2018年8月14日
;91 (7)
居民和其他部分
教学视频的实验:Marcus-Gunn瞳孔在结节性硬化症
Jaime托罗,Jorge Patino
第一次出版2018年8月13日,
DOI: https://doi.org/10.1212/WNL.0000000000006005
Jaime托罗
从医院大学−Fundacion圣达菲de波哥大(j.t摩根大通(J.P.);医学院(j.t),大学El博斯克;和医学院(j.t),安第斯大学,波哥大,哥伦比亚。
医学博士FAAN FACP
Jorge Patino
从医院大学−Fundacion圣达菲de波哥大(j.t摩根大通(J.P.);医学院(j.t),大学El博斯克;和医学院(j.t),安第斯大学,波哥大,哥伦比亚。
医学博士
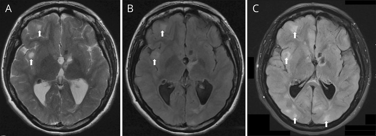
一名22岁妇女与结节性硬化症(TS)和一个不完整的切除左星形细胞瘤提供四年的历史视觉恶化。神经系统检查发现左相对瞳孔传入障碍(RAPD) (视频1),一个苍白的左视神经盘。视力是20/100双边和左优越的视野被损失。光学相干断层扫描显示左视网膜错构瘤(图1)。对比度增强脑部MRI显示双边皮层和皮层下块茎(图2)。Marcus-Gunn学生或RAPD表示视神经病变是一种特异性的功能。1TS眼病包括视网膜和虹膜错构瘤,脉络膜缺损,1例虹膜和睫状体。2
视频1
视神经妥协是结节性硬化症的临床情况的一部分。在这里,一个左Marcus-Gunn学生或相对瞳孔传入障碍是出现在一名22岁妇女疾病。注意瞳孔扩张,以应对光和保存两厢情愿的反应。下载补充视频1通过http://dx.doi.org/10.1212/006005_Video_1
图1
眼底镜检查和光学相干断层扫描(OCT)
10月左眼眼底镜检查(A)和(B, C)显示损伤与破坏intralesional囊肿,位于边界上的左视神经和视网膜错构瘤兼容。
作者的贡献
托罗博士了手稿的构成和收购的多媒体材料。博士Patino导致多媒体的手稿和收购的构成材料。
研究资金
没有针对性的资金报告。
信息披露
j·托罗的副主编新英格兰医学杂志》上的观察神经学》杂志上首页自1999年以来,黑板上。他从杂志上获得酬金。托罗博士一直是董事会成员多发性硬化和相关疾病杂志自2012年以来。他从这个杂志不接受谢礼。j . Patino报告没有披露相关的手稿。去首页Neurology.org/N为充分披露。
脚注
去首页Neurology.org/N为充分披露。资金信息和披露认为作者相关的,如果有的话,年底提供这篇文章。
- ©2018美国神经病学学会的首页
信:快速的网络通信
你可能也会感兴趣
广告
相关文章
-
没有找到相关文章。
提醒我
推荐的文章
- 临床和伦理挑战
方法患者急性单眼视力丧失Sashank Prasad,史蒂文·l·Galetta et al。
首页神经学:临床实践,2012年3月16日 - 药品和设备
光学相干断层扫描在神经系统疾病中的应用现任美国Maldonado Pradeep Mettu, Mays El-Dairi et al。
首页神经学:临床实践,2015年9月17日 - 文章
瞳孔对光反射通路hemianopic患者的细胞构筑概率地图
e . Papageorgiou l . f . Ticini g .手下et al。
首页神经学,2008年3月17日 - 观点和评论
Fingolimod-associated黄斑水肿发病率、检测和管理
Nieraj Jain, m . Tariq巴蒂等。
首页神经学,2012年2月27日


