蛛网膜颗粒(GAG)(星号)和窦腔狭窄(箭头,B)。五天后腰椎穿刺,视神经曲折(箭头,E),呕吐(箭头,F-H)和窦腔狭窄(箭头,F)消失。
作者的贡献
g . Taieb:分析和解释数据,起草、至关重要的知识内容的修订手稿。c . Dargazanli:起草和修订手稿,采集的数据。p .普林斯顿:采集的数据,重要的知识内容的修订手稿。m . Charif:重要的知识内容的修订手稿。答:(Ducros分析和解释数据,起草、至关重要的知识内容的修订手稿。
研究资金
没有针对性的资金报告。
信息披露
作者报告没有披露相关的手稿。去首页Neurology.org/N为充分披露。
脚注
去首页Neurology.org/N为充分披露。资金信息和披露认为作者相关的,如果有的话,年底提供这篇文章。
- ©2018美国神经病学学会的首页
信:快速的网络通信
你可能也会感兴趣
广告
相关文章
-
没有找到相关文章。
提醒我
推荐的文章
- 居民和其他部分
儿童神经病学首页:模仿脑sinovenous血栓形成一个儿科病例分析
伊丽莎白·Kouzmitcheva Pradeep Krishnan, Dlamini Nomazulu et al。
首页神经学,2018年10月15日 - 文章
血管内治疗特发性颅内高血压10个病人的临床和影像学结果
a . Donnet p . Metellus o . Levrier et al。
首页神经学,2008年2月19日 - 观点和评论
修订的诊断标准可见大脑在成人和儿童综合症黛博拉·弗里德曼,凯瑟琳·b·格兰特t . Liu Digre et al。
首页神经学,2013年8月21日 - 文章
横窦狭窄后坚持标准化脑脊液压力IIHf·波诺,c . Giliberto Mastrandrea et al。
首页神经学,2005年10月10日


